CEC2024 | 王盛教授团队:定向旋切和巧克力球囊的 不同应用场景



2024年10月31日—11月3日,备受瞩目的第十五届中国血管论坛(CEC2024)于北京盛大召开,国内外专家齐聚一堂共襄盛会。本次大会设置知名专家面对面、中青年专家论坛、学术专题讲座,病例直(录)播、外周血管介入前沿与争锋辩论赛、疑难病例大查房、复杂血管疾病、血管外科危重症管理、血管疾病治疗并发症处理及预防、外周器械新技术新疗法、下肢动脉减容规范化应用最新证据深度解读、国际专场@CEC等热点板块,全面展现最新的血管疾病诊疗方法和技术,为广大血管外科医务工作者及同道提供了一场内容丰富、高质量、高水平的学术盛宴。
本次大会期间,首都医科大学附属北京安贞医院王盛教授团队为各位专家同道介绍了《定向旋切和巧克力球囊的不同应用场景》。欢迎阅读。
演讲题目:
《 定向旋切和巧克力球囊的不同应用场景 》
演讲嘉宾:
王盛教授
陈忠教授
杨燎医生
刘硕医生
单位:
首都医科大学附属北京安贞医院
下肢动脉腔内治疗的挑战
1
部位
股总动脉受高度挤压弯曲的部位以及很多微创介入手术入路选择的部位 。

腘动脉高度弯曲受力的部位、支架断裂率高 。

普通球囊易造成夹层、血栓、回弹等问题;支架术后再干预率高。
2
性质
单纯的球囊扩张难以获得满意的血管准备结果, 即刻管腔获得不理想;
影响DCB药物吸收
增加弹性回缩和限流性夹层的发生,降低远期通畅率、提高再次干预率。

严重钙化病变

钙化积分与紫杉醇吸收率呈线性相关
3
长度

血管准备器械:减容还是巧克力球囊?
血管准备中减容器械与巧克力球囊并非绝对替代关系,需根据病变特征(钙化程度、长度、类型)、治疗目标及患者情况个体化选择,复杂重症病变可联合应用。

不同病变的血管准备策略(DA vs. CB*)
血管准备策略需以病变特征为核心,DA 以 “主动切除斑块” 为优势,适配复杂重症病变;CB * 以 “微创扩张” 为核心,适合简单轻症病变,两者可根据临床场景单独或联合应用。

长段严重钙化
1
严重的钙化斑块——定向斑块旋切术
在血管斑块病变中,严重钙化斑块因质地坚硬、难以扩张,成为临床治疗的重点与难点。定向斑块旋切术凭借其精准靶向的技术特性,为这类复杂病变提供了高效、安全的治疗选择,成为破解严重钙化斑块困境的核心手段之一。

2
严重的钙化斑块——定向斑块旋切术


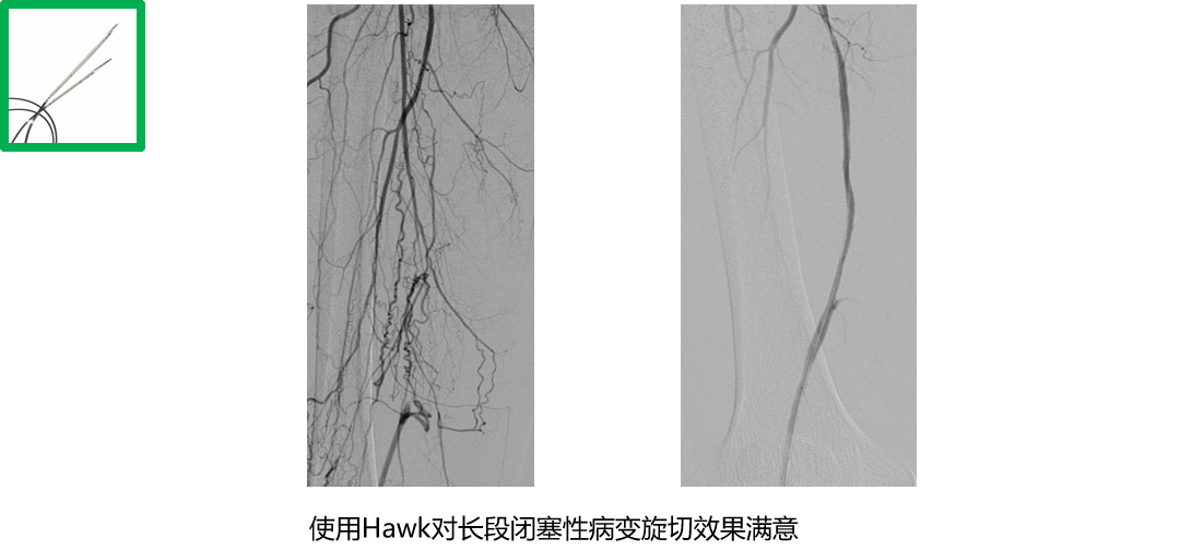
针对严重钙化斑块,可预扩后使用Hawk进行减容
3
严重的钙化斑块——定向斑块旋切术

