CEC2024 | 袁时芳教授团队:超声引导在下肢动脉闭塞病变腔内治疗的应用探讨



2024年10月31日—11月3日,备受瞩目的第十五届中国血管论坛(CEC2024)于北京盛大召开,国内外专家齐聚一堂共襄盛会。本次大会设置知名专家面对面、中青年专家论坛、学术专题讲座,病例直(录)播、外周血管介入前沿与争锋辩论赛、疑难病例大查房、复杂血管疾病、血管外科危重症管理、血管疾病治疗并发症处理及预防、外周器械新技术新疗法、下肢动脉减容规范化应用最新证据深度解读、国际专场@CEC等热点板块,全面展现最新的血管疾病诊疗方法和技术,为广大血管外科医务工作者及同道提供了一场内容丰富、高质量、高水平的学术盛宴。
本次大会期间,空军军医大学西京医院袁时芳教授团队为各位专家同道介绍了《超声引导在下肢动脉闭塞病变腔内治疗的应用探讨》。欢迎阅读。
演讲题目:
《超声引导在下肢动脉闭塞病变腔内治疗
的应用探讨》
演讲嘉宾:
袁时芳教授
单位:
空军军医大学西京医院

背景介绍:下肢动脉硬化闭塞病变
下肢动脉硬化闭塞病变的疾病特点:
好发于中老年人群,常表现为多节段闭塞病变。
常合并高血压、糖尿病及肾功能不全等基础疾病。
部分患者就诊时已出现严重肢体缺血(CLI),需及时干预。

图:下肢动脉硬化闭塞病变CT

图:下肢动脉硬化闭塞病

超声引导的应用特点
简单、无创、可重复,无需使用造影剂,避免了肾毒性风险。
可清晰观察血管病变范围、程度及斑块性质。
能实时监测血流动力学参数,并显示导丝及靶血管,便于术中操作。
超声引导为腔内治疗提供了动态、安全的可视化支持。

临床资料与纳入标准
01
研究设计
纳入112例患者(121条患肢),均经下肢CTA及动脉超声证实为下肢动脉硬化闭塞症。
纳入标准:有明确临床症状(如麻木、间歇性跛行),Rutherford分级≥2级。
排除标准:包括主髂动脉闭塞、TASC II D级病变、抗凝禁忌等,确保病例选择性。
02
基线数据
平均年龄68.78±10.00岁,男性占主导(81例)。
Rutherford分级:2级10.7%、3级56.2%、4级33.1%。
TASC II分级:A级41条、B级39条、C级41条,病变平均长度135.58±43.06 mm。
术前踝肱指数(ABI)平均0.53±0.09,完全闭塞占79.3%,支架内再狭窄占17.4%。

腔内治疗方法
★ 超声引导下腔内治疗操作方法
手术流程与DSA引导类似,但全程在超声下进行导丝、球囊及吸栓装置的定位。
治疗方式包括球囊扩张、支架置入、Rotarex机械血栓清除等组合方案。
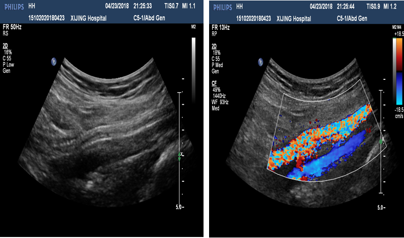
★ 关键操作瞬间

图:a) 穿刺后导丝置入;

图:b) 吸栓装置定位;

图:c) 球囊扩张股浅动脉时球囊远心端显像;

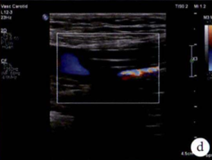
图:d)球囊扩张股浅动脉开口处显像,同时附带血流显像;

图:e)术前评估时腘动脉未见血流图像;

图:f)经吸栓、球囊扩张等治疗措施后腘动脉血流图像

手术结果与疗效
01
治疗结果
121条患肢中,118条(97.5%)完全在超声引导下成功完成;3例因病变复杂需DSA辅助。
治疗组合多样,以单纯球囊扩张(61条)为主,逆穿患者占10.7%。
后ABI显著改善(0.53±0.09 vs.0.89±0.13, P<0.001),症状缓解明显。
结果证实了超声引导的高成功率和有效性。
02
并发症及随访结果
并发症包括假性动脉瘤(5例)和血肿(7例),均保守治愈。
随访12个月,再狭窄率25%、靶病变再干预率15%,晚期管径丢失0.88±0.25 mm。
ABI持续改善(术前vs.术后12月:0.53±0.09 vs. 0.78±0.13, P<0.001)

