CEC2024 | 周志伟教授团队:盆腔静脉疾病PeVD的新认识



2024年10月31日—11月3日,备受瞩目的第十五届中国血管论坛(CEC2024)于北京盛大召开,国内外专家齐聚一堂共襄盛会。本次大会设置知名专家面对面、中青年专家论坛、学术专题讲座,病例直(录)播、外周血管介入前沿与争锋辩论赛、疑难病例大查房、复杂血管疾病、血管外科危重症管理、血管疾病治疗并发症处理及预防、外周器械新技术新疗法、下肢动脉减容规范化应用最新证据深度解读、国际专场@CEC等热点板块,全面展现最新的血管疾病诊疗方法和技术,为广大血管外科医务工作者及同道提供了一场内容丰富、高质量、高水平的学术盛宴。
本次大会期间,福建医科大学附属第一医院周志伟教授团队为各位专家同道介绍了《盆腔静脉疾病PeVD的新认识》。欢迎阅读。
演讲题目:
《盆腔静脉疾病PeVD的新认识》
演讲嘉宾:
周志伟教授
郭平凡教授
蔡方刚教授
戴贻权教授
单位:
福建医科大学附属第一医院
从 PCS 到 PeVD
概念演进
传统定义:盆腔淤血综合征(PCS)

根据American Venous Forum标准,Pelvic Congestion Syndrome是指:
Venous origin Chronic Pelvic Pain(VO-CPP)(6m)
ovarian and/or pelvic vein reflux and/or obstruction
perineal heaviness
urgency of micturation
postcoital pain
vulvar, perineal
lower extremity varices

静脉源性慢性盆腔痛(VO-CPP),持续 ≥6 个月;
病因:卵巢静脉和/或盆腔静脉存在反流和/或阻塞;
典型表现:小腹坠胀感、性交后疼痛、尿急、外阴/会阴/下肢静脉曲张等;
PCS 仅聚焦于盆腔静脉本身,无法涵盖合并其他解剖异常(如胡桃夹、髂静脉压迫)的复杂情况。
新范式:盆腔静脉疾病 (PeVD)

提出背景:约 2020 年起,“PeVD”概念逐渐被学界采纳;
核心突破:将 May-Thurner 综合征(髂静脉压迫)、Nutcracker 综合征(左肾静脉受压)等纳入统一病理生理框架;
共识:PeVD 属于血管外科疾病,经典 PCS 仅为其中一种表现形式。
SVP 分类系统
指导临床决策
2021年,美国静脉与淋巴学会(AVLS)国际工作组提出 SVP 分类法(Symptoms–Varices–Pathophysiology),实现精准分型:


关键解剖
四大“逃逸点”
盆腔高压血液通过特定通道“逃逸”至体表,形成非典型静脉曲张:
I 点(Inguinal point):腹股沟管 → 腹壁/大腿根部曲张;
O 点(Obturator point):闭孔静脉 → 大腿内侧疼痛/曲张;
P 点(Perineal point):会阴静脉 → 会阴部曲张;
G 点(Gluteal point):臀下静脉 → 臀肌疼痛、坐骨区曲张。



病理生理
“双蓄水池”模型(CHIVA 理念)
我们团队借鉴 CHIVA 理论,提出形象化的“蓄水池”模型解释疾病进展:
第一蓄水池(盆腔):
卵巢静脉/盆腔静脉反流 → 盆腔静脉高压 → 出现慢性盆腔痛、性交痛等症状。
第二蓄水池(下肢/会阴):
当盆腔压力持续升高,血液通过逃逸点向下代偿分流 → 形成会阴、大腿、臀部甚至下肢静脉曲张,此时盆腔症状可能反而减轻,但下肢问题凸显。
病理生理:非代偿性 代偿性

