CEC2024 | 崔进国教授:盆腔淤血综合征影像学诊断和介入治疗研究进展



2024年10月31日—11月3日,备受瞩目的第十五届中国血管论坛(CEC2024)于北京盛大召开,国内外专家齐聚一堂共襄盛会。本次大会设置知名专家面对面、中青年专家论坛、学术专题讲座,病例直(录)播、外周血管介入前沿与争锋辩论赛、疑难病例大查房、复杂血管疾病、血管外科危重症管理、血管疾病治疗并发症处理及预防、外周器械新技术新疗法、下肢动脉减容规范化应用最新证据深度解读、国际专场@CEC等热点板块,全面展现最新的血管疾病诊疗方法和技术,为广大血管外科医务工作者及同道提供了一场内容丰富、高质量、高水平的学术盛宴。
本次大会期间,白求恩国际和平医院崔进国教授为各位专家同道介绍了《盆腔淤血综合征影像学诊断和介入治疗研究进展》。欢迎阅读。
演讲题目:
《盆腔淤血综合征影像学诊断
和介入治疗研究进展》
演讲嘉宾:
朱峥嵘教授
单位:
联勤保障部队第九八〇医院
(白求恩国际和平医院)
被忽视的女性慢性盆腔痛
慢性盆腔疼痛是困扰众多女性的常见病症,病因复杂,诊断困难。其中,盆腔淤血综合征(Pelvic Congestion Syndrome, PCS) 作为一个重要的血管源性因素,长期以来并未得到足够重视。1949年,Taylor首次提出PCS概念,将其定义为由盆腔静脉反流、淤血引起的慢性疼痛综合征。
据统计,成年女性PCS发病率高达5.7%-26.6%,这意味着每4-5名女性中就可能有一人受此困扰。然而,由于症状隐匿、缺乏特异性,PCS极易被漏诊或误诊为妇科炎症、子宫内膜异位症等,导致患者长期忍受疼痛却得不到对因治疗。近年来,随着影像技术的进步和介入医学的发展,PCS的诊疗路径正变得日益清晰。

图:病例图片
探本溯源:PCS的病因与病理生理
PCS的病因尚未完全明确,是多种因素共同作用的结果:
★ 核心机制:盆腔静脉瓣膜功能不全(PVI)
原发性PVI:卵巢静脉或髂内静脉瓣膜先天性关闭不全,导致静脉血液反流。研究显示,左侧卵巢静脉PVI发生率为41%-43%,右侧为35%-46%。
继发性PVI:由其他静脉疾病引发,约占PVI病例的60%,常见原因包括:
胡桃夹综合征(左肾静脉受压)
左侧髂静脉压迫综合征
盆腔肿瘤压迫
左肾静脉血栓
门静脉高压
★ 疼痛产生:淤血与压迫
长期盆腔静脉血液淤滞,不仅导致静脉迂曲扩张,还会:
激活伤害感受器,引发持续性胀痛、隐痛。
压迫周围神经与组织,加重不适。
值得注意的是,静脉扩张程度与疼痛严重程度并非绝对正比,个体疼痛阈值差异巨大,这解释了为何有些患者影像学改变明显却症状轻微,反之亦然。
明察秋毫:PCS的影像学诊断“武器库”
影像学是诊断PCS的基石,各种技术各有优劣,需结合使用。
1
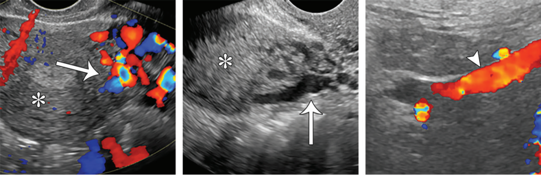
首选筛查:彩色多普勒超声
优势:经济、便捷、无辐射,可动态观察血流方向与速度,尤其擅长经阴道观察深部静脉。行Valsalva动作(屏气增加腹压)可诱发并显示隐匿性反流。
诊断建议标准:
子宫旁静脉直径 > 4 mm
静脉流速 ≤ 3 cm/s
卵巢静脉直径 > 5 mm
子宫肌层静脉扩张
存在多囊卵巢样改变
局限:观察范围有限,难以评估肾静脉水平以上的梗阻(如胡桃夹综合征),无法区分原发与继发性PCS。

图:经腹部斜面多普勒超声图像显示左肾静脉水平左侧卵巢静脉返流 (箭头)
2
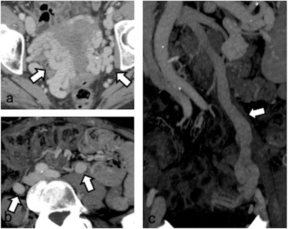
全面评估:CT检查
优势:扫描范围大,结合多平面重建(MPR)和最大密度投影(MIP),能全方位显示下腔静脉、肾静脉、卵巢静脉及盆腔静脉全貌。动脉期左侧卵巢静脉提前显影是其瓣膜功能不全的间接征象。
分级与标准:
反流分级(Hiromura):
Ⅰ级:仅左卵巢静脉反流
Ⅱ级:反流至同侧子宫旁静脉丛,未跨越中线
Ⅲ级:反流至对侧子宫旁静脉丛
直径分级(Szaflarski):
轻度:5-6 mm
中度:6-8 mm
重度:>8 mm(被认为有明确临床意义)
局限:无法做Valsalva动作,可能漏诊隐匿反流;无法直接显示血流方向;平躺体位可能低估静脉扩张程度。

