CEC2024 | 李茂全教授:国产血管介入器械创制及基础研究



2024年10月31日—11月3日,备受瞩目的第十五届中国血管论坛(CEC2024)于北京盛大召开,国内外专家齐聚一堂共襄盛会。本次大会设置知名专家面对面、中青年专家论坛、学术专题讲座,病例直(录)播、外周血管介入前沿与争锋辩论赛、疑难病例大查房、复杂血管疾病、血管外科危重症管理、血管疾病治疗并发症处理及预防、外周器械新技术新疗法、下肢动脉减容规范化应用最新证据深度解读、国际专场@CEC等热点板块,全面展现最新的血管疾病诊疗方法和技术,为广大血管外科医务工作者及同道提供了一场内容丰富、高质量、高水平的学术盛宴。
本次大会期间,上海市第十人民医院医院李茂全教授为各位专家同道介绍了《国产血管介入器械创制及基础研究》。欢迎阅读。
演讲题目:
《国产血管介入器械创制及基础研究》
演讲嘉宾:
李茂全教授
单位:
上海市第十人民医院医院

背景与挑战

全球心血管疾病患者超过5亿,中国高达2.9亿;每年新增血管疾病病例约300万,相关医疗器械市场规模达千亿元。然而,当前主流植/介入器械(如金属支架、球囊、导管等)仍存在诸多瓶颈:
抗凝效果有限,易引发血栓;
内皮化速度慢,导致再狭窄率高;
材料不可降解,长期异物留存;
药物释放不可控,生物利用度低;
缺乏精准评估手段,尤其在微循环层面。
“用支架解决支架问题”并非长久之计。真正的目标应是:以非永久性、智能化、可调控的新型介入系统替代传统金属支架。


核心技术突破

1
可降解复合血管支架

金属支架-降解表面涂层
笼型聚倍半硅氧烷纳米粒子修饰聚乳酸类高分子材料形成记忆可降解涂层,具有降解曲线更稳定可控、载药能力与紫杉醇完全互溶、支架扩张能力减小的特点;

复合材料血管支架
致密纳米纤维血管支架
采用热致相分离支架制备技术;
将弹性体PLCL引入支架体系中;
血管支架表面进行肝素化修饰;
具有仿生ECM的纳米纤维结构;
PLCL引入改善支架的弹性性能;
肝素化修饰提高支架抗凝性能。
大孔纳米纤维血管支架
采用不相容聚合物复合体系;
采用热致相分离支架制备技术;
血管支架具有仿生ECM的纳米纤维结构;
不相容聚合物体系导致了大孔结构的形成。

梯度孔径纳米纤维血管支架
采用两步热致相分离技术将致密层和多孔层结合;
宏观上仿生天然血管的分层结构;
微观上仿生ECM的纳米纤维结构。

工艺设计及支架制备
前沿植入器材抗菌技术


组织温控缓释细胞技术

温控缓释细胞组织明胶的电镜结构缓释时间长达28天

温控缓释细胞组织明胶的不同压力下缓释细胞分布

温控缓释细胞组织明胶的电镜立体结构,启动缓释细胞后分布


可逆温敏水凝胶可控释放干细胞治疗下脑缺血
多种干细胞组合技术(血管病、肿瘤)
组织透明胶快速修复技术(激光、臭氧)
医用磁介入诊疗技术
2
超声定向控释药物球囊

传统药物球囊存在药物冲刷损失大、释放不可控、载药生物利用率低和易受操作过程影响等问题;
团队创新采用**<8μm PLGA载药微球**(小于红细胞直径),避免血流冲刷;

载药微球--微球结构
微球具备超声响应特性,可实现药物受控释放,促进超声组织吸收并且提高载药生物利用度;

超声响应释放
构建三相释放体系:
游离药物快速扩散;
微球共振释放;
微囊降解释放。

ArteryguardTM 超声控释药物球囊

超声能量对药物释放影响

超声频率对药物释放影响

动物试验--靶血管药物浓度

动物试验--靶血管药物浓度

控释药物球囊--LLL数据差异显著性
超声控释药物球囊临床运用
研究现状:已在国内18家医院开始临床应用研究 ;
注意事项:超声耦合剂,缓释时间:3分钟 ;
频率功率:超声能量0.6 ~3 W/cm2 。
3
血栓复合清除治疗系统


