CEC2024 | 李凤贺教授团队:疑难下肢CTO疾病腔内治疗手段选择及病例分享



2024年10月31日—11月3日,备受瞩目的第十五届中国血管论坛(CEC2024)于北京盛大召开,国内外专家齐聚一堂共襄盛会。本次大会设置知名专家面对面、中青年专家论坛、学术专题讲座,病例直(录)播、外周血管介入前沿与争锋辩论赛、疑难病例大查房、复杂血管疾病、血管外科危重症管理、血管疾病治疗并发症处理及预防、外周器械新技术新疗法、下肢动脉减容规范化应用最新证据深度解读、国际专场@CEC等热点板块,全面展现最新的血管疾病诊疗方法和技术,为广大血管外科医务工作者及同道提供了一场内容丰富、高质量、高水平的学术盛宴。
本次大会期间,重庆医科大学附属第一医院李凤贺教授团队为各位专家同道介绍了《疑难下肢CTO疾病腔内治疗手段选择及病例分享》。欢迎阅读。
演讲题目:
《疑难下肢CTO疾病腔内治疗
手段选择及病例分享》
演讲嘉宾:
李凤贺教授
单位:
重庆医科大学附属第一医院
背景介绍

下肢动脉慢性完全闭塞(CTO)病变是外周动脉疾病中的治疗难点,其定义为动脉粥样硬化导致血管完全闭塞且病程超过3个月。随着社会老龄化加剧,此类疾病的全球患病率持续上升,我国患者数量已超过4000万。下肢CTO病变常具有以下特征:病变长度多大于15厘米,近端纤维帽厚硬伴钙化,远端纤维帽较薄,内部存在微通道(直径约100-500μm)或休眠血管。患者临床表现为间歇性跛行、静息痛甚至组织缺损,若不及时干预,截肢风险可达40%–50%。
病例1

01
病例介绍
女,80岁
左下肢静息痛30+天
既往:糖尿病病史30年
入院CTA:双下肢动脉硬化闭塞
ABI:L:0.21;R:0.47
02
术前检查
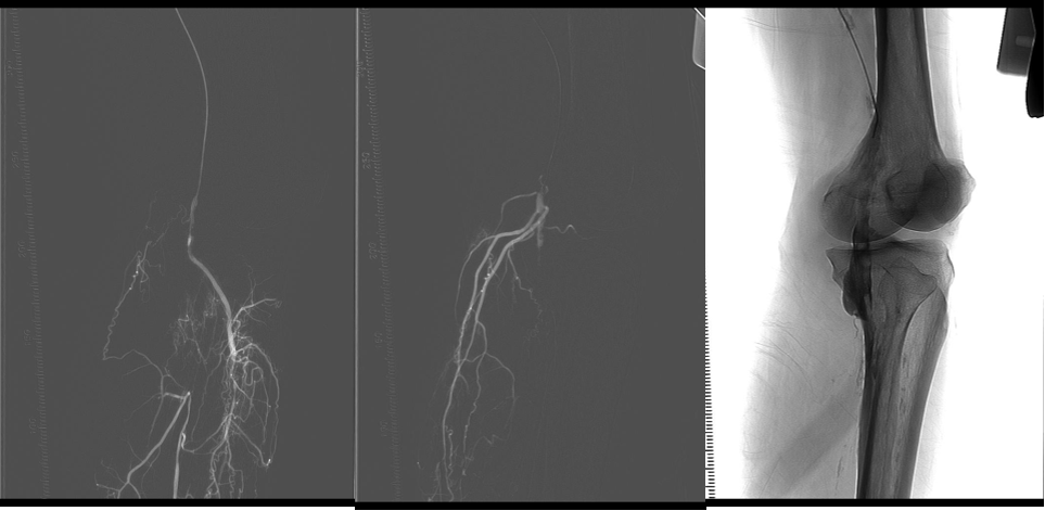
右股总-髂外闭塞,左股-腘动脉全程闭塞,膝下流出道显示不清,重度钙化

图:术前CT


图:造影显示,股腘动脉全程闭塞,膝下流出道差
03
手术过程

图:推送saber球囊

图:开通腘动脉主干

图:4mm/5mm球囊顺序行股腘动脉PTA,3mm球囊行腓动脉PTA

图:由肱动脉先行股动脉支架置入,而后顺行穿刺股总动脉

图:胫腓干夹层,置入3.5mm*35mm药涂支架(冠脉支架)


图:术后造影示股腘动脉、腓动脉及足部动脉显影好
病例2

1
病例介绍
男,84岁;
右下肢动脉支架植入术后4年;间歇性跛行1年,静息痛20+天;
既往:糖尿病病史30年;
ABI:L:0.57;R:0.19;
2
手术过程








图:术中CT
3
手术结果

图:术后效果
病例3

★ 病例介绍
男,81岁;
左足第4、5足趾溃疡2+周
既往:糖尿病病史30年;
ABI:L:0.57;R:0.19
★ 手术过程








图:术中
★ 手术结果

图:手术结果
总结
下肢腔内治疗,难免有“尴尬”时刻,大处着眼,细处着手,问题就是用来解决的,一定程度上,细节真的是可以决定成败。
专家介绍

李凤贺教授
重庆医科大学附属
第一医院
医学博士,副主任医师
副教授
中国医师协会血管外科分会颈动脉学组委员
中国医师协会介入医师分会大血管专委会委员
国家心血管专家委员会血管外科专委会青年委员
中国老年医学学会 周围血管疾病管理委员会委员
重庆市医师协会血管外科分会委员兼秘书
国际脉管联盟中国分部委员。