图:CT增强影像显示左侧卵巢静脉II级反流:(a)左侧宫旁静脉扩张(箭头);(b)左卵巢静脉扩张(箭头);(c) MIP重建显示左卵巢静脉扩张(箭头)

图:CT显示双侧卵巢静脉III级反流:(a)双侧宫旁静脉扩张(箭头);(b)左右卵巢静脉扩张(箭头);(c) MIP重建显示左卵巢静脉扩张(箭头)
3
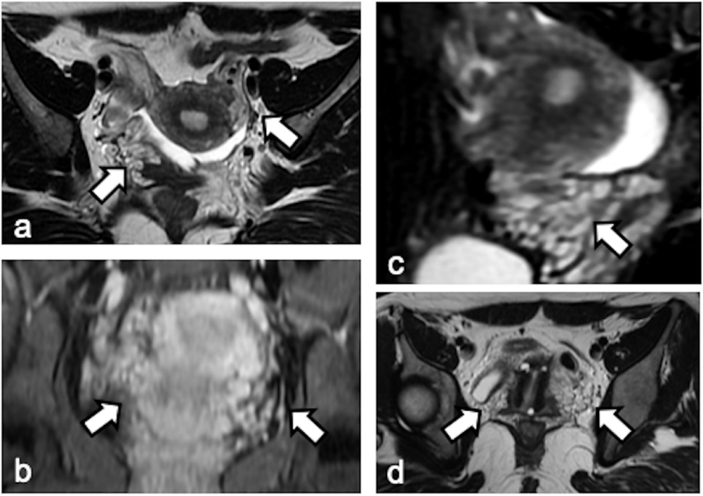
精准利器:磁共振成像(MRI)
优势:无辐射、组织分辨率高,能同时评估血管和盆腔脏器。
对比增强MRA(CE-MRA):图像质量媲美静脉造影,诊断卵巢静脉、盆腔静脉淤血的灵敏度分别达88%和91%。
时间分辨MRA(TR-MRA):可动态捕捉静脉回流过程,能在注射对比剂后7-32秒内显示卵巢静脉反流,被誉为潜在的诊断“金标准”,尤其有助于鉴别“单纯反流”与“扩张但无反流”。
诊断建议:除显示静脉反流和曲张外,还应注意T2WI上盆腔静脉的高信号、合并外阴或下肢静脉曲张等。

图:PCS磁共振成像:轴位(a)和斜位(d)T2加权图像,T1加权LAVA (b)和T2加权矢状位图像(c)显示盆腔双侧子宫旁静脉淤血扩张(箭头)

图:PCS患者外阴静脉曲张的MRI表现

图:磁共振血管成像(TR-MRA):静脉注射造影剂,腹部和盆腔血管系统动态成像。(A)动脉期;(B)静脉期,箭头示卵巢静脉;(C)静脉晚期可见下腔静脉,箭头示右外阴内静脉和左闭孔静脉

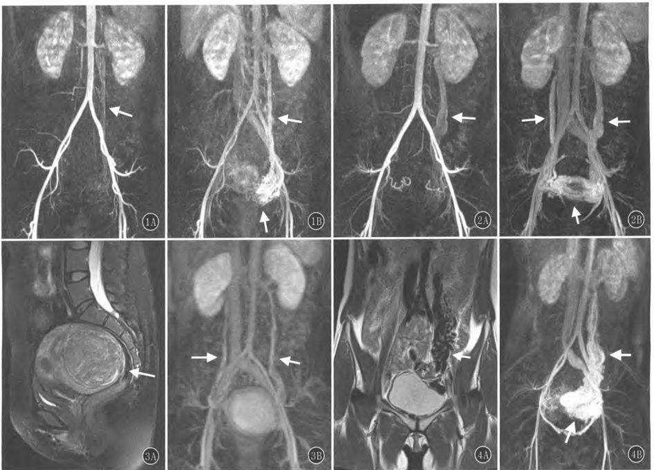
图:1A,B 女,42岁,1次生产史,6次人流史,因反复下腹痛,月经量增多前来就诊。动脉早期(A,B)反流的左侧卵巢静脉,动脉期后期见扩张的卵巢静脉与盆腔静脉相交通;图2A,B 女,26岁,因腹痛、白带增多前来就诊。A. 示左侧反流的卵巢静脉;B. 示双侧扩张的卵巢静脉和盆腔静脉;图3A,B 女,42岁,1次妊娠史,无生产史,因反复下腹痛,月经量大前来就诊。T2WI抑脂矢状位图像可见子宫后壁1个巨大占位(A),CE-MRA见双侧卵巢静脉扩张,宫旁静脉扩张;图4A,B 女,28岁,4次妊娠史,2次生产史,2014年6月滋养细胞肿瘤治疗史,2016年1月因经期大出血来院就诊。T2WI冠状位图像可见迂曲增粗的流空血管影(A),3D血管图像可见左侧卵巢静脉和宫旁静脉显著增宽(B)
4
有创金标准:静脉导管造影
地位:诊断PCS的“金标准”,但属于有创操作。
适用情况:通常不用于初步诊断,而是在诊断不明确或已决定同期行介入栓塞治疗时进行。可最直观地显示反流路径、范围及侧支循环。


