CEC2024 | 周玉斌教授:消化道出血的介入治疗



2024年10月31日—11月3日,备受瞩目的第十五届中国血管论坛(CEC2024)于北京盛大召开,国内外专家齐聚一堂共襄盛会。本次大会设置知名专家面对面、中青年专家论坛、学术专题讲座,病例直(录)播、外周血管介入前沿与争锋辩论赛、疑难病例大查房、复杂血管疾病、血管外科危重症管理、血管疾病治疗并发症处理及预防、外周器械新技术新疗法、下肢动脉减容规范化应用最新证据深度解读、国际专场@CEC等热点板块,全面展现最新的血管疾病诊疗方法和技术,为广大血管外科医务工作者及同道提供了一场内容丰富、高质量、高水平的学术盛宴。
本次大会期间,辽宁省人民医院介入医学科周玉斌教授为各位专家同道介绍了《消化道出血的介入治疗》。欢迎阅读。
演讲题目:
《消化道出血的介入治疗》
演讲嘉宾:
周玉斌教授
单位:
辽宁省人民医院介入医学科

痔疮出血:不容忽视的介入新领域
痔疮是最常见的肛肠疾病,其引发的出血量巨大。通过超选择性栓塞直肠上动脉等分支,可有效控制出血,为药物治疗无效的患者提供微创解决方案。

图:痔疮出血(引自苏大附二院介入科)

肿瘤性出血:介入控制与局部治疗并举
胃癌、结直肠癌等肿瘤常伴发出血。介入栓塞不仅能快速止血,使用载药微球等材料还能实现局部化疗,提升肿瘤控制率,改善患者贫血状态,为后续治疗创造条件。

图:直肠肿瘤


图:胃癌出血

门静脉高压相关出血:
超越食管胃底静脉
1
出血原因多见于
食管胃底静脉、痔静脉、腹膜后间隙静脉破裂出血
门静脉高压性胃病胃黏膜糜烂或溃疡而出血
门静脉高压性肠病合并溃疡出血小肠静脉、痔静脉破裂便血
2
除常见的食管胃底静脉曲张外,
门静脉高压还可引起
小肠静脉曲张:发生率1%-38%,诊断依赖小肠镜,易误诊,介入栓塞是有效止血手段。
结肠静脉曲张:发生率约为3.5%,发生的部位主要为回盲部以及乙状结肠,TIPS联合栓塞可有效控制(2022版BanevoⅦ共识)。
胆道静脉曲张:发生率5%-38%,严重的胆道曲张静脉可压迫胆道出现梗阻性黄疸,胆囊或胆管黏膜面静脉曲张可发生胆道出血,典型的临床表现为Quincke 三联征,右上腹痛、上消化道出血和黄疸;胆囊或胆管浆膜面的曲张静脉可在剧烈运动、腹腔压力骤升时出现破裂导致腹腔内出血。

图:门静脉高压症

介入技术关键:精准诊断与个体化栓塞
消化道出血介入治疗适应证:无论何种原因所致的消化道出血,只要有合适的血管入路,经内科保守治疗无效,均为介入诊断和治疗的适应证。
出血造影直接征象:造影剂外溢;量小者需超选择插管造影证实;出血速度0.5~1.0ml/min。
出血造影间接征象:原发病的血管造影表现;局部血管异常聚集;血管痉挛、缺失;肿瘤染色;畸形血管团;动脉瘤……

图:造影剂外溢

图:A:空肠动脉畸形;B回盲部肿瘤染色:CD:胃十二指肠动脉瘤

图:十二指肠溃疡出血,腹腔干造影,未见外渗,超选胃十二指肠动脉造影见外溢
高质量造影是基础:需与影像科充分沟通,确保足够帧率(建议12帧/秒)和延迟期,以捕捉细微出血。
激发试验显价值:当常规造影阴性时,采用药物(如罂粟碱、肝素等)激发可诱发出血征象,提高检出率。

图:A:微导管进入左结肠动脉降支,造影,未见造影剂外溢;B:经微导管注射尿激酶12万U、肝素3000U、前列地尔10μg, 20min后行激发血管造影。出现造影剂外渗。
认真读术前影像:增强CT和内镜(尤其是急诊内镜)对明确出血部位至关重要,可指导有的放矢的介入治疗。

图:增强CT造影剂外溢

图:A:动脉期十二指肠球部、降段见结节状及线状高密度影;B:静脉期十二指肠内高密度影增多,强化程度稍减低。
栓塞材料与程度把控:
常用材料包括明胶海绵、栓塞微球、弹簧圈。
上消化道相对安全,可适当放宽栓塞范围。
下消化道需谨慎,应超选择至直动脉水平栓塞,避免广泛栓塞导致肠缺血。

