CEC2024 | 胡佳教授:创新技术/器械治疗主动脉弓部疾病经验分享



2024年10月31日—11月3日,备受瞩目的第十五届中国血管论坛(CEC2024)于北京盛大召开,国内外专家齐聚一堂共襄盛会。本次大会设置知名专家面对面、中青年专家论坛、学术专题讲座,病例直(录)播、外周血管介入前沿与争锋辩论赛、疑难病例大查房、复杂血管疾病、血管外科危重症管理、血管疾病治疗并发症处理及预防、外周器械新技术新疗法、下肢动脉减容规范化应用最新证据深度解读、国际专场@CEC等热点板块,全面展现最新的血管疾病诊疗方法和技术,为广大血管外科医务工作者及同道提供了一场内容丰富、高质量、高水平的学术盛宴。
本次大会期间,四川大学华西医院胡佳教授为各位专家同道介绍了《创新技术/器械治疗主动脉弓部疾病经验分享》。欢迎阅读。
演讲题目:
《创新技术/器械治疗主动脉
弓部疾病经验分享》
演讲嘉宾:
胡佳教授
单位:
四川大学华西医院
开放手术的创新
从单分支到双分支支架
开放手术中的器械改良
开放手术方法和器材的改进——Fontus术中单分支支架
传统痛点:处理累及左锁骨下动脉(LSCA)的病变时,需在深低温停循环下于LSCA远端吻合,延长停循环时间,增加脑损伤风险。
创新方案:使用Fontus单分支支架,可在常温或浅低温下直接重建LSCA,显著缩短停循环时间。
复杂病例拓展:成功用于既往接受过“烟囱支架”植入后发生逆撕A型夹层的患者。通过开窗技术将漂浮的烟囱支架拉出,再与单分支支架人工血管段吻合,避免了深部远端吻合。

Fontus术中单分支支架
开放手术中的多项改良及进展
Fontus术中单分支支架经验


缩短体外循环和/或深低温停循环时间
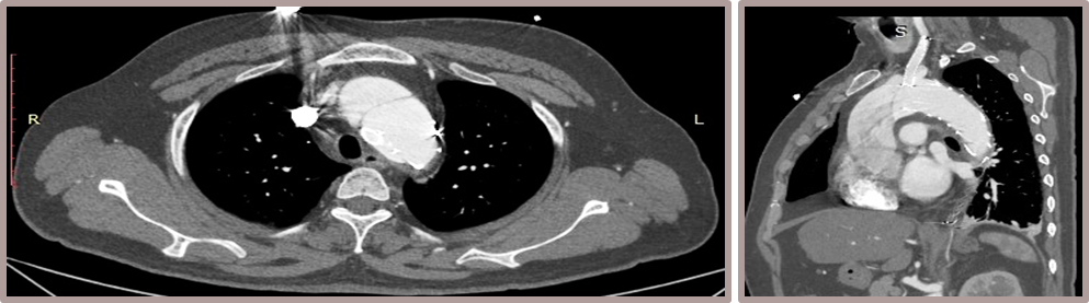
★ Case 1
男性,42岁,胸痛3天;
既往史:高血压,规律服用降压药物;
手术史:10年前外院行主动脉腔内修复+左颈总及左锁骨下烟囱支架植入;
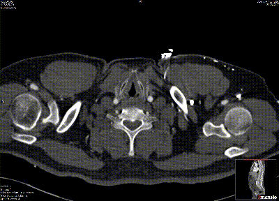
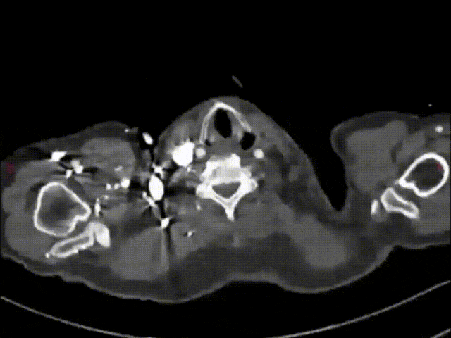
夹层动脉瘤CTA:逆撕A型主动脉夹层,升主动脉及无名动脉见夹层累及,左颈总及左锁骨下动脉烟囱支架。