图:双侧卵巢静脉造影
5
已淘汰的检查
核素显像:昂贵、有辐射,已不推荐。
腹腔镜检查:有创,且仅能看见扩张静脉表面,无法定量评估,诊断价值有限。
精准施治:介入栓塞--微创治疗的主力军
1993年,Edwards完成世界首例子宫卵巢静脉栓塞术,开启了PCS微创治疗的新纪元。
★ 治疗机制
通过栓塞反流的卵巢静脉(通常以左侧为主),阻断异常反流路径,使淤滞的盆腔静脉血通过其他正常侧支静脉(如髂内静脉系统)回流,从而解除淤血状态,缓解疼痛。
★ 栓塞技术要点
栓塞指征:
卵巢静脉直径 ≥ 10mm
中重度卵巢子宫静脉丛曲张
曲张静脉跨越中线
栓塞材料:首选弹簧圈,直径应大于靶静脉1-2mm。
栓塞策略:提倡 “三段式栓塞法” ——对卵巢静脉的远段(盆腔内)、中段、近段(汇入肾静脉或下腔静脉处)进行彻底栓塞,以防侧支复发。
重要原则:
仔细造影寻找所有侧支,确保完全栓塞。
若造影发现右侧卵巢静脉也存在反流,必须一并栓塞。
严禁使用液体栓塞剂(如胶)或颗粒栓塞剂(如明胶海绵),以免误栓子宫、膀胱等器官的静脉丛。
★ 疗效与安全性
疗效:总体有效率高达75%-100%。其中对慢性盆腔胀痛、坠痛的控制效果最佳,对性交痛的改善相对欠佳。疗效不佳多与侧支栓塞不全、栓塞剂选择不当或仅处理单侧病变有关。
安全性:操作相对简单,并发症发生率低。罕见并发症包括肺栓塞(栓子脱落)、卵巢静脉破裂等。
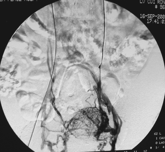
病例1:

图:A:左侧卵巢静脉造影B,C:左侧卵巢静脉栓塞造影(箭头示弹簧圈)
当前挑战与未来方向
尽管诊疗体系已初步建立,但PCS领域仍面临诸多挑战:
★ 诊断标准亟待“中国化”
目前常用的静脉直径诊断标准(如卵巢静脉>8mm)多基于欧美人群研究制定。亚洲女性与欧美女性在体型、生理结构上存在差异,直接套用可能不准确。建立适合中国女性的PCS影像诊断标准,是当务之急。
★ 诊断流程有待优化
首选检查:是性价比高的超声,还是更精准的TR-MRA,业界尚未达成共识。
病因鉴别:必须明确是原发性PVI还是继发于胡桃夹综合征等疾病,这直接影响治疗策略(例如,若合并胡桃夹综合征,可能需优先处理肾静脉压迫)。
★ 加强多学科协作(MDT)
CS涉及血管外科、介入放射科、妇科、超声科等多个学科。特别是与妇产科的紧密协作至关重要:
妇科医生是接触慢性盆腔痛患者的“第一道关卡”,提高其对PCS的认知,能极大减少漏诊。
血管介入医生则提供最终的确诊和微创治疗手段。
建立高效的MDT团队,能使更多隐匿在妇科门诊的PCS患者得到正确诊断和有效治疗。
结语
超声作为一种经济、便捷的检查技术,可作为 PCS 筛查首选。
增强CT扫描范围大,后处理方式多,图像质量高,可发现腹盆腔其他继发性病变,可作为PCS病因、病情评估的重要手段,但存在辐射、碘对比剂过敏问题。
MRI组织分辨率高,有多种血管成像序列选择,不仅能评估静脉血流动力学信息,还可以显示盆腔器质性病变,有较好应用前景。
静脉导管造影不作为PCS诊断的首选检查方法,仅用于治疗。
腹腔镜检查和治疗目前已基本被淘汰。
尽管文献对PCS的影像诊断标准提出了诸多建议,但仍缺乏业届专家共识,让我们共同努力通过多学科合作去完成这一工作。
卵巢静脉栓塞是治疗PCS的安全、有效方法,我们应推广应用这一技术。
专家介绍

崔进国教授
白求恩国际和平医院
放射诊断科主任医师
博士研究生导师
全军介入诊疗专业委员会副主任委,
中国医促会介入医学专业委员会副主任委员
白求恩精神研究会介入医学专业委员会名誉主任委员
享受国务院特殊津贴和军队特殊人才一、二类津贴,荣立二等功1次、三等功4次,先后获全军、河北省科技进步和医疗成果奖一等奖1项、二等奖3项