CEC2024 | 张学民教授:一种新型主动脉腔内原位破膜器械



2024年10月31日—11月3日,备受瞩目的第十五届中国血管论坛(CEC2024)于北京盛大召开,国内外专家齐聚一堂共襄盛会。本次大会设置知名专家面对面、中青年专家论坛、学术专题讲座,病例直(录)播、外周血管介入前沿与争锋辩论赛、疑难病例大查房、复杂血管疾病、血管外科危重症管理、血管疾病治疗并发症处理及预防、外周器械新技术新疗法、下肢动脉减容规范化应用最新证据深度解读、国际专场@CEC等热点板块,全面展现最新的血管疾病诊疗方法和技术,为广大血管外科医务工作者及同道提供了一场内容丰富、高质量、高水平的学术盛宴。
本次大会期间,北京大学人民医院张学民教授为各位专家同道介绍了《一种新型主动脉腔内原位破膜器械》。欢迎阅读。
演讲题目:
《一种新型主动脉腔内原位破膜器械》
演讲嘉宾:
张学民教授
单位:
北京大学人民医院
问题起源
现有技术和器械的不足:
预开窗有对不准的可能
原位开窗器械工作位置起于分支内有穿破分支,破膜针可能从主动脉覆膜支架边缘划走穿破自体主动脉的可能,经常要反复调整对位,耗费时间,增加脑缺血风险
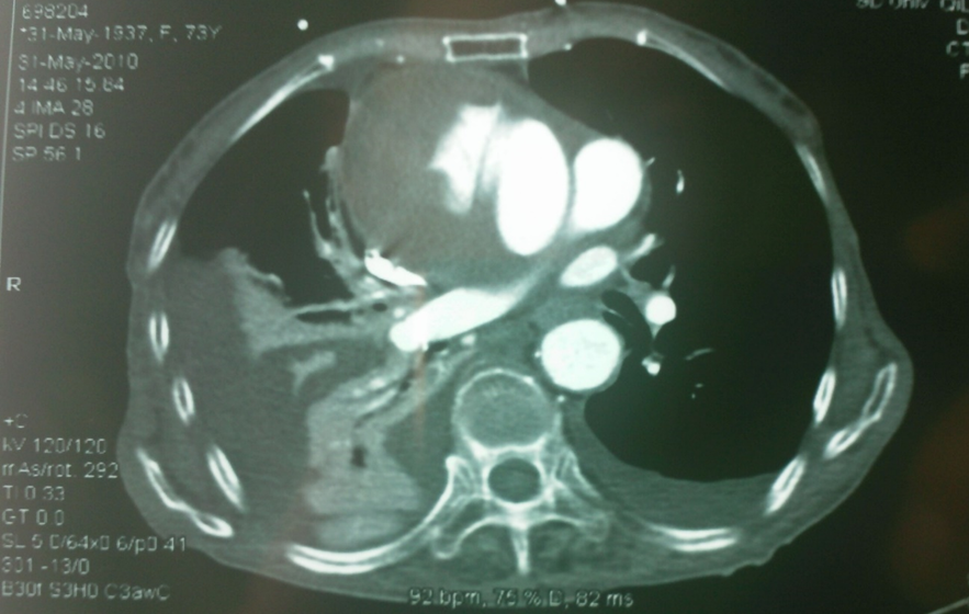
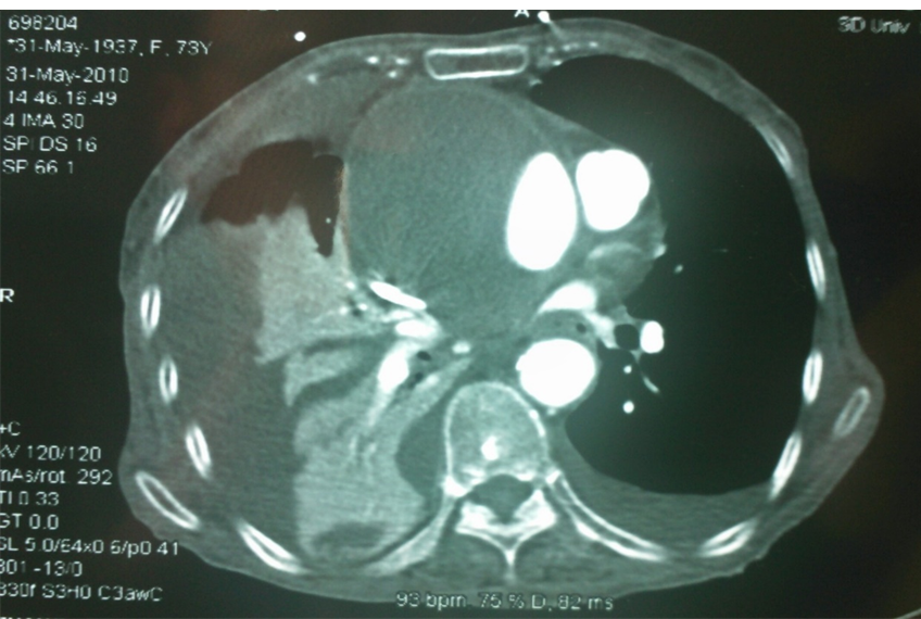
我们早期曾遇到一例升主动脉夹层治疗失败的病例(因失败未留存完整影像),但事后复盘发现,根本原因在于对主动脉三维解剖认知不足。当时采用预开窗技术,支架释放后发生近端移位和远端扭转,导致左颈总动脉与头臂干被遮蔽,最终需紧急补救性支架+两次搭桥手术。

