CEC2024 | 卢伟锋教授:载药时代膝下动脉病变治疗策略



2024年10月31日—11月3日,备受瞩目的第十五届中国血管论坛(CEC2024)于北京盛大召开,国内外专家齐聚一堂共襄盛会。本次大会设置知名专家面对面、中青年专家论坛、学术专题讲座,病例直(录)播、外周血管介入前沿与争锋辩论赛、疑难病例大查房、复杂血管疾病、血管外科危重症管理、血管疾病治疗并发症处理及预防、外周器械新技术新疗法、下肢动脉减容规范化应用最新证据深度解读、国际专场@CEC等热点板块,全面展现最新的血管疾病诊疗方法和技术,为广大血管外科医务工作者及同道提供了一场内容丰富、高质量、高水平的学术盛宴。
本次大会期间,复旦大学附属中山医院厦门医院卢伟锋教授为各位专家同道介绍了《载药时代膝下动脉病变治疗策略》。欢迎阅读。
演讲题目:
《载药时代膝下动脉病变治疗策略》
演讲嘉宾:
卢伟锋教授
单位:
复旦大学附属中山医院厦门医院
概述
★ 膝下动脉病变特点
与股腘动脉相比,膝下病变更复杂
直径小:多小于4mm
闭塞率高:66%为闭塞病变
多为长段病变:50%闭塞病变长度>10cm
多支病变多见:28%患者三支全闭
常合并弥散性中膜钙化
常合并糖尿病,处理更难
常表现为严重肢体缺血

病例分析


图为:左股动脉内膜剥脱

图为:术前造影:腘动脉P3胫前起始部显影

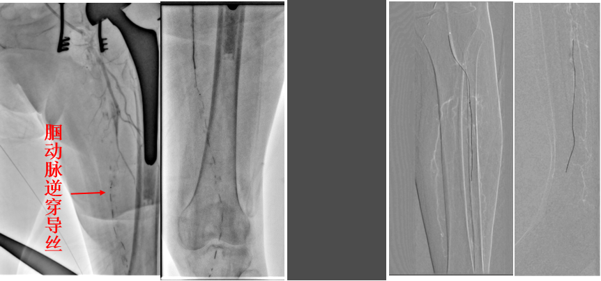
图为:导丝进入ATA,远端无法回真腔



图为:足背动脉穿刺对接

图为:药涂球囊扩张图为:药涂球囊扩张




图为:支架植入


图为:术后造影

术后用药和随访
术后足背动脉搏动好
拜阿司匹林 0.1 qd
拜瑞妥10mg qd
阿托伐他汀 20mg qn
凯那 20ug tid
术后1个月创面愈合
载药时代膝下动脉病变治疗

★从Angiosome到Angiographosome


★ Wifi分级到GLASS 分期

★ 膝下动脉流出道:BTA和PPL

★ 远端流出道和血流灌注的评估


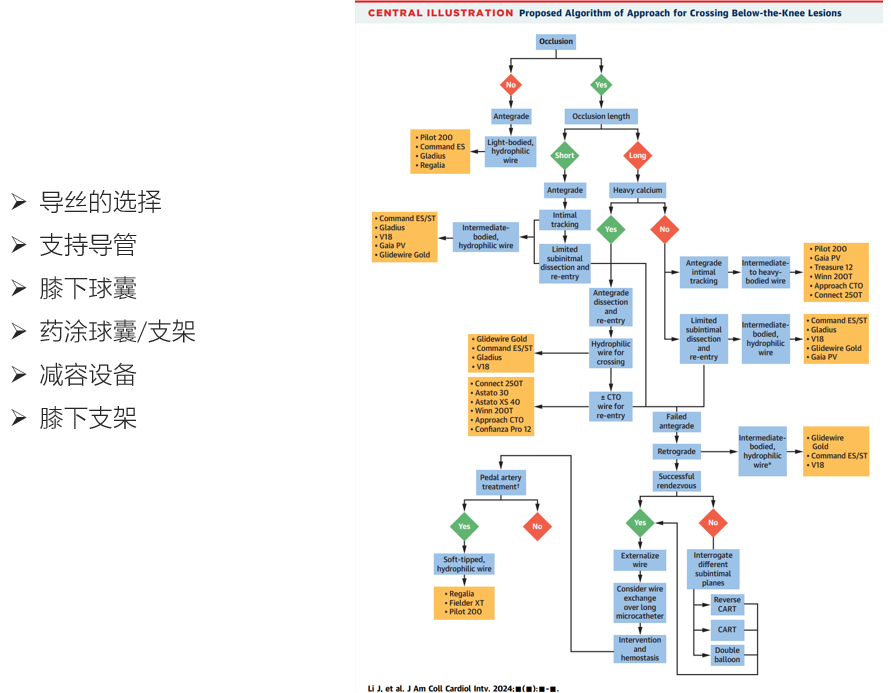
★ 膝下动脉病变开通技术

★ 器具的选择

结语
完整的足弓重建、BTA重建、Angiosome和Angiograhosome理念的改变,目标是促进创面愈合
目前膝下动脉血运重建首选普通球囊扩张,有条件时可选择特殊球囊、减容装置、药物涂层球囊和支架
如果条件允许,术中尽量利用二维 / 三维灌注血管造影实时量化足部灌注情况,进而提高中远期疗效
专家介绍

卢伟锋教授
复旦大学附属中山医院
厦门医院
博士,主任医师
复旦中山厦门医院
血管外科执行主任
福建省委组织部公派赴美国血管外科访问学者
中国医师协会血管外科分会下肢动脉学组委员
中国医师协会腔内血管学专业委员会主动脉夹层专家委员会委员
中国心胸血管麻醉学会血管外科分会副秘书长
亚太血管联盟青委会副秘书长
国际血管联盟中国青委会常委
国际血管联盟中国分会静脉血栓栓塞专家委员会委员
福建省海峡医药卫生交流协会血管外科专业委员会常委
福建省中西医结合学会血管脉络病分会副主任委员
福建省医师协会普通外科分会血管与腔内血管外科学组副组长
厦门市医师协会血管外科分会副会长
厦门市医学会血管外科分会主任委员
END



注释:本平台旨在帮助医疗卫生专业人士更好地了解相关血管疾病领域最新进展,本文仅代表专家个人观点,旨在促进学术信息的交流与沟通。若涉及版权问题,烦请权利人与我们联系,我们将尽快处理。