诊断与治疗
以症状为导向

诊断原则

核心前提:必须有症状,即使影像学(CTV、超声)显示明显静脉扩张,若无 VO-CPP 或相关不适(S0 V0 P),无需干预,仅观察随访。
高危人群筛查:
反复发作或非典型部位(会阴、臀部、大腿后内侧)静脉曲张者;
妇科/泌尿科久治不愈的慢性盆腔痛、尿频患者;
不限于育龄女性:老年女性及男性亦可患病。
存在盆腔静脉扩张淤积的影像学表现, 但无盆腔症状或症状轻微,SVP分类属于 S0 V0 P ,无需任何的盆腔静脉栓塞治疗,可以考虑观察。
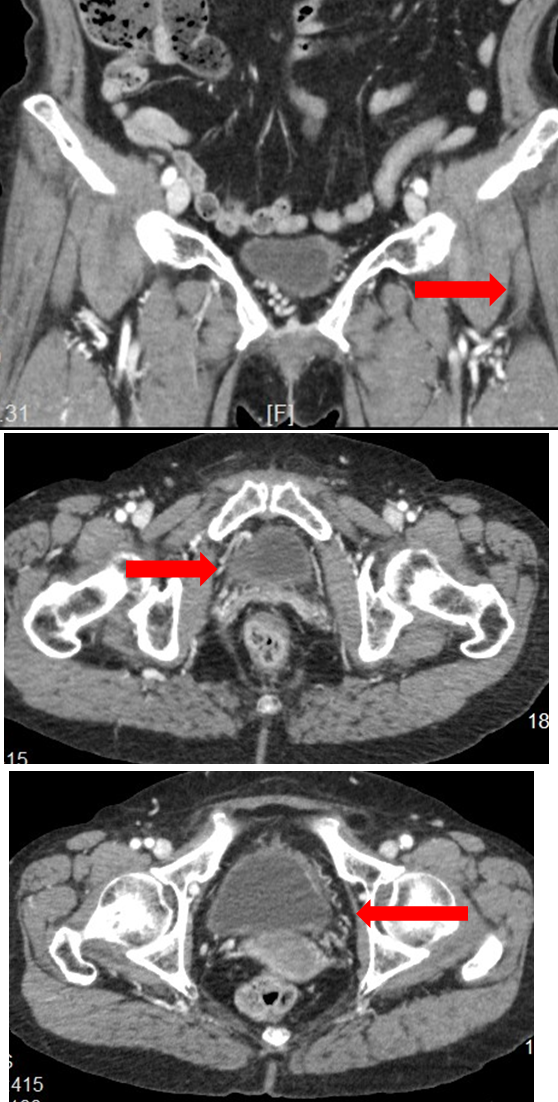
★ Case 1
女性, 28岁,小腿浅静脉曲张就诊
CTV提示双侧卵巢静脉及盆腔静脉扩张迂曲显著
观察、随访处理

无盆腔症状的盆腔源性静脉曲张传统“三明治”
★ Case 2
非典型部位的静脉曲张:会阴、阴道、臀部、大腿后侧内侧
透视下或超声引导下
经皮直接注射,头皮针
泡沫硬化剂,多点注射,参考剂量,造影剂量的70%

VO-CPP PeVD
★ Case 3
女性,66岁,尿频尿急尿痛伴会阴部疼痛感3年余
反复在妇科、泌尿外科就诊,治疗无效,抑郁症
查体:下肢及外阴无明显静脉曲张
经阴道超声、CTV:最宽处内径分别约0.59cm(左侧)、0.33cm(右侧),可探及返流血流信号

治疗策略



诊治经验

下肢静脉的营养性改变
病史及查体发现特殊部位静脉曲张而进行筛查PeVD
PeVD并不是专属育龄妇女,老年女性可能更多,还有一部分是男性患者
Recurrent venous disease (ReVD)
五年来的经验证明,这条路线是接地气的

技术细节
栓塞材料与方法优化
传统“三明治”法:弹簧圈 + 泡沫硬化剂 + 胶;
本中心改良:
近端(头端)先置入弹簧圈,防止液体栓塞剂异位流动;
核心作用在于泡沫硬化剂或组织胶对静脉内皮的化学破坏;
弹簧圈仅为“挡板”,真正疗效来自内皮损伤引发的血栓机化闭塞。

多学科协作
科普推广
MDT:血管外科、妇科、泌尿外科、超声科、影像科等
学术交流与推广
医学科普宣传、健康宣教、义诊等活动



结语
PeVD是血管外科疾病,经典PCS是PeVD的一种
善于在日常工作中发现PeVD,加强科普宣传、指南学习、学术交流等
PeVD-SVP分类根据患者临床表现、影像学、血流动力学等特点对患者进行分类,指导治疗及随访
PeVD的治疗基本原则应遵循”症状导向性”,经导管硬化栓塞破坏内皮细胞治疗安全有效,是症状性PeVD的首选治疗方法
专家介绍