向下滑动查看











颈椎搭桥
手术过程:
全麻下双上肢穿刺,右股动脉切开,左上肢路径造影,右上肢进保护性导丝,对支架预开窗后植入升主,因破口较大,支架近端掉入破口,远端扭转遮蔽左颈总动脉及头臂干,窗口对破口,再次植入一枚38-80支架,封住近端破口后,以8*60支架开放右侧头臂干,6*10人工血管行右锁骨下-左颈总搭桥,取颈前静脉行左椎动脉-人工血管搭桥,之后造影,头臂动脉均通常,术后约2小时患者清醒。
这一教训促使我们重新审视现有技术:
升主和弓部主动脉需要可控的支架;
主动脉弓是空间三维扭曲的;
入路路径一路扭曲对支架会有影响;
导管、导丝、支架输送器刚性不同,和柔性的主动脉相互作用效果不同。
现有原位开窗技术的核心缺陷
目前主流的原位开窗方法(机械针、激光、导丝破膜)存在以下共性问题:
操作起点位于分支内:器械从锁骨下动脉或颈动脉内发起破膜动作,易因分支走行扭曲而偏离中心线,导致穿破分支血管壁。
贴壁行走,轴线偏移:导管/导丝倾向于沿血管壁走行(受力最小路径),而非沿血管中心轴,造成穿刺角度偏差。

导管导丝走受力最小的路线
破膜瞬间失控:即使术前通过可调弯导管调整方向,破膜瞬间钢丝仍可能滑脱,从覆膜支架边缘划出,损伤自体主动脉。
效率低下:需多角度反复确认位置,延长手术时间,增加脑缺血风险。
破口质量差:破膜形成的孔洞常不规则、非圆形,影响后续分支支架植入的密封性。



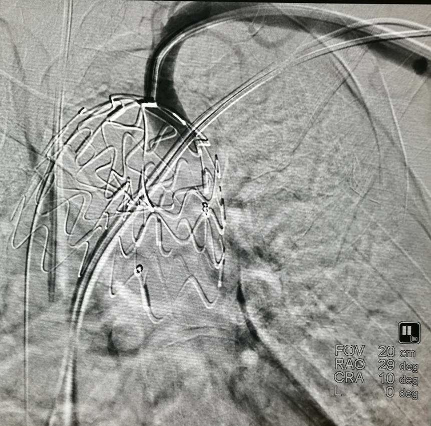
后释放支架预开窗病例


3D主动脉影像

主动脉3D打印模型
解剖与工程视角
胚胎学基础:
主动脉的形成很复杂,受精后第三周原始主动脉有腹段和背段,腹段融合成主动脉囊,背段形成降主动脉,之间形成六对主动脉弓连接主动脉囊和降主动脉;
第四周心脏形成,咽弓接受源自心脏的动脉,通过六对经过咽弓的动脉的融合或退化心血管系统形成;
第I、II、V腮弓退化,第III弓形成颈动脉,第IV腮弓左侧形成主动脉弓,右侧形成锁骨下动脉。第VI腮弓在左侧形成肺动脉和动脉导管。

