CEC2024 | 左健教授:新型模块化三分支支架治疗主动脉弓部病变的FIM研究



2024年10月31日—11月3日,备受瞩目的第十五届中国血管论坛(CEC2024)于北京盛大召开,国内外专家齐聚一堂共襄盛会。本次大会设置知名专家面对面、中青年专家论坛、学术专题讲座,病例直(录)播、外周血管介入前沿与争锋辩论赛、疑难病例大查房、复杂血管疾病、血管外科危重症管理、血管疾病治疗并发症处理及预防、外周器械新技术新疗法、下肢动脉减容规范化应用最新证据深度解读、国际专场@CEC等热点板块,全面展现最新的血管疾病诊疗方法和技术,为广大血管外科医务工作者及同道提供了一场内容丰富、高质量、高水平的学术盛宴。
本次大会期间,空军军医大学西京医院左健教授为各位专家同道介绍了《新型模块化三分支支架治疗主动脉弓部病变的FIM研究》。欢迎阅读。
演讲题目:
《新型模块化三分支支架治疗
主动脉弓部病变的FIM研究》
演讲嘉宾:
左健教授
李子林教授
单位:
空军军医大学西京医院

主动脉弓部病变腔内处理需解决的关键问题
主动脉弓部病变因解剖位置特殊、血流动力学复杂,致死致残率居高不下,其治疗始终是血管外科领域的难题。弓部三分支的精准重建是腔内治疗的核心瓶颈。


国外弓部支架进展
目前国内外已涌现多款弓部分支相关支架,但各有技术短板。国外方面,日本曾推出纯开窗支架及1999年款外分支支架,后者因脑梗发生率高已终止临床试验;以色列产品为单分支设计,需联合搭桥手术;美国主流为内嵌式或内隧道式双分支支架,如库克公司产品;韩国则有三分体联合的复杂支架系统。

01
单纯商品化开窗支架

02
单分支支架

03
分体式双分支支架

04
双分支内嵌式支架

05
双分支内嵌式支架

06
早期三分支支架


国内弓部支架进展
★ 双分支内嵌式支架




WeFlow-Arch™病例展示
★ 病例1:模块内嵌分支胸主动脉覆膜支架系统



导入近端主体支架

释放近端主体支架

双球囊同时扩张内隧道

释放无名动脉
支架

内扩无名动脉
支架

无名动脉支架
通畅

释放左颈总动脉支架

内扩无名动脉支架

导管置于
左锁骨下动脉近端

栓塞左锁骨下动脉近端

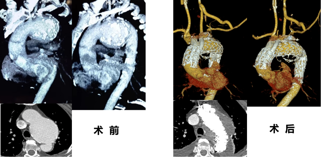
★ 病例2:模块内嵌分支胸主动脉覆膜支架系统


术前

术后

弓部支架的国内外发展现状
01
C-S全主动脉弓覆膜支架系统具有以下特点和优势
(1)操作简单可靠——凹槽支架一体式设计操作简单,手术时长短,可有效重建血管并隔绝病变;
(2)安全从容一一主体释放后可确保弓上分支血管通畅,供血不受影响,医生可从容进行分支重建;
(3)性能优异选择广泛一一分支支架性能优异,规格多样可适应不同弓上分支,植入后形态良好,具有较小输送系统外径,使用方便顺畅;
(4)使用灵活——根据病变的不同,可灵活选择搭配“主要模块+选配模块”组合。

02
ZIPPER™⼀体式主动脉弓覆膜支架系统

03
腔内解决现状 — 三分支支架

优势:采用独特的“自适应分支支架”+“槽式主体支架设计”,满足弓部三个分支的各种解剖差异性,彻底解决困扰该疾病的重大痛点,在全球首次实现弓部及分支支架均经导管介入植入及解剖型矫治。

