CEC2024 | 林少芒教授团队:重视下腔静脉滤器的应用与并发症



2024年10月31日—11月3日,备受瞩目的第十五届中国血管论坛(CEC2024)于北京盛大召开,国内外专家齐聚一堂共襄盛会。本次大会设置知名专家面对面、中青年专家论坛、学术专题讲座,病例直(录)播、外周血管介入前沿与争锋辩论赛、疑难病例大查房、复杂血管疾病、血管外科危重症管理、血管疾病治疗并发症处理及预防、外周器械新技术新疗法、下肢动脉减容规范化应用最新证据深度解读、国际专场@CEC等热点板块,全面展现最新的血管疾病诊疗方法和技术,为广大血管外科医务工作者及同道提供了一场内容丰富、高质量、高水平的学术盛宴。
本次大会期间,广州医科大学附属第二医院林少芒教授团队为各位专家同道介绍了《重视下腔静脉滤器的应用与并发症》。欢迎阅读。
演讲题目:
《 重视下腔静脉滤器的应用与并发症 》
演讲嘉宾:
林少芒教授
张智辉教授
萧剑彬教授
单位:
广州医科大学附属第二医院
广州市卫健委血管外科医疗质量控制中心
下腔静脉滤器起源与价值
因为静脉血栓栓塞与肺栓塞——诞生了腔静脉滤器

1
下腔静脉滤器——进得去、出得来

1、了解各种下腔静脉滤器的优缺点、取出时间窗
2、重视使用下腔静脉滤器的适应症、禁忌症
4、重视下腔静脉滤器使用时出现的并发症
5、重视腔静脉滤器的取出(腔镜下或开放手术)
6、取滤器的知难而退
2
关于下腔静脉滤器的意义

1、下腔静脉滤器置入能有效防止PE发生
2、尽量选用临时滤器或可回收滤器
3、滤器取出前应行下腔静脉造影
3
各种不同的滤器:规格,大小,回收时间窗

适应证、禁忌证与选择原则
1
滤器植入绝对适应症——2020最新共识

绝对适应证
1.已经发生有症状的PE或下腔静脉及髂、股、腘静脉急性血栓形成的患者有下述情况之一者:
存在抗凝治疗禁忌证者;
抗凝治疗过程中发生出血等并发症;
充分的抗凝治疗后仍复发PE和各种原因不能达到充分抗凝者。
2. 有症状的PE,同时存在急性下肢DVT者。
3. 髂、股静脉或下腔静脉内有游离漂浮血栓或大量急性血栓。
4. 诊断为易栓症且反复发生PE者。
5. 急性下肢DVT,欲行经导管接触性溶栓治疗(CDT)和经皮机械性血栓清除术(PMT)者
相对适应证
主要为预防性滤器置入,选择须谨慎。
1. 严重创伤,伴有或可能发生急性下肢DVT,包括:
闭合性颅脑损伤;
脊髓损伤;
下肢多发性长骨骨折或骨盆骨折等。
2. 临界性心肺功能储备伴有急性下肢DVT。
3. 慢性肺动脉高压伴高凝血状态。
4. 血栓形成高危因素患者],如肢体长期制动、重症监护患者。
5. 老龄、长期卧床伴高凝血状态。
2
血栓风险消除后滤器应当尽早回收
-2023专家共识


3
滤器植入禁忌症——2020最新共识

绝对禁忌证
1. 慢性下腔静脉血栓,下腔静脉重度狭窄者。
2. 下腔静脉直径超过所备用滤器的最大适用直径。
相对禁忌证
1. 严重的大面积PE,病情凶险,已生命垂危者。
2. 伴有菌血症或毒血症。
3. 未成年人。

4
可回收滤器取出指征
(1)Wells 评分< 5分。
(2) D-dimer< 500 ng/mL。
(3)彩超证实:下肢深静脉、下腔静脉内无游离漂浮的血栓或无新鲜血栓或经治疗后上述血管内血栓消失。
(4)造影证实:下腔静脉滤器内捕获血栓< 5 mm。
(5) 血栓诱因祛除,规律抗凝2 周以上。
(6)预防性置入滤器后,经过其他治疗已不需要滤器保护的患者。
说明:若D-dimer经规律抗凝2周后未降至500 ng/mL以下,可以每3 天动态复查,若呈平稳状态或下降趋势,滤器予以拔除。
滤器相关并发症与风险预判

急性期的DVT—治疗思路
诊断:深静脉血栓
治疗前滤器置入—什么滤器?
手术取栓—采用什么手术???
早年切开取栓


滤器的可能危害:—强行暴力取滤器—术者当时的思考?



滤器捕获血栓,滤器腿折断如何面对




梭形滤器超时取出,风险评估......

滤器取出失败的外科处理方案
各种因素导致滤器无法腔内取出
本中心2022年10—2024年9月非腔内方法取出各种品牌滤器10例:
开放手术取出3例
腹腔镜取出7例
男女比例5:5
置入时间1—14个月,平均3.7个月


腔内无法取出主要原因
1.超时取出
2.滤器倾斜、贴壁,粘连、刺出腔静脉壁外
3.滤器品质,手术医生技巧
1
Case 1
女性,42岁
因“反复左下肢肿胀5月余,下腔静脉滤器植入术后1月余” 入院。
患者1月前因“左下肢深静脉血栓形成”在外院行下腔静脉滤器植入术,先后两次行下腔静脉滤器取出术均未成功。
查体:双下肢皮温暖,左下肢肿胀,非凹陷性,双股动脉、腘动脉、足背动脉搏动可及。
既往史:2018年行全子宫切除术。
入院彩超:下腔静脉及双下肢静脉无血栓