主动脉弓的胚胎学
动态生理:升主动脉、弓部与降主动脉在心动周期中运动模式不同,进一步加剧支架与分支的相对位移。
器械-血管相互作用:不同刚度的导管、导丝与柔性主动脉相互作用,导致输送路径不可预测。
因此,理想的破膜装置必须跳出分支内部操作的局限,在主动脉主腔内建立稳定的操作平台。

弓部弯曲度分型——范卫东

弓部分型


曲率半径
被忽视的问题:
弓上分支不在一个平面上;
弓上分支发出后走行不在一个平面上;
升主动脉和弓部以及降主动脉在心动周期中的运动方式不同;
器材对主动脉弓形态的影响。
如何对准预开窗:
术前精确测量
3D打印模型中释放支架开窗
缝金属标记
空间翻转
覆膜支架固定和矫正


犬的原位开窗,钢针无法适应分支走行(窗口不圆)

国内有记载的第一例原位开窗,2005年
向下滑动查看






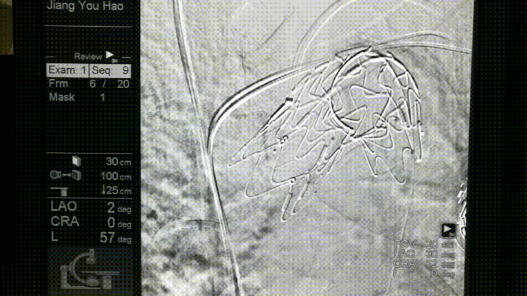
导丝破膜,各角度反复确认


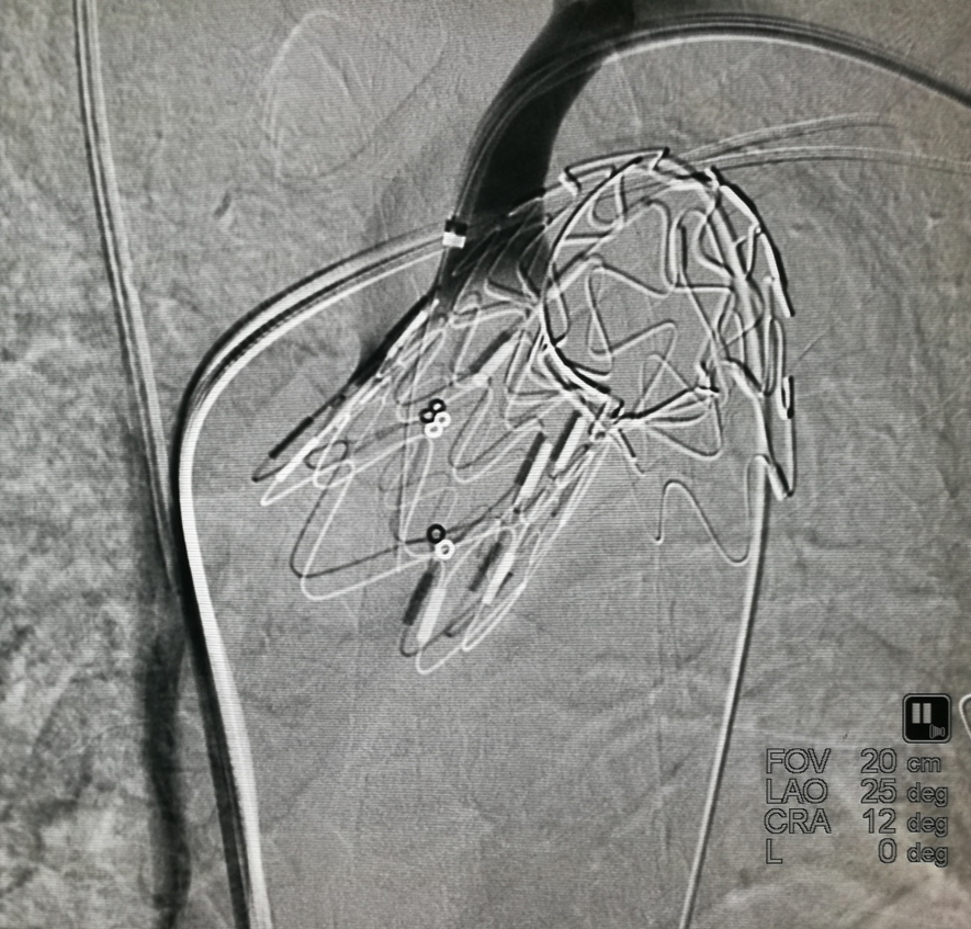
机械破膜和激光破膜




破膜装置开窗






原位开窗存在问题:
分支角度和走行的扭曲;
器械贴壁行走,和血管轴线不重合(类似支架不对称释放),导致穿破风险;