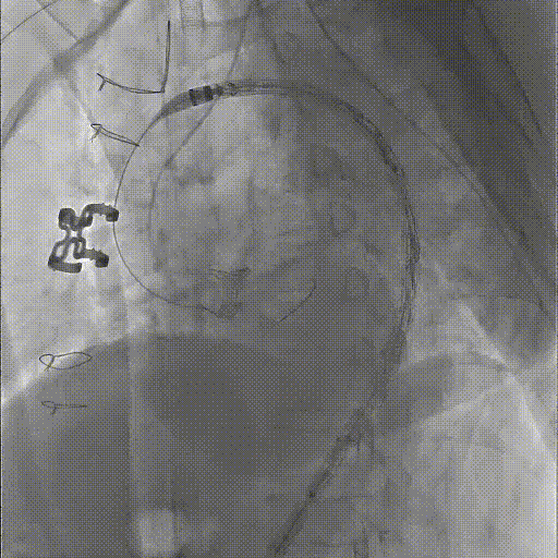
术前影像
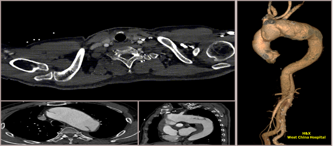
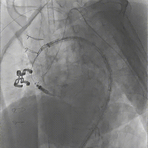
剪除部分覆膜支架及左锁骨下烟囱支架
植入术中单分支支架
术中单分支支架开窗及加固


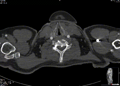
术后影像

术后CTA
PerMed术中双分支支架




★ Case 2
男性,50岁,胸痛7+小时;
既往史:既往诊断高血压,未规律服药及监测血压;
个人史:吸烟30余年,日均20支;
夹层动脉瘤CTA:A型主动脉夹层,初破口位于主动脉弓近端,逆撕至主动脉根部,左颈总动脉及左锁骨下动脉根部受累,夹层远端累及至双侧髂动脉。

术前影像

置入双分支术中支架

术后影像


杂交手术的优化
微创化与分期理念

中国专家共识 Hybrid 技术分型
标准化杂交(Type II Hybrid)
适用:A型夹层累及弓部近端。
流程:升主动脉置换 + 腔内支架重建弓部分支。
创新点:
对于LSCA起源位置较低者,采用原位开窗或体外开窗技术,避免颈部小切口,仅通过外周穿刺即可完成。
推广“胸骨上段小切口”入路,减少创伤。
改良II型杂交(体外循环,非深停)
升主动脉置换
无名/左颈总动脉去分支


胸骨上段小切口

改良II型杂交(体外循环,非深停)
分期杂交(Practicalo 理念)
适用:A型夹层合并远端脏器灌注不良的危重患者。
策略:
一期:先行逆向杂交手术,恢复腹腔干、肠系膜上动脉等远端灌注;
二期:待患者全身状况稳定后,再处理近端主动脉病变。
优势:显著改善高危患者的生存率。
弓部创新支架
ZIPPERTM主动脉弓覆膜支架系统
一体化弓部覆膜支架含一个外分支+两个内分支;
一体化弓部覆膜支架近端束径精准定位后释放;
弓部凹槽设计保障释放后弓上分支血供;
预置导丝建立右肱-股动脉通路辅助头臂干支架置入。


ZIPPERTM主动脉弓覆膜支架系统
★ Case 3
男性,61岁,Bentall术后1年,主动脉弓部夹层;
既往史:高血压3级;
夹层动脉瘤CTA:A型主动脉夹层术后残余主动脉弓部夹层,头臂干及左颈总动脉根部夹层累及,向下累及胸腹主动脉至髂血管平面。


术前影像


造影后经股动脉导入并释放限制支架



经股动脉导入主体支架,抓捕无名动脉预留导丝,支架导入升主动脉


造影定位后释放主体支架

经股动脉依次超选导入分支支架,释放并球囊扩张,术毕造影


术后复查

三个穿刺点(双侧肱及单侧股动脉)无需颈部切口/穿刺

First In Man早期结果
全腔内修复的探索
针对特定人群
全腔内修复
Total Endovascular Arch Repair
优势:
避免体外循环及深低温停循环
手术创伤小,术中出血少
缺点:
noff-label 使用, 成熟商品...
弓上分支重建
预开窗
原位开窗
烟囱支架
近端锚定区
弹性回弹力

Wheat术后弓部新发夹层



弓上三分支原位开窗
股-颈动脉转流
释放远端限制性支架+近端主体支架
无名动脉原位开窗+支架植入
左颈总动脉原位开窗+支架植入
左锁骨下动脉原位开窗+支架植入
弓部创新支架


弓上三分支预开窗+ 内分支缝制
弓上分支体外预开窗+内分支缝合
释放远端限制支架+近端主体支架
弓上分支支架植入
弓部创新支架

WeFlow Tribranch模块化三分支支架系统
★ Case 4
男性,71岁,间断胸痛半年,加重7+天
高血压1+年,收缩压最高160+ mmHg
既往史和手术史:保守治疗1+月,弓部血肿增厚,胸痛加重
夹层动脉瘤CTA:主动脉夹层(非A非B型),累及主动脉弓至腹腔干发出平面以上腹主动脉,真腔小,假腔大;主动脉弓及左颈总动脉、左锁骨下动脉近端管径增粗,合并壁内血肿


