CEC2024 | 管圣教授团队:血管外科医生TIPS之路



2024年10月31日—11月3日,备受瞩目的第十五届中国血管论坛(CEC2024)于北京盛大召开,国内外专家齐聚一堂共襄盛会。本次大会设置知名专家面对面、中青年专家论坛、学术专题讲座,病例直(录)播、外周血管介入前沿与争锋辩论赛、疑难病例大查房、复杂血管疾病、血管外科危重症管理、血管疾病治疗并发症处理及预防、外周器械新技术新疗法、下肢动脉减容规范化应用最新证据深度解读、国际专场@CEC等热点板块,全面展现最新的血管疾病诊疗方法和技术,为广大血管外科医务工作者及同道提供了一场内容丰富、高质量、高水平的学术盛宴。
本次大会期间,新疆维吾尔自治区人民医院管圣教授团队为各位专家同道介绍了《血管外科医生TIPS之路》。欢迎阅读。
演讲题目:
《血管外科医生TIPS之路》
演讲嘉宾:
管圣教授
杨建平教授
单位:
新疆维吾尔自治区人民医院

背景与临床需求
门静脉高压症(Portal Hypertension, PH)是由门静脉血流受阻或血流量增加所致,当门静脉压力 >25 cmH₂O 时即可诊断。其典型并发症为食管胃底静脉曲张破裂出血和难治性腹水,是肝硬化患者致死致残的主要原因。



主要并发症—上消化道出血和大量腹水
经颈静脉肝内门腔静脉分流术(TIPS)自1989年首次应用于临床以来,已成为控制门脉高压并发症的重要微创手段。我院血管外科自2011年正式开展TIPS,至今已完成近千例手术,技术成功率稳定在97%以上。


经颈静脉肝内门腔静脉分流术(TIPS)

TIPS 的核心价值与成功标准
TIPS 的本质是通过在肝静脉与肝内门静脉之间建立人工分流道,实现“分流+断流”双重效果
分流:降低门静脉压力;
断流:术中同步栓塞胃冠状静脉等曲张血管,减少再出血风险。
其成功评价分为三个层面:
技术成功:支架通道通畅,门静脉主干仍有灌注;
血流动力学成功:门静脉压力梯度(PPG)≤12 mmHg 或下降 ≥25%;
临床成功(最重要):急诊止血率高达98%,腹水显著缓解甚至消失,患者生活质量与生存期明显改善。

为何由血管外科主导 TIPS?
在我院,TIPS 技术最终由血管外科承担,源于多学科格局:
消化科:曾在90年代尝试开展,但因早期两例效果不佳而放弃;
介入科:虽同期学习,但受限于床位与专科方向,未能系统推进;
血管外科:兼具开放手术与介入能力,且长期致力于门静脉系统疾病,具备技术延续性与综合处理复杂病例的优势。

技术演进与关键突破
01
支架与穿刺路径优化
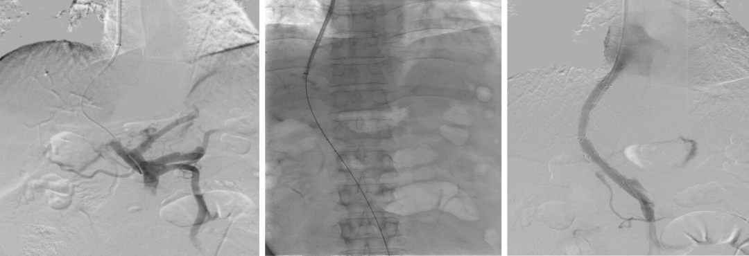
早期:采用裸支架 + 覆膜支架对接,易发生再狭窄;
穿刺策略:初期多选择门静脉右支(操作相对简单),但常导致分流道成角、盖帽,再狭窄率高;后期转向左支穿刺,路径更直,长期通畅率显著提升。

初期TIPS(裸支架—覆膜支架)

初期TIPS(技术的挑战)

门静脉右支穿刺

门静脉左支穿刺
02
急诊 TIPS 应用
对于内镜反复止血失败的急性上消化道大出血患者,TIPS 可作为救命手段。我们曾接诊术中持续呕血的危重患者,通过急诊 TIPS 成功止血。



