CEC2024 | 熊江教授团队:下肢深静脉血栓后遗症的介入治疗



2024年10月31日—11月3日,备受瞩目的第十五届中国血管论坛(CEC2024)于北京盛大召开,国内外专家齐聚一堂共襄盛会。本次大会设置知名专家面对面、中青年专家论坛、学术专题讲座,病例直(录)播、外周血管介入前沿与争锋辩论赛、疑难病例大查房、复杂血管疾病、血管外科危重症管理、血管疾病治疗并发症处理及预防、外周器械新技术新疗法、下肢动脉减容规范化应用最新证据深度解读、国际专场@CEC等热点板块,全面展现最新的血管疾病诊疗方法和技术,为广大血管外科医务工作者及同道提供了一场内容丰富、高质量、高水平的学术盛宴。
本次大会期间,中国人民解放军第一医学中心熊江教授团队为各位专家同道介绍了《下肢深静脉血栓后遗症的介入治疗》。欢迎阅读。
演讲题目:
《下肢深静脉血栓后遗症的介入治疗》
演讲嘉宾:
熊江教授
朱雅婷教授
孙国义教授
单位:
中国人民解放军第一医学中心
前言
下肢深静脉血栓后遗症(PTS)是深静脉血栓形成(DVT)的常见并发症,主要表现为慢性静脉功能不全、肢体肿胀、疼痛及难愈性溃疡,严重影响患者生活质量。对于严重PTS患者,血管腔内介入治疗(如球囊扩张、支架植入)已成为重要治疗手段。本文报告一例61岁男性PTS患者的介入治疗过程,该患者左下肢肿胀4年伴溃疡半年,影像学提示髂静脉及股静脉血栓形成伴部分再通。手术采用超声引导穿刺、导丝轨道建立、球囊扩张及支架植入技术,成功开通闭塞血管并改善血流。术后患者症状显著缓解,3个月后溃疡愈合。本病例探讨了髂股静脉支架植入的疗效、跨越髋关节支架的可行性及远期通畅性,为PTS的介入治疗提供临床参考。
病史资料
01
患者信息
男性,61岁;
主诉:主诉左下肢肿胀4年,溃疡不愈合半年。
02
术前彩超检查
左侧髂总、髂内、髂外静脉血栓形成伴部分再通
左侧股总、股浅及腘静脉血栓形成伴腺瘤样血流
危险因素:肺栓塞4年
03
化验检查
血浆纤维蛋白原:1.44g/L,
D-二聚体:0.72 μg/ml
血浆抗凝血酶原亚测定:78%
04
手术方案
超声引导下穿刺左侧腘静脉置入鞘管,左下肢静脉、髂静脉造影;
V-18 配合椎动脉导管通过腘静脉、股浅静脉、髂静脉病变段;
穿刺对侧股静脉,双向牵拉,逆向通过髂静脉病变,置于股深静脉内;
6mm、10mm球囊扩张成形;
植入 14*80mm、14*60mm 2个、12*80mm自膨式支架;
穿刺点压迫止血。
手术过程
1
初始操作
超声引导下穿刺左侧腘静脉置入鞘管
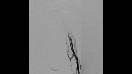
行左下肢静脉及髂静脉造影

2
血管通路建立
尝试通过腘静脉、股浅静脉、髂股段静脉病变
发现股浅静脉近端闭塞,通过侧支与股深静脉沟通

髂静脉闭塞,盆腔侧支静脉形成
3
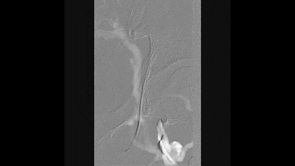
导丝通过技术
在路图模式下,使用泥鳅导丝通过股浅静脉侧支进入股深静脉


多次尝试后导丝通过闭塞的髂静脉段

交换0.035支撑导管配合导丝通过髂静脉闭塞段到达下腔静脉



4
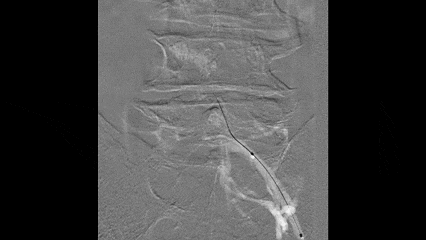
轨道建立
由于6F长鞘无法从腘静脉推送至髂静脉段

穿刺右侧股静脉,建立从右股静脉到左腘静脉的轨道


将导管推送至左侧髂外静脉,交换cco导丝

5
球囊扩张
使用4×150mm球囊扩张髂静脉段和股深静脉段
10mm球囊扩张左侧股深静脉、髂外静脉和髂总静脉

扩张后髂股静脉仍处于闭塞状态,有弹性回缩

6
支架置入
从股深静脉相对健康管腔开始
从远心端向近心端依次植入12mm支架1枚,14mm支架3枚
所有支架均为自膨式支架,近心端到达下腔静脉水平
10mm球囊对支架进行后扩

7
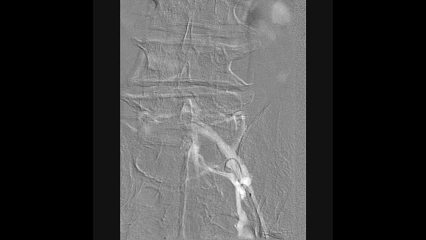
手术结果
术后造影显示:
左侧股深静脉到左侧髂外及髂总静脉全程通畅
侧支循环消失
形态良好,无明显狭窄,管腔通畅

临床效果:
术后患者左下肢肿胀明显减轻,溃疡疼痛缓解
术后3个月左下肢溃疡完全愈合
总结
髂股静脉支架植入是解决PTS的有效方案,评价标准应以盆腔侧支循环完全消失为依据,关键是将支架远心端落在侧支循环的远端。
经侧支静脉建立轨道开通近端髂静脉闭塞具有可行性。本病例采用"思路to思路"技术,通过右侧股静脉穿刺点将长鞘推送至左侧股深静脉完成支架植入。
当股浅静脉完全闭塞而远端腘静脉通过侧支与股深静脉沟通时,建立股深静脉到髂静脉之间的管道对远端静脉回流同样有效。本病例支架跨越左侧髋关节,中远期随访显示管腔通畅性良好。
跨越髋关节的支架对于维持髂股静脉的中远期通畅性具有较好效果。
专家介绍

熊江教授
解放军总医院
第一医学中心
血管外科主任医师
教授、博士生导师
博士后合作导师
北京市科技新星
总后首届优秀青年人才扶持对象
首届“国之名医-优秀风范”
北京市重点实验室PI
主持军队重点课题2项,国家自然科学基金3项,科技部重点研发计划1项,中国博士后基金1项,北京市课题4项,广东省课题1项
发表SCI论文44篇,总影响因子156分(中科院JCR TOP期刊论著4篇),10分以上2篇
获国家科技进步一等奖、军事科学技术一等奖、北京市科技进步二等奖、军队医疗成果一等奖、军事科学技术二等奖、广东省科学技术一等奖、华夏医学科技一等奖、解放军总医院科技进步二等奖等。
中国研究型医院学会血管医学专委会常委兼秘书长。