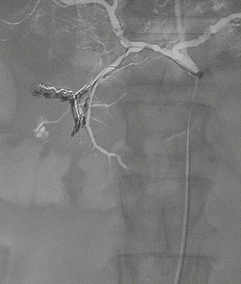
典型病例展示
★ 病例1:十二指肠溃疡出血:超选造影发现外溢,弹簧圈联合微球栓塞成功止血

★ 病例2:十二指肠球部溃疡伴出血




★ 病例3:结肠出血点栓塞





图:胆囊结石、胆总管结石术后 1 个月呕血及黑便;血管造影肝右动脉假性动脉瘤

图:肝门胆管癌PTCD 、胆道支架术后 3 天,引流管反复引出血性胆汁;肝动脉造影未见异常,导丝交换撤出引流管后再次行肝动脉造影,对比剂经引流道外溢至腹腔。

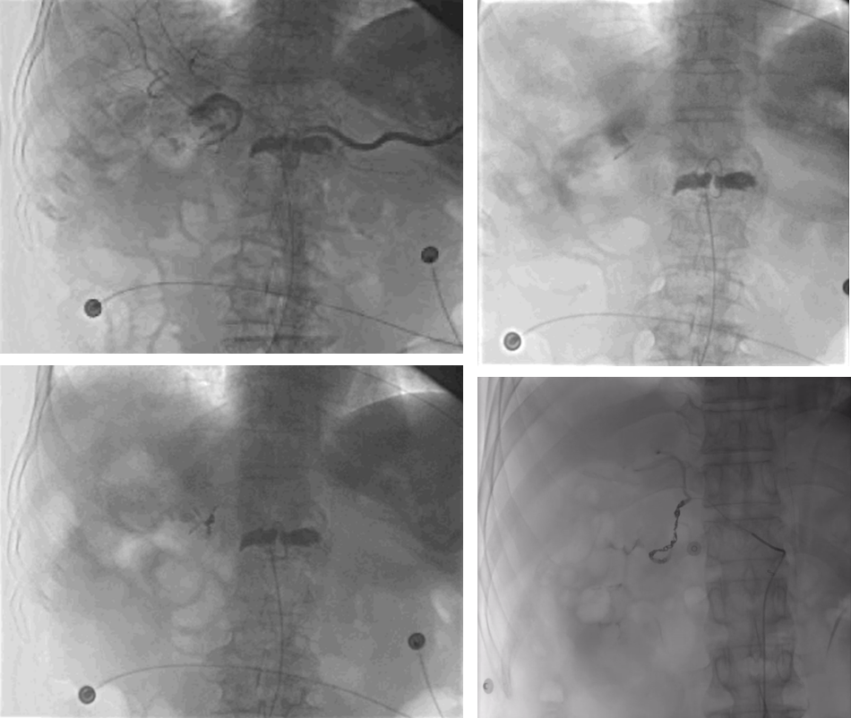
图:造影见胃十二指肠动脉近段动脉瘤,并可见造影剂溢出;弹簧圈栓塞后动脉瘤闭塞。

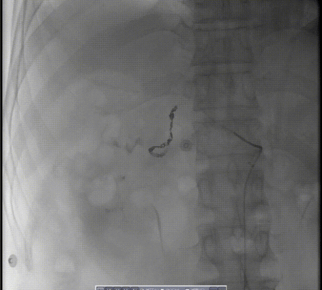
图:胰十二指肠切除术后11天出现便血和黑便;肠系膜上动脉造影见分支动脉假性动脉瘤。
结语
介入治疗为内外科无效的消化道出血提供了关键救治手段。尤其在老年、高危患者中,快速精准的栓塞能迅速稳定生命体征,为后续治疗赢得时间。强调技术精准、影像协作、个体化策略是成功的关键。
专家介绍

周玉斌教授
辽宁省人民医院
介入医学科主任
医学博士,主任医师
硕士研究生导师
辽宁省“百千万人才工程”百层次人才
中国抗癌协会肿瘤超声治疗专委会副主委
辽宁省医学会介入医学分会副主任委员
辽宁省医学会介入医学分会肿瘤介入学组组长
沈阳医学会肿瘤介入学分会主任委员
中国抗癌协会诊疗一体化专委会常委
国家卫生健康委能力建设和继续教育超声医学专家委员会治疗组委员
辽宁省抗癌协会老年肿瘤专委会副主委
辽宁省抗癌协会肿瘤介入学专委会副主委
辽宁省生命科学学会介入医学分会副主委
辽宁省红十字会妇儿微创介入治疗专委会副主委
辽宁省细胞生物学学会肿瘤光动力与细胞学研究专业委员会副主委
辽宁省科技进步一等1项,二等奖1项,沈阳市科技进步一等奖1项,专利3项