CEC2024 | 卞策教授团队:正确认识布加综合征



2024年10月31日—11月3日,备受瞩目的第十五届中国血管论坛(CEC2024)于北京盛大召开,国内外专家齐聚一堂共襄盛会。本次大会设置知名专家面对面、中青年专家论坛、学术专题讲座,病例直(录)播、外周血管介入前沿与争锋辩论赛、疑难病例大查房、复杂血管疾病、血管外科危重症管理、血管疾病治疗并发症处理及预防、外周器械新技术新疗法、下肢动脉减容规范化应用最新证据深度解读、国际专场@CEC等热点板块,全面展现最新的血管疾病诊疗方法和技术,为广大血管外科医务工作者及同道提供了一场内容丰富、高质量、高水平的学术盛宴。
本次大会期间,火箭军特色医学中心卞策教授团队为各位专家同道介绍了《正确认识布加综合征》。欢迎阅读。
演讲题目:
《正确认识布加综合征》
演讲嘉宾:
卞策教授
单位:
火箭军特色医学中心





布加综合征
01
定义与流行病学
定义:肝静脉和/或其开口以上的下腔静脉流出道梗阻所致的一组临床综合征。
流行特点
此病在我国、日本、韩国、印度、尼泊尔等东亚国家及南非发病率远远高于欧美国家。我国高发区域为山东、河南、河北、、江苏、安徽,主要围绕黄河冲积扇平原分布。布加综合征病情复杂,早期往往被误认为肝炎、肝硬化等疾病而耽误治疗,死亡率很高;
1990-2001年,瑞典的一份多中心的调查显示:布加综合征发病率为0.8人/每百万人/年,当地居民发病率为1.4人/每百万居民;
1986年,汪忠镐院士在山东东平县所做68万人流行病学调查显示当地布加综合征发病率为6.8/10万人;
病因
先天性因素
高凝和高粘状态
毒素
腔内非血栓性阻塞
外源性压迫
血管壁病变
横膈因素与腹部创伤
其他和病因不明的

02
病理生理与临床表现
BCS的主要病理生理:
肝静脉回流障碍,压力明显升高,致肝中央静脉和肝静脉窦扩张、淤如。
在肝静脉回流受阻而侧枝代偿不足的情况下,血浆渗入肝淋巴间隙,淋巴液通过肝包膜漏入腹腔,形成顽固性腹水。
由于肝脏充血,压力增高,导致肝和脾肿大、食道和胃底静脉曲张等门脉高压的表现
胃肠道淤血肿胀,遂引起腹胀、消化吸收不良、贫血和低蛋白血症。
下腔静脉阻塞引起双下肢、会阴部肿胀和胸、腰、背部静脉曲张,这种静脉曲张既明显且范围广泛。此外尚可致肾静脉回流受阻,导致肾功能不全
由于血液淤滞在下半躯体,回心血量明显减少,心脏缩小。病人常有心悸,轻微活动即可引起心慌、气短等心功能不全症状。
临床表现
以男性多见,约为2∶1。
发病年龄则视病因而异,因先天性发育异常者,发病较早,以20~40岁之间多见。
发病的早晚与参加重体力劳动及其程度和时间长短有关。
因后天原因致病者,则发病年龄较晚。
症状与体征
单纯的肝静脉阻塞者,以门静脉高压症状为主。
合并下腔静脉阻塞者,则另有下腔静脉高压的临床表现,包括双下肢静脉曲张、色素沉着,甚至形成经久不愈的溃疡,严重者,双小腿或靴化皮肤呈老树皮肤样改变。胸、腹壁及腰背部静脉扩张、扭曲。
腰背部静脉曲张和脐下曲张静脉血流向上,是本病的特征之一。
晚期病人由于腹水严重,蛋白不断丢失,更兼消化吸收功能低下,形成消耗状态:骨瘦如血如柴,腹大如鼓,可称为“蜘蛛人”的体态,病人常死于严重营养不良、上消化道出血或肝肾功能衰竭。

成年人的肝脏约重1200-1600g,是人体内唯一的接受双重供血的器官。正常人肝窦每分钟接受血液约1500ml-2000ml,其中门静脉血流量占总流量的70-80%,肝动脉血流量占20-30%。
肝脏是具有多种生理功能的最大腺体器官。既是物质代谢中心,又是重要的分泌、排泄、生物转化和屏障器官,还是多种凝血因子合成的场所。