周志伟教授
福建医科大学附属
第一医院
血管外科主治医师
外科学硕士
复旦大学附属中山医院外科规范化培训,福建医科大学附属第一医院血管外科主治医师,复旦大学附属中山医院血管外科进修学习,援宁医务工作者,擅长血管外科常见疾病的诊治。擅长:下肢静脉曲张、下肢深静脉血栓、下肢动脉硬化闭塞症、糖尿病足病、颈动脉狭窄、主动脉夹层、腹主动脉瘤、内脏动脉瘤、血透通路等血管外科常见病。

郭平凡教授
福建医科大学附属
第一医院
血管外科主任医师
硕士研究生导师
1984年毕业于福建医学院医疗系,从事普外、肝胆、肿瘤、外科营养等工作。1990年取得普通外科专业硕士学位。1994-1995年在上海医科大学附属中山医院血管外科进修,并在省内率先开展血管外科与血管腔内外科医、教、研等工作。1998-2001年在复旦大学攻读血管外科与血管腔内外科专业博士,师从陈福真、王玉琦教授,系统学习血管疾病的基础、临床诊疗及专业中长期研究方向。2002年在德国Essen大学附属医院血管外科及肝移植中心进修。自血管外科与血管腔内外科专业组成立10多年来,在院领导及科主任大力支持下,经治的各种血管病上万例。主持4期省内血管外科进展学习班。
5项研究课题获得省厅资助,并获省医药科技奖一项,多次被评上医院“优秀医师”和“开展三新成果奖”,并入选福建省卫生系统跨世纪学术和技术带头人后备人选。
福建省心胸血管外科分会委员,福建省普通外科分会委员,福建医科大学血管外科与血管腔内外科研究室主任,福建医科大学附属第一医院普外科行政副主任 ,福建省基层卫生协会基层血管与腔内血管外科专业委员会顾问。

蔡方刚教授
福建医科大学附属
第一医院
血管外科主任医师
副教授
医学博士
现为福建省海峡医药卫生交流协会血管外科专业委员会副主任委员,并在多个全国性血管外科专业委员会担任委员职务。2012年到德国莱比锡PARK HOSPITAL专门研修外周血管疾病的介入,2015年至美国Cleveland Clinic血管外科参观学习。主要专长于血管外科与血管腔内外科的诊治,尤其擅长动脉瘤、动脉夹层、肢体与内脏动脉缺血、糖尿病足、颈动脉硬化闭塞症的治疗,及肾透析病人的血液透析通路的建立与维护等。近年来广泛开展主动脉疾病的腔内与开放治疗、颈内动脉内膜剥脱术或支架植入术治疗颈动脉硬化、股腘动脉及膝下动脉硬化闭塞症腔内与开放治疗、布-加氏综合征的开放或腔内治疗、糖尿病足的序贯治疗、静脉疾病及血液透析通路的各种手术,并在全省率先开展淋巴外科的相关工作。主持或参与国家自然科学基金、省自然基金及厅级以上科研项目多项,发表论文20余篇。

戴贻权教授
福建医科大学附属
第一医院
血管外科主任医师
副教授
硕士研究生导师
中国医师协会血管外科分会下肢动脉学组委员,中国医师协会科学普及分会周围血管病学组委员,中国康复医学会血管外科专委会委员,福建省医学会血管外科学分会常务委员兼秘书、青年委员会副主任委员,中国医促会血管外科分会委员,中国研究型医院学会血管专业委员会青年委员,IUA中国青委会常务委员,中国微循环学会周围血管疾病专业委员会青年委员等。 大学毕业后长期从事血管外科临床、科研、教学等工作,先后赴北京协和医院、美国约翰霍普金斯医院进修学习,师从北京协和医院刘昌伟教授和YingWei Lun教授,在周围血管疾病如:主动脉夹层、胸主动脉瘤、腹主动脉瘤、颅外段颈外疾病、下肢动脉疾病等的诊治积累了一定经验。主持福建省自然科学基金等多项省厅级课题,在EJVES、JVS、JET等杂志发表10余篇SCI论文。