病变类型:严重钙化、长病变
导丝选择:
V-18
Victory™-18,
Asahi Treasure™ 12,
Asahi Astato™ 20,
Asahi Astato™ 30
预扩球囊:
Bantam™ 2x120mm balloon
4
严重的钙化斑块——定向斑块旋切术

长期严重钙化
长段严重钙化病变因钙化范围广、质地坚硬,常规扩张治疗易出现血管撕裂、夹层等并发症,且管腔开通效果不佳。定向斑块旋切术凭借 “精准切削、靶向清除” 的核心优势,成为这类复杂病变的优选治疗方案,为临床破解长段钙化难题提供了高效路径。
★ 定向斑块旋切术


无限流性夹层的发生
避免支架植入



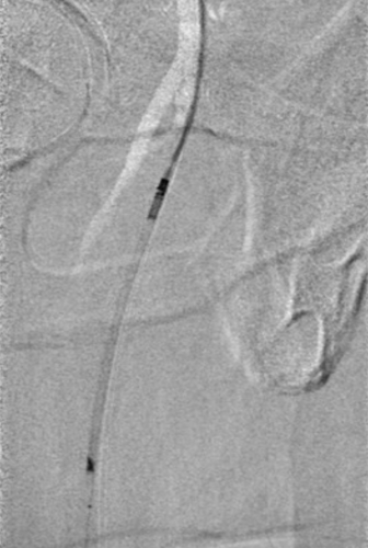
腘动脉、胫腓干的短段闭塞
★ 巧克力球囊

股浅动脉、
腘动脉与胫腓干病变

ELUVIA™ 6-120mm,6-80mm用于股浅




Chocolate 4-150mm, Sterling™ 4-20mm,
DCB 4-150mm
中等长度 、轻微钙化的股浅动脉病变
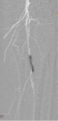
股浅动脉中等长度病变(10-20cm)合并轻微钙化,因病变范围适中、钙化程度较轻,需兼顾 “微创开通” 与 “长期通畅”。巧克力球囊凭借均匀扩张、低血管损伤的核心优势,成为这类病变的理想选择,可高效完成血管准备,适配 “无支架” 治疗理念。
★ 巧克力球囊


Chocolate 5-120mm

除近端残余狭窄外,效果良好



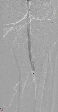
对于长段、严重钙化的股浅动脉病变,
巧克力球囊并不能完全避免夹层的发生
长段(≥20cm)、严重钙化(钙化评分≥3 分)的股浅动脉病变,因钙化范围广、质地坚硬且常伴随血管迂曲,巧克力球囊虽能降低夹层风险,但无法完全避免 —— 核心原因在于病变本身的复杂性与器械技术边界,临床需通过 “联合策略” 进一步提升安全性与疗效。

