CEC2024 | 张军波教授:IVUS在下肢动脉闭塞腔内治疗中的应用



2024年10月31日—11月3日,备受瞩目的第十五届中国血管论坛(CEC2024)于北京盛大召开,国内外专家齐聚一堂共襄盛会。本次大会设置知名专家面对面、中青年专家论坛、学术专题讲座,病例直(录)播、外周血管介入前沿与争锋辩论赛、疑难病例大查房、复杂血管疾病、血管外科危重症管理、血管疾病治疗并发症处理及预防、外周器械新技术新疗法、下肢动脉减容规范化应用最新证据深度解读、国际专场@CEC等热点板块,全面展现最新的血管疾病诊疗方法和技术,为广大血管外科医务工作者及同道提供了一场内容丰富、高质量、高水平的学术盛宴。
本次大会期间,西安交通大学第一附属医院张军波教授为各位专家同道介绍了《IVUS在下肢动脉闭塞腔内治疗中的应用》。本文结合病例与临床研究,探讨IVUS在下肢动脉,特别是股腘动脉病变介入治疗中的应用价值。欢迎阅读。
演讲题目:
《IVUS在下肢动脉闭塞腔内治疗中的应用》
演讲嘉宾:
张军波教授
单位:
西安交通大学第一附属医院
前言
下肢动脉硬化闭塞症是常见的周围血管疾病。对于股腘动脉等部位的病变,尤其是慢性完全性闭塞(CTO)和严重钙化病变,治疗策略的选择至关重要。近年来,减容技术(如Rotarex血栓切除系统、斑块旋切等)的应用率显著上升,从2010年的10.3%增至2018年的25.6%,逐渐成为主流方案之一。然而,如何精准评估病变性质、选择合适的器械并确认治疗效果,是确保手术成功和维持血管长期通畅的核心。IVUS正是在这一背景下凸显其独特优势。
IVUS的核心应用价值
IVUS通过提供高分辨率的血管横断面图像,主要在以下四个方面为介入治疗提供关键信息:
1
评估斑块性质与几何结构
斑块性质: IVUS可以清晰区分软斑块、纤维斑块、钙化斑块和血栓。不同性质的斑块需要不同的处理策略。例如,对于钙化斑块,可能需要选择旋磨、切割球囊或冲击波球囊;对于血栓负荷重的病变,则可优先考虑机械血栓清除。
斑块几何结构: IVUS能准确判断斑块是偏心性还是同心性分布。这对于定向斑块旋切术的决策以及激光能量设置等精准治疗至关重要。


2
精确测量血管尺寸
多项研究证实,DSA往往会低估血管的真实直径。一项针对1,967处股腘动脉病变的研究发现,IVUS测量的参考血管直径平均比DSA大1mm左右,在小血管、双侧钙化和CTO病变中差异更为显著。精确的血管尺寸测量是选择合适尺寸的球囊、支架或减容装置的基础,直接关系到器械的贴壁情况、药物输送效率以及远期通畅率。

3
确认导丝位置
在CTO病变开通过程中,导丝可能位于真腔、内膜下甚至中膜层。DSA有时难以准确判断。IVUS可以明确导丝的位置,这对于后续治疗策略有决定性影响。若导丝位于内膜下,贸然使用Rotarex等减容装置可能引发血管穿孔等严重并发症。而确认真腔通过后,方可安全进行后续操作。

4
评估血管准备效果与识别夹层
球囊扩张或减容后,DSA对夹层的评估存在局限性,常会低估其严重程度。IVUS能更敏感地发现和评估夹层的范围、深度和弧度。有研究指出,IVUS评估的夹层弧度是预测药物涂层球囊(DCB)成形术后再狭窄的重要指标,临界值为64°。这有助于术者决定是否需要进行进一步的球囊扩张或支架植入。

