CEC2024 | 寇镭教授团队:主髂动脉闭塞的腔内治疗


17年来,一直陪伴中国血管医生成长 


2024年10月31日—11月3日,备受瞩目的第十五届中国血管论坛(CEC2024)于北京盛大召开,国内外专家齐聚一堂共襄盛会。本次大会设置知名专家面对面、中青年专家论坛、学术专题讲座,病例直(录)播、外周血管介入前沿与争锋辩论赛、疑难病例大查房、复杂血管疾病、血管外科危重症管理、血管疾病治疗并发症处理及预防、外周器械新技术新疗法、下肢动脉减容规范化应用最新证据深度解读、国际专场@CEC等热点板块,全面展现最新的血管疾病诊疗方法和技术,为广大血管外科医务工作者及同道提供了一场内容丰富、高质量、高水平的学术盛宴。
本次大会期间,首都医科大学附属北京安贞医院寇镭教授团队为各位专家同道介绍了《主髂动脉闭塞的腔内治疗》。欢迎阅读。
演讲题目:
《主髂动脉闭塞的腔内治疗》
演讲嘉宾:
寇镭教授
周游医生
单位:
首都医科大学附属北京安贞医院

病例情况
基本信息:患者男,50岁,因“突发右下肢麻痛4天”紧急入院。该患者1.5年前于外院接受过双侧髂动脉支架植入术。近1个月出现间歇跛行症状,此次入院检查时,右侧踝肱指数(ABI)提示患者下肢血管病变的严重性。

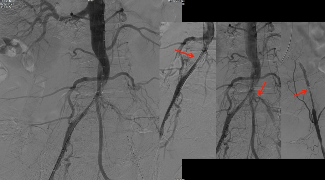
术前影像学评估:CTA显示腹主动脉下段闭塞,双侧髂总、髂外动脉支架内闭塞,右侧股动脉亦存在闭塞。结合急性加重病史,考虑为“基础狭窄+急性血栓形成”,不排除栓塞可能。


手术策略:逆行开通+减容+支架重建
鉴于患者腹主动脉末端存在支架且多部位闭塞的复杂病变特征,术者团队决定采用CERAB技术实施腔内治疗,并选择双侧股动脉穿刺逆行开通路径以提高手术成功率。
使用器械:Rotarex 8F、VBX 11*59mm、8L*79mm*4、8*79mm、Innova 8*100mm




手术关键操作步骤
1
穿刺与造影
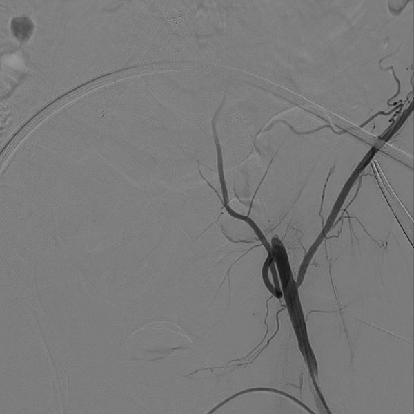
在超声引导下,成功完成双侧股总动脉穿刺。通过导管配合超滑导丝,顺利通过病变区域进入腹主动脉下段,造影明确腹主动脉下段及双侧髂动脉完全闭塞的病变范围与程度。





2
减容治疗
采用8F Rotarex导管对双侧髂动脉及腹主动脉下段进行减容处理。该器械对于陈旧性血栓具有良好的清除效果,且适用于支架内病变的治疗。减容治疗的主要目的在于获得理想的管腔空间,同时降低远端动脉栓塞的风险。


3
支架植入
减容后造影显示仍存在重度残存狭窄,遂沿右侧股动脉置入VBX支架(直径11mm,长度59mm)。支架定位需满足近端完全覆盖腹主动脉病变段,远端距离双侧髂总动脉分叉至少1.5cm,以避免后扩张时大球囊对髂动脉造成损伤。



4
后扩张处理
首先使用14mm球囊进行初步扩张,鉴于腹主动脉直径约15mm,最终选用16mm球囊进行扩张。



当扩张压力达10 ATM时,患者出现轻微疼痛,遂停止扩张。扩张前需将左侧导丝撤出,扩张后重新置入并确认导丝位于支架内。

5
髂动脉重建
该图解释为何远端距离双侧髂总动脉分叉至少1.5cm,以避免后扩张时大球囊对髂动脉造成损伤。

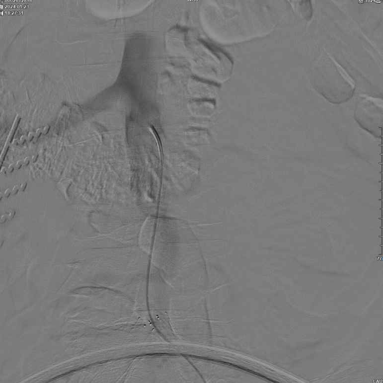
CERAB技术的关键点一:经双侧股总动脉植入2枚VBX球囊扩张式覆膜支架(8L×79mm),与腹主动脉覆膜支架腔内平行放置,且两枚支架端平齐对接。

