CEC2024 | 刘晓兵教授团队:下肢动脉长段CTO病变的DEC处理策略分享



2024年10月31日—11月3日,备受瞩目的第十五届中国血管论坛(CEC2024)于北京盛大召开,国内外专家齐聚一堂共襄盛会。本次大会设置知名专家面对面、中青年专家论坛、学术专题讲座,病例直(录)播、外周血管介入前沿与争锋辩论赛、疑难病例大查房、复杂血管疾病、血管外科危重症管理、血管疾病治疗并发症处理及预防、外周器械新技术新疗法、下肢动脉减容规范化应用最新证据深度解读、国际专场@CEC等热点板块,全面展现最新的血管疾病诊疗方法和技术,为广大血管外科医务工作者及同道提供了一场内容丰富、高质量、高水平的学术盛宴。
本次大会期间,上海交通大学医学院附属第九人民医院刘晓冰教授团队为各位专家同道介绍了《下肢动脉长段CTO病变的DEC处理策略分享》。欢迎阅读。
演讲题目:
《下肢动脉长段CTO病变的DEC处理策略分享》
演讲嘉宾:
刘晓冰教授
陆信武教授
单位:
上海交通大学医学院附属第九人民医院
临床背景与核心挑战
股腘动脉(Femoropopliteal Artery, FPA)因其跨越髋、膝两大屈曲关节,承受复杂应力,病变常表现为弥漫性、严重钙化、慢性完全闭塞(CTO)。对于此类患者,治疗目标不仅是改善缺血症状,更强调长期通畅率(Patency),因为一旦支架内再闭塞,患者可能因侧支循环差而迅速进展至肢体威胁性缺血。
传统上,>10cm 的长段 CTO 被认为更适合旁路移植术(Bypass),因其仅在吻合口处有损伤,而桥血管本身不受干预。相比之下,全腔内治疗会对整个病变段造成全程损伤(球囊扩张、支架植入),极易诱发严重的新生内膜增生(Neointimal Hyperplasia),这是导致再狭窄的根本原因。

这一领域病变富于挑战的多种因素:
涵盖2个主要屈曲
髋关节和膝关节应力点
人体最长的动脉
腿部运动承受多种外力
穿过内收肌管
瘢痕形成和钙化





The problem of vascular injury cause neointimal hyperplasia.
向下滑动查看所有内容
在整个腔内治疗过程中都要减少或控制可能带来的血管损伤
运用相应抑制或缓解血管损伤修复等炎症反应的药物或器具
在整个腔内治疗过程中都要减少或控制可能带来的血管损伤
运用相应抑制或缓解血管损伤修复等炎症反应的药物或器具
治疗策略演进:从单纯扩张到DEC理念
为应对内膜增生问题,业界尝试了多种方案:
药物涂层球囊(DCB):可抑制增生,但无法解决夹层和弹性回缩问题。
覆膜支架(如 Viabahn™, VB):通过物理隔绝,有效处理夹层和维持管腔,其长期通畅率优于单纯 DCB。

基于此,我们提出了“DEC”(Drug-Eluting Covered Stent)策略,即联合使用药物洗脱支架(DES, 如 Eluvia™)。该策略旨在:
利用 VB 的物理隔绝优势克服夹层与 recoil;
利用 DES 的药物缓释优势抑制两端及重叠区的内膜增生;
同时,DES 的裸支架平台对近端股深动脉等侧支影响更小。

Eluvia has excellent andconsistent primary patency rate no matter what lesions and patient