术前影像


股-升主动脉支架


颈-无名动脉+左颈总动脉支架


股-弓部+左锁骨下动脉支架


术后复查
弓部创新支架
创心主动脉A型综合征全腔内重建系统

★ Case 5
男性,79岁,胸痛10+天
既往史:既往诊断高血压,未规律服药及监测血压
个人史:吸烟40余年,日均20支
头颈部CTA提示:颅内大脑后动脉P2段重度狭窄
夹层动脉瘤CTA:升主动脉局限性夹层、主动脉壁内血肿合并穿透性溃疡



术前影像



主动脉造影后,降主动脉限制支架置入,导入近端主体支架



升主动脉后造影定位后,释放近端主体支架,术毕造影

术后复查

First In Man早期结果
结语
主动脉弓存在着多种解剖变异,血流动力学复杂,外科治疗需个性化选择;
主动脉弓存在着多种解剖变异,血流动力学复杂,外科治疗需个性化选择;
弓部疾病的治疗——HENDO体系(开放手术、杂交手术、全腔内手术);
主动脉弓存在着多种解剖变异,血流动力学复杂,外科治疗需个性化选择;
弓部疾病的治疗——HENDO体系(开放手术、杂交手术、全腔内手术);
各类主动脉腔内器械的优化创新:更简化的操作、持续改善的近远期获益。
专家介绍

胡佳教授
四川大学华西医院
心脏大血管外科副主任
主动脉外科主任
博士生导师
擅长胸腹主动脉疾病的微创手术治疗(主动脉夹层及动脉瘤、主动脉壁内血肿、主动脉溃疡)、心脏瓣膜病胸腔镜微创手术(包括瓣膜置换或成形)、冠心病外科治疗。曾获中华医学会科技进步三等奖、四川省医学科技奖(青年奖)三等奖、第十二批四川省学术和技术带头人后备人选、第十四批四川省卫生健康委员会学术技术带头人后备人选、中华医学会胸心血管外科分会新秀奖、中国医师协会优秀青年医师最高奖等。
2012年7月博士毕业于香港中文大学医学院外科学系,于2013年初回华西医院工作。2015年9月晋升副教授,破格成为硕士生导师,2019年破格晋升博士生导师。主要从事心脏大血管外科临床医疗工作,诊治各类复杂重症成人心脏外科疾病经验较为丰富,并致力于新技术的探索和实施,在心脏瓣膜外科,房颤外科治疗和冠心病外科治疗方面颇有建树。尤其在各类复杂主动脉疾病的微创腔内修复和杂交手术治疗方面处于国内先进水平,目前已独立成功开展>1500例危重主动脉疾病的微创/杂交手术治疗。
2015年底创新性地完成国内首例Marfan患者Bentall术后复发急性A型主动脉夹层的全腔内修复治疗,相关创新技术文章发表于Journal of Thoracic & Cardiovascular Surgery,受到国际同行高度评价;2019年初完成国际首例改良血流调节器治疗A型夹层开放术后远端残余夹层的全程主动脉腔内修复。目前负责2项国家自然科学基金,2项四川省科技厅课题,另作为主研参与4项国家自然科学基金,作为华西中心负责人参加多项腔内血管器械的多中心临床研究。近5年作为第一作者/通讯作者已发表SCI收录论文55篇,中文核心期刊34篇,获得专利9项。担任SCI收录期刊Journal of Cardiothoracic Surgery, Phytomedicine, International Journal of Cardiology的特邀审稿专家。在国际上率先提出并实施“逆向分期杂交手术治疗复杂性钝性外伤性胸主动脉损伤”及“PETTICOAT联合逆向分期II型杂交技术治疗A型主动脉夹层合并灌注不良综合征”,改善该类危重患者救治成功率。参与《心脏大血管外科止血材料、药物及血液制品应用专家共识》和《杂交技术治疗累及弓部主动脉病变的中国专家共识》2项主动脉疾病外科治疗国家级指南的制定与执笔。近年来积极开展心脏瓣膜及主动脉疾病治疗领域的临床新技术5项,同时注重医工结合、创新转化,主持或参与多款创新性主动脉支架的研发改良,改善患者就医体验,促进学科微创化发展。先后多次成功开展国际性、全国性或地区性创新手术,相关新技术已在国际顶级权威杂志上发表,并获行业专家肯定和好评,华西医院新闻均有报道。学术交流方面,除积极参与国际及国内相关大型学术会议并发言外,已连续举办三届天府大血管大会。作为国家健康科普专家库成员,积极承担社会责任,参与文案、视频公众号、专访等多类型、多病种的科普宣传,向同行和大众普及最新的医学知识和提高公众健康意识贡献力量。