CEC2024 | 郑永强教授:主动脉弓腔内修复的可行性与疗效



2024年10月31日—11月3日,备受瞩目的第十五届中国血管论坛(CEC2024)于北京盛大召开,国内外专家齐聚一堂共襄盛会。本次大会设置知名专家面对面、中青年专家论坛、学术专题讲座,病例直(录)播、外周血管介入前沿与争锋辩论赛、疑难病例大查房、复杂血管疾病、血管外科危重症管理、血管疾病治疗并发症处理及预防、外周器械新技术新疗法、下肢动脉减容规范化应用最新证据深度解读、国际专场@CEC等热点板块,全面展现最新的血管疾病诊疗方法和技术,为广大血管外科医务工作者及同道提供了一场内容丰富、高质量、高水平的学术盛宴。
本次大会期间,香港大学玛丽医院郑永强教授团队为各位专家同道介绍了《Endovascular Repair in the Aortic Arch: Feasibility and Efficacy》。欢迎阅读。
演讲题目:
《Endovascular Repair in the Aortic Arch: Feasibility and Efficacy》
演讲嘉宾:
郑永强教授
单位:
香港大学玛丽医院
主动脉弓腔内修复的核心并发症风险
主动脉弓解剖结构复杂(涉及头臂干、左颈总动脉、左锁骨下动脉等重要分支),腔内修复的并发症一直是临床关注的重点。专题中明确列出了最需警惕的几类并发症,需在术前评估与术中操作中重点防控:
逆行性A型主动脉夹层(Retrograde Type A dissection)
脑卒中(Stroke)
内漏(Ia型、III型/分支/开窗处)
支架迁移(Migration)
分支血管闭塞(Branch occlusion)
支架贴合不良/鸟嘴征(Conformance/beaking)
其中需要特别强调的是逆行性A型夹层与脑卒中是术后早期最致命的并发症,需从锚定区选择、器械对齐两方面提前防控。


主动脉弓腔内修复的核心并发症风险
临床疗效是判断术式价值的核心,本次汇总了原位分支型支架、胸主动脉腔内修复(TEVAR)、专用分支支架等多种方案的真实世界数据,涵盖技术成功率、并发症率、中长期预后等关键指标。
1
原位分支型主动脉弓修复:
单中心中期结果(Cookvs Terumo)
针对“内部分支型主动脉弓支架(Inner Branched Arch Endo graft)”,中国的一家中心对比了Cook A Branch与Terumo Double Branch两种支架的临床表现,共纳入97例患者(Cook10例,Terumo87例,含11例急诊),中期随访结果如下:Cook 组纳入 54 例(11 例为急诊病例),技术成功率未明确,严重中风发生率 5.9%,短暂性中风发生率 7.8%;Terumo 组纳入 43 例(10 例为急诊病例)。同时在高死亡率、再干预等指标上也存在不同数据表现,可用于分析两种治疗手段在疗效等方面的差异。

研究表明逆⾏A型夹层的发生率较高,除了其近端锚定区选择不当会增加⻛险外,对于亚洲患者解剖特点也会有一定的风险,入⼸部直径超过40mm时,伴有⾎栓时⼿术难度增加;中国患者更年轻,夹层常延伸⾄左颈总动脉起始部。现有器械在亚洲患者中常⾯临锚定区不⾜的问题。


2
国内TEVAR治疗
B型主动脉夹层(TBAD):25年系统综述
一项覆盖1999-2023年(25篇文献、3080例患者)系统综述,分析了TEVAR在复杂TBAD与非复杂TBAD中的疗效差异,结果显示,住院死亡率在2.2%-3.2%区间,中风发生率2.4%,脊髓缺血1.4%,二次干预率为4.9%-5.1%。

在近端密封区选择上,通常需向近端延伸25-30mm以实现更优密封效果,而定制器械凭借开窗设计,能有效增加密封长度。定制化支架技术也至关重要,支架必须精准定位,标记移动易引发开窗错位;同时要做好旋转控制,否则支架旋转不良会提升逆行夹层风险。一旦出现开窗对齐问题,可能导致I型内漏,且长期处理难度大,需借助更复杂的穿通技术纠正分支位置。