物理隔绝







向下滑动查看所有内容
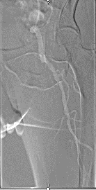
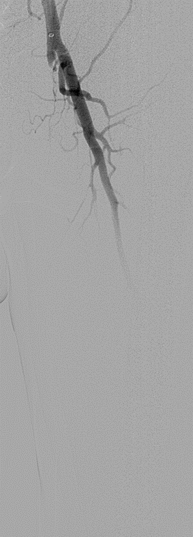
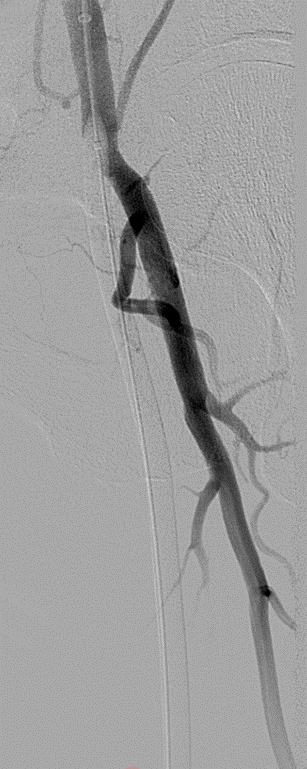
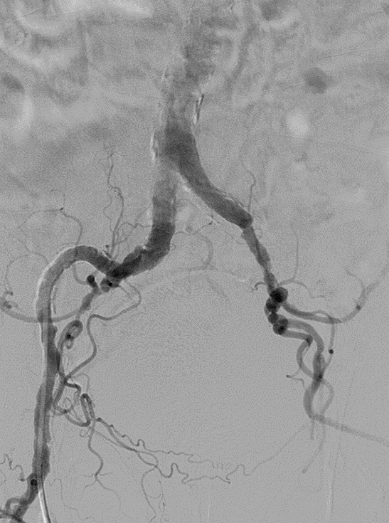
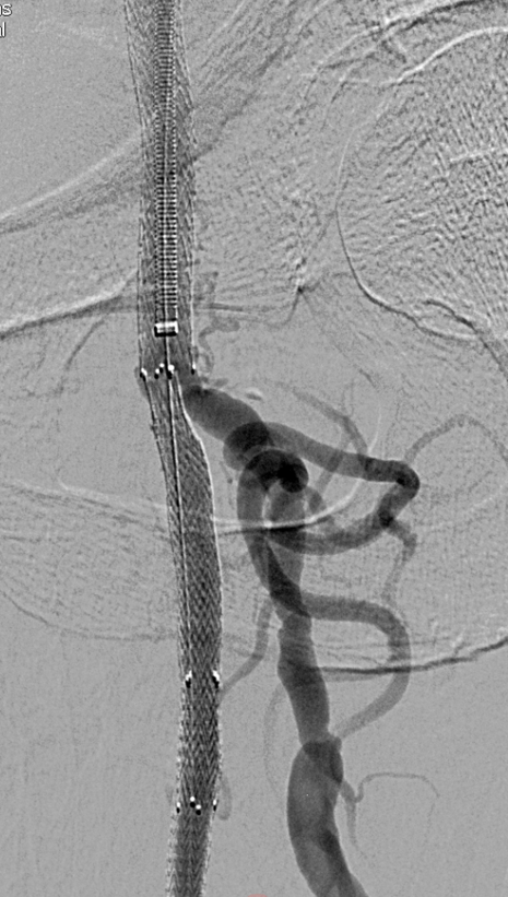
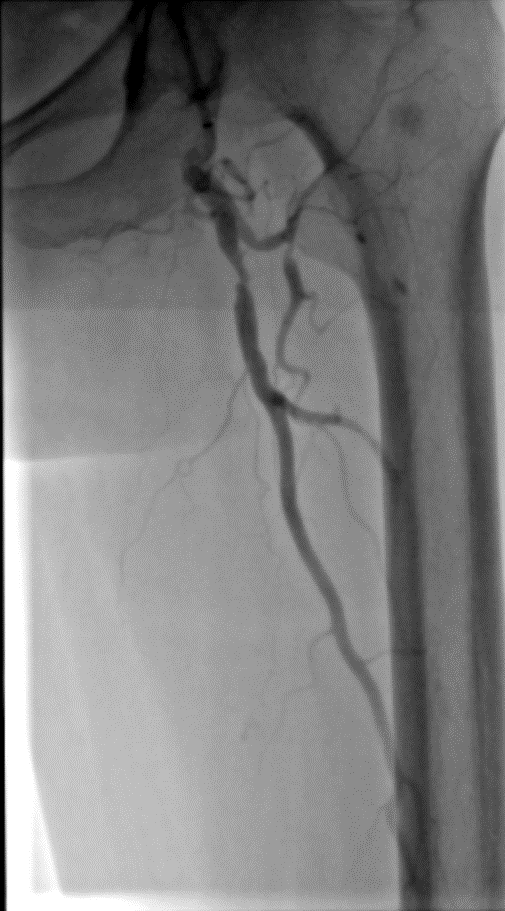
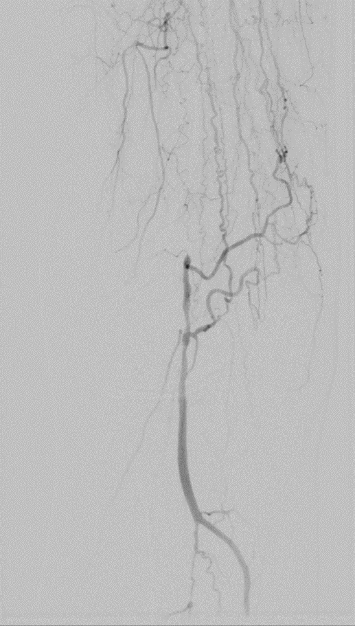
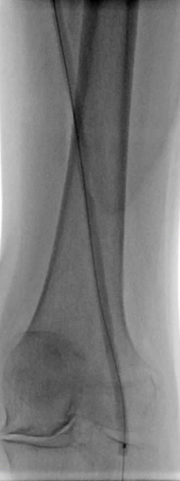
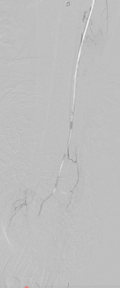
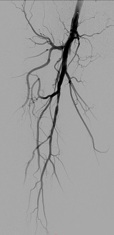
