CEC2024 | 王国权教授:ISMAD单中心治疗经验


2024年10月31日—11月3日,备受瞩目的第十五届中国血管论坛(CEC2024)于北京盛大召开,国内外专家齐聚一堂共襄盛会。本次大会设置知名专家面对面、中青年专家论坛、学术专题讲座,病例直(录)播、外周血管介入前沿与争锋辩论赛、疑难病例大查房、复杂血管疾病、血管外科危重症管理、血管疾病治疗并发症处理及预防、外周器械新技术新疗法、下肢动脉减容规范化应用最新证据深度解读、国际专场@CEC等热点板块,全面展现最新的血管疾病诊疗方法和技术,为广大血管外科医务工作者及同道提供了一场内容丰富、高质量、高水平的学术盛宴。
本次大会期间,河南省人民医院阜外华中心血管病医院王国权教授为各位专家同道介绍了《ISMAD单中心治疗经验》。欢迎阅读。
演讲题目:
《ISMAD单中心治疗经验》
演讲嘉宾:
王国权教授
单位:
河南省人民医院阜外华中心血管病医院

病例分析

★ Case 1
病例特点:男,59岁,"突发腹痛20小时"转入我院,当地医院CTA:ISMAD;入院查体:腹部压痛、反跳痛(腹膜炎);入院治疗:药物保守治疗(抗凝、消炎、营养支持等)。病情变化:于入院后十余小时腹痛再次加重,疼痛难忍!

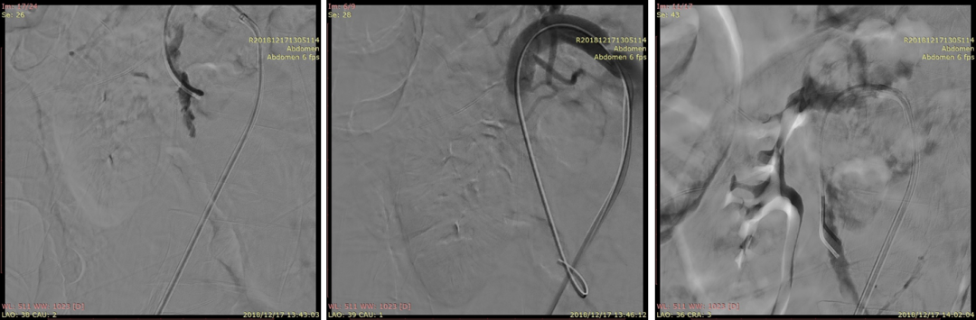
20181217DSA:破口位于距离SMA开口2cm处;破口远端真腔不显影。

20181217DSA:假腔充满血栓

20181217DSA:选择进入远端血管(回肠动脉)

20181217DSA:找到远端真腔血流受限的原因(箭头)

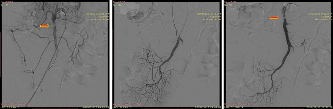
20181217DSA:植入第一枚支架(wallstent7*50mm)

20181217DSA:植入第二枚支架(wallstent9*50mm)

20181217DSA:支架植入后尝试寻找空肠动脉

20181217DSA:支架植入后最终复查造影

20181223CTA(术后6天)

20181223CTA(术后6天)
★ Case 2
病例特点:男,35岁,"腹痛5天"转入我院,当地医院CTA:ISMAD;入院查体:无腹部压痛及反跳痛;入院治疗:药物保守治疗(抗凝、营养支持等)。

20230429CTA(当地医院初查)

20230429CTA(当地医院初查)

20230515CTA(保守治疗2周我院复查)

20230515CTA(保守治疗2周我院复查)