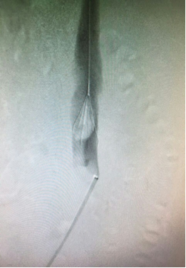
外院两次腔内取滤器均告失败,且滤器变形,头端突入右肾静脉


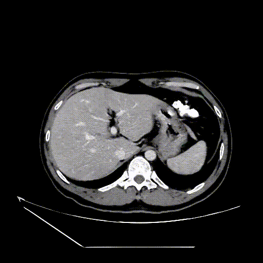
图为:入院CT及增强


图为:CT 三维重建




图为:全麻下开腹下腔静脉切开滤器取出术




图为:全麻下开腹下腔静脉切开滤器取出术



图为:术后1月复查腹部CT增强
2
Case 2
男性,55岁
因“下腔静脉滤器留置2月”入院
患者2月前因“肺动脉栓塞”在外院行下腔静脉滤器植入术,1周前外院腔内取滤器失败
查体:双下肢皮温暖,无肿胀,非凹陷性,双股动脉、腘动脉、足背动脉搏动可及。
既往史:3月前因车祸致右肩胛骨骨折,已行内固定术。
入院彩超:下腔静脉及双下肢静脉无血栓

图为:入院立位腹部平片

图为:入院后再次尝试腔内回收滤器,经4h努力以失败告终

图为:腹腔镜下腔静脉切开滤器取出


图为:术后1月腹部CT及增强扫描
3
Case 3
男性,39岁
因“下腔静脉滤器留置10月”入院
患者10月前因“头颅外伤后右下肢肿胀”在外院行下腔静脉滤器植入术,2月前外院腔内回收滤器失败
查体:双下肢皮温暖,无肿胀,非凹陷性,双股动脉、腘动脉、足背动脉搏动可及。
入院彩超:下腔静脉及双下肢静脉无血栓
全腹CT及增强:下腔静脉滤器留置,无血栓


图为:入院全腹部CT及增强扫描



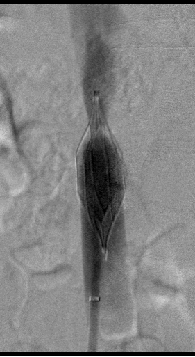
图为:尝试腔内回收滤器,滤器无法回收入鞘,下腔静脉缩窄明显




图为:腹腔镜下游离出下腔静脉




图为:腹腔镜下游离出双侧肾静脉,右侧肾上腺静脉,右侧生殖静脉,下腔静脉近心端上血管吊带




图为:腹腔镜下结扎可见腰静脉,哈巴狗阻断近心端及远心端下腔静脉,可见滤器远端回收勾,此处剪开下腔静脉

图为:腹腔镜直视下抓捕器回收滤器失败



图为:血管吊带重新阻断下腔静脉近心端,仍阻断不住下腔静脉喷血。




图为:及时中转开腹,探查发现下腔静脉左后外侧腰静脉未阻断,阻断后不再喷血
结语
1、严格把控滤器置入的适应症和绝对禁忌症,选择合适的腔静脉滤器。
2、勿长期留置滤器、重视滤器时间窗,尽可能选择可回收型滤器。 PE风险解除后,应尽快取出滤器。
3、腔内回收失败的腔静脉滤器,切勿强行取出,开放取出滤器安全可行。
4、知难而退是一种美德。
专家介绍

林少芒教授
广州医科大学附属
第二医院
血管外科主任
外科学教授,主任医师
硕士研究生导师
中国医师协会血管外科分会委员 国际静脉联盟(IUP)中国静脉学会常务委员
中国医师协会腔内血管学全国委员
华南血管外科联盟理事长
广东省临床医学学会血管外科分会主任委员
广东省医学会血管外科分会主任委员
广州市医学会血管外科学分会主任委员
广东省健康管理学会第二届理事
广东省健康管理学会血管病专业委员会副主任委员
广东省肺栓塞术和深静脉血栓防治联盟临床委员会组长
大湾区血管外科联盟副主席
《中华血管外科杂志》编委
中国血管外科杂志(电子版)常务编委
获得第二届广东省医师奖,岭南名医,羊城好医生
广州市医学会医疗事故技术鉴定专家库成员
南方司法医疗鉴定专家
从事血管外科临床工作30余年;主要擅长主动脉夹层、腹主动脉瘤、各种血管瘤、脉管炎、静脉血栓、静脉曲张、下肢溃疡、血管畸形等动静脉疾病的诊治
主持5项省部级课题,获广州市、广东省科技进步奖三等奖各一项
近年来在国内外主要刊物发表有关论文30多篇,在省内率先开展微创血管外科技术和血管杂交手术。

张智辉教授
广州医科大学附属
第二医院
医学博士,主任医师
博士生导师
博士后合作导师
广州市医师协会血管外科医师分会主任委员
广东省临床医学学会血管外科专委会主任委员
广州市医学会血管外科分会副主任委员
广东省医学会血管外科分会常委
中国医师协会血管外科分会血透通路专委会委员
中国静脉学会委员
中国微循环学会静脉曲张专委会委员
中国医师协会腔内血管学分会透析通路委员会委员
广东省基层医药学会血管外科专委会 副主任委员。
广东省杰出青年医学人才
广东省教育厅“千百十”工程人才
广州市医疗事故鉴定委员会专家,获评“羊城好医生”、“岭南名医”。

萧剑彬教授
广州医科大学附属第二医院番禺院区
血管外科副主任,副主任医师,硕士生导师
广东省临床医学学会血管外科专业委员会常委兼秘书
广东省基层医药学会血管外科专业委员会常委
广东省医学会血管外科分会委员
广东省健康管理学会血管病学专业委员会委员