急性上消化道大出血急诊TIPS

多次内镜止血无效,急诊DIPS
03
复杂门静脉病变的拓展治疗
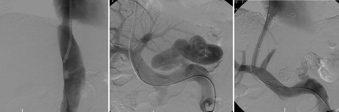
门静脉血栓(PVT)
联合使用 AngioJet、Straub 吸栓系统 经 TIPS 入路清除肠系膜上静脉血栓;
近年采用 Indigo 抽吸导管 成功处理肝移植术后门静脉血栓。

肝硬化门静脉血栓—TIPS联合AngoJet

肝硬化门静脉血栓—TIPS联合Straub吸栓

近期尝试Indigo抽吸导管用于肝移植术后门静脉血栓
门静脉海绵样变(CTPV)
2010年前多行脾肾分流等外科手术;
2012年后,通过精准穿刺仅存的门静脉主干,成功完成 TIPS,避免开腹。

慢性PVT(门静脉海绵样变)


脾-肾上腺静脉分流术

TIPS治疗门静脉海绵样变
布加综合征(BCS)
对肝静脉闭塞型,直接穿刺下腔静脉建立 DIPS 通道;
对下腔静脉+肝静脉联合闭塞,先置入下腔静脉支架,再通过其作为“桥梁”完成 TIPS;
曾有一例19岁少女,每日需放腹水2000ml,术后当天腹水完全消退,疗效极为显著。

DIPSS-肝静脉闭塞(XJD)

肝静脉闭塞型

下腔静脉型合并消化道出血


下腔静脉型
04
栓塞材料与再干预技术
栓塞剂从早期的泡沫硬化剂、无水酒精、弹簧圈,发展到如今的生物组织胶,止血更彻底;

泡沫硬化剂—无水酒精—弹簧圈—生物组织胶

Viatorr覆膜支架的应用
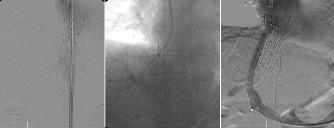
针对分流道再狭窄或再出血,创新应用平行支架技术,并通过体外模拟验证支架扩张可行性;

平行支架技术




TIPS术后再出血,胃底静脉栓塞+平行支架

经皮经肝导丝引导穿刺门静脉左支,血管塞栓塞异常分流道及胃底曲张静脉

弹簧圈联合血管塞+组织胶栓塞异常分流道
TIPS术后常见并发症:
肝性脑病;
分流道失效。
分流道的狭窄或闭塞:
支架内假性内膜过度增生分流道幅度大或成角 血流及分流道部位;
术中操作不当;
支架的材料、构型。

05
TIPS历史演进
我科自2011年开展Tips手术,现已成功完成近千例手术,技术成功率达97%,分流道失效及肝性脑病均得到有效处理,取得较满意疗效。

结语
TIPS 不仅是一种技术,更是解决门静脉高压症的系统性策略。它融合了血管介入、血栓清除、精准穿刺与多模态栓塞,充分体现了血管外科“手术与介入并重”的学科优势。未来,随着专用支架、导航技术和抗凝管理的进步,TIPS 的适应症将进一步拓宽,疗效将持续提升
专家介绍

管圣教授
新疆维吾尔自治区
人民医院
血管外科主任医师
硕士研究生导师
“西部之光”访问学者,中国医师协会血管外科组青年委员,中国医师协会腔内血管专业委员会下肢动脉疾病委员,中华血管外科杂志通讯编委,中国微循环学会糖尿病与微循环专业委员会足病学组委员,血管联盟中国分会糖尿病足专业委员会委员,静脉联盟中国委员会委员。中国医疗保健交流促进会血管外科分会血透通路学组委员。

杨建平教授
新疆维吾尔自治区
人民医院
血管外科主治医师
从事血管外科临床工作8年,曾在解放军总医院301医院进修学习。他擅长周围血管疾病的诊疗,尤其对静脉曲张的微创治疗有丰富经验,并成功开展多例下肢静脉曲张微创射频消融术。此外,他还擅长动脉硬化闭塞、深静脉血栓、肺栓塞、颈动脉疾病、门静脉高压症、主动脉夹层、腹主动脉瘤等疾病的诊断与治疗。杨建平现任新疆血管外科质量控制中心秘书、中国血管联盟西部血管外科专委会委员。