CEC2024 | 贾鑫教授:颈动脉狭窄腔内治疗

16年来,一直陪伴中国血管医生成长 


2024年10月31日—11月3日,备受瞩目的第十五届中国血管论坛(CEC2024)于北京盛大召开,国内外专家齐聚一堂共襄盛会。本次大会设置知名专家面对面、中青年专家论坛、学术专题讲座,病例直(录)播、外周血管介入前沿与争锋辩论赛、疑难病例大查房、复杂血管疾病、血管外科危重症管理、血管疾病治疗并发症处理及预防、外周器械新技术新疗法、下肢动脉减容规范化应用最新证据深度解读、国际专场@CEC等热点板块,全面展现最新的血管疾病诊疗方法和技术,为广大血管外科医务工作者及同道提供了一场内容丰富、高质量、高水平的学术盛宴。
本次大会期间,中国人民解放军总医院第一医学中心贾鑫教授为各位专家同道介绍了《颈动脉狭窄腔内治疗》。贾鑫教授团队分享了一例高龄高危患者的颈动脉狭窄腔内治疗病例。欢迎阅读。
演讲题目:
《颈动脉狭窄腔内治疗》
演讲嘉宾:
贾鑫教授
张敏宏教授
单位:
中国人民解放军总医院第一医学中心

病例概况

患者信息:76岁,男性患者,因“短暂性脑缺血发作(TIA)2个月、双下肢重度跛行10个月”就诊。
危险因素:长期吸烟史、糖尿病、冠心病,合并慢性心力衰竭(心脏超声提示EF值仅38%,反复心衰发作)。
血管病变:
颈动脉超声:左侧颈内动脉重度狭窄(峰值流速325cm/s,狭窄率>70%),右侧颈内动脉完全闭塞;
CTA:主髂动脉完全闭塞,钙化严重。

CTA


手术策略

手术适应症:高危患者的CAS选择依据
患者存在多项高危因素:
高龄(76岁)、心功能极差(EF38%);
对侧颈内动脉完全闭塞(左侧为脑供血主要通路);
左侧颈动脉重度狭窄(TIA发作提示脑缺血风险高)。
此类患者行颈动脉内膜剥脱术(CEA)风险极高,而颈动脉支架成形术(CAS)具有创伤小、对全身耐受性要求低的优势,因此成为首选治疗方案。
入路创新:突破主髂动脉闭塞的限制
常规CAS多经股动脉入路,但该患者主髂动脉完全闭塞,无法通过股动脉建立通路。该病例选择右侧桡动脉入路,其优势在于:
避开闭塞的主髂动脉,直接通过上肢血管到达颈动脉;
术后恢复快(穿刺点用专用压迫器止血,患者当天即可下地活动)。该入路也适用于股动脉通路困难(如严重钙化、狭窄)的患者。

手术关键步骤与操作技巧

术中所需手术器械
6F动脉鞘、SIMMONS导管、90cm长鞘、Filterwire保护伞、5/30mm球囊、8/40mmPRECISE支架

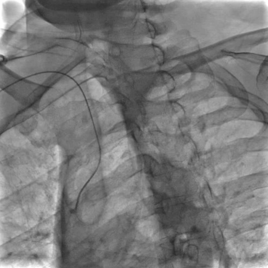
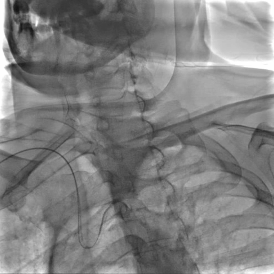
通路建立:精准操作减少血管损伤
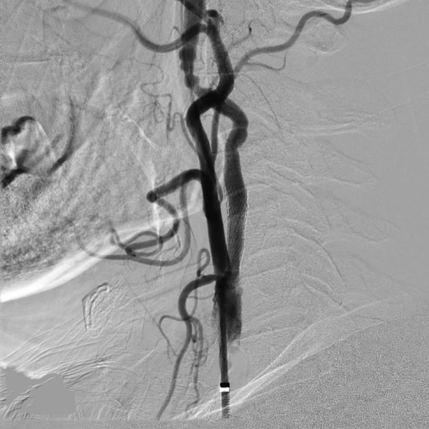
穿刺与鞘管置入:局麻下穿刺右侧桡动脉,置入6F动脉鞘;
导管塑形与定位:使用SIMMONS导管选择左侧颈总动脉,操作时需轻柔(避免导管头端触碰血管壁导致斑块脱落),通过“反八字”塑形可精准对接左侧颈总动脉,导管弯部挂于颈动脉分叉处提供稳定支撑;


