CEC2024 | 栾景源教授:EVAR 术后 II 型内漏的治与防



2024年10月31日—11月3日,备受瞩目的第十五届中国血管论坛(CEC2024)于北京盛大召开,国内外专家齐聚一堂共襄盛会。本次大会设置知名专家面对面、中青年专家论坛、学术专题讲座,病例直(录)播、外周血管介入前沿与争锋辩论赛、疑难病例大查房、复杂血管疾病、血管外科危重症管理、血管疾病治疗并发症处理及预防、外周器械新技术新疗法、下肢动脉减容规范化应用最新证据深度解读、国际专场@CEC等热点板块,全面展现最新的血管疾病诊疗方法和技术,为广大血管外科医务工作者及同道提供了一场内容丰富、高质量、高水平的学术盛宴。
本次大会期间,北京大学第三医院栾景源教授为各位专家同道介绍了《EVAR 术后 II 型内漏的治与防》。欢迎阅读。
演讲题目:
《EVAR 术后 II 型内漏的治与防》
演讲嘉宾:
栾景源教授
单位:
北京大学第三医院
背景与现状
内漏是EVAR主要并发症


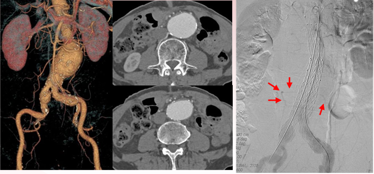
内漏是腹主动脉瘤腔内修复术(EVAR)后最常见的并发症,其中 II 型内漏最为常见。
国外文献报道其发生率为 20%~40%,我院回顾性数据显示约为 28%。这一差异主要源于 识别率的不同——准确诊断依赖于 CTA 检查的延迟期扫描,并通过测量动脉瘤囊内 CT 值判断是否存在持续灌注。
II 型内漏虽多为低流量,但可导致:
动脉瘤囊持续灌注;
瘤体进行性扩张;
继发 I 型或 III 型内漏;
极少数情况下引发破裂。
因此,当前各大指南均建议对有风险的 II 型内漏积极干预。

处理方法
术后随访期补救措施:
近/远端延伸覆膜支架
经皮栓塞导致内漏的分支
动脉瘤囊腔填塞
开放/腹腔镜手术结扎内漏分支


技术难点:
路径长、迂曲;
常规 3.5F 或 1.8F 微导管难以到位;
多需使用更细的 1.4F 系统;
导管进入瘤囊耗时(曾有病例耗时超 2 小时);
费用高、成功率受限。
★ Case
一例术前发现双侧腰动脉,因当时认为“不粗”未处理。术后 CTA 显示 II 型内漏伴瘤体增大。最终经髂内动脉入路,先以弹簧圈构建支架,再注入医用胶封闭瘤囊,成功止漏。



其他补救方法还包括:
经皮直接穿刺瘤囊注射胶;
腹腔镜下结扎返流血管。
但这些均为 创伤较大或技术门槛高的补救措施,非首选。
从“治疗”转向“预防”
鉴于 II 型内漏发生率高、治疗困难,预防优于补救。
当前预防策略包括:
术前预栓塞粗大侧支血管(如肠系膜下动脉、腰动脉);
术中瘤腔填塞(我院重点探索方向)。

EVAR术中预防方法:
预栓粗大肠系膜下、腰动脉
动脉瘤囊腔填塞


★ Case 1

II型内漏 预防:预栓IMA

★ Case 2


II型内漏 预防:预栓腰A
创新实践:瘤腔内注射凝血酶
自 2018 年起,我院在 EVAR 术中常规 预置导管至瘤腔,释放支架后立即 注入凝血酶,诱导瘤腔内生理性血栓形成。
初步成果(70 余例随访):
II 型内漏发生率显著降低;
动脉瘤囊回缩速度明显快于传统组(1 个月即可见显著缩小,6 个月更明显);
无过敏、异位栓塞或感染等并发症(得益于严格操作质控)。
优势分析:
凝血酶 模拟人体自然凝血过程,无异物残留;
相较于组织胶(如 NBCA),生物相容性更优;
成本低、操作相对简便。



结语
测量增强CT静脉期CT值,可发现低流量内漏
严密随访,一旦瘤腔明显增大,应积极治疗
预防
凝血酶具有良好的生物相容性,可安全地应用于人体
凝血酶已用于治疗股动脉假性动脉瘤,其安全性和有效性已得到证实
本研究中,无凝血酶相关并发症,如异位栓塞、过敏反应和感染
凝血酶可促进动脉瘤囊内血栓形成,影像学检查无散在伪影
操作简单,成本低
专家介绍

栾景源教授
北京大学第三医院
介入血管外科常务副主任
主任医师
国际血管联盟中国分部血管创伤委员会副主委
北京医师协会血管外科专科医师分会常务理事
北京中西医结合学会周围血管专业委员会常务委员
中国医疗保健国际交流促进会糖尿病足病分会第二届委员会常务委员
亚太血管学术联盟出血防治专委会常务委员
中国医师协会腔内血管学专业委员会主动脉瘤专家委员会委员
北京医学会血管外科分会第四届委员会委员
北京医学会介入医学分会第二届委员会委员
北京医师协会介入医师分会血管专业委员会委员
北京医学会鉴定专家
医调委专业咨询专家
医政准入现场审核专家
《中国微创外科杂志》编委