激光开窗气泡问题,打断导管;
扩张后边缘不圆,裂口,漏。

原位开窗注意事项:
各个角度反复确认,耽误时间;
器材准备要充分;
多支开窗失败率较高。

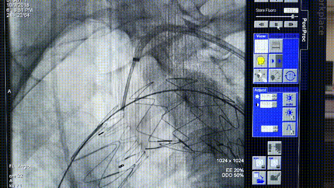
转播手术过程中即便熟练团队开窗,时间不可控,导丝穿破FUSTAR
被忽视的问题:
弓上分支不在一个平面上;
弓上分支发出后走行不在一个平面上;
升主动脉和弓部以及降主动脉在心动周期中的运动方式不同;
器材对主动脉弓形态的影响。

破膜装置的需求:
装置完全通过分支血管(避免穿破分支);
破膜操作面稳定在主动脉壁和覆膜支架之间,针垂直覆膜支架(避免穿破主动脉)。
新型器械的设计理念与工作原理
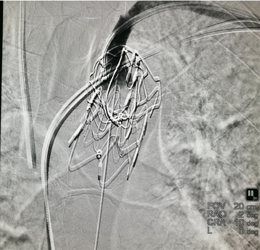
基于上述分析,我们于2019年申请发明专利,并联合企业开发出原型样机。其核心创新在于:“避分支、稳锚定、垂穿透”。

破膜装置
具体操作分两种模式:
预置模式:
先将器械送入主动脉,在目标分支开口处预张开前盘;
轻微回拉,使盘片卡住分支开口边缘;
再释放主体覆膜支架;
最后通过内置破膜针垂直穿透覆膜支架,完成开窗。

