CEC2024 | 黄建华教授:脾动脉瘤腔内治疗策略



2024年10月31日—11月3日,备受瞩目的第十五届中国血管论坛(CEC2024)于北京盛大召开,国内外专家齐聚一堂共襄盛会。本次大会设置知名专家面对面、中青年专家论坛、学术专题讲座,病例直(录)播、外周血管介入前沿与争锋辩论赛、疑难病例大查房、复杂血管疾病、血管外科危重症管理、血管疾病治疗并发症处理及预防、外周器械新技术新疗法、下肢动脉减容规范化应用最新证据深度解读、国际专场@CEC等热点板块,全面展现最新的血管疾病诊疗方法和技术,为广大血管外科医务工作者及同道提供了一场内容丰富、高质量、高水平的学术盛宴。
本次大会期间,中南大学湘雅医院血管外科黄建华教授为各位专家同道介绍了《脾动脉瘤腔内治疗策略》。欢迎阅读。
演讲题目:
《脾动脉瘤腔内治疗策略》
演讲嘉宾:
黄建华教授
单位:
中南大学湘雅医院血管外科

概述
1
脾动脉瘤概述

发病率0.1-10.4%
内脏动脉瘤中最常见的动脉瘤
主要危险在于破裂
目前首选腔内治疗
2
脾动脉瘤按部位分型

远离脾门型
近脾门型
中间型

腔内治疗核心术式
1
直接填塞

适于开口细小,弹簧圈不易脱出者
材料用波科可控弹簧圈或者电解脱弹簧圈
为了达到致密栓塞还可以配合Onlyx胶填充
2
裸支架加填塞

适于开口较大,为保持脾动脉通畅,防止弹簧圈脱出者
因脾动脉是可以栓塞的,故很少用裸支架支撑
3
两端填塞

适于动脉瘤腔大,两端填塞,节省费用
为了动脉瘤尽早血栓化,也可瘤腔填塞部分弹簧圈
4
带膜支架隔绝

适于脾动脉主干动脉瘤,
带膜支架可以跨过动脉瘤开口

典型病例应用解析
1
病例1 动脉瘤栓塞



2
病例2 分支栓塞+瘤腔栓塞


3
病例3 瘤腔栓塞加胶填充



4
病例4 两端栓塞+瘤腔填塞



5
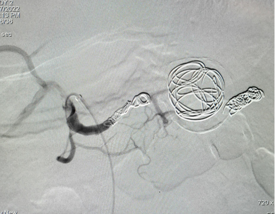
病例5 多发动脉瘤分支+主干栓塞


图为:分支栓塞

图为:主干栓塞最后造影
6
病例6 脾动脉瘤Viabahn支架隔绝


图为:术后复查
7
病例7 脾动脉瘤戴膜支架隔绝


8
病例8 脾动脉瘤破裂直接栓塞




结语
脾动脉瘤是内脏动脉瘤中最常见的动脉瘤
根据动脉瘤发生的部位腔内治疗方式有多种选择
采取瘤腔栓塞、两端栓塞和带膜支架隔绝都是有效的方法。
专家介绍

黄建华教授
中南大学湘雅医院
血管外科,外科学博士,教授,主任医师,硕士研究生导师
中国医师协会血管外科分会血管并发症学组副组长;
中华医学会外科分会血管外科专业组委员;
中国医师协会血管外科分会常委;
中国医师协会腔内血管外科委员会血管肿瘤学组副主委;
中国老年医学学会周围血管病管理分会副会长,
海峡两岸医药卫生交流协会血管外科专家委员会委员;
中国医疗器械行业协会血管器械委员会委员;
中国研究型医院协会血管医学专业委员会常委;
海峡两岸医药卫生交流协会血管外科专委会并发症学组委员;
中国医疗保健国际交流促进会血管外科分会血栓与抗凝学组常委;
湖南省医学会血管外科专业委员会主委
湖南省医师协会血管外科医师分会名誉会长;
湖南省医院协会血管病诊疗管理专业委员会副主任委员。
同时兼任《中华血管外科杂志》编委,
《中国血管外科杂志》电子版编委;
中国普通外科杂志编委,
《腹部外科杂志》编委。