CERAB技术关键点二:先用14mm×40mm球囊分别扩张双侧髂肢的腹主动脉段。

再用8mm球囊对双侧髂支腹主动脉段行对吻扩张,以确保双侧髂支与腹主动脉覆膜支架腔内获得良好的贴壁形态,最大程度减少空腔,降低远期再狭窄发生率。



6
股动脉处理
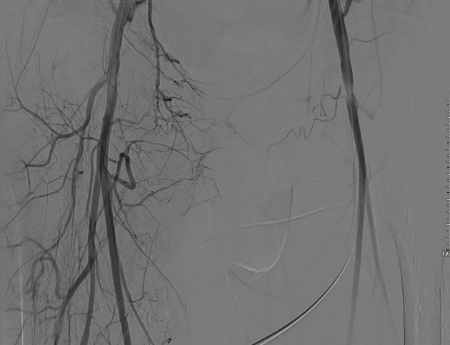
右侧髂外动脉存在残存狭窄,因该部位无原有裸支架覆盖,为节省治疗费用,选择植入1枚直径8mm的裸支架,并采用8mm球囊进行后扩张。



术后随访:疗效与经验总结
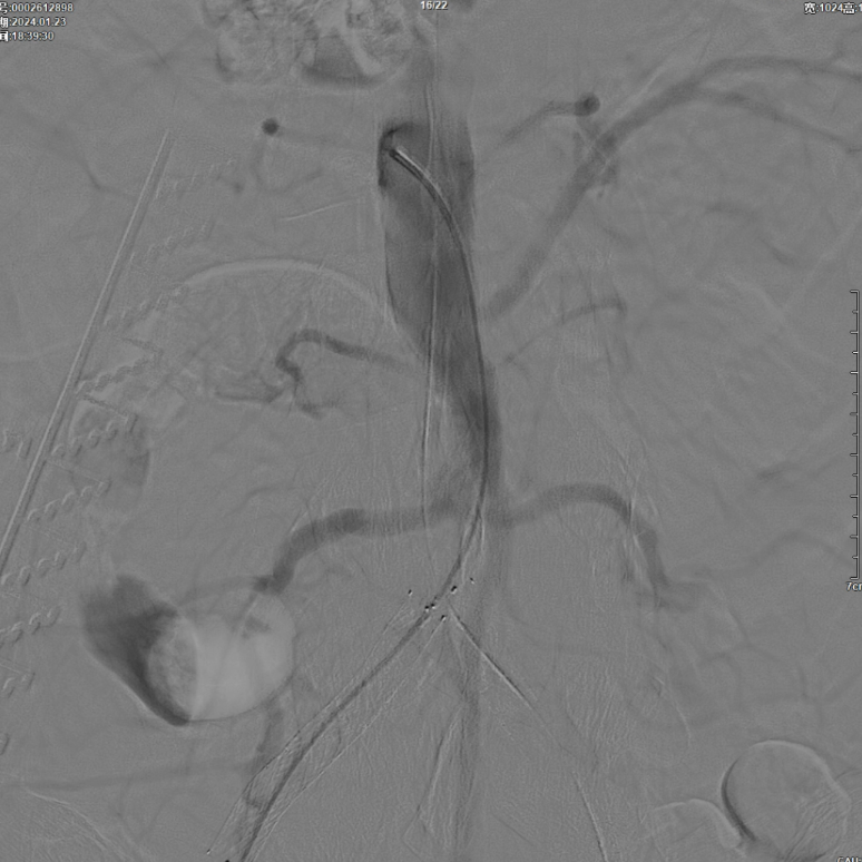
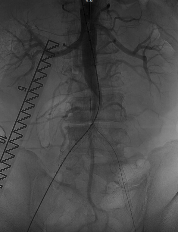
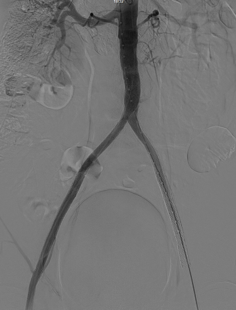
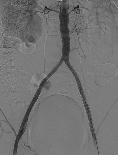
即时效果:造影显示腹主动脉、双侧髂总/髂外动脉及股动脉通畅。



术后对患者应用利伐沙班进行抗凝治疗,同时给予阿司匹林抗血小板治疗,期望右侧股动脉闭塞病变能通过自身纤溶作用实现再通。
3个月复查:右侧股动脉完全再通,无残存狭窄;CTA显示腹主动脉、双侧髂动脉及远端股动脉通畅,双侧ABI>1.0;左侧髂动脉开口打开不全(推测与对吻球囊直径选择有关,原用8mm,若选10mm可能避免),因患者无症状,暂密切随访,远期若再狭窄可采用10mm球囊扩张。

专家点评&小结
CERAB技术的核心要点:
在寇镭教授团队分享的病例中,CERAB技术(主髂动脉分叉重建)的关键在于:与传统对吻技术的区别需在主动脉覆膜支架内充分扩张,避免主动脉破裂;最终实现“KISSING”,确保血管重建的稳定性。
CERAB技术通过精准支架植入及优化后扩张等步骤,为复杂主髂动脉闭塞症的治疗提供了有效手段。术中支架定位的准确性、球囊直径的合理选择以及对吻扩张的规范操作,均对手术效果及远期预后具有重要影响。本病例的治疗过程及随访结果,为临床处理类似复杂病变提供了有价值的参考经验。
专家介绍

寇镭教授
首都医科大学附属
北京安贞医院血管外科
副主任医师
海峡两岸医药卫生交流协会血管外科专业委员会副会长
中国医师协会血管外科医师分会开放学组副组长
中日医学科技交流协会血管外科学分会副会长