CEC2024 | 史振宇教授:股腘动脉支再闭塞的腔内治疗 策略与实践

17年来,一直陪伴中国血管医生成长 


2024年10月31日—11月3日,备受瞩目的第十五届中国血管论坛(CEC2024)于北京盛大召开,国内外专家齐聚一堂共襄盛会。本次大会设置知名专家面对面、中青年专家论坛、学术专题讲座,病例直(录)播、外周血管介入前沿与争锋辩论赛、疑难病例大查房、复杂血管疾病、血管外科危重症管理、血管疾病治疗并发症处理及预防、外周器械新技术新疗法、下肢动脉减容规范化应用最新证据深度解读、国际专场@CEC等热点板块,全面展现最新的血管疾病诊疗方法和技术,为广大血管外科医务工作者及同道提供了一场内容丰富、高质量、高水平的学术盛宴。
本次大会期间,复旦大学附属中山医院史振宇教授为各位专家同道介绍了《股腘动脉支再闭塞的腔内治疗策略与实践》。欢迎阅读。
演讲题目:
《股腘动脉支再闭塞的腔内治疗
策略与实践》
演讲嘉宾:
史振宇教授
单位:
复旦大学附属中山医院

股腘动脉支架再闭塞的
病因与治疗时机选择
Part.1
核心病因分类


股腘动脉支架再闭塞的原因
内膜增生闭塞
支架内血栓形成
Part.2
治疗时机把控

治疗时机:
再狭窄(I、II型):尽早干预
急性再闭塞:尽早干预
慢性再闭塞(III型):到重度间跛或者CLI再处理

股腘动脉支架再闭塞的腔内治疗核心方案
Part.1
药物相关介入治疗

保守治疗:锻炼、药物治疗
腔内治疗
球囊扩张:普通球囊、刻痕球囊、药涂球囊(DCB)
支架植入:裸支架、覆膜支架、药涂支架(DES)
腔内减容:溶栓、碎栓、内膜切除或消融、激光
传统手术:旁路手术
哪种腔内治疗手段对于支架内完全闭塞更有效?

覆膜支架


药涂支架 ZilverPTX支架

药涂支架 Eluvia支架:COMBAT-ISR 研究

Rotarex

Part.2
激光+DCB Vs DCB



随访


临床实践数据与病例分析
Part.1
FPSTORE 研究结果

基于Vascbase全国多中心真实世界研究:FP-RESTORE研究


)
TLR危险因素分析

TLR危险因素分析

TLR危险因素分析

Part.2
典型病例分享

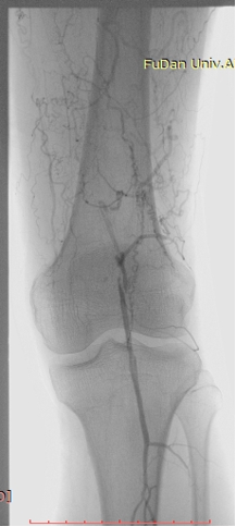
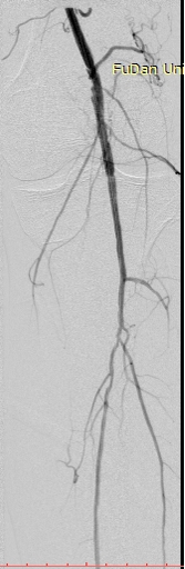
病例-1 男性,77岁,左下肢SFA支架术后7年,旁路术后3年静息痛 ABI:左侧 0.35













病例-2 男性,69岁,外院股腘动脉支架后再狭窄DCB后1年复发,右侧为重

















小结
治疗时机:
急性闭塞早干预;慢性闭塞,重度间跛/CLI再干预
治疗方法:
注意区分内膜增生/血栓为主闭塞
内膜增生为主闭塞:减容或者POBA+DCB/DES
血栓为主闭塞:血栓清除后DCB/覆膜支架/DES
注意保留近远端流入流出道,为旁路手术留余地
真实世界研究显示腔内治疗技术成功率高、总体疗效较理想
专家介绍

史振宇教授
复旦大学附属中山医院
血管外科 主任医师
博士研究生导师
中国医师协会血管外科专业委员会静脉学组副组长
中国医师协会腔内血管学专业委员会中青年委员
全国院内VTE防治能力建设项目评审专家
上海VTE防治联盟秘书
国际血管联盟(IUA)委员
IUA中国区静脉血栓栓塞症副主委中青年副主委
美国血管外科学会国际会员
中国医疗促进会血管外科专业委员会血栓与抗凝专家委员会常委
中国医师协会腔内血管学专业委员会内脏动脉疾病专家委员会委员
海峡两岸医疗交流协会静脉学组委员