CEC2024 | 徐益鸣教授:节约型三明治模式治疗盆腔静脉疾病



2024年10月31日—11月3日,备受瞩目的第十五届中国血管论坛(CEC2024)于北京盛大召开,国内外专家齐聚一堂共襄盛会。本次大会设置知名专家面对面、中青年专家论坛、学术专题讲座,病例直(录)播、外周血管介入前沿与争锋辩论赛、疑难病例大查房、复杂血管疾病、血管外科危重症管理、血管疾病治疗并发症处理及预防、外周器械新技术新疗法、下肢动脉减容规范化应用最新证据深度解读、国际专场@CEC等热点板块,全面展现最新的血管疾病诊疗方法和技术,为广大血管外科医务工作者及同道提供了一场内容丰富、高质量、高水平的学术盛宴。
本次大会期间,厦门大学附属中山医院徐益鸣教授为各位专家同道介绍了《节约型三明治模式治疗盆腔静脉疾病》。欢迎阅读。
演讲题目:
《节约型三明治模式治疗盆腔静脉疾病》
演讲嘉宾:
徐益鸣教授
单位:
厦门大学附属中山医院

盆腔静脉疾病(PeVD)概述

一组因腹盆腔静脉功能异常(反流或和梗阻)引起的症状(Pelvic Venous Disorders)。 症状多样非特异:
腹痛、血尿 (left renal vein
compression);
慢性盆腔痛 (pelvic varicosities
associated with primary reflux in the ovarian/internal iliac veins or obstruction of the left renal or common iliac veins);
静脉型跛行(iliac venous obstruction);
静脉曲张相关症状(vulva/testicles, medial and posterior thigh, sciatic nerve);
既往传统命名:
盆腔淤血综合征;
May-Thurner 综合征;
胡桃夹综合征。


SVP2021

PeVD与非典型静脉曲张的关系


盆腔静脉泄压点
CP与PeVD尤其密切
预测晚期CVD病变(C4/C5/C6)的敏感度达到93%,特异性53%;
出现VU的可能性(OR)5.3倍;
配合VCSS评分以及病理分型(E)可提高诊疗有效性。





PeVD诊疗流程


ESVS2022




CTV&MRV获得整体评估

MR(T2)可发现泄漏点
初筛与评估
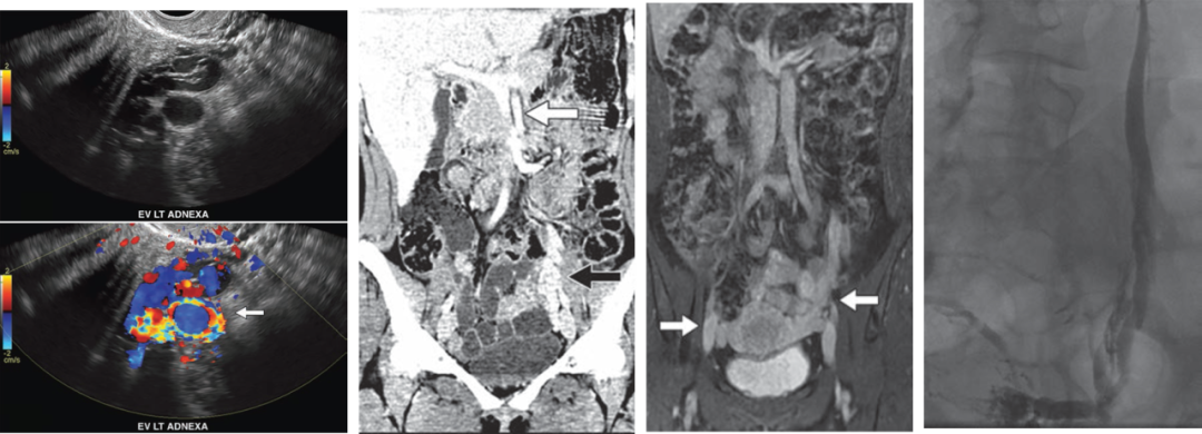
彩色多普勒超声:首选检查,“彩盘蛇”征象提示反流。
CTV / MRV:提供详细解剖结构,指导手术规划。
盆腔静脉造影(DSA):被视为“金标准”,用于制定栓塞策略。
腹腔镜探查:用于排除其他盆腔病因。

DSA分型系统


DSA分型
Ⅰ型:双侧瘤巢,对侧性腺静脉返流
Ⅱ型:单侧瘤巢,同侧髂内静脉返流
Ⅲ型:宫旁泄露,合并髂内下肢沟通
Ⅳ型:继发返流,肾或髂返流或畸形
Ⅴ型:其他特殊型
盆腔整体系统的动力学评估