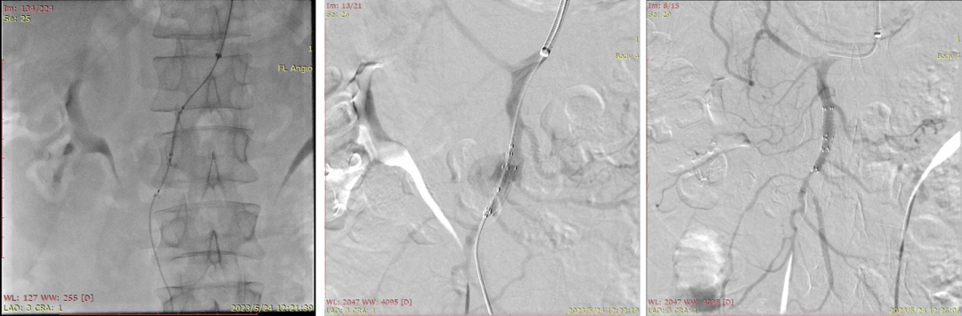
20230524DSA夹层动脉瘤

20230524DSA:VB支架植入

20230524DSA:仍有造影剂进入假腔

20230524DSA:再次送入VB

20230530CTA(术后1周):夹层动脉瘤隔绝完全

20230530CTA(术后1周):夹层动脉瘤隔绝完全

20230913CTA(术后14周):血肿吸收完全

数据收集与统计分析

2018年1月份至2024年06月收集ISMAD患者的病例资料及影像资料、随访期间影像资料。
纳入标准:CTA明确ISMAD诊断;
排除标准:CTA明确诊断为主动脉夹层,CTA明确诊断除SMA之外动脉夹层。
最终纳入52例患者,平均年龄53岁。


ISMAD:52例,其中保守治疗:45例,腔内治疗7例

ISMAD保守治疗:45例,男性:40例,女性:5例

ISMAD腔内治疗:7例,男性:6例,女性:1例

讨论

ISMAD的危害与临床表现

ISMAD的直接危害在于引起肠缺血甚至肠坏死,间接危害在于远期夹层动脉瘤的形成并存在动脉瘤破裂的风险。早期ISMAD几乎都伴有腹痛,严重者有小肠缺血甚至坏死,此类ISMAD称为症状性ISMAD。ISMAD好发于中年男性,高血压病和吸烟是高危因素。
解剖特点:

原发破口好发于肠系膜上动脉开口的2.5cm以内,此处肠系膜上动脉有两个解剖特征:一是刚穿过胰腺后方进入系膜区,近端固定而远端游离;二是此处为肠系膜上动脉走形的一个弓背点(类同于B型夹层)。
治疗原则:

多个单中心报告对症状性ISMAD的主流治疗观点仍是保守治疗和抗栓处理。抗栓是抗凝和抗血小板,通常的经验是在发病早期给予低分子肝素抗凝,可进食后给予阿司匹林或氯吡格雷等抗血小板药物并持续3个月以上。
腔内治疗指征:

有的研究者把ISMAD影像学特征用于选择腔内支架治疗的标准,如在疑似肠道缺血的基础上,真腔狭窄80%或假腔动脉瘤直径>2cm;随访期间夹层动脉瘤直径>2cm或假腔溃疡型结构的扩大,这些作为腔内支架治疗的标准。但文献报道夹层动脉瘤破裂至今仅数例,临床随访症状缓解的病人,未见假腔快速扩张。
腔内治疗技术要点:

文献所列举的腔内治疗方式,主要是指肠系膜上动脉支架植入术,极少数采用单纯球囊扩张及采用弹簧圈栓塞假腔。从解剖角度看,肠系膜上动脉胰腺后段是好发裂口的部位,也是比较固定的部位,会受到牵拉力的冲击,因此在植入支架时,应考虑将支架跨过裂口的近端,且完全覆盖血管的胰腺后段,以减少支架移位或缩短的可能。
结语
西方学者认为ISMAD是罕见病,而我国ISMAD报道的例数提示ISMAD并非罕见。目前多数学者认为,对症状型ISMAD首选保守治疗加抗栓,症状无法改善者腔内支架植入,无症状性ISMAD假腔发展可能性较小,支架植入长期疗效有待更多病例和更长时间的随访观察。
专家介绍

王国权教授
河南省人民医院
阜外华中心血管病医院
大血管疾病科
主任医师,博士
中华放射学会外周血管介入学组委员,中国医师协会血管外科分会胸主动脉、腹主动脉学组委员,中国医师协会腔内治疗学分会委员,河南省医学会血管外科青委会副主任委员,河南省医师协会血管外科青委会副主任委员等。
第一作者在国际、国内重要杂志上发表主动脉疾病及周围血管疾病方面的学术论文十余篇,作为主要撰稿人及编写委员会委员参与撰写国家级临床诊断及治疗指南;主译血管外科专著2部。
参与多项国家级及省级科研课题,第一负责人主持省厅级科技公关项目三项,获得河南医学科技奖一等奖一项,河南省科技进步奖三等奖一项,获得河南省人民医院新业务新技术奖三项
专长:临床主要研究方向为主动脉疾病和外周血管疾病的循证医学、临床诊断及手术治疗学等。擅长主动脉夹层、胸腹主动脉瘤、肢体动、静脉疾病以及内脏动、静脉疾病的介入和杂交治疗
