CEC2024 | 殷敏毅教授团队:DES VS DCB,复杂股腘动脉腔内治疗的首选?



2024年10月31日—11月3日,备受瞩目的第十五届中国血管论坛(CEC2024)于北京盛大召开,国内外专家齐聚一堂共襄盛会。本次大会设置知名专家面对面、中青年专家论坛、学术专题讲座,病例直(录)播、外周血管介入前沿与争锋辩论赛、疑难病例大查房、复杂血管疾病、血管外科危重症管理、血管疾病治疗并发症处理及预防、外周器械新技术新疗法、下肢动脉减容规范化应用最新证据深度解读、国际专场@CEC等热点板块,全面展现最新的血管疾病诊疗方法和技术,为广大血管外科医务工作者及同道提供了一场内容丰富、高质量、高水平的学术盛宴。
本次大会期间,上海交通大学医学院附属第九人民医院殷敏毅教授团队为各位专家同道介绍了《DES VS DCB 复杂股腘动脉腔内治疗的首选?》。欢迎阅读。
演讲题目:
《DES VS DCB复杂股腘动脉腔内治疗的首选?》
演讲嘉宾:
殷敏毅教授
单位:
上海交通大学医学院附属第九人民医院
复杂股腘动脉病变的挑战
股腘动脉是下肢动脉疾病的好发部位。临床上,复杂的股腘动脉病变通常具有以下一个或多个特征:
长段病变(长度 > 15cm)
完全闭塞性病变
严重钙化病变
对于这类复杂病变,如何选择最佳的腔内治疗策略以维持血管的长期通畅,是血管外科医生面临的重要挑战。药物涂层球囊和药物洗脱支架是当前的主流选择。本文将基于最新的真实世界研究和Meta分析,探讨DCB与DES在复杂股腘动脉病变中的应用与选择。

图:复杂股腘动脉病变CT
DCB在复杂病变中的
真实世界表现:POPCORN研究
POPCORN研究 是一项在日本开展的大规模、前瞻性、多中心真实世界研究,旨在评估DCB治疗股腘动脉疾病的安全性和有效性。
01
研究情况
研究规模:纳入81家中心的2557例患者,3236处病变。
患者与病变特征:患者平均年龄74岁,合并糖尿病者占65%,慢性威胁性肢体缺血占32%。病变平均长度为13.5±9.3 cm,完全闭塞病变占26%,PACSS分级3级以上的严重钙化达34%。
器械使用:75%使用高剂量IN.PACT DCB,25%使用低剂量Lutonix DCB。
02
主要结果
1年无再狭窄率为 84.5%(14个月时的一期通畅率为79.7%)。
1年无靶病变血运重建率为 91.5%。
再狭窄的独立危险因素包括:既往血运重建史、远端参考血管直径较小、严重钙化、完全闭塞病变、使用低剂量DCB以及残余狭窄。
结论:POPCORN研究证实,DCB在包含大量复杂病变的真实世界人群中,取得了令人鼓舞的1年疗效。

图:POPCORN研究
DES在复杂病变中的真实世界
表现:CAPSICUM研究
CAPSICUM研究 是一项与POPCORN研究设计相似的真实世界研究,专门评估基于氟聚合物的药物洗脱支架在股腘动脉的应用。
1
研究情况
研究规模:纳入60家中心的1097例患者,1204条患肢。
患者与病变特征:患者基线病情更为复杂,平均年龄75岁,慢性威胁性肢体缺血占35%。病变平均长度更长,达18.6±9.9 cm,完全闭塞病变比例高达53%,双侧钙化比例达42%。
器械使用:全部使用ELUVIA DES。
2
主要结果
1年无再狭窄率为 87.1%。
结论:CAPSICUM研究表明,即使在病变长度和复杂度更高的真实世界人群中,ELUVIA DES也展现了优异的1年通畅率。

