CEC2024 | 贾鑫教授团队:髂骨动脉病变腔内治疗



2024年10月31日—11月3日,备受瞩目的第十五届中国血管论坛(CEC2024)于北京盛大召开,国内外专家齐聚一堂共襄盛会。本次大会设置知名专家面对面、中青年专家论坛、学术专题讲座,病例直(录)播、外周血管介入前沿与争锋辩论赛、疑难病例大查房、复杂血管疾病、血管外科危重症管理、血管疾病治疗并发症处理及预防、外周器械新技术新疗法、下肢动脉减容规范化应用最新证据深度解读、国际专场@CEC等热点板块,全面展现最新的血管疾病诊疗方法和技术,为广大血管外科医务工作者及同道提供了一场内容丰富、高质量、高水平的学术盛宴。
本次大会期间,中国人民解放军总医院第一医学中心贾鑫教授团队为各位专家同道介绍了《髂股动脉病变腔内治疗》。欢迎阅读。
演讲题目:
《髂股动脉病变腔内治疗》
演讲嘉宾:
贾鑫教授
张敏宏教授
单位:
中国人民解放军总医院第一医学中心

前言
髂股动脉闭塞性病变是血管外科常见的复杂疾病,尤其在高龄、多合并症患者中,治疗策略的选择往往面临开放手术风险高与腔内治疗技术挑战并存的双重困境。随着腔内器械的迭代与“介入无植入”“减容优先”理念的深化,定向斑块切除联合药物球囊(DCB)的“DAART”策略,为处理严重钙化或偏心性斑块提供了新的微创解决方案。本文基于一例高龄、高危的右侧髂股动脉闭塞病例手术系统梳理其诊疗决策过程与手术技术细节,旨在探讨该策略在复杂病变中的应用价值与操作要点。

病例概况与评估
01
患者基本信息
患者:76岁,男性。
主诉:下肢跛行2年,左侧髂动脉支架3个月
诊断:右侧髂股动脉闭塞
02
关键病史
既往3个月前行左侧髂动脉支架植入;
合并糖尿病、高血压、大量吸烟史;
冠脉植入4枚支架,心功能储备差。
03
检查与评估
ROS分期Ⅲ级,ABI 0.3;
CT提示右侧髂总动脉闭塞合并股总动脉重度狭窄。
左侧病变已处理,右侧因复杂未处理。

图:术前CT

治疗决策与手术规划
1
术式选择考量
患者手术耐受性差,排除了开放杂交手术(内膜剥脱),决定行纯腔内治疗。
2
病变特点与器械选择
股总动脉存在超过270°的大斑块,适合定向斑块切除(TurboHawk Plus)。因左侧支架位置高影响操作, 计划经左侧股动脉穿刺“翻山”入路。
3
详细方案
使用6F 55cm长鞘翻山;
髂动脉段计划使用Admiral球囊与Everflex支架;
股总动脉行斑块切除后使用DCB后扩张;
穿刺点用XOC封堵。

手术过程关键步骤
01
建立入路与翻山
左股动脉穿刺,导丝谨慎避开左侧支架网眼翻山至右侧,长鞘到位。

02
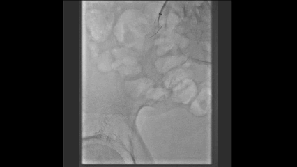
造影确认病变
造影显示髂外动脉起始至股总动脉远端完全闭塞,股总动脉见大斑块。

03
开通闭塞段
使用Command 18导丝配合Trebleazer导管开通,部分硬病变采用“成袢”技术通过后回归真腔。

04
髂动脉处理
使用Admiral球囊扩张后,植入12cm长Everflex支架覆盖病变,形态良好。

05
股总动脉斑块切除
使用TurboHawk Plus系统,于12、3、6点方向切除,因斑块硬在1点方向补切一刀(共四刀), 未放置远端保护伞。

06
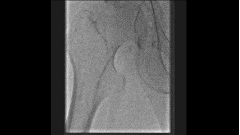
药物球囊应用
切除后造影显示管腔获得良好,使用6-4药物球囊进行后扩张。

07
最终结果
最终造影证实血流通畅,管腔获得满意,远端无栓塞证据。


08
技术亮点总结
器械优势:TurboHawk Plus的弓背设计提升贴壁性;6F鞘管更细,操作便捷;冲洗功能优化。
策略优势:DAART(定向斑块切除+药物球囊)策略避免了非支架区(股总动脉)植入支架,降低了远期再狭窄风险,为高危患者提供了免于开刀的选项。
总结
本例患者为高龄、多合并症的复杂髂股动脉闭塞病例,手术团队通过精准评估病变特点及患者耐受性,选择了腔内治疗联合定向斑块切除(TurboHawk Plus)及药物球囊(DCB)扩张的微创策略,成功避免了开放手术的高风险。术中克服了左侧支架高位植入带来的操作困难,并利用新一代斑块切除系统的优势,实现了高效、安全的血管再通。术后造影证实管腔获得良好,无远端栓塞,展现了腔内技术在复杂外周动脉病变中的可靠性和微创价值。这一病例也为类似高危患者的治疗提供了可借鉴的临床思路——即通过器械创新与个体化手术规划,实现“以最小创伤换取最大获益”的治疗目标。
专家介绍

贾鑫教授
中国人民解放军总医院
第一医学中心
血管外科副主任医师
副教授、医学博士
硕士生导师
中国医师协会血管外科分会血管创伤学组副组长
北京医学会血管外科分会主动脉学组副组长
专注于主动脉分支支架和外周动脉器械的研发和临床科研工作。第一作者发表文章20篇,最高影响因子10分。主持省部级课题3项。参与编写专著3部。获得军队医疗成果一等奖和北京市科技成果一等奖。