CEC2024 | 李磊教授:髂动脉联合股浅动脉病变的治疗策略 及并发症处理



2024年10月31日—11月3日,备受瞩目的第十五届中国血管论坛(CEC2024)于北京盛大召开,国内外专家齐聚一堂共襄盛会。本次大会设置知名专家面对面、中青年专家论坛、学术专题讲座,病例直(录)播、外周血管介入前沿与争锋辩论赛、疑难病例大查房、复杂血管疾病、血管外科危重症管理、血管疾病治疗并发症处理及预防、外周器械新技术新疗法、下肢动脉减容规范化应用最新证据深度解读、国际专场@CEC等热点板块,全面展现最新的血管疾病诊疗方法和技术,为广大血管外科医务工作者及同道提供了一场内容丰富、高质量、高水平的学术盛宴。
本次大会期间,大连医科大学附属第二医院李磊教授为各位专家同道介绍了《髂动脉联合股浅动脉病变的治疗策略及并发症处理》。欢迎阅读。
演讲题目:
《髂动脉联合股浅动脉病变的治疗策略
及并发症处理》
演讲嘉宾:
李磊教授
单位:
大连医科大学附属第二医院
病变治疗现状与核心难点
★ 联合病变的临床复杂性与治疗定位

髂动脉开通技术不断进步
真腔通过至关重要。
首选0.035超滑导丝,困难病例可考虑0.018及内膜下技术。
髂动脉禁忌暴力操作,常备覆膜支架。
及时跟进导管及长鞘,获得支撑力。
内膜下是要尽早回真腔。
困难病例可考虑开放手术。
教训带来技术演进

★ 当前腔内治疗的核心诉求与流派差异
什么是髂动脉开通的最优解?

我们接近找到答案?
股动脉入路的0.18导丝双导管(微导管+导管)技术:
首选股动脉入路:更接近病变 更适配粗鞘 避免肱动脉并发症
闭塞病变更多使用0.018导丝 :获得更好的支撑力 最小的损伤
更多倾向覆膜支架:减低破裂 栓塞 溶栓风险
单鞘+微穿刺多入路策略:逆穿+抓捕技
保障:超声精确引导 确保真腔 避免支架置入假腔
临床典型病例与并发症分析
最后一关:死亡缠绕&终极挑战?

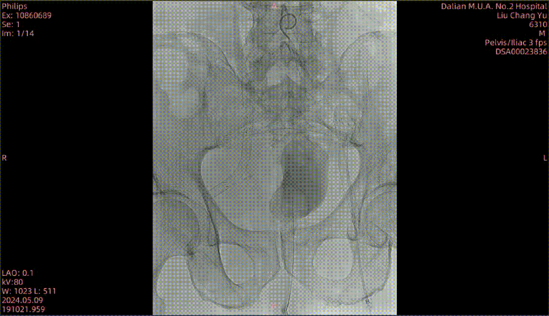
★ CASE 1:穿刺点入路损伤 股深动脉栓塞


超声引导穿刺右侧股动脉

0.18导丝+CXI 18+猪尾导管翻山过病变



造影后撤出右侧鞘管,右下肢疼痛麻木,活动不灵

撤出右侧鞘管
左侧翻山造影


★ case2 股深单一流出道 ——SFA闭塞导致髂支架血栓




Roterax+ CDT一日

覆膜支架肾下对吻

6个月后
左侧支架血栓形成

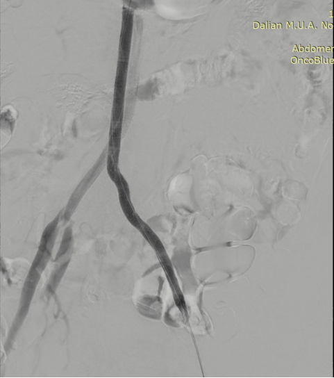
★ CASE 3 low profile, bare stents


图为:穿刺后,导丝上行阻力,软针造影,髂动脉 极细

图为:腹主动脉造影,左髂动脉主干 不易 分辨

图为:0.018导丝配合pig导管+CXI支持导管翻山,真腔通过

图为:于左髂动脉分叉处依次置入cordis(10-8)接ev3(8-120)支架各1枚,球囊 轻度 后扩

图为:股浅动脉 待二期处理
★ CASE 4 近穿刺点植入覆膜支架—假性动脉瘤支架感染


图为:右侧穿刺点附近,造影剂外渗

DSA下于髂分动脉叉处预置球囊阻断,大量炎性组织包裹血管,大量脓汁流出,血管破损严重,支架远端外露,向近心端探查血管,管腔感染明细

右侧腹直肌外侧切开皮肤,进入腹膜探查见髂总动脉起始端向远心端均见明显炎性改变,质脆,无法完成结扎阻断且覆膜支架与组织黏连无法取出
处理:以Hem-lock夹毕股动脉远端覆膜支架,充分止血,缝于周围组织固定,万古霉素2g撒于切口内,留置引流,vac覆盖切口。
结语
1.髂动脉合并股浅动脉闭塞可能是髂动脉闭塞的一个高分险类型.
2.尽量检查、避免穿刺点及入路损伤。
3.需要仔细评估流出道血流,预防支架血栓形成,选择性一期开通股浅动脉
4.适当选择闭塞侧股动脉入路或上肢入路
5.警惕近穿刺点支架植入导致的假性动脉瘤继发感染
专家介绍

李磊教授
大连医科大学附属
第二医院
血管外科主任、博士研究生导师、哈佛医学院博士后
担任中国微循环学会周围血管疾病专业委员会委员
辽宁省医学会加速康复外科分会青年副主任委员
辽宁省医学会血管外科分会委员
专长主动脉、外周动静脉各类疾病治疗
以第一作者或通讯作者身份发表SCI论文20篇
主持国家自然科学基金面上项目1项、辽宁省自然科学基金1项