特点:
弓部三分支解剖性重建
所有支架均经股动脉导入
颈部无需切口,颈部三分支动脉无需搭桥
采用独特的自适应特性

弓部三分支解剖性重建:分支完全按照原主动脉及分支动脉解剖结构走行矫治

所有支架均经股动脉导入

04
独特的自适应特性
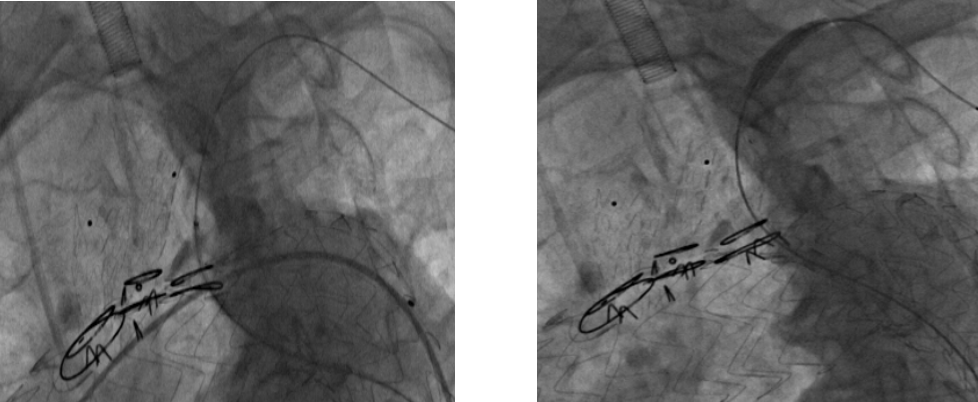
具备强大自适应能力,即使主体支架窗口与分支血管存在较远错位,仍可通过支架结构容错性完成精准植入。经科技部查新确认,该技术方案国内外均无类似报道,具有显著创新性。

主体支架释放后造影

主体支架窗口
与分支动脉开口存在偏差

利用自适应性成功超选左颈总动脉,并置入分支支架

利用自适应性成功超选无名动脉,并置入分支支架

利用自适应性成功超选左锁骨下动脉,
并置入分支支架

术后造影

术后CTA


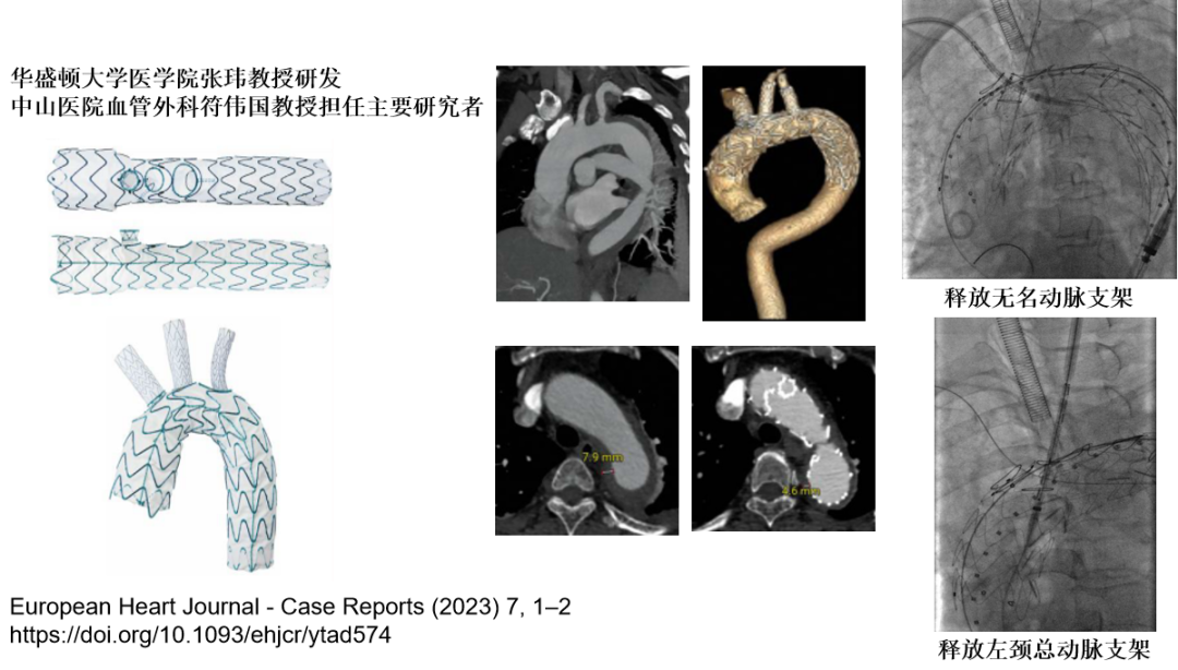
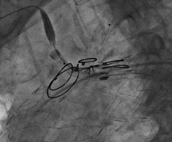
经股动脉全腔内弓部三分支支架系统
病例展示
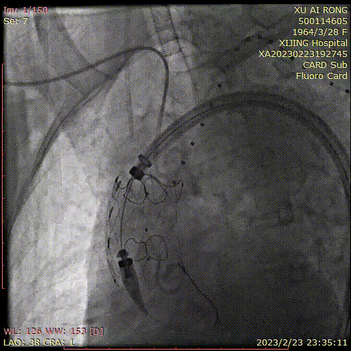
★ 病例1
韩某,男,53岁,“查体发现主动脉弓部溃疡15天”入院,主动脉CTA提示:主动脉溃疡(弓部);2. 主动脉壁内血肿。患者高血压病史8年,最高210/130mmHg,无规律服药。

