CEC2024 | 吴巍巍教授团队:急性肠系膜动脉缺血的多学科治疗



2024年10月31日—11月3日,备受瞩目的第十五届中国血管论坛(CEC2024)于北京盛大召开,国内外专家齐聚一堂共襄盛会。本次大会设置知名专家面对面、中青年专家论坛、学术专题讲座,病例直(录)播、外周血管介入前沿与争锋辩论赛、疑难病例大查房、复杂血管疾病、血管外科危重症管理、血管疾病治疗并发症处理及预防、外周器械新技术新疗法、下肢动脉减容规范化应用最新证据深度解读、国际专场@CEC等热点板块,全面展现最新的血管疾病诊疗方法和技术,为广大血管外科医务工作者及同道提供了一场内容丰富、高质量、高水平的学术盛宴。
本次大会期间,北京清华长庚医院吴巍巍教授团队为各位专家同道介绍了《急性肠系膜动脉缺血的多学科治疗》。欢迎阅读。
演讲题目:
《急性肠系膜动脉缺血的多学科治疗》
演讲嘉宾:
吴巍巍教授
赵克强教授
郭爽教授
单位:
北京清华长庚医院
急性肠系膜缺血概述
急性肠系膜缺血是一种病死率极高的“肠卒中”,常表现为与查体不符的剧烈腹痛、腹胀或便血。其病因分为三类:
动脉性:阻塞性(如动脉粥样硬化血栓形成)和非阻塞性(NOMI,因灌注下降)。
静脉性:血栓或静脉炎
流行病学与研究数据
01
发展历程与治疗理念演进
一项meta分析(2369例患者)显示,不同手术方式的30天死亡率存在差异。以下是森林图对比:

图:开放手术死亡率

图:杂交手术死亡率

图:介入手术死亡率
研究指出,动脉血栓栓塞死亡率高于静脉血栓形成。
02
4年全美病例资料分析
回顾性分析2005-2009年全美23,744 例急性肠系膜动脉栓塞的病历资料
围术期死亡率(腔内24.9% vs 开放39.3%, P<0.01)
术后肠道切除率(腔内14.4% Vs 开放33.4%,P<0.01)
术后需要长期TPN营养支持(腔内13.7% vs 开放24.4%; P <0.05)
针对急性肠系膜动脉缺血性疾病,腔内治疗相对于开放手术,有更低的围术期死亡率、住院时间,术后肠道切除率、短肠综合征发病率。
03
国内外研究进展
国内外多个团队报道:开放血运重建(OSR)和腔内血运重建(EVR)治疗动脉性AMI的短期死亡率相似。
顾建平团队2024年(11项研究,1141例患者meta分析):与OSR相比,EVR并不能降低短期死亡率和二次剖腹探查率,但可降低肠切除率和SBS率。

图:顾建平团队研究数据
整体治疗策略与模式演进
1
治疗方式
单纯腔内治疗:适用于无肠坏死并发症的患者;合并肠道缺血坏死时,无法解决肠穿孔、腹膜炎、感染性休克等情况,增加二次开腹、等待病情变化的时间。
选择性微创(腔内+腔镜):优势在于快速恢复血流,充分评估肠道活力;困难在于需要多学科MDT协作治疗
传统开放手术:适用于已发生肠坏死的危重患者,适用于明确肠道坏死、出现严重并发症的患者,包括肠系膜动脉切开取栓、坏死肠段切除等术式。
2
多学科协作(MDT)治疗体系
清华长庚医院提出“多学科协作(MDT)”,建立了血管外科、胃肠外科、ICU等多学科协作模式,形成"1+1+1>3"的治疗效果。针对患者具体情况制定个体化治疗方案,有效处理血管阻塞、肠道坏死、感染性休克等多重临床问题。
BOWEL研究:创新临床队列设计
★ 研究设计
为验证腹腔镜与介入联合治疗的安全性及有效性,北京清华长庚医院开展了 "腹腔镜外科结合腔内血栓清除治疗急性肠系膜动脉栓塞的临床队列研究"(BOWEL 研究),该研究经医院伦理委员会批准(审查编号:20283-0-01),为前瞻性、注册研究、单臂临床队列研究,连续纳入30例急性肠系膜上动脉闭塞致急腹症患者,由医院医学统计室进行数据统计分析。
★研究方案
入选标准:年龄≥18 岁;肠系膜上动脉急性血栓形成或栓塞导致肠道缺血、急腹症;自愿签署知情同意书。
排除标准:合并门脉高压、消化道出血等静脉回流梗阻性疾病;术前 1 月内有急性大面积心梗、脑梗或脑出血;造影剂过敏、严重肾功能不全无法耐受腔内手术;对阿司匹林、氯吡格雷等抗凝药物过敏。
观察终点:主要终点为 30 天无慢性肠衰竭生存率;次要终点包括 30 天及长期死亡率、血管通畅率、肠切除率、短肠综合征发病率等。