SVP+CEAP分类
ZONE 1-4;
S2,3bV2,3a,3b PLCIV,O,NT;LIIV,R,NT;GV,R,NT.
Left C3,4CEsiAdPo(CIV)



诊疗工具三位一体


专科发现途径为CEAP;
诊断主体工具为SVP;
明确治疗方案为DSA。

PeVD治疗:介入优于手术



多项研究证实:
GVR(性腺静脉消融)与GVE(性腺静脉栓塞)均为有效手段;
但 GVE使用弹簧圈 并发症发生率 高出8倍,包括:
栓塞后综合征(PES)
弹簧圈突出或移位
复发率:GVE是GVR的 3倍;
复发主因:诊断/技术误差 + 疾病自然进展。
髂内静脉处理原则:
若存在 症状性盆腔静脉扩张(PEP),应 同期栓塞髂内静脉。
符合 ESVS 2022 下肢慢性静脉疾病管理指南。

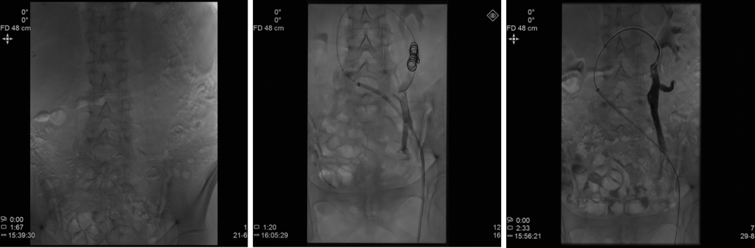
介入治疗技术演进

同轴技术
可调弯鞘+Cobra2导管+微导管
传统三明治技术(sandwich)
弹簧圈+泡沫硬化剂
大于目标血管(>2mm)1-3mm
静脉造影+Valsalva maneuver
Ovarian/Internal iliac/Vulvar/Vaginal Varicosities
卵巢静脉分支遗存以及髂内静脉反流是复发的主要解剖原因。


PeVD-髂内静脉同期栓塞
症状性PEP需要同期处理



中山经验:“节约型三明治技术”

入路及栓塞材料选择优化
上肢静脉(左);股静脉
血管塞;Onyx胶(昂贵)



Sandwich技术优化-节约版
GLUBRAN替代Onxy;
双股静脉入路:可调弯鞘解决反流支;
减少可控圈以及微导管使用;
减少费用;
减少照射;
减少移位;
减少复发;
需解决技术问题:液体栓塞材料溢流。



示例(D-IIV)

示例(LOV+LCV)
节约型三明治技术--中山三板斧

结语
发现:CEAP分级有效甄选更大患病人群;
诊断:SVP分类明确PeVD诊断及病因探寻;
治疗:DSA分型明确治疗部位及栓塞方案;
瘤巢优先,反流兼顾;
固液结合,密实栓塞。
安全更经济;高效低复发。
专家介绍

徐益鸣教授
厦门大学附属中山医院
血管外科副主任医师
博士研究生在读
厦大助理教授
福建省医学会血管外科学分会第一届委员
福建省海峡医药交流协会血管外科学会常务委员
厦门医师协会血管外科分会常务委员
中国医师协会科学普及分会周围血管病学组委员
中国微循环学会颈动脉专业委员会委员
国际血管联盟(IUA)中国青委会委员
中国糖尿病足联盟委员
中国人体健康科技促进会糖尿病足专业委员会委员
厦门大学附属中山医院PERT快速反应小组负责人
深耕血管外科领域近20载,对急慢性下肢静脉血栓、肺栓塞、肠系膜动静脉血栓以及下肢动脉急慢性闭塞等血栓性疾病的治疗有着丰富的经验和独到的见解。擅长采用微创技术治疗下肢静脉曲张以及下肢静脉的血流动力学纠正手术(CHIVA)。曾在全国多家知名血管中心进修学习,熟练掌握了颈动脉、胸腹主动脉的开放手术及腔内微创治疗技术。具备颈动脉内膜剥脱手术的资质。在颈动脉疾病、下肢动静脉急慢性血栓性疾病、肺栓塞以及慢性血栓性肺动脉高压(CTEPH)的治疗方面积累了深厚的临床经验。
END



注释:本平台旨在帮助医疗卫生专业人士更好地了解相关血管疾病领域最新进展,本文仅代表专家个人观点,旨在促进学术信息的交流与沟通。若涉及版权问题,烦请权利人与我们联系,我们将尽快处理。