CEC2024 | 杜丽苹教授:重症PAD抗凝应用的病例分享



2024年10月31日—11月3日,备受瞩目的第十五届中国血管论坛(CEC2024)于北京盛大召开,国内外专家齐聚一堂共襄盛会。本次大会设置知名专家面对面、中青年专家论坛、学术专题讲座,病例直(录)播、外周血管介入前沿与争锋辩论赛、疑难病例大查房、复杂血管疾病、血管外科危重症管理、血管疾病治疗并发症处理及预防、外周器械新技术新疗法、下肢动脉减容规范化应用最新证据深度解读、国际专场@CEC等热点板块,全面展现最新的血管疾病诊疗方法和技术,为广大血管外科医务工作者及同道提供了一场内容丰富、高质量、高水平的学术盛宴。
本次大会期间,郑州大学附属洛阳中心医院杜丽苹教授为各位专家同道介绍了《重症PAD抗凝应用的病例分享》。欢迎阅读。
演讲题目:
《重症PAD抗凝应用的病例分享》
演讲嘉宾:
杜丽苹教授
单位:
郑州大学附属洛阳中心医院
背景
糖尿病与 PAD 的高度关联及隐匿性
外周动脉疾病(PAD)在糖尿病患者中极为常见且危害严重:
60岁以上糖尿病患者中,PAD患病率高达 35.4%;
慢性肢体重度缺血(CLTI) 患者中,超过50%合并糖尿病;
糖尿病患者发生 PAD 的风险是普通人群的 2–4倍,且随病程延长而升高。
警惕糖尿病患者的 PAD 常表现为 “无声”或“不典型”:
因周围神经病变导致疼痛敏感性下降,缺乏典型间歇性跛行症状;
多在出现 糖尿病足 等晚期并发症时才被诊断;
我国研究显示,50岁以上2型糖尿病患者中,PAD 漏诊率高达55.7%。
因此,临床对糖尿病患者的下肢血管状况应保持高度警觉,主动筛查。

PAD 综合管理的核心
优化抗栓治疗
根据2017年欧洲血管外科学会(ESVS)等指南,PAD 患者的最佳整体治疗方案包括:
健康生活方式(戒烟、运动、饮食)
血糖、血压、血脂控制
抗栓治疗(抗血小板 ± 抗凝)
必要时血运重建
其中,抗栓管理是预防血栓事件、维持血管通畅的关键环节,尤其在血运重建术后。
典型病例分享
2例
★ Case 1
周某,女性,52岁,反复双下肢动脉血栓形成
第一次住院(2019.11.11)
主诉:右下肢凉、麻、痛4月余,加重伴紫绀4天;
临床表现:右下肢苍白发紫,踝以远见花斑样改变,足趾末端自黑,小腿中段以下;
诊断:右下肢动脉血栓形成、腹主动脉血栓、高血压、2型糖尿病。
治疗计划:
1. 造影+置管溶栓
2. 吸栓+球囊扩张+支架置入
3. 取栓+截肢
治疗药物:
1. 尿激酶 --40万u/日
2. 依诺肝素--4000u/Q12H
3. 前列地尔--10ug/日
4. 血塞通--0.4g/日
结局:缺血持续加重,转上级医院后行截肢。


11月12日3PM 11月14日10AM
造影置管溶栓 吸栓球囊扩张
治疗结果:
2019年11月15日 缺血加重,疼痛不缓解
2019年11月16日 病人转往北京协和医院治疗
随访结果:
2019年12月20日 右下肢血运重建+高位截肢
第二次住院(2021.08.04)
主诉:左下肢突发发凉、麻木、紫绀、疼痛1天(妇科术后第3天)。
既往史:2019年因右下肢动脉栓塞并血栓形成在我科行介入治疗,术后血供改善不满意,转往北京某医院行开放手术(动脉搭桥),术后再次突发下肢急性缺血,右下肢截肢。糖尿病史3年,胰岛素控制血糖,高血压病史3年,口服药物控制血压。
临床表现:右下肢大腿中段以下缺如,左下肢小腿远端皮温低,皮色苍白,远端紫绀花斑,静息痛,活动轻度受限,毛细血管返血时间明显延长,股动脉搏动++,腘动脉搏动+,足背、胫后动脉搏动-。