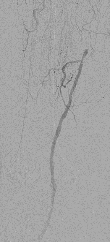
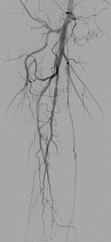
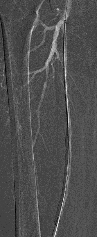
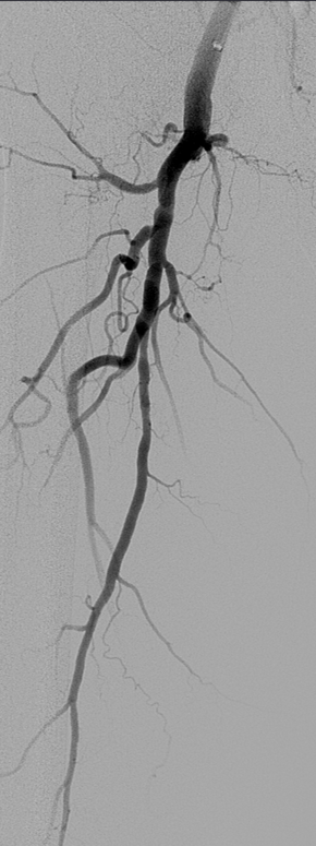
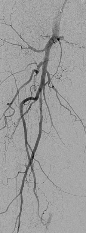
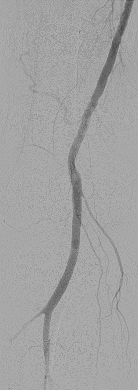
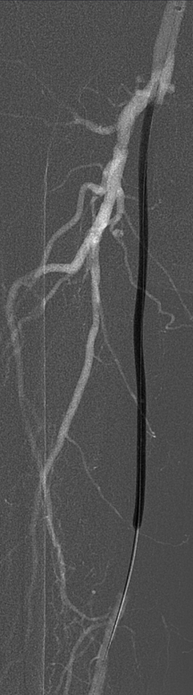
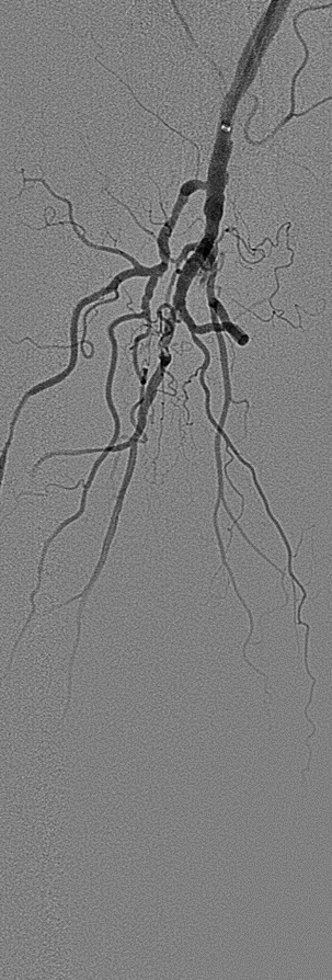
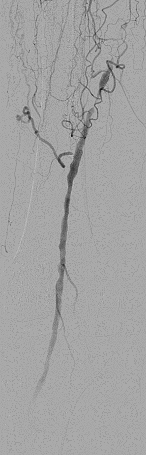
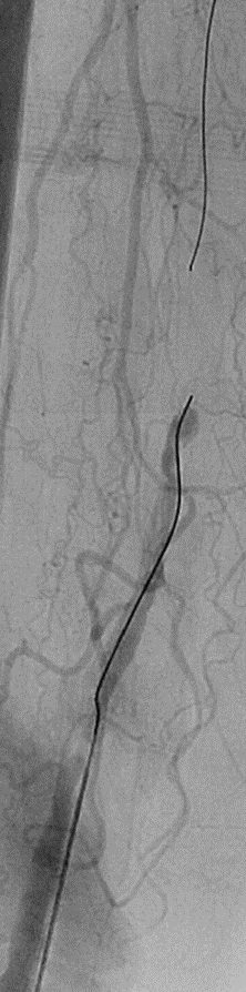
中心实践:15例病例随访与典型分享

