CEC2024 | 韩金涛教授:颅外段椎动脉闭塞的复合手术



2024年10月31日—11月3日,备受瞩目的第十五届中国血管论坛(CEC2024)于北京盛大召开,国内外专家齐聚一堂共襄盛会。本次大会设置知名专家面对面、中青年专家论坛、学术专题讲座,病例直(录)播、外周血管介入前沿与争锋辩论赛、疑难病例大查房、复杂血管疾病、血管外科危重症管理、血管疾病治疗并发症处理及预防、外周器械新技术新疗法、下肢动脉减容规范化应用最新证据深度解读、国际专场@CEC等热点板块,全面展现最新的血管疾病诊疗方法和技术,为广大血管外科医务工作者及同道提供了一场内容丰富、高质量、高水平的学术盛宴。
本次大会期间,北京大学第三医院韩金涛教授为各位专家同道介绍了《颅外段椎动脉闭塞的复合手术》。欢迎阅读。
演讲题目:
《颅外段椎动脉闭塞的复合手术》
演讲嘉宾:
韩金涛教授
单位:
北京大学第三医院
椎动脉解剖
1
椎动脉解剖图

2
切口及入路

胸锁乳突肌胸骨头后缘-锁骨上窝横切口或L形切口
断胸锁乳突肌锁骨头
分离脂肪淋巴组织,保护胸导管/淋巴导管
触及前斜角肌,保护前斜角肌浅方膈神经
断前斜角肌,游离深方锁骨下动脉远端
向内侧暴露锁骨下动脉、甲状颈干、胸廓内动脉、椎动脉
向内暴露锁骨下
3
术中解剖图

手术核心
保护胸导管/淋巴导管
近端锁骨下动脉控制——特殊阻断钳
椎动脉充分游离
左椎动脉位置较低时,根部切断后在锁骨下动脉前壁端侧吻合更合适
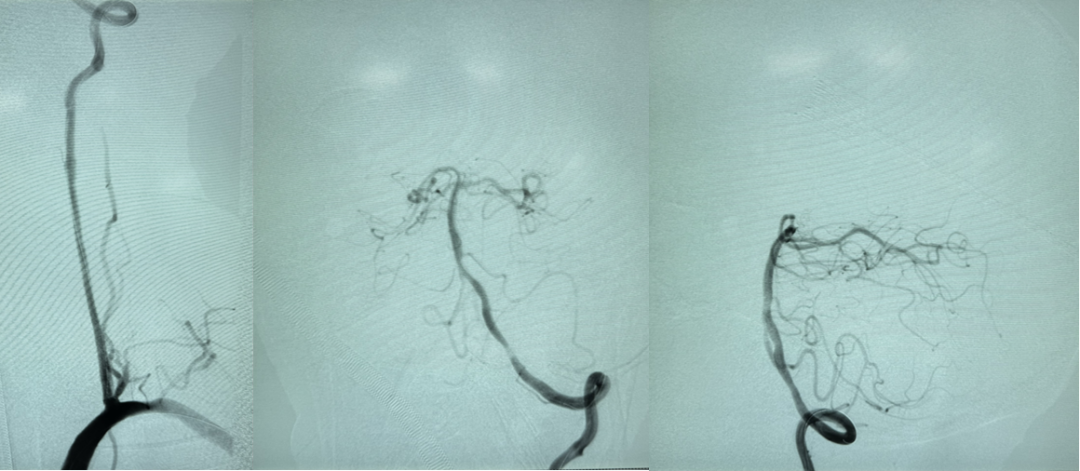
案例
1
案例一
M,60,左侧小脑梗死,左椎动脉V1-V2段长段闭塞

椎动脉外翻剥脱、椎动脉-锁骨下动脉端侧吻合

椎动脉-锁骨下动脉端侧吻合

介入开通

2
案例二
左椎V1-V2闭塞 开口自体静脉补片成形


3
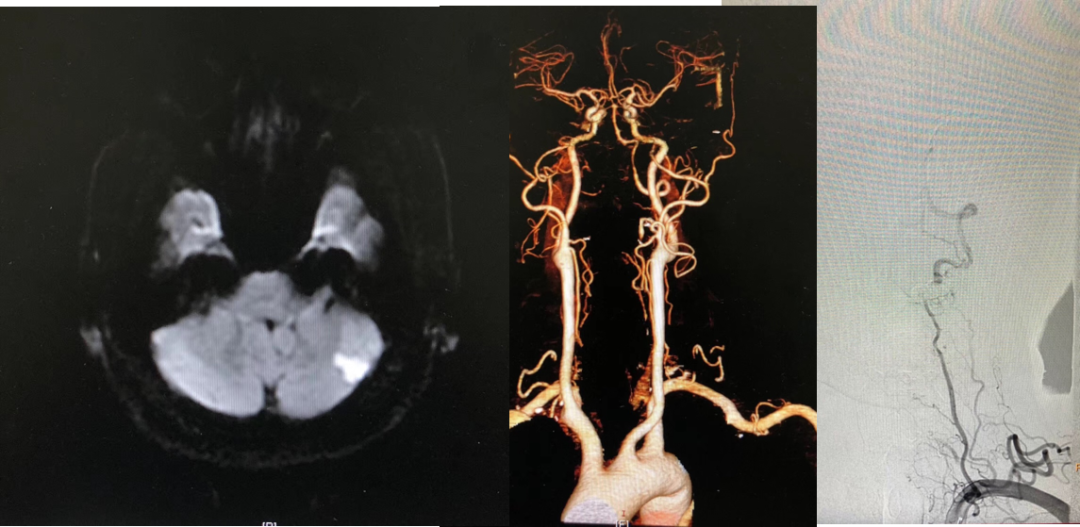
案例三
左椎V1-V2闭塞 椎-甲状颈干补片搭桥


14个月复查

4
案例四
椎动脉支架内再狭窄


结语
椎动脉剥脱/复合手术目前来看仍是一种不能作为一线选择的术式
在一些症状性椎动脉闭塞,无残端,或远端合并血栓形成的病例中可以考虑
对于椎动脉支架内再狭窄也是一个可考虑的方案
是介入治疗的一种有益补充,但不宜扩大手术指征
显微镜下椎动脉手术应该是技术方向
专家介绍

韩金涛教授
北京大学第三医院
介入血管外科
主任医师/副主任
外科学博士
中华医学会放射学分会介入学组青年委员
中国医师协会血管外科分会颈动脉学组委员
中国医师协会介入医师分会委员
中国卒中学会复合介入神经外科分会委员
中国医药教育协会血管微创医学专业委员会常务委员
北京神经科学学会神经介入专业委员会副主任委员
北京慢性病防治与健康教育研究会神经介入专业委员会副主任委员
北京医学会神经外科分会神经介入学组委员
北京医学会介入医学分会委员、复合手术学组委员
专业方向为脑血管病外科治疗,擅长颅内外动脉支架成形术、颈动脉内膜剥脱术、颈动脉、椎动脉复合手术、颅内动脉瘤栓塞术、颅内动脉机械取栓术