CEC2024 | 蒋俊豪教授团队:股腘动脉长段闭塞腔内治疗

17年来,一直陪伴中国血管医生成长 


2024年10月31日—11月3日,备受瞩目的第十五届中国血管论坛(CEC2024)于北京盛大召开,国内外专家齐聚一堂共襄盛会。本次大会设置知名专家面对面、中青年专家论坛、学术专题讲座,病例直(录)播、外周血管介入前沿与争锋辩论赛、疑难病例大查房、复杂血管疾病、血管外科危重症管理、血管疾病治疗并发症处理及预防、外周器械新技术新疗法、下肢动脉减容规范化应用最新证据深度解读、国际专场@CEC等热点板块,全面展现最新的血管疾病诊疗方法和技术,为广大血管外科医务工作者及同道提供了一场内容丰富、高质量、高水平的学术盛宴。
本次大会期间,复旦大学附属中山医院蒋俊豪教授团队为各位专家同道介绍了《股腘动脉长段闭塞腔内治疗》。欢迎阅读。
演讲题目:
《股腘动脉长段闭塞腔内治疗》
演讲嘉宾:
蒋俊豪教授
林长泼医生
赵英海医生
王洛波医生
单位:
复旦大学附属中山医院
病例信息
基本信息:患者男性,77岁,因“双下肢间歇性跛行10余年,近半年进行性加重,目前跛行距离<100米”入院。既往有冠心病8年(2018年行冠脉支架植入术,现口服阿司匹林0.1g qd);高血压2年(控制尚可),否认糖尿病。
术前检查:
体格检查:双侧股动脉搏动可触及(++),但双侧腘动脉、足背动脉、胫后动脉均未触及搏动。
ABI(踝肱指数):提示双下肢严重缺血
右侧:股动脉1.05,腘踝0.65;左侧:股动脉1.07,腘踝0.67
CTA:证实双侧股腘动脉长段闭塞性病变,右侧症状更重,故优先选择右侧治疗手术。



手术预案:器械选择与策略规划
针对右侧股腘动脉长段闭塞,团队制定以下方案:
核心目标:开通闭塞段,恢复远端血流,改善下肢缺血症状
主要器械:
球囊:Sterling球囊(预扩张)、Ranger药涂球囊(DCB,药物涂层球囊)
支架:INNOVA支架或ELUVIA药涂支架(根据病变情况选择)
辅助:血管缝合器

手术过程
1
入路选择:左侧股动脉翻山入路
采用常规左侧股动脉穿刺,通过"翻山"技术到达右侧病变区域,为后续操作建立通路。


2
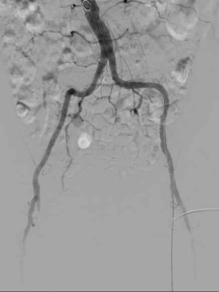
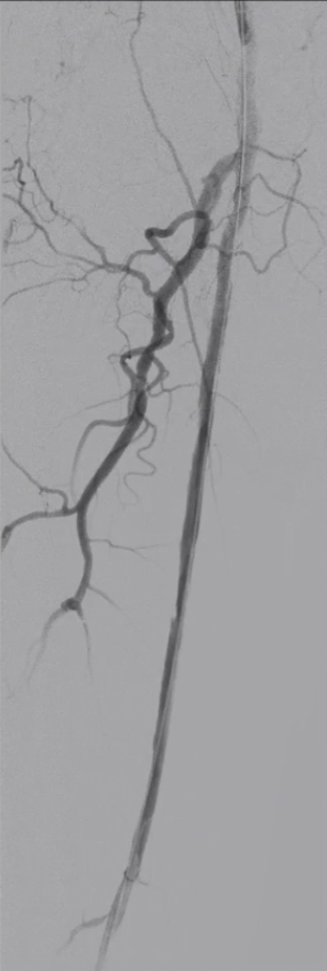
造影确认病变:长段闭塞,流出道尚可
造影显示右侧股动脉自起始段起长段闭塞,远端腘动脉及膝下动脉经股深侧枝显影,流出道条件尚可,为手术提供了基础。



3
导丝突破:多种器械配合,应对坚硬病变
初始使用单弯导管配合Command18导丝尝试突破股动脉起始段纤维帽,未成功;