图:CAPSICUM研究
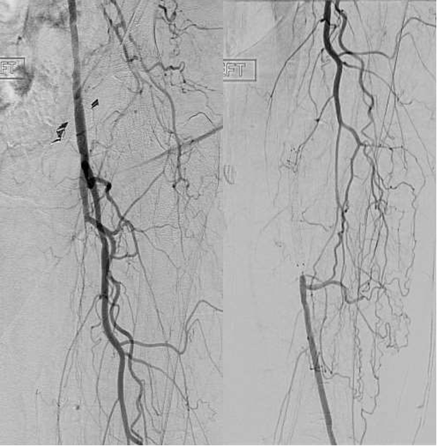
头对头比较:
DCB vs. DES--CAPRICORN研究
为了直接比较DCB与DES的疗效,研究者将POPCORN(DCB队列)和CAPSICUM(DES队列)的数据进行匹配分析,形成了CAPRICORN研究。
★ 匹配前
DES组患者在CLTI比例、病变长度、完全闭塞和严重钙化比例等方面均显著高于DCB组,表明在真实世界中DES更倾向于被用于治疗更复杂的病变。

图:研究数据
★ 匹配后
成功匹配出728对患者,两组患者的基线特征(如年龄、性别、并发症、病变长度、钙化程度等)达到平衡,具有可比性。

图:研究数据
★ 研究结论
该研究直接对比显示,在匹配后的复杂病变人群中,DES在临床疗效上优于DCB。

图:对比结果
循证医学的整合:最新Meta分析观点
尽管CAPRICORN研究支持DES,但更广泛的证据则呈现不同观点。近期的多项系统评价和Meta分析给出了更综合的结论:
01
部分Meta分析
Ann Vasc Surg. 2022和 Vasc Endovascular Surg. 2022指出,对于股腘动脉疾病,DES与DCB在1年一期通畅率、靶病变血运重建和全因死亡率方面无显著差异。
02
另一项Meta分析
Ann Vasc Surg. 2023进行了更细致的区分:
对于原生动脉粥样硬化性病变,单纯的DES在一期通畅率和避免靶病变血运重建方面优于单纯的DCB。
然而,“DCB联合减容技术及补救性支架”的策略,其效果可能优于单一的DES植入。
技术细节与临床启示:如何优化DES的疗效
DES的疗效并非绝对,其长期通畅率受到技术操作细节的显著影响。研究表明,以下因素是DES术后再狭窄的高风险因素:
支架边缘斑块负荷 > 50%
支架内最小管腔面积 < 12 mm²
支架超越P1段
因此,在植入DES时,应注重精准定位,避免在严重斑块负荷处放置支架边缘,并尽可能避免支架过长进入膝关节以远的腘动脉段,以降低因关节屈伸运动导致的机械性刺激和再狭窄风险。

总结与体会
证据级别:目前尚缺乏绝对高级别的随机对照试验证据,明确证实DES的临床疗效在所有场景下均优于DCB。但CAPRICORN这样的真实世界匹配研究提供了强有力的倾向性证据。
病变复杂性:对于极其复杂的长段、闭塞、钙化病变,尤其是临床表现为CLTI的患者,DES可能提供更优的初期支撑和药物递送,带来更稳定的中期通畅率。
组合策略:DCB联合斑块减容技术作为一种“Leave nothing behind”的策略,可能是另一种有效选择,甚至在某些情况下优于单一DES治疗,但这需要更多数据支持。
技术是关键:无论选择DES还是DCB,精细的操作和规避已知的技术风险因素是确保治疗成功和长期效果的基石。
综上所述,对于复杂股腘动脉病变的治疗,应基于患者的具体解剖特征、临床表现、可用技术和术者经验,进行个体化决策。DES在当前证据下显示出在复杂病变中的优势,但DCB及其组合策略仍是重要的治疗选项。
专家介绍

殷敏毅教授
上海交通大学医学院
附属第九人民医院医院
血管外科主任医师
博士
国家自然科学基金评审专家 医学会医疗事故技术鉴定专家
以第一完成人承担国家自然科学基金3项,省部级课题5项。以第一作者和通讯作者发表论著100余篇。参编《临床血管外科学》等专著5册。
美国斯坦福大学访问学者
美国克里夫兰医学中心访问学者
法国公立医院集团(APHP)临床研究培训认证
国际腔内血管外科协会委员(ISES)
美国血管外科协会国际委员(SVS)
国际血管联盟中国分部青委会副主任委员
中国微循环学会周围血管疾病专业委员会青委会副主任委员
《中华实验外科杂志》、《中华血管外科杂志》编委,《Journal of Endovascular Therapy》、《Journal of Vascular Surgery》等国际杂志审稿专家