CEC2024 | 张岚教授:股深静脉血栓评估与清除在急性下肢深静脉血栓形成腔内治疗中的价值

17年来,一直陪伴中国血管医生成长 


2024年10月31日—11月3日,备受瞩目的第十五届中国血管论坛(CEC2024)于北京盛大召开,国内外专家齐聚一堂共襄盛会。本次大会设置知名专家面对面、中青年专家论坛、学术专题讲座,病例直(录)播、外周血管介入前沿与争锋辩论赛、疑难病例大查房、复杂血管疾病、血管外科危重症管理、血管疾病治疗并发症处理及预防、外周器械新技术新疗法、下肢动脉减容规范化应用最新证据深度解读、国际专场@CEC等热点板块,全面展现最新的血管疾病诊疗方法和技术,为广大血管外科医务工作者及同道提供了一场内容丰富、高质量、高水平的学术盛宴。
本次大会期间,上海交通大学医学院附属仁济医院张岚教授为各位专家同道介绍了《股深静脉血栓评估与清除在急性下肢深静脉血栓形成腔内治疗中的价值》。欢迎阅读。
演讲题目:
《股深静脉血栓评估与清除
在急性下肢深静脉血栓形成腔内治疗中的价值》
演讲嘉宾:
张岚教授
单位:
上海交通大学医学院附属仁济医院

下肢深静脉血栓(DVT)概述

DVT的症状
小腿或大腿会出现以下一至多项
肿胀
疼痛

DVT的体征
单侧水肿、皮肤发红
皮肤升高
压痛
栓塞的静脉绳索样硬化
“Homan’s征”

1.Kruit W H, et al.J Inter Med 1991; 230:333–339


急性 DVT 的腔内血栓清除方式


药物溶栓
全身溶栓:尿激酶、r-TPA
导管接触溶栓:尿激酶、r-TPA

机械取栓
血管壁接触取栓:Fogarty导管、Cleaner XT
非血管壁接触取栓:AngioJet、Rotarex、Indigo、大腔导管吸栓、负压辅助吸栓装置



PMT 治疗中血栓清除不彻底的主要原因

PMT与血栓负荷清除
血栓残余是导致疗效不佳、后期PTS的重要因素
急性DVT PMT血栓清除不彻底的两大主要原因
股总静脉及髂静脉血栓残留
流入道腘静脉和小腿远端血栓

股静脉与髂静脉血栓负荷有效清除
PMT后股总及髂静脉血栓残留
2-3次吸栓后仍有大量血栓残余
CDT后血栓仍难以清除
PTA反复扩张效果不佳
支架全程覆盖势必跨关节影响通畅率

双向入路球囊辅助下吸栓定向压迫超声引导下吸栓运用多器械联合吸栓抗凝。

股深静脉血栓负荷清除的临床意义
股深静脉流入道血流是否影响股总静脉和髂脉支架的通畅性?
股深静脉血栓是否影响PTS发生及其严重程度?


技术策略与入路选择
改变穿刺入路(对侧股静脉翻山/小腿深静脉穿刺)
改善流入道血流
提高血栓清除率
降低远期PTS发生率

典型病例展示
★ Case
患者女性,78岁
主诉:左下肢突发肿胀3天
查体:左下肢肿胀明显,大腿周径较对侧粗5cm,小腿周径较对侧粗5cm
合并症:高血压、腰椎间盘突出
检查:D二聚体 5.41mg/l
超声:左侧髂股静脉血栓形成


