CEC2024 | 张童教授:下肢动脉腔内治疗一站式优化方案探讨 定向旋切减容联合载药器械实践



2024年10月31日—11月3日,备受瞩目的第十五届中国血管论坛(CEC2024)于北京盛大召开,国内外专家齐聚一堂共襄盛会。本次大会设置知名专家面对面、中青年专家论坛、学术专题讲座,病例直(录)播、外周血管介入前沿与争锋辩论赛、疑难病例大查房、复杂血管疾病、血管外科危重症管理、血管疾病治疗并发症处理及预防、外周器械新技术新疗法、下肢动脉减容规范化应用最新证据深度解读、国际专场@CEC等热点板块,全面展现最新的血管疾病诊疗方法和技术,为广大血管外科医务工作者及同道提供了一场内容丰富、高质量、高水平的学术盛宴。
本次大会期间,清华大学附属北京清华长庚医院张童教授为各位专家同道介绍了《下肢动脉腔内治疗一站式优化方案探讨定向旋切减容联合载药器械实践》。欢迎阅读。
演讲题目:
《下肢动脉腔内治疗一站式优化方案探讨
定向旋切减容联合载药器械实践》
演讲嘉宾:
张童教授
单位:
清华大学附属北京清华长庚医院
下肢动脉长段闭塞性病变
的治疗挑战与核心方向
★ 高难度病变的临床界定与治疗困境


★ 国内外临床研究佐证
Reality 实验结果(股髂动脉段 12 个月通畅率 76.7%、CDTR 率 92%)




治疗难点与应对策略
★ 特殊病变的挑战与处理
病例 1


SFA前壁:猪尾修剪+ T12



夹层中求生存


TURBOHAWK LX-M + SPIDER FX 5.0












DCB 5.0-300mm,5.5-80mm


即刻结果



术后36月复查结果



病例2

性别:男性
年龄:71岁
主诉:左下肢间跛3年(间跛距离300米)静息痛3月
危险因素:高血压、高脂血症、冠心病、长期吸烟史
CTA:左侧股总动脉高钙化性偏心性严重狭窄病变,左股浅动脉及腘动脉全程弥漫性钙化病变,节段性狭窄,股浅动脉远段至腘动脉P1段完全闭塞,左侧胫前动脉至足背动脉闭塞
ABI:左侧0.37,右侧0.81



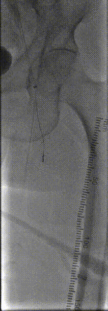
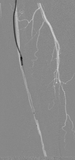
图为:术中造影评估 髂股段



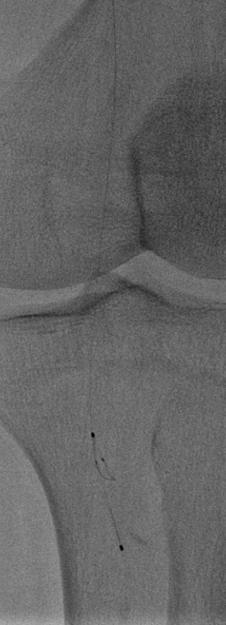
图为:术中造影评估 膝下踝下段
根据PACSS 透视/DSA下钙化分级属于PACSS Grade 4C






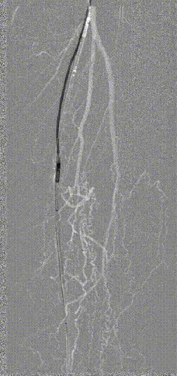
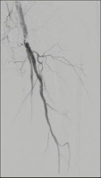
图为:导丝通过病变 置入保护伞 使用Turbohawk定向旋切


图为:股总动脉珊瑚礁病变定向旋切结果股浅动脉段尚未完成定向旋切



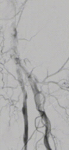
图为:血管准备:股浅旋切后球囊全程节段逐级式扩张



图为:评估血管准备:闭塞段残余狭窄90% ELUVIA全覆盖该区域病变





术前ABI:
左侧0.37
右侧0.81
术后ABI:
左侧0.91
右侧0.84
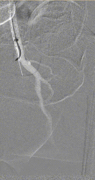
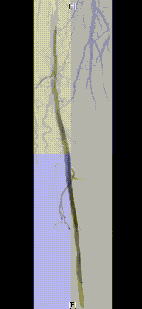
图为:股腘动脉DAART+区域性DES 最终造影

图为:2023年11月 2年后复查

2年后(2023-11)复查
下肢动脉CTA提示左股腘动脉通畅,DES区域未见内膜增生管腔丢失表现

临床实践数据与疗效验证
★ 单中心实践成果(120 例病例分析)



The limb salvage PAteNcy rate after Directional Atherectomy combined with DCB in lower extremities手术技术成功率为94.1%(127/135条);术后6个月和12个月随访率分别为91.9%(113/123例)及85.4%(105/123例)
★ DAART优势

适用广:病变类型和病变范围
针对强:偏心病变和分叉病变
糖尿病:通畅率保肢率免干预率
后路多:腔内治疗和开放旁路
研究深:病理获得和管腔重构
★ DAART规避

严重断裂支架内(抱死)
异常严重钙化长病变(堵仓)
严重迂曲区域(甩头)
直径2mm下动脉(过粗)
结语
1、DAART技术通过精准斑块切除与药物涂层球囊联合应用,显著提升血管通畅率,降低再干预风险,展现优异临床效果。
2、该技术兼具良好的卫生经济学价值,长期随访显示其能显著减少重复治疗费用,具备较高的成本效益比。
3、在处理复杂病变如跨膝关节、严重钙化及长段闭塞时,DA-ART展现出较强的适应性与安全性,保肢率高。
4、PANDA Research单中心前瞻性单臂注册研究显示DAART手术技术成功率为94.1%(127/135);术后6个月和12个月随访率分别为91.9%(113/123)及85.4%(105/123)。
5、DAART需规避以下病变:严重断裂支架内、异常严重钙化长病变、严重迁曲区域、直径2mm以下动脉,以免出现抱死、堵仓、甩头等问题,未来需结合医工融合持续优化器械设计,推动血管减容技术进一步规范与发展。
专家介绍

张童教授
清华大学附属
北京清华长庚医院
副主任医师,教授
清华大学医工结合创新领军博士
中西医结合学会周围血管专业委员会委员
国际血管联盟中国分会青年委员会委员
国际血管外科协会会员
中国微循环协会青年委员会副主任委员
中国医师协会腔内血管学专业委员会糖尿病足专家委员会委员
中国医师协会腔内血管学专业委员会下肢动脉专家委员会委员
中国医师协会血管外科分会血管创伤学组委员
目前已在JACC、《中华放射学》、《中华普通外科学》、《中华医学》、《中国中西医结合杂志》等核心期刊发表论文,并参与撰写《微创血管外科学》一书,参与编译《实用周围血管介入治疗》一书,