术前 CTA

术前造影


导入弓部
主体支架

释放弓部
主体支架


超选左颈总动脉
超选无名动脉
并预置导丝

导入左颈总
支架并释放


超选无名动脉

导入无名动脉
支架并释放


超选左锁骨下
动脉

导入左锁骨下动脉
支架并释放

导入并释放远端支架

术前

术后
手术用时115分钟

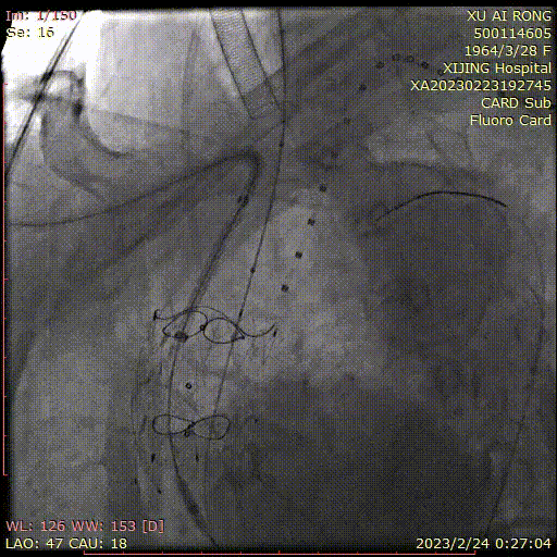
★ 病例2
曹某,男,74岁,“胸背部疼痛10天”入院,主动脉CTA提示:主动脉弓可见多发穿透溃疡,较大之一径约1.2cm。高血压病史10年,血压最高190/80mmHg,糖尿病史12年。

术前CTA

术前

术后
手术用时80分钟

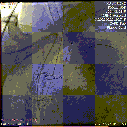
★ 病例3
顾某,男,50岁,“胸背部疼痛3天”入院,主动脉CTA提示:主动脉夹层(多发性主动脉弓部溃疡);2.降主动脉假性动脉瘤;3.主动脉壁内血肿(B型)。

术前CTA

术前造影

术后造影
手术用时140分钟

★ 病例4
王某,女,56岁,“突发胸背痛15小时”入院,主动脉CTA提示:升主动脉-腹主动脉管腔外可见新月形低密度影,主动脉弓前部可见溃疡,大小约0.6cm。

术前CTA

术前造影

术后造影
手术用时 95分钟

★ 病例5
曹某,男,58岁,“左颈部疼痛伴胸背部疼痛14天”入院,主动脉CTA提示:主动脉弓部夹层,夹层累及左颈总动脉和左锁骨下动脉起始部,弓降主动脉假腔形成,部分已血栓化。

术前CTA

术前造影

术后造影
手术用时 102 分钟

★ 病例6
曹某,男,58岁,“查体发现弓部溃疡3天”入院,主动脉CTA提示:主动脉弓部溃疡。

术前CTA

术前造影

术后造影
手术用时 98 分钟

★ 病例7
孙某,男,68岁,“胸背部疼痛6天”入院,主动脉CTA提示:主动脉弓部夹层伴溃疡。

术前CTA

术前造影

术后造影
手术用时 109 分钟

★ 病例8
罕某,男,65岁,“发现主动脉弓部瘤5月”入院,主动脉CTA提示:主动脉弓部瘤。

术前CTA

术前造影

术后造影

手术用时 125 分钟

★ 病例9
郭某,男,45岁,“突发胸背部疼痛18小时”入院,主动脉CTA提示:主动脉弓降部夹层。

术前CTA

术前造影

术后造影
手术用时 110 分钟

★ 病例10
王某,男,67岁,“查体发现主动脉弓部动脉瘤7天”入院,主动脉CTA提示:主动脉弓部夹层动脉瘤。

术前CTA

术前造影

术后造影
手术用时 80 分钟

★ 经股动脉全腔内弓部三分支支架系统
向下滑动查看






结语
易于操作、安全性高、并发症少的商品化弓部腔内支架是未来全弓部腔内治疗的发展方向
伴随弓部腔内支架及技术的日渐完善全腔内时代即将到来
专家介绍

左健 教授
空军军医大学西京医院
心脏大血管外科
主任医师、教授
中国医师协会腔内血管学专业委员
中国医师协会陕西省血管外科副主任委员
陕西省介入放射学会常委
中国研究型医院学会血管医学专业委员会常务委员
中国心脏病专家委员会
亚太心血管病委员
心脏杂志编委
全国先心病及动脉瘤介入治疗专家,率先在国内开展先心病的介入封堵治疗及动脉瘤介入腔内治疗。无论在数量及质量方面都均在全国前列,同时在国内率先开展复杂先心病及动脉瘤的相嵌杂交治疗,取得良好的效果。
国家863支撑计划《复杂先心病的介入治疗》主要负责人,国家十二五课题支撑计划《国人主动脉瘤夹层发病危险因素及临床治疗关键技术的研究》主要负责人,2011年军队医疗成果一等奖2015年获中华科技进步一等奖1项,2016年获国家科技进步二等奖1项