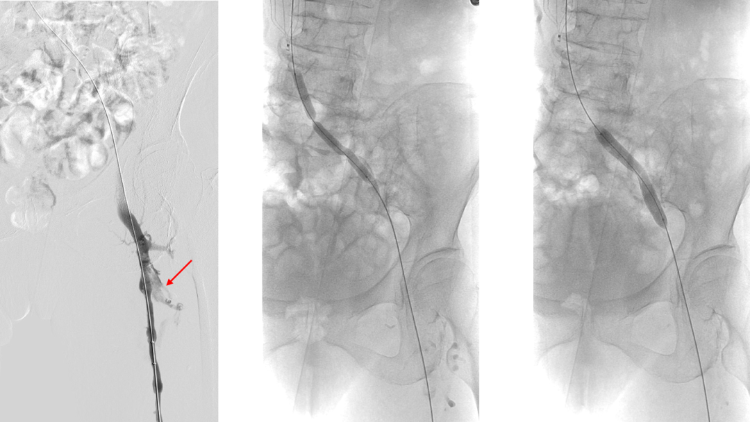
左足背静脉造影:左小腿深静脉、腘静脉通畅,股浅静脉、股总静脉及髂静脉血栓

左腘静脉穿刺置鞘,对近端血栓行AngioJet喷注尿激酶后吸栓,吸栓后股浅静脉恢复通畅

复查造影:股深静脉内血栓,股总静脉血流瘀滞,左髂静脉狭窄行PTA

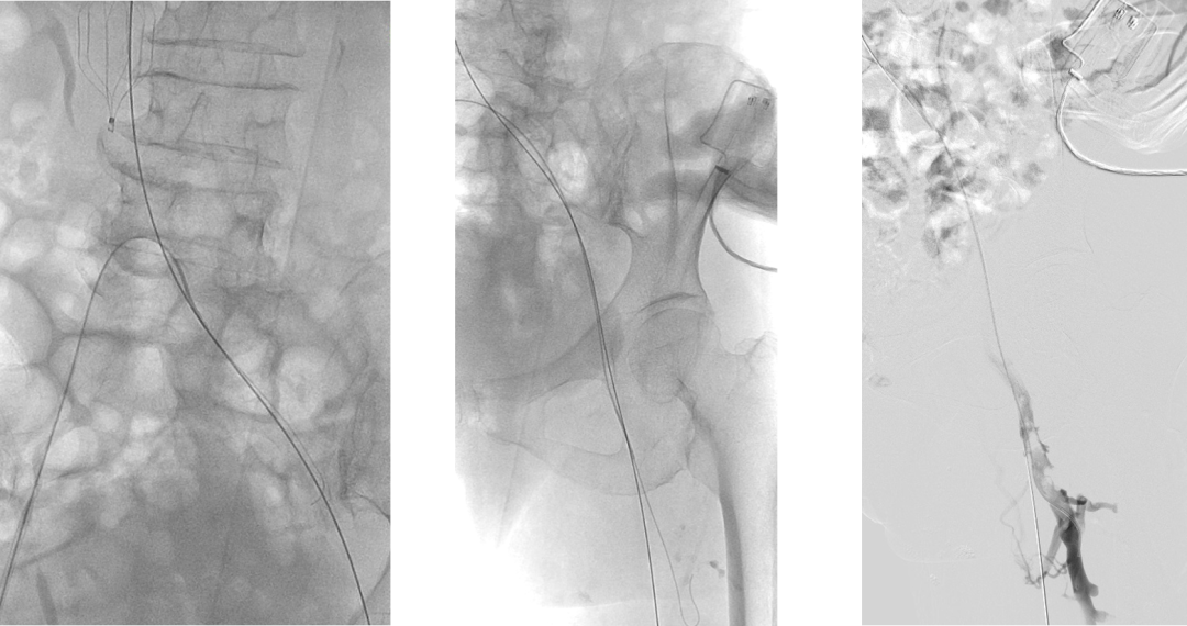
Simon导管翻山后导丝进入股深静脉,造影明确股深静脉血栓范围

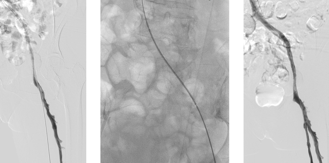
股深静脉吸栓后通畅,于左髂静脉置入14*80mm支架,复查造影血流均通畅

术后艾多沙班60mg qd口服抗凝
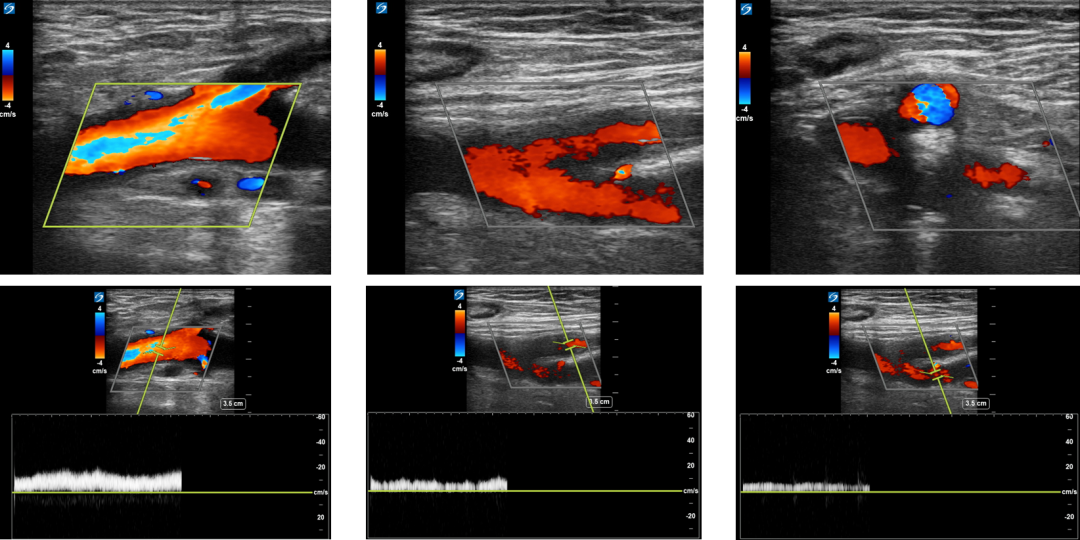
3月超声随访:左股总、股浅、股深静脉均通畅

单中心回顾性研究
回顾性分析2022年1月至2023年09月于我院对股深静脉血栓行PMT的急 性下肢DVT患者临床资料
纳入22例患者,年龄35~78(57±12)岁,其中男12例,女10例,左下肢17例,右下肢5例
8例患者为髂静脉-股静脉血栓、14例为髂静脉-股静脉-腘静脉血栓
均一期对股深静脉血栓进行PMT治疗
入路选择:
对侧股总静脉“翻山”:5例
对侧股总静脉“翻山”联合患侧顺行入路:17例
随访指标:
疗效指标:术后12个月的髂股静脉一期通畅率、PTS发生率、中重度PTS发生率、再干预率
安全性指标:手术严重并发症率、出血并发症率和围手术期死亡率
结果:
术后12个月髂股静脉的一期通畅率为90.9%(20/22)
