CEC2024 | 祖茂衡教授:Budd-Chiari综合征疑难病例介入治疗



2024年10月31日—11月3日,备受瞩目的第十五届中国血管论坛(CEC2024)于北京盛大召开,国内外专家齐聚一堂共襄盛会。本次大会设置知名专家面对面、中青年专家论坛、学术专题讲座,病例直(录)播、外周血管介入前沿与争锋辩论赛、疑难病例大查房、复杂血管疾病、血管外科危重症管理、血管疾病治疗并发症处理及预防、外周器械新技术新疗法、下肢动脉减容规范化应用最新证据深度解读、国际专场@CEC等热点板块,全面展现最新的血管疾病诊疗方法和技术,为广大血管外科医务工作者及同道提供了一场内容丰富、高质量、高水平的学术盛宴。
本次大会期间,徐州医科大学附属医院祖茂衡教授为各位专家同道介绍了《Budd-Chiari综合征疑难病例介入治疗》。欢迎阅读。
演讲题目:
《Budd-Chiari综合征疑难病例介入治疗》
演讲嘉宾:
祖茂衡教授
单位:
徐州医科大学附属医院

BCS介入治疗中的疑难之处
BCS是一种疑难重症
BCS病例中约80% 的患者介入治疗中具有一定的难度或高难度
临床长期误诊,影像诊断不明确
介入治疗难度大 肝静脉阻塞,颈静脉与髂静脉闭塞无入路,下腔静脉阻塞范围长,膜或节段坚韧,合并血栓形成,解剖变 异,合并大量腹水等......
反复再狭窄 >3次

亚型分型与疑难之处


破解诊疗困局:介入技术改写治疗逻辑
1
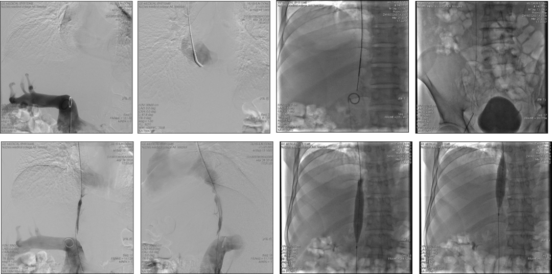
右颈静脉与肝左、中静脉闭塞

2
肝静脉广泛性阻塞介入治疗-- TIPS

女,27岁,腹胀腹水3月,三支肝静脉闭塞,无副肝静脉和尾状叶交通静脉,尾状叶增大致左右门脉分支汇合处向前移位,经下腔静脉直接穿刺门脉需要经过较长段的肝实质。

创新--敢为人先
★ 疑难之处:下腔静脉阻塞端危险交通支

难在透视下看不到血管,破膜(开通)穿刺针进入交通之后将导致血管破裂和出血
★ 疑难病例:下腔静脉长节段阻塞

★ 疑难病例:下腔静脉全程闭塞

男性,54岁,胸腹壁静脉曲张20余年

疑难病例处理
01
疑难病例处理--下腔静脉再造

男,24岁,8岁时3楼跌下肝脏碎裂,三次手术止血将下腔静脉结扎,20岁后出现
右下肢静脉曲张,色素沉着伴踝部溃疡不愈合,术前MRI提示下腔静脉肝后段消失
02
疑难病例处理--下腔静脉再造

03
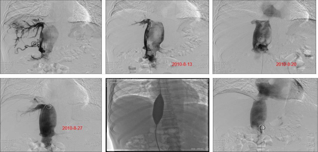
疑难之处:肝、下腔静脉阻塞合并血栓形成(N=542)

04
疑难病例:下腔静脉血栓形成的处理--留置导管溶栓


坚守与探索:未竟之路仍在前行
★ 再狭窄与反复再狭窄


三十年深耕:用数据见证诊疗实力
1990.1--2024.9
收治BCS 4332例次
术中与围手术期死亡-- 4例 <1.‰
放弃治疗-- 5例
IVC+HV 全程闭塞未开通--61例
介入治疗成功率 -- 4262/4332 98.38%
1990-1--2024-7
收治BCS 4350例次
术中与围手术期死亡--4例<1.‰
放弃治疗--5例
IVC+HV 全程闭塞未开通-- 51例
介入治疗成功率--4290/4350 98.62%
总结
BCS 临床治疗的难题已被介入治疗基本攻克
BCS再狭窄发生和治疗应被引起高度关注
BCS的病因和发病机制的研究进展缓慢
专家介绍

祖茂衡教授
徐州医科大学附属医院
教授,主任医师
博士生导师
原徐医附院介入科主任,影像学院院长,授予“中华介入放射学杰出贡献奖”
2018年被授予“中国静脉介入大师”称号
中国介入放射学专家
获国家发明专利3项、实用新型专利4项
主持制定《布加综合征介入诊疗规范》等4部行业标准,主编出版国内首部布加综合征领域权威专著《布加综合征影像诊断与介入治疗》
创建江苏省首个介入放射科病房与门诊(1994年)
建成国际最大布加综合征样本库(含3000余例影像资料及千份血液样本)
首创经颈静脉插管一体化治疗模式,实现下肢深静脉血栓与肺栓塞同步溶栓
长期担任《中华放射学杂志》编委及《介入放射学杂志》常务编委
参与国内介入放射学领域学术期刊的审稿与编辑工作
2019年起担任中国医师协会介入专业分会顾问,为介入医学的规范化发展提供专业指导
曾担任中国抗癌协会肿瘤介入专家委员会委员,推动肿瘤介入治疗技术的临床应用研究