★ Case 1
noproximal stump in SFA,>250mm






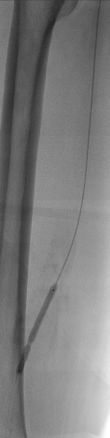
★ Case 2
significantdistal collaterals














左右滑动查看
★ Case 3












左右滑动查看
★ Case 4















左右滑动查看
★ Case 5
Female,82 y
Severe claudication over 1 year in both extremities esp. in the left
DM over 10 years
CTA:SFA-PA long CTO














左右滑动查看
★ Case 6
Severecalcification






左右滑动查看
★ Case 7
chronicthrombosis





左右滑动查看
★ Case 8
proximal hard fibrosis cap in SFA







左右滑动查看
★ Case 9
FP long lesions below the Knee




左右滑动查看
★ Case 10
proximalhard fibrosis cap in SFA with worse runoff



左右滑动查看
★ Case 11
Severecalcification with worse runoff







左右滑动查看
★ Case 12
ISR (术后1月自行停药)









标准化操作流程(Tips)
开通:以内膜下技术为主,逆穿是常用且有效的辅助手段。
预扩:充分预扩张至关重要,需逐级使用高压球囊,最终达到 6mm 直径,以获得足够的管腔。
支架植入:遵循“由远及近”原则,先放置远端 DES,再覆盖中段 VB,最后处理近端。利用 Eluvia 的可调节性优化重叠。
后扩:常规使用 6mm 高压球囊进行后扩张,确保支架充分贴壁和管腔获得。
用药:术中术后必须充分抗凝,推荐“双通道”抗栓方案(如利伐沙班+阿司匹林),以模拟 bypass 的血流动力学效果。
结语
DEC 策略为下肢动脉长段 CTO 病变提供了一种创新的腔内解决方案。初步15例经验表明:
其一年期通畅率值得肯定,部分病例甚至实现了两年以上的完美通畅;
能有效克服夹层、recoil 和内膜增生等核心难题;
但仍需关注并发症(如远端栓塞、假性动脉瘤)及患者依从性。
尽管一期费用偏高,但从长期保肢和减少再干预的角度看,其卫生经济学价值值得期待。未来,随着更多病例的积累和长期随访数据的完善,DEC 理念有望成为处理此类复杂病变的重要选择。
专家介绍

刘晓兵教授
上海交通大学医学院
附属第九人民医院
血管外科主任医师
博士生导师
中国老年医学学会周围血管疾病管理分会第一届委员会委员
美国血管外科协会(SVS)会员
国际血管联盟(IUA)中国分会青年委员
中国医疗保健国际交流促进会糖尿病足病分会青年委员会委员
上海市中西医结合学会介入专业委员会委员
中国医疗保健国际交流促进会血管外科分会主髂动脉疾病学组委员
中华实验外科杂志审稿专家
中国医师协会腔内血管学专业委员会血管创伤专家委员会委员
中国微循环学会周围血管疾病专业委员会中青年委员会委员
2003年云南省“优秀志愿者”
2003年上海青年志愿者行动“优秀青年志愿者”
2006年上海交通大学医学院“百人计划”
2006年市卫生局“共青团号”--九院血管外科负责人
2010年世博优秀青年志愿者
2021年十大杰出九院人

陆信武教授
上海交通大学医学院
附属第九人民医院
血管外科主任医师
博士研究生导师
中华医学会整形外科分会血管瘤与脉管畸形学组委员,中华医学会医学工程学分会血管外科与组织工程专业委员会委员,国际血管联盟中国糖尿病足委员会常委,欧洲血管外科和腔内血管外科学会会员,上海市中西医结合学会周围血管病专业委员会常务委员。近年来以第一申请人和主要实施者承担国家自然基金项目等8项课题。以第一作者在国内外杂志上发表论文45篇。教育部科技奖励评审专家,国家自然资金一审专家及多本杂志编委和审稿人。2005年度作为访问学者在欧洲著名学府阿姆斯特丹大学医学中心血管外科研修,2013年在德国莱比锡大学花园医院研修。擅长动脉瘤、动脉粥样硬化闭塞症、大动脉炎、夹层、颈动脉狭窄、内脏动脉瘤及静脉疾病的腔内治疗和开放性手术,尤其是动脉狭窄闭塞性疾病的腔内和杂交手术。2000年获教育部科技进步三等奖1项,2004年获上海市医学科技成果三等奖1项;2007年获中华医学科技成果三等奖、上海市科学技术奖三等奖和上海市医学科技成果二等奖各一项;2009年获上海市科学技术奖三等奖和上海市医学科技成果二等奖各一项。