临床研究与病例分享
01
IVUS-DCB研究
韩国一项多中心随机对照试验纳入237例症状性股腘动脉疾病患者,比较了IVUS+DSA指导与单纯DSA指导下的DCB治疗。结果显示,IVUS组在手术成功率、最小管腔直径获得方面更具优势。更重要的是,IVUS组术后12个月的一期通畅率显著高于DSA组(83.3% vs. 70.1%)。亚组分析显示,对于复杂的TASC-II C/D型病变,IVUS带来的获益更为显著(一期通畅率:84.8% vs. 54.7%)。这表明IVUS指导下的介入治疗,尤其是通过获得更大的初始管腔,能有效改善远期预后。
02
IVUS避免潜在风险
病例1(股腘动脉CTO):
一例重度间歇性跛行患者,导丝通过股腘动脉CTO病变后,若仅凭DSA判断,可能直接进行Rotarex减容。但IVUS检查发现导丝实际位于内膜下(假腔)。此时若进行减容,风险极高。术者遂调整策略,改用球囊扩张后植入Viabahn支架,成功避免了严重并发症。

图:术前造影

图:术前超声

图:Straub Rotarex减容

图:POBA后5-300mmDCB

图:术后造影

图:术后管腔
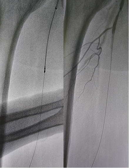
病例2(股腘动脉长段闭塞):
另一例长段闭塞病变,IVUS证实导丝真腔通过后,指导术者选择了合适尺寸的Rotarex导管进行减容,联合普通球囊(POBA)预扩及DCB治疗,获得了满意的管腔,避免了支架植入。


图:导丝通过后3mm球囊预扩


图:多处假腔通过,遂5mm球囊预扩


图:一期支架植入
03
冲击波球囊在严重钙化病变中的应用
对于严重钙化病变,传统球囊扩张效果不佳,夹层发生率高。冲击波球囊(IVL)技术为处理钙化病变提供了新选择。Disrupt PAD III研究显示,与单纯POBA+DCB相比,IVL+DCB方案的手术成功率更高(65.8% vs. 50.4%),限流性夹层发生率更低(1.4% vs. 6.8%),补救支架植入率显著降低(4.6% vs. 18.3%),且2年一期通畅率更优(70.3% vs. 51.3%)。IVUS在此类病变中能精准评估钙化范围和程度,指导IVL球囊的尺寸选择和治疗位点。

图:严重钙化病变

图:钙化病变

图:5.0震波球囊

图:DCB处理
总结与展望
IVUS在下肢动脉介入治疗中扮演着“火眼金睛”的角色,其价值主要体现在:
精准诊断: 全方位评估斑块性质、血管结构和导丝位置。
指导策略: 基于精准信息,制定个体化的治疗策略(减容、DCB、支架等)。
优化操作: 指导器械尺寸选择,提升手术成功率。
改善预后: 通过优化血管准备和评估效果,降低再狭窄率,提高远期通畅率。
尽管IVUS的应用存在学习曲线、费用增加和医保限制等挑战,但其带来的临床获益是明确的。随着技术普及和证据积累,IVUS有望成为复杂下肢动脉病变,特别是TASC C/D型病变和钙化病变腔内治疗的标准配置,推动外周介入治疗迈向更精准的时代。
专家介绍

张军波教授
西安交通大学第一
附属医院
周围血管外科
副主任医师
陕西省健康促进与教育协会糖尿病足专业委员会副主任委员
陕西省中西医结合学会周围血管专业委员会副主任委员
陕西省外周血管介入质量控制委员会委员兼肢体动脉介入组组长
中国医师协会胸痛专业委员会主动脉学组委员
中国医师协会腔内血管学专业委员会炎性血管疾病专委会委员
中国研究型医院协会心血管影像专业委员会委员
中国微循环学会周围血管疾病委员会中青年委员
中国中西医结合学会周围血管专业委员会青年委员
中国中西医结合学会糖尿病足专家委员会青年委员
国际血管联盟中国分会静脉血栓栓塞症专家委员会委员
陕西国际医学交流促进会胸痛专家委员会常务委员
陕西保健协会周围血管专业委员会常务委员
陕西医师协会腔内血管学专业委员会常委兼副总干事
参与编写《静脉血栓栓塞症机械预防中国专家共识》,参编《中国血栓性疾病防治指南》《中国中西医结合糖尿病足防治专家共识》等指南和共识共3部。《临床军医杂志》编委,《translational surgery》杂志青年编委。