图:疑似急性肠系膜上动脉缺血患者最终入组流程
★ 临床结果
基线特征:研究共纳入42例患者
平均年龄:72.5岁
男性比例:69%
常见合并症:高血压(69%)、房颤(50%)、冠心病(50%)
术前并发症:电解质紊乱(71%)、腹腔感染(45%)、肠坏死(40%)
治疗效果:
30 天无慢性肠衰竭生存率为 71%
2 年无慢性肠衰竭生存率达 60%
30 天死亡率和总住院死亡率均为 12%,死亡原因主要为感染性休克(60%)、心源性休克(20%)和多器官功能障碍综合征(MODS,20%)。
术后 1 年原发通畅率为 90%,辅助通畅率达 97%;肠切除率为 31%,短肠综合征发病率为 19%,非计划再手术率为 14.29%。
手术细节:
36% 的患者在血运重建后行腔镜探查,其中 73% 观察到血供改善,40% 成功免于肠切除;
患者平均住院时长 19 天(IQR:11-31 天),ICU 住院时长 2 天(IQR:0-6 天),肠外营养支持时长 4.5 天(IQR:1-11.5 天)。
经典病例分享
01
病例1:单纯腔内治疗
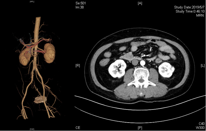
患者女性,72 岁,因 "腹痛 5 小时" 入院,既往房颤病史,未规律抗凝。腹腔镜探查未见肠道坏死,遂行腔内治疗,术后恢复良好,未发生肠切除及相关并发症。

图:术前检查
02
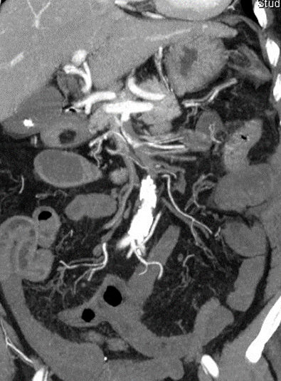
病例2:腹腔镜联合开腹治疗
患者女性,88 岁 7 月,因 "腹痛 30 小时" 入院,既往房颤病史多年。查体示脐周、左下腹局限压痛、反跳痛,腹腔镜探查发现可疑肠道缺血坏死,遂中转开腹行肠系膜动脉切开取栓+坏死肠道切除术,术后复查 DSA 显示血管通畅,患者顺利康复。


图:术前影像
03
病例3:开放手术治疗
患者女性,58 岁,因 "突发腹痛 2 天" 入院,既往风心病、房颤(未规律抗凝)及颅内动脉瘤病史。查体示全腹压痛、反跳痛、肌紧张(腹膜刺激征阳性),诊断为肠系膜上动脉栓塞合并明确肠道坏死,行开腹探查 + 肠系膜动脉切开取栓 + 坏死肠道切除 + 肠道造口术,术后经营养支持及抗感染治疗,患者病情稳定出院。

图:术前影像
特色创新与治疗优势
北京清华长庚医院的AMI治疗模式具有显著特色:
分层诊治:根据病情严重程度个体化选择治疗方案
双微创联合:腔镜+腔内介入联合诊治,最大限度保留肠道功能
MDT协作:血管外科、胃肠外科、ICU多学科无缝衔接
疗效显著:30天死亡率11.9%,低于传统报道数据
小结
急性肠系膜动脉缺血作为危急重症,其高病死率源于诊断延迟、治疗复杂及多器官受累风险。对于不明原因腹痛,尤其是合并房颤、室壁瘤、肝硬化、高凝状态等基础疾病的患者,需高度警惕 "肠卒中" 可能,及早完善腹主动脉 CTA 检查明确诊断。治疗的核心目标是早期开通肠道血运,减少肠道坏死面积,降低短肠综合征发生率及死亡率。
专家介绍

吴巍巍教授
北京清华长庚医院
血管外科主任
教授、主任医师
中国医师协会血管外科分会下肢动脉学组副组长
国际血管联盟中国分会转化医学专委会副主任委员
北京医师协会常务理事
北京医师协会血管外科专科医师分会副会长兼总干事
中国医疗保健国际交流促进会静脉曲张学组副组长、颈动脉学组副组长
中国中医药结合静脉输液通路学组副组长
全国高等学校“十三五”医学规划教材《外科学》(第一版、第二版)编委等
2016年获得“首都优秀青年医生”称号
2019年获“人民好医生”称号
2020年获“北京优秀医师”称号。