Chocolate 5-120mm


巧克力球囊扩张后
出现的夹层
结语
定向旋切与巧克力球囊作为下肢动脉腔内治疗的核心器械,并非替代关系而是精准互补,其应用场景的选择本质是 “病变特征与器械优势的精准匹配”,最终服务于 “微创、安全、长期通畅” 的治疗目标。临床实践中,需以病变长度、钙化程度、血栓负荷为核心判断依据,结合患者个体情况与治疗目标灵活决策:简单病变优先巧克力球囊追求微创高效,复杂病变以定向旋切预处理降低风险,必要时二者联合应用,方能实现 “充分血管准备 + 最低并发症 + 最优远期疗效” 的统一,为不同类型下肢动脉病变患者提供个体化精准治疗方案。
专家介绍

陈忠教授
首都医科大学附北京安贞医院血管外科中心主任
主任医师,二级教授
博士生导师
享受国务院政府特殊津贴
中国医师协会常务理事兼血管外科医师分会会长
中日医学科技交流协会常务理事副会长兼血管外科学分会会长
中华医学会外科学分会血管外科学组组长
海峡两岸医药卫生交流协会血管外科学分会创始主任委员等职务
担任《中华血管外科杂志(中英文)》副总编辑,《中国血管外科杂志(电子版)》副主编,《中华外科杂志》《中华普通外科杂志》《中国实用外科杂志》编委,《 Annual of vascular surgery 》国际编委等。从事血管外科事业40年,是目前活跃在血管外科界的著名的、有相当学术影响力的权威专家。
作为负责人或主要人员参与国家“863”课题、国家自然科学基金、北京市自然科学基金、北京市科委科技计划研发攻关课题等多项研究课题。作为第一作者或责任作者在国家一类杂志发表专业学术论文240余篇,SCI文章33篇,获省市级科研成果奖5项,作为主编主译编译多部著作。
多次获得由卫计委颁发的“脑卒中筛查与防治的突出贡献奖”、“2016年国家卫生计生委脑卒中防治工程突出贡献专家”、 2018年荣获“精诚医者”、“国之名医——卓越建树奖”、“人民好医生”等荣誉称号、2020年荣获荣耀医者——“金柳叶刀奖”、2021年荣获卫计委脑卒中防治工程“精英楷模奖”、荣获北京市卫健委“优秀共产党员”。

王盛教授
首都医科大学附属北京安贞医院血管外科中心
副主任
医学博士、主任医师
硕士研究生导师
首都医科大学血管外科学系副主任
中国医师协会血管外科分会下肢动脉学组副组长
中国医师协会腔内血管学分委会下肢动脉疾病专家委员会副主任委员
国际静脉联盟中国静脉学会委员
中国医疗器械协会血管器械分会委员兼副秘书长
中国研究型医院学会血管医学专业委员会委员兼副秘书长
中国医疗保健国际交流促进会血管外科专业委员会常务委员
北京医师协会血管外科专科医师分会常务理事
Annals of Vascular Surgery - Brief Reports and Innovations杂志编委
中华血管外科杂志通讯编委
中华临床医师杂志《电子版》编委
中国血管外科杂志编委
主要从事血管外科临床和基础研究工作,2011年赴德国莱比锡心脏中心学习血管疾病的腔内治疗,多次到美国、英国、法国等各大血管中心访问交流。对血管外科各种常见及疑难重症疾病有较深入的研究,具有丰富的经验,擅长上述疾病的腔内治疗、外科手术治疗以及药物治疗。
2007年获北京市优秀人才基金资助,主持或参与国家自然科学基金、北京市自然科学基金等多项科研课题。

杨燎教授
首都医科大学附属北京
安贞医院血管外科中心
副主任医师
中国医师协会血管外科分会并发症委员会委员
中国医师协会介入分会青委
中国医师协会血管外科分会血管影像与人工智能委员会委员
国际血管联盟中国分部弓上病变委员会委员

刘硕医生
首都医科大学附属北京安贞医院血管外科中心
主治医师
血管外科硕士研究生
擅长诊治:下肢动脉硬化闭塞症、静脉曲张的微创治疗、主动脉疾病、头臂动脉疾病,参与《老年心血管疾病》著作编写,参与自媒体等医疗科普工作,任北京市朝阳区健康科普专家