肝脏的微循环是指门静脉与肝动脉终末支经肝窦至细小肝静脉(中央静脉)间的循环。

肝脏微循环有两大特征:
有门静脉和肝动脉两个输入系
相当于毛细血管的肝窦有其独特的结构特点
肝脏淤血导致了门脉压力升高,肝功能代谢异常。所以缓解或解除肝脏淤血,降低门脉压力是最迫切的任务。
由于肝脏双重供血及微循环结构的特点,是各种转流手术得以实施的生理基础。

03
诊断与分型
有门静脉高压表现并伴有胸、腹壁,特别是腰背部及双下肢肿胀或静脉曲张者,应高度怀疑为本病。
检查方式:
B超或彩超是简易、可靠且方便的无创性筛选手段,准确率达90%以上。B超可在健康检査时发现早期布加综合征。
CT和MRI亦是较为准确的诊断方法,尤其是CTV检査静脉血管造影可观察门静脉系统、肝静脉和下腔静脉,目前已成为常用的无创检查方法。
诊断本病的金标准仍为腔静脉造影----同期可施行介入治疗。
经皮肝穿刺行肝静脉造影,可显示肝静脉有无扩张状况、阻塞。上述途径也用于扩张和放置支架。
肠系膜上动脉造影的静脉期,可显示门脉和肠系膜静脉扩张状况,对明确可否经肠系膜静脉施行减压很有帮助。
脾门静脉造影亦有助于了解门静脉主干及分支,尤其是脾静脉状况。
鉴别诊断:
肝硬化(肝炎后肝硬化、酒精性肝硬化、血吸虫性肝硬化)
肝前型门脉高压症
右心衰竭、结核性腹膜炎和癌肿引起的腹水

04
治疗策略:微创为主,个体化决策
保守治疗
对急性血栓形成病例及对某些病因所致者治疗有效,包括溶、类固醇、针对病因的治疗、中医中药和对症治疗(如保肝、利尿)。
手术治疗:传统的手术治疗和微创的介入治疗
目前首选介入法或介入与手术联合法。
微创治疗为治疗局限性或早期病变的主要手段。
手术方法:
根治性矫治术;
间接减压术,包括腹膜腔-颈内静脉转流术和胸导管-颈内静脉重新吻合术;
断流术(包括经食管镜硬化剂治疗食道静脉曲张及出血);
各种促进侧枝循环的手术,如脾肺固定术;
直接减压术,包括各型肠系膜上静脉或/和下腔静脉与右心房或颈内或无名静脉之间的转流术;
肝移植术。
布加综合征的改进分型
A型为下腔静脉局限性病变
B型为下腔静脉长段病变
C型为肝内静脉阻塞