更换Terumo导丝后突破纤维帽,但支撑导管跟进困难,提示病变质地坚硬;

先后尝试Command 18、Treasure12 CTO导丝等,均难以顺利通过病变段;

关键技巧:采用"自制CTO导丝"——剪除V18导丝部分软头,塑形后利用其强支撑性,顺利通过病变并跟进支撑导管。

4
远端困境:
内膜下难以返回真腔,果断选择逆穿
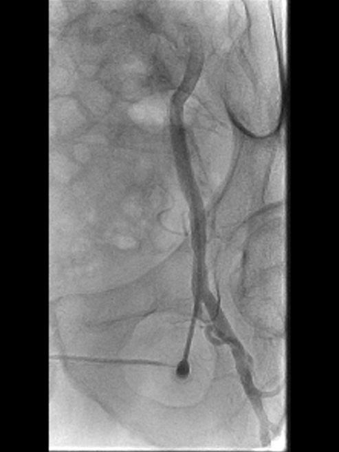
导丝进入远端内膜下后,反复尝试返回真腔失败。为避免过度操作损伤远端流出道,团队决定行逆向穿刺(逆穿):
调整球管至左前斜20°~30°,在路图下定位穿刺点;



近端推注造影剂,透视下确认血管位置,穿刺成功(可见明显充盈缺损);


跟进V18导丝突破远端纤维帽,配合支撑导管完成对接。

逆穿的难点在于选择合适的对接位置,对接判断要点是导丝成袢后,通过近端Terumo导丝触碰,若有明显"碰触感",提示位于同一内膜下,可确认对接。


5
管腔准备与支架植入
预扩张:使用球囊扩张病变段,造影提示长段限流性夹层,需支架覆盖



治疗模式:因股腘动脉直径<4.5mm,选择DCB(药物涂层球囊)+BMS(裸金属支架)联合方案;


支架选择:在DCB扩张导管进行管腔准备后,植入2枚5mm INNOVA支架,其优势在于尾端定位精准,尤其适合累及开口或分叉的病变。


6
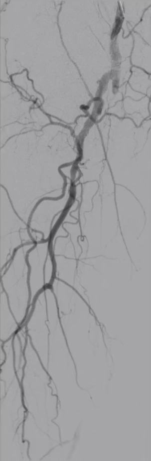
手术结果:
血流通畅,解剖与功能双重改善
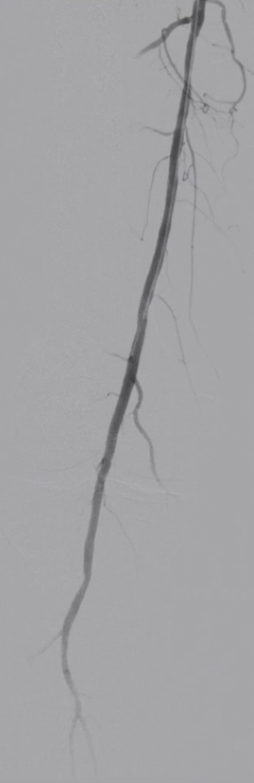
最终造影显示:支架定位准确、形态良好,股浅动脉、腘动脉及膝下动脉显影清晰,血流通畅。


术后效果与远期随访
短期疗效
体格检查:右侧胫后动脉恢复正常搏动;

ABI:右侧从术前0.65提升至0.92,缺血症状显著改善。

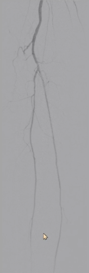
远期随访(术后半年)
CTA复查:支架内血流通畅,无明显内膜增生,证实手术远期有效性。

小结
本例手术针对老年男性双下肢股腘动脉长段闭塞,通过左侧翻山入路、自制CTO导丝突破、精准逆穿对接及INNOVA支架植入等关键技术,实现了病变的有效开通。手术思路体现了"个体化"与"微创化"原则,为复杂股腘动脉闭塞的腔内治疗提供了实践参考。
专家介绍

蒋俊豪教授
复旦大学附属中山医院
血管外科
副主任医师,医学博士
硕士研究生导师
中国医师协会外科医师分会血管外科医师委员会委员
中国医师协会腔内血管学专业委员会主动脉瘤专家委员会委员
中国医促会血管外科分会主髂动脉学组副组长
上海市医学会血管外科专委会委员