图:随访 12个月内的靶病变再通率及无干预率的 Kaplan-Meier 曲线

典型病例分享与手术过程
★ 病例1:男性患者,41岁,右下肢缺血
现病史:右下肢疼痛1月,足趾溃烂2周,静息痛显著。
既往史:吸烟史长,房颤病史,提示血栓风险高。
查体:皮温凉,远端动脉搏动未触及,ABI右侧0.32。
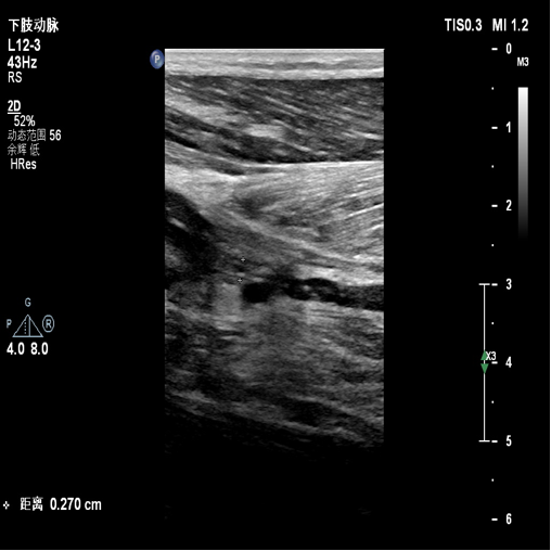
术前超声评估:提示腘动脉血栓。

图:胫腓干血栓及直径

胫后及腓动脉起始处彩色血流图
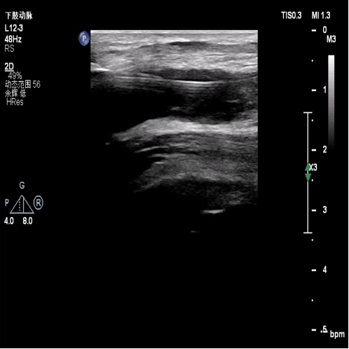
手术操作:

图:穿刺成功后导丝位于股浅动脉内

图:顺导丝置入Rotarex血栓抽吸装置

图:头端经过后超声图像

图:抽吸之后效果


图:瞬时监测

图:超声引导下导丝开通胫后动脉

图:超声引导下导丝开通胫后动脉

图:球扩后胫后动脉

图:术前胫后动脉
手术结果:患者康复出院,术后半年随访显示血流持续改善。

图:术前、术后CT
★ 右髂动脉血栓形成
现病史:双下肢间歇性跛行4月,右足静息痛2周,跛行距离不足50米,夜间静息痛明显
既往史:既往有高血压及冠心病病史,吸烟30年,20支/天,未戒烟,合并轻度肾功能异常
查体:右小腿以远皮温减低,以右足为著;右侧股、腘、足背及胫后动脉未触及;左侧股动脉搏动尚可,腘、胫后动脉搏动未触及;左侧足背动脉搏动弱,尚可触及;ABI:(右侧)0.32,(左侧)0.79
术前检查:右髂动脉血栓

图:术前CT

图:术前超声
手术操作:系统溶栓治疗3天,症状未缓解,考虑其血栓时间较长,超声引导下行右髂动脉覆膜支架置入术

图:超声引导髂动脉覆膜支架置入术

图:髂动脉支架置入术后

图:二期开通右侧股浅动脉
手术结果:静息痛消失,正常步速行走约3千米

超声引导的优势
引导穿刺:精准评估穿刺部位,避免血管损伤。
判断真腔:实时确认导丝位置,提高安全性。
术中定位:精确定位器械,如支架或球囊
术后评估:球扩后迅速判断狭窄率及血流变化
★ 超声引导开通下肢动脉闭塞病变


图:超声图像
展望与小结
超声引导腔内治疗下肢动脉闭塞病变简便、安全有效,尤其适用于选择性病例。
优势包括无放射、无造影剂、动态监测及低成本,但需作为辅助手段弥补其局限性。
专家介绍

袁时芳教授
空军军医大学
西京医院血管外科
主任医师,教授
空军军医大学西京医院血管内分泌外科 主任医师、教授,博士生导师
中华医学会外科学分会血管外科学组委员
中国医师协会血管外科医师分会委员
中国医师协会腔内血管学专业委员会委员
中国医师协会腔内血管学专业委员会血管创伤专家委员会副主任委员
海峡两岸医药卫生交流协会血管外科专家委员会委员
国家心血管病专业委员会血管外科专家委员会委员
国际静脉联盟委员
中国研究型医院学会血管医学专业委员会常委
陕西省血管外科学组组长
获陕西省科技进步二等奖1项,承担完成国家及省部级课题7项,国家级教学课题1项,发表论著80余篇,SCI论文10余篇,国家发明专利3项,副主编专著一部