布加氏综合征分期
在Child分级的基础上将本病分为四期。病情早晚不同明显影响预后Ⅰ、Ⅱ期无手术死亡,Ⅲ、IV期的手术死亡率分别为9%和21%。


终末期病人恶液质状态
主要手术方式
经皮经下腔静脉成形与支架术
经皮经肝肝静脉穿刺、扩张与支架术
经颈静脉肝内门腔分流术(TIPS)
经右心房破膜术
经右房经股静脉联合破膜扩张和内支架术
腔房转流术
肠房转流术
肠腔转流术
肠腔房转流术
肠颈转流术
肠腔颈转流术
直视下隔膜或其他病变切除术
脐颈转流术
脐腔转流术
腹膜腔颈静脉转流术
肝移植
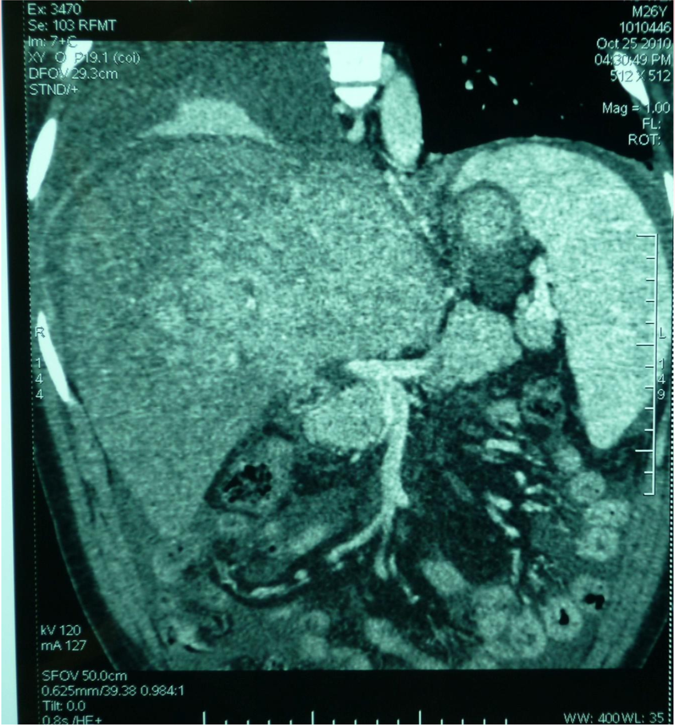
★ Case 1
肠房转流术
男性,26岁,因无明显原因出现腹胀纳差伴少尿一个月入院。
入院检查:强迫半卧位、巩膜黄染、腹部高度膨隆。双侧胸腔积液,大量腹水。
实验室检查:
总蛋白52.8g/L
白蛋白30.2g/L
谷丙转氨酶554u/L
谷草转氨酶378u/L
总胆红素74.9umol/L
直接胆红素18.51umol/L
尿素氮10.2mmol/L
低钠、低氯


肠房转流术

肠房转流术后,现在随访14年
★ Case 2
根治手术


★ Case 3
肠腔分流术
张XX、男、3岁半、腹围逐渐增大伴腹胀2月余,布加综合征





六个月后复查

术后18个月
★ Case 4
术后多次复发-吻合口成形术
患者,男,28岁,因反复腹胀4年余于2008年7月3日入院:4年前,于当地医院行“下腔静脉支架植入术1个月后,在北京一家医院行肠房人工血管转流术,症状明显缓解。1年半以后,出现大量腹水,并发脐疝。超声示人工血管通畅。服用保肝、利尿药物无效,病情渐重,多次出现肝昏迷。为进一步治疗,来二炮总医院。当时测腹围110cm。
入院行腹膜腔-颈静脉转流泵植入术。腹水减少,腹围在85cm左右。
半年后,转流泵阻塞,腹水增多,再次入院。腹围105cm。
4个月期间,腹水回输43次,每次1000-3000ml.间断补充白蛋白。
白蛋白24.6g/L-----35.1g/L
血色素92g/L-------143g/L
腹围88cm---------92cm


结语
早诊断,早治疗,制定治疗方案秉承个体化原则。
解除或缓解门脉高压是重中之重。
微创介入是趋势,但分流手术、根治性手术依然具有不可替代地位。
儿童是一个特殊的群体,可选择分期手术,为后续治疗赢得时间。
密切随访、及时干预是获得长期良好预后的保障。
病因学的探究对于从根本上解决布加综合征这类顽疾尤为重要
专家介绍

卞策教授
火箭军特色医学中心
心脏大血管外科主任医师
医学博士
1987年考入中国医科大学临床医学系,1992年毕业后在邮电总医院血管外科工作,师从汪忠镐院士。专业领域涵盖腹主动脉瘤、布加综合征、肾血管性高血压、下肢血管病变、颈动脉闭塞症等疾病诊治,参与编写《腔静脉外科学》。
1998年赴美国约翰霍普金斯大学医学院研究血管内膜增生机理及基因治疗,师从血管外科专家Williams教授和心血管病专家Rade教授。2008年加入火箭军总医院,2011年组建心脏大血管外科科室,带领团队开展“腹腔镜辅助下小切口大隐静脉原位破瓣股腘搭桥术”等新技术 。在《中国普外基础与临床杂志》发表《布加综合征的手术治疗》论文,提出手术治疗方案 。针对春运出行提出预防'经济舱综合征'建议,包括定时活动、保持水分摄入等措施 。累计完成门诊3万余人次、手术2000余台 。