CEC2024 | 郁正亚教授:血液透析通路设计的误区



2024年10月31日—11月3日,备受瞩目的第十五届中国血管论坛(CEC2024)于北京盛大召开,国内外专家齐聚一堂共襄盛会。本次大会设置知名专家面对面、中青年专家论坛、学术专题讲座,病例直(录)播、外周血管介入前沿与争锋辩论赛、疑难病例大查房、复杂血管疾病、血管外科危重症管理、血管疾病治疗并发症处理及预防、外周器械新技术新疗法、下肢动脉减容规范化应用最新证据深度解读、国际专场@CEC等热点板块,全面展现最新的血管疾病诊疗方法和技术,为广大血管外科医务工作者及同道提供了一场内容丰富、高质量、高水平的学术盛宴。
本次大会期间,首都医科大学附属北京同仁医院郁正亚教授为各位专家同道介绍了《血液透析通路设计的误区》。欢迎阅读。
演讲题目:
《血液透析通路设计的误区》
演讲嘉宾:
郁正亚教授
单位:
首都医科大学附属北京同仁医院
ESRD 患者的生命计划(PLAN)



Lok CE, et al. Am J Kidney Dis. 2020;75(4)(suppl 2):S1-S164.
理想的血液透析通路设计原则
优化血液透析通路构建的策略

保护一切血管资源(主干、属支、穿支、深静脉)
上肢透析通路尽可能在远心端建立,以为将来的通路保留近端部位
首选AVF,其次AVG
建立AVF的优先顺序
直接动静脉吻合>静脉转位>静脉移位移植
优先考虑血管条件,其次考虑非优势侧肢体
仅当所有上肢通路部位均耗竭后才考虑使用下肢和躯干通路部位
减少不必要/非优化通路的建立
理想的血液透析通路设计

良好的流入道(动脉)
良好的流出道(静脉)
足够的穿刺空间(8-10cm,尽量平直)
尽量位于四肢、皮肤距离浅便于穿刺
预估通路建立后血流动力学改变减少通路再干预频率(狭窄/感染/动脉瘤/窃血....)及住院率
通路使用寿命最大化
减轻经济负担
手术设计为日后维护/翻修及重建预留空间
关键策略
重视术前评估

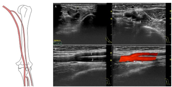
血管检查是AVA建立初步评估和建立的基础,应由术者亲自实施
动脉评估
自锁骨下动脉起,至前臂各动脉
动脉直径*(1.6-2.0mm)、动脉血流、解剖变异、阻力指数....
动脉狭窄、钙化或闭塞
静脉评估
自拟定吻合口至锁骨下静脉,包括浅静脉及其属支、穿支、深静脉静脉直径(2.5-3.0mm)、通畅性、连续性以及可扩张性*
关注解剖变异
关注瓣膜位置

透析通路功能、设计、技术

通路功能 vs.通畅,功能更重要
设计理念vs. 技术,设计更重要
最大程度保护血管资源
延长内瘘使用时间
为患者生命计划留好“备胎”
为术者后续治疗留好“后路”
涉及术前评估、通路规划设计及手术技术

通路规划/设计

★ Case 1
肱桡动脉变异导致AVF无法成熟
男性,49岁,糖尿病肾病CDK5期,建立左腕部RC-AVF,术后5个月通路震颤微弱,无法使用
超声提示左上臂肱动脉高分又变异,变异类型:肱桡动脉
处理:新建肘部MCV-BRA AVF


★ Case 2
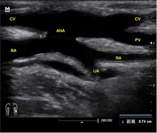
肱尺动脉变异,吻合口远端动脉窃血导致HAIDI
男性,53岁,因高血压肾病,尿毒症,8个月前于建立左腕部RCAVF。手术后即感觉左手发凉及麻木,术后5个月开始出现左第2、3指静息痛,第2指指尖破溃不愈合
US及DSA提示肱尺动脉变异,吻合口远端动脉返流


★ Case 3
静脉变异影响原手术方案
贵要静脉变异导致原“肱动脉-贵要静脉转位术”中转为“肱动脉-肱静脉转位术”


★ Case 4
流出道静脉选择不佳,不留“后路”与“备胎”
女性,29岁,糖尿病肾病,肘上肱动脉-肱静脉前臂AVG,术后肱静脉瓣膜型狭窄,吻合口血清肿破溃,通路无法使用
手术影响利用条件良好的肘上贵要静脉建立后续通路

★ Case 5
AVG设计不佳,可穿刺区域过小,浪费人工血管长度;流出道静脉差,术后未曾使用;
通路跨肘横纹,影响后续通路建立

★ Case 6
盲目建立非常规部位AVG
男性,61岁,因双肾及膀胱切除,双前臂建立AVF失败后改建左锁骨下AVG,2周后血栓形成再次建立左下肢AVG,使用4年血栓形成
体检发现患者左上肢肘正中静脉、穿静脉、上臂头静脉及贵要静脉条件良好,锁骨下静脉通畅
处理:新建左肘部Konner内瘘



★ Case 7
盲目建立前臂AVG,干扰后续内瘘建立
女性45岁,高血压肾病CKD5,建立左前臂肱动脉-肱静脉AVG后1年血栓形成。患者原上臂浅静脉、肘正中静脉及穿静脉条件良好,跨肘手术影响上臂AVF建立


手术操作/技术层面

★ Case 8
术前未关注前臂桡动脉闭塞,高位AVF吻合口过大,术后发生HAIDI


★ Case 9
AVG动脉端走行设计不良致血栓反复发生
女性,40岁,SLE,CKD5,因桡动脉闭塞左前臂RC-AVF改建左肱动脉(肘上)-腕部头静脉间置
AVG 1月,短期内无诱因血栓形成2次


★ Case 10、11
不同设计和规划,两个病人,两种结局


通路全生命周期管理
通路使用寿命最大化,为日后维护/翻修及重建预留空间
★ Case 13
头静脉弓狭窄的另一种解决方案
女性,32岁,SLE,左上臂BC-AVF后CAS,多次PTA及覆膜支架

常规头静脉-腋静脉转位
头静脉弓-腋静脉间成角,术后仍会发生吻合口/近吻合口狭窄
腋静脉区域受本次手术累及影响日后新建内瘘
★ Case 12
头静脉弓狭窄的另一种解决方案




结语
良好的通路手术设计
延长通路使用寿命
减少翻修频率和复杂性
便于后期手术的实施
最佳的经济效益比
重视术前评估
为患者选择“恰当”的内瘘和翻修方式
为患者留下“备胎”,为术者留下“后路”
专家介绍

郁正亚教授
首都医科大学
附属北京同仁医院
血管外科主任医师
硕士研究生导师
北京医学会医疗事故技术鉴定专家库成员。1987年毕业于首都医科大学医疗系,1998年获中国协和医科大学血管外科学硕士学位,2000年赴美国约翰斯-霍普金斯大学医学院从事博士后研究,2005年获德国杜伊斯堡-埃森大学医学博士学位 。
长期任职于北京同仁医院普通外科及血管外科,擅长动脉阻塞性疾病、静脉系统疾病的外科诊疗,开展下肢静脉曲张微创技术及透析通路手术 。2006年起担任普外科主任后,建立外科伤口中心并成立中-德伤口治疗师(北京)培训学校,主编《透析用血管通路建立手册》《血液透析通路百例实战-手术分册》等专业书籍 。现任国际血管联盟中国分会血液透析专业委员会副主任委员、中国医师协会血管外科分会血液透析通路学组副组长等职 。2011年获评首都医科大学优秀教师 。