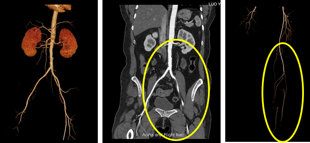
术前CTA


诊疗方案:
麻醉方式:全麻
手术方式:
杂交手术取栓加腔内治疗 –先切左侧股动脉
先造影,后取栓,取出红白相间血栓约6cm
应用抗炎、溶栓、扩管:尿激酶原针5mg、罂粟碱30mg、地塞米松10mg
术后管理
系统溶栓及活血、扩管药物应用
抗凝(低分子肝素6000u Q12H)
双抗血小板(阿司匹林+氯吡格雷)、调脂。

术前 术后
治疗第四天,血供改善,胫后动脉搏动恢复,缺血症状明显改善

2021.8.8 2021.8.20
第三次住院(2023.12.6)
主诉:左下肢发凉、麻木4月余
临床表现:左下肢发凉、麻木、间歇跛行,足背及胫后动脉微弱可及
出院用药:
利伐沙班10mg/日
肠溶阿司匹林100mg/日
阿托伐他汀10mg/日
脉血康 2粒日3次口服
诊断:
左下肢动脉缺血
高血压病
2型糖尿病

缺血症状明显改善
★ Case 2
姬某,男性,45岁,急性下肢缺血
主诉:突发右下肢凉、麻、痛3天,伴足趾坏死;
既往史:高血压病史3年,口服药物控制可;
临床表现:静息痛,足趾及足背有坏死组织,右下肢大腿中段以下皮温低,皮色苍白,远端紫绀,活动轻度受限,毛细血管返血时间明显延长,股动脉搏动++,腘动脉搏动-,足背、胫后动脉搏动-,左侧相应动脉搏动正常。

化验检查

术前炎性指标高,足部局部有坏死

术前CTA
术前诊断
血栓闭塞性脉管炎
右下肢动脉血栓形成
2型糖尿病(新)
高血压病
手术:
1. 切开暴露血管
2. 造影明确病灶
3. 导管取栓
4. 置管药物灌注
5. 全程造影

手术取出的血栓
远端输出道欠佳,调整药物治疗方案
系统应用尿激酶原、前列地尔溶栓及活血、扩管药物应用
改抗凝(低分子肝素6000u Q12H)为肝素钠25000u/日(2支)
单抗血小板(阿司匹林)、调脂


出院用药:
1. 控制血糖血压
2. 阿托伐他汀10mg/日
3. 利伐沙班10mg/日
4. 肠溶阿司匹林100mg/日
5. 羟苯磺酸钙0.5mg/tid
经验总结
临床启示
1
血运重建只是“万里长征第一步”
PAD 是系统性、进展性动脉粥样硬化疾病,术后仍面临高心血管及肢体事件风险,长期药物管理至关重要。
2
重症 PAD 患者围术期“危象”频发
如术后血栓再形成、微循环障碍、血管痉挛等,需密切监测,及时识别并干预。
3
“双通道”抗栓策略的价值
对于高危患者(如合并糖尿病、既往血栓史、术后缺血加重),抗凝(如利伐沙班)联合抗血小板(阿司匹林) 可能优于单用抗血小板,有助于维持远端灌注、防止血栓蔓延。
3
个体化抗凝强度调整
在出现术后缺血恶化时,从低分子肝素升级为普通肝素静脉持续抗凝,可实现更快速、可控的抗凝效果,为挽救肢体赢得时间。
4
多学科协作与杂交手术优势
对复杂病例,开放取栓与腔内技术结合的杂交手术,能更彻底清除血栓,为后续药物治疗创造条件。




结语
重症 PAD,尤其是合并糖尿病者,病情隐匿、进展迅猛、治疗挑战大。成功的治疗不仅依赖于精准的血运重建,更在于围术期对血栓危象的敏锐识别与果断处理,以及长期、优化的抗栓管理。“双通道”抗栓策略在特定高危人群中展现出良好前景,值得进一步探索。
专家介绍

杜丽苹教授
郑州大学医院附属
洛阳中心医院
血管外科主任医师
洛阳市中心医院血管外科第一届科主任;
洛阳市血管外科专委会主委;
中国中西医结合周围血管慢病管理委员会副主委;
河南省医学会血管外科学会副主委;
河南省医师协会血管外科管理专委会副主委等。
师从我国著名血管外科专家解放军昆明总医院陈翠菊教授、北京安贞医院吴庆华教授。对血管外科糖尿病足、动脉硬化肢体闭塞症、下肢静脉曲张、深静脉血栓形成、血管瘤、动脉瘤等疾病的微创手术、腔内介入治疗及中西医结合特色治疗有丰富的临床经验。