在主动脉内张开,轻轻牵张,使其卡在分支开口
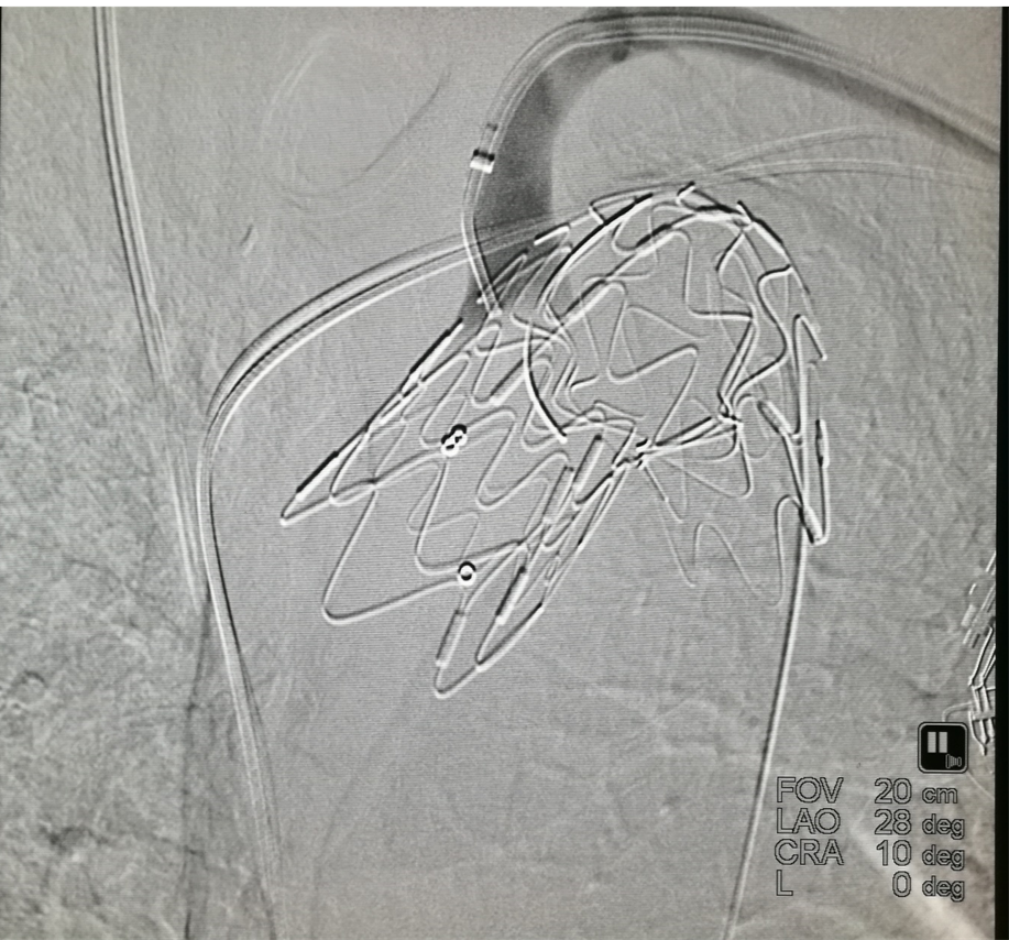
后顶模式:
先释放主体覆膜支架;
将长鞘顶住支架,推送器械使其前盘在主动脉内张开并向后牵拉,同样实现锚定于分支开口;
再行破膜。


输送器顶住覆膜支架,张开后向后牵拉卡住分支开口
优势:
破膜操作起始于主动脉主腔,完全避开分支血管,避免分支损伤;
前盘稳定摁住覆膜支架,防止破膜针滑动;
穿刺方向垂直于支架表面,确保精准、圆整的破口。
动物实验验证与未来展望
我们在两头35kg巴马公猪中完成动物实验:
成功实现弓上分支的快速、准确原位开窗;
破膜过程流畅,无分支或主动脉损伤;
取出标本可见圆形破口、支架贴合良好,证实技术可行性。











动物实验









巴马公猪35kg


标本


潜在应用场景拓展:
弓上单分支或多分支快速、准确的原位开窗;
配合可调弯鞘,可以实现夹层远端垂直破膜;
配合可调弯鞘,可以实现房间隔或室间隔穿刺破膜。
结语
现有原位开窗技术受限于对主动脉三维解剖的认知不足和器械设计局限,存在安全性与精准度双重挑战。我们研发的新型破膜装置,通过在主动脉主腔内建立稳定锚定点,实现了避分支、稳操作、垂穿透的技术突破,有望显著提升复杂主动脉弓部病变腔内治疗的安全性与成功率,为精准血管介入提供新范式。
专家介绍

张学民教授
北京大学人民医院
血管外科主任医师
医学博士
中华临床医师杂志 特约审稿人
北京生物医学工程学会血液净化专业委员会血液净化通路血组 委员
中国微循环学会血管疾病专业委员会 委员
1999年北大医院先进个人
2003年北大人民医院抗击非典先进个人
2005年北大人民医院优秀教师
2009年北大人民医院先进个人
2012年北大医学部教学优秀奖