3
国际分支支新进展
Gore TAG支架于2022年底获FDA批准,采用单侧臂分支至锁骨下动脉的技术设计,30天结果表现出色,技术成功率达91.7%-97.4%,致残性中风3.6%,永久性截瘫1.2%。


Castor支架则专为B型夹层设计,结合中国患者特点优化,上市前研究提示手术成功率超95%,不过有50%患者撕裂延伸至左锁骨下动脉。上市后研究提示手术成功率达98.15%,分支血管通畅率为100%,再次干预率为0,且住院死亡率、夹层破裂率均为0,相比上市前有明显提升。同时,上市后研究里,术前CTA测量显示撕裂向左侧锁骨下动脉逆行占比为0%,这也从侧面反映出病情特征利于治疗开展。
Castor上市后研究还明确了其解剖适配性:65.8%患者支架着陆于2区(Zone2),52.2%为III型主动脉弓,46.8%患者夹层破口逆行至左锁骨下动脉(LSA),提示其对复杂解剖的适应能力。



第二代分支支架在设计上进一步优化,Cook LSA分支支架(Gen2)采用三角形凹槽设计,要求左颈总动脉与左锁骨下动脉间距25mm,分支开口与织物端距离60mm,其预装导管系统使分支接入更简便,为临床操作提供了便利。








临床经验分享:
香港玛丽医院的实践与启示
香港玛丽医院分享了38例主动脉弓分支支架植入病例的经验,其中28例为A/Br型,8例为B/Br型,1例为L型,患者平均年龄75.5岁,男性34例。30天死亡率为7.8%,手术中风率10.5%(2例严重+2例轻微),再干预率21%,逆行夹层3例,动脉瘤相关死亡2例。
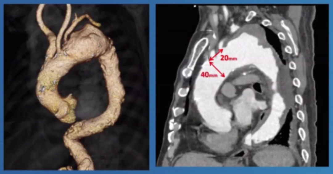
此外,报告强调了健康主动脉的重要性,升主动脉直径<38mm是关键标准。曾有案例显示,在40mm主动脉植入支架后发生灾难性逆行A型夹层,这警示临床医生必须在健康主动脉段锚定,避免在夹层病理区域进行操作。
向下滑动查看







在主动脉介入治疗领域,支架设计持续创新。Terumo双分支支架采用大型矩形凹槽设计,即便旋转90度,仍能顺利接入分支,对于弓部曲线较为紧张的情况适配性更强。不过,该支架也面临技术挑战,手术中需要精准控制支架的旋转与对齐,以确保治疗效果。


深圳设计的支架同样亮点十足。它具有短输送尖端的特点,无需跨越主动脉瓣,部署过程简单,且不需要进行严格的血压控制。支架配备两个平行侧支,搭配低剖面8-9F桥接支架,在接入方式上,采用右臂入路结合左颈动脉小切口的方式,为手术操作提供了便利,也有望为患者带来更优的治疗体验。
向下滑动查看









总结
郑永强教授对主动脉弓修复进行总结,提出基本原则:尽可能向近端延伸(Z0/Z1),避免仅在Z2锚定(密封常不充分),单开窗选择有限,现成单分支支架是可行选择,而核心教训是必须在假体/健康主动脉段锚定,这一结论为临床实践提供了重要的指导原则,推动主动脉弓腔内修复技术向更安全、更有效的方向发展。
专家介绍

郑永强教授
香港大学医学院
外科学系主任
香港大学玛丽医院
血管外科主任
在玛丽医院开设知名的血管外科部门,以及第一个无创性血管实验室是二十多个血管外科学术组织的成员,多个组织的理事或领导
主要研究范畴:研究与周围血管疾病有关的多个课题,特别是流行病学、动脉粥样硬化形成、颈动脉狭窄,动脉瘤的发病机理,血管外科和以血管腔内疗法治疗闭塞及动脉瘤疾病
发表超过二百多篇文章,并撰写本领域多个书本篇章