长鞘置入:在左前斜位透视下送入90cm长鞘,全程观察方向以避免阻力过大导致血管损伤


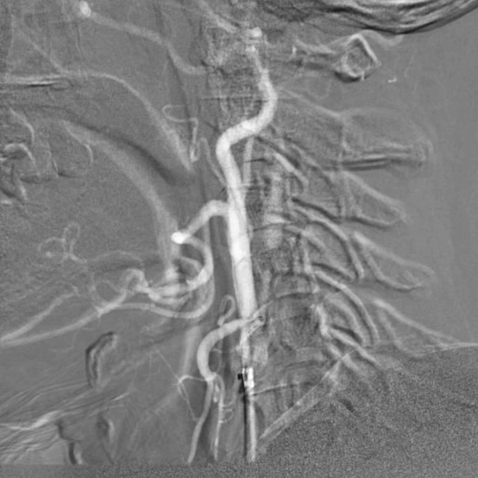
脑保护:Filterwire保护伞的规范使用
选用伞与导丝一体的Filterwire保护伞(on-wire设计),操作要点:导丝尖端柔软,轻松通过狭窄病变;在远端颈内动脉平直段释放保护伞,确保完全贴壁,有效拦截术中脱落的斑块。


预扩张与支架植入:匹配病变特点的器械选择
预扩张:使用5/30mmAviator球囊,扩张前需将患者心率提升至80次/分以上(避免扩张时迷走神经反射导致心率骤降);
支架选择:选用8/40mmPRECISE开环支架,其柔顺性好,适合迂曲的颈动脉解剖结构,定位精准且完全覆盖病变。


保护伞回收:避免斑块脱落的关键细节
释放后观察到保护伞内可能捕获斑块,回收时先收至一半(避免挤压导致斑块溢出);
因支架为开环设计(存在倒钩、毛刺),回收装置通过支架时需轻柔,可通过旋转尾端或调整患者头位避开阻碍,严禁蛮力操作。



术后评估

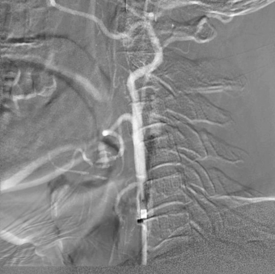
血供改善与安全性验证
造影显示:支架膨胀良好,无需后扩张;
颅内血供:左侧颈内动脉血流通畅,因右侧闭塞,左侧成为全脑主要供血通路,血供恢复满意


总结&病例启示
复杂CAS的临床借鉴意义
高危患者管理:对于心功能差、对侧闭塞的患者,CAS是安全有效的替代方案;
入路灵活性:桡动脉入路为股动脉通路困难者提供新选择,拓展了CAS的适用范围;
操作细节决定安全性:从导管塑形、保护伞释放到支架回收,每一步轻柔精准操作是减少并发症的核心。
该病例展示了在复杂血管条件下,通过精准评估、创新入路和规范操作,CAS可有效改善高危患者的脑血供,为临床提供了宝贵经验。
专家介绍

贾鑫教授
中国人民解放军总医院第一医学中心
血管外科副主任医师
副教授、医学博士
硕士生导师
中国医师协会血管外科分会血管创伤学组副组长 北京医学会血管外科分会主动脉学组副组长
专注于主动脉分支支架和外周动脉器械的研发和临床科研工作。第一作者发表文章20篇,最高影响因子10分。主持省部级课题3项。参与编写专著3部。获得军队医疗成果一等奖和北京市科技成果一等奖。