术后12个月PTS发生率为9.1%(2/22),中重度PTS发生率为4.5%(1/22),再干预率为9.1%(2/22)
结语
通过顺行与“翻山”双向入路结合,先顺行处理血栓和髂静脉狭窄,再“翻山”评估股深静脉血栓,避免了髂静脉狭窄合并血栓“翻山”困难、技术失败和手术时间明显延长
有效评估股深静脉血栓,一期行PMT清除,改善股总静脉及髂静脉支架流入道血流,提高髂静脉支架通畅率
专家介绍

张岚教授
上海交通大学医学院
附属仁济医院
血管外科科主任
主任医师,博士生导师
学术职务
中华医学会外科学分会血管外科学组委员
上海市医学会血管外科专科分会副主任委员
中国医疗保健国际交流促进会血管外科学分会副主任委员
中国医师协会血管外科医师分会常务委员
上海市医师协会血管外科医师分会副会长
中国老年医学学会周围血管疾病管理分会副会长
从事血管外科临床工作与基础研究三十余年,熟练掌握微血管吻合技术,开展下肢深静脉瓣膜重建术、静脉腔内激光灼闭术、动脉旁路转流术、动脉内膜剥脱术、动静脉瘘血管通路术、肢体血管重建术、血管瘤切除重建术以及动脉疾病、静脉疾病微创腔内介入诊治术等。
擅长动脉粥样硬化闭塞性疾病、脉管炎、动脉瘤、下肢静脉功能不全、深静脉血栓形成和尿毒症病人血透通路建立的诊断、手术和微创腔内介入治疗。2009年作为访问学者进修于加拿大西安大略大学(university of Western Ontario)。2012年获得上海市教委“中青年教师出国访学计划”资助,作为高级访问学者于美国辛辛那提大学心血管研究中心和美国乔治亚摄政大学血管生物学中心进修学习。
医疗特长:下肢静脉功能不全、深静脉血栓形成、动脉粥样硬化闭塞性疾病、脉管炎和尿毒症病人血透通路建立的手术及微创介入治疗。