一次性血栓抽吸清除系统及其配套器械
系统组成:一次性使用血栓抽吸系统由血栓抽吸导管(包括内管和外管) 、Y型连接器 、亲水涂层导丝、真空抽吸注射器、血栓滤网和血液收集瓶组成。可配合抽吸泵使用;
适用范围:该产品用于清除血管系统血栓块(颅内血管除外)。
特点
血栓抽吸更高效:新增侧向椭圆形开孔,头端与侧孔可同时进行抽吸,也可使用单独使用侧孔侧向抽吸;改进设计生产工艺,管壁更薄,有效管腔较 同类产品增大30%,同时保证负压操作时管壁不塌陷;
失血可控更安全:手动抽吸和泵抽吸两种模式;专业抽吸泵可实现负压无极调控,根据术中需求随时调整负压大小;
创新操作更简捷:堵管时,可使用配套的亲水涂层封堵导丝对堵管血栓进行疏通, 如此可避免将导管移出体外进行疏通,避免导管反复进出血管腔。
针对亚急性/慢性血栓易堵管难题,设计侧向椭圆开孔+头端抽吸双通道;
管壁更薄,有效管腔容积提升30%,负压下不塌陷;
配套亲水涂层疏通导丝与血栓切割导丝,可在体内直接处理堵管,避免反复进出血管;
支持手动或泵控抽吸,负压无级调节;
定价1.5–2万元,显著低于进口同类产品(2.5–3万元),适合基层医院推广;
临床应用121例,涵盖DVT等多种血栓类型,效果确切。
核心技术:血栓切割导丝-堵管发生时,切割导丝对堵塞于抽吸孔的血栓组织行快速切割,多模态血栓抽吸。

多模态血栓抽吸示意图
4
外周微循环数字式诊疗系统

基于“五点法皮温检测”(髌骨下缘、内外踝、足背、足底),结合额温参考;




无创微循环量化诊断标准
注:Δst 是人群的平均值,因此将3-5分也界定为“病变”。
在室温22℃、静卧5分钟后自动采集数据,无需造影剂、无辐射;
建立量化评分标准(0–10分),可客观判断微循环病变等级;
临床验证n=481例,证实皮温变化与血流速度高度相关;

血流速度与皮温变化关系
S =INT((Δst-Δm)*10/(|Δmax|-|Δmin|))+5
“五点法”皮温可判断血管内部 血流速度及微循环变化
特别适用于糖尿病足、肾功能不全等造影禁忌人群。
5
MR精准微创介入系统

系统组成:
1.0T大孔径短磁体磁共振;
磁兼容光学定位导航系统;
磁兼容导航相机;
磁兼容微波消融仪;
磁兼容心电监护仪;
磁兼容导管、导丝、微波消融、血管介入器材。
搭载1.0T大孔径短磁体(孔径81cm,长度125cm),较常规MR(60–70cm)空间提升25%;
全系统磁兼容:包括导管、导丝、微波消融针、心电监护等;
磁共振成像与微创治疗深度融合,实现0.25毫米精度、每秒3帧的实时成像,支持高精度导航与术中精准评估;
水作为天然对比剂,无需碘剂,彻底规避肝肾毒性;
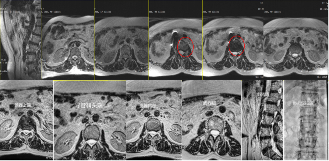
已成功应用于下腔静脉滤器植入、肝癌微波消融等手术;

DVT下腔静脉滤器植入
被滕皋军院士誉为“国之重器,介入未来”。


前沿探索方向

1
温敏型干细胞控释技术

• 开发可逆温敏水凝胶,在低温(如缺血肢体)下启动干细胞释放;
• 缓释周期长达28天,促进下肢缺血组织再生;
• 已完成动物实验及初步临床转化。
2
抗菌植入材料

• 设计β-多肽抗菌聚合物,模拟天然抗菌肽结构;
• 对耐药菌(如铜绿假单胞菌)具有高效杀灭作用;
• 可用于预防支架相关亚急性炎症。
3
组织修复与免疫调控

• 探索多种干细胞组合疗法(用于血管病与肿瘤);
• 开发组织透明胶快速修复技术(结合激光/臭氧);
• 推动免疫治疗与分子介入融入血管外科体系。

背景与挑战

诊治一体化:从“治已病”转向“防-诊-治-评”闭环;
人工智能辅助:智能规划、导航与预后预测;
完全可降解器械:实现“临时支撑、自然消失”;
免疫与分子介入融合:超越机械开通,调控生物学过程;
零辐射介入革命:全面推广MR引导,保护医患安全。
专家介绍

李茂全教授
上海市第十人民医院
介入血管外科主任医师
博士生导师
肿瘤靶向治疗技术分会副主任委员
中国癌症基金会介入专业委员会常委秘书
中华放射学会介入放射学分会委员
上海肿瘤介入治疗专业委员会副主任委员
上海市介入放射学组第一副组长
中华实用医学杂志编
介入放射学杂志编委
担任中国医学影像技术杂志编委、中华放射学杂志审稿专家、中国介入影像与治疗学杂志编委、中华现代外科杂志常务编委、《Lymphology and Oncology》主编、中国民主促进会浦东新区区委、中国民主促进会上海市医药卫生委员会专委、中国民主促进会申康委员会委员。
参与和主持包括“九五”攻关计划等各类科研30余项。目前为止共计发表论文70余篇,SCI文章16篇。“十二五”国家科技支撑计划项目科学家。在国内外首次正式开展唯美生肝癌的分子靶向治疗。