CEC2024 | 熊江教授团队:应用紫杉醇涂层约束型球囊治疗股浅动脉闭塞病变

17年来,一直陪伴中国血管医生成长 


2024年10月31日—11月3日,备受瞩目的第十五届中国血管论坛(CEC2024)于北京盛大召开,国内外专家齐聚一堂共襄盛会。本次大会设置知名专家面对面、中青年专家论坛、学术专题讲座,病例直(录)播、外周血管介入前沿与争锋辩论赛、疑难病例大查房、复杂血管疾病、血管外科危重症管理、血管疾病治疗并发症处理及预防、外周器械新技术新疗法、下肢动脉减容规范化应用最新证据深度解读、国际专场@CEC等热点板块,全面展现最新的血管疾病诊疗方法和技术,为广大血管外科医务工作者及同道提供了一场内容丰富、高质量、高水平的学术盛宴。
本次大会期间,解放军总医院第一医学中心熊江教授团队为各位专家同道介绍了《应用紫杉醇涂层约束型球囊治疗股浅动脉闭塞病变》。欢迎阅读。
演讲题目:
《应用紫杉醇涂层约束型球囊治疗
股浅动脉闭塞病变》
演讲嘉宾:
熊江教授
朱雅亭医生
单位:
解放军总医院第一医学中心

病例情况
患者女,77岁,主诉双下肢间歇性跛行4年,近8个月症状加重,当前跛行距离缩短至50米,无静息痛及足趾破溃表现。入院前2个月,患者曾于本院接受右下肢动脉球囊扩张术。既往史合并高血压,II型糖尿病以及右乳癌行右侧乳腺切除术。

术前检查
ABI:右侧为0.51;左侧因膝下血管闭塞,ABI未测出。
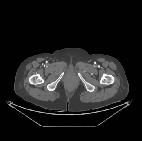
CTA:左侧股浅动脉中上段存在长段狭窄及闭塞病变,病变长度约15cm;膝下三支动脉主干闭塞;足远端经侧支循环显影,且显影速度缓慢。
生化检查:未见明显异常。


CTA

手术方案制定
针对患者左侧下肢“股浅动脉长段闭塞+膝下多支血管闭塞”的复杂病变特征,制定以“先开通流出道、再处理主干病变”为核心的手术计划,具体如下:
入路选择:采用右侧翻山入路,选用6F 55cm长鞘建立操作通道。
股浅动脉开通策略:计划以双向开通方式处理股浅动脉闭塞段,备逆穿技术;操作器械选用V18导丝、支撑导管,预扩张阶段使用4.0×150mm PTA球囊。
膝下流出道开通策略:同样采用双向开通方式,备逆穿技术;器械选择V18导丝、支撑导管,预扩张使用2.0mm或3.0×200mm PTA球囊,目标为开通至少1根完整膝下流出道血管。
主干病变治疗器械:选用5.0×200mm紫杉醇涂层约束型球囊用于股浅动脉病变段治疗,同时备6.0mm规格补救性支架(具体长度根据术中病变实际测量结果确定)


具体手术操作
1
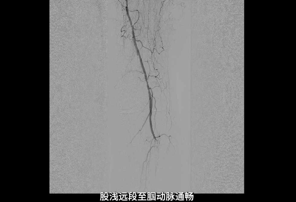
术中造影确认病变
左侧股浅动脉中上段明确长段狭窄并闭塞,病变长度约15cm,股浅动脉远段至腘动脉管腔通畅。


膝下动脉三支主干均闭塞,胫后动脉远端经侧支循环显影;腓动脉远端为“休眠血管”,通过与胫后动脉的交通支实现逆向显影。


2
股浅动脉闭塞段开通
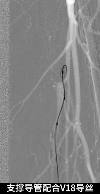
首先尝试顺行通过股浅动脉闭塞段,导丝进入内膜下,开通失败;遂改为逆穿策略,以支撑导管配合V18导丝逆行通过股浅动脉闭塞段,最终与近端股浅动脉真腔成功对接,建立安全操作轨道。



沿已建立轨道,选用4.0×150mm PTA球囊对股浅动脉闭塞病变段进行预扩张,为后续药物球囊治疗创造条件。


3
膝下流出道开通
顺行开通尝试:以V18导丝配合支撑导管顺行开通胫腓干,导丝进入内膜下,开通受阻。


逆穿技术应用:改为逆穿胫后动脉远端,支撑导管配合V18导丝经交通支逆行进入腓动脉远端,逐步推送导丝导管通过胫腓干闭塞段,直至腘动脉近端真腔,与近端导管完成对接,建立膝下流出道操作轨道。



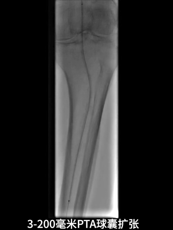
流出道扩张与优化:使用3.0×200mm PTA球囊对“胫腓干-腓动脉”全程进行扩张;


更换0.014系统导丝,经交通支选入胫后动脉远端,


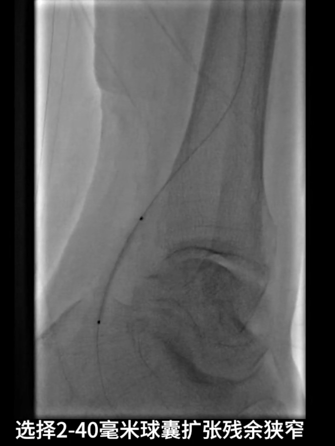
再以2.0×40mm球囊扩张残余狭窄,并压迫远端逆行穿刺点止血,确保膝下流出道通畅。


4
紫杉醇涂层约束型球囊治疗
膝下流出道开通后,再次造影评估股浅动脉病变段,显示预扩张后存在多发夹层。

引入5.0×200mm紫杉醇涂层约束型球囊,对股浅动脉病变全程进行扩张,扩张时间维持5分钟。

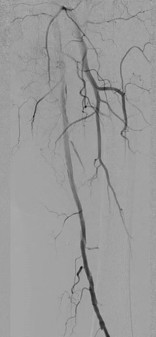
术后造影验证:股浅动脉管腔恢复通畅,无明显残余狭窄,局限夹层未对血流造成影响,无需植入补救性支架;膝下腓动脉流出道通畅,胫后动脉至足底动脉血流连续,足部血流灌注显著改善。



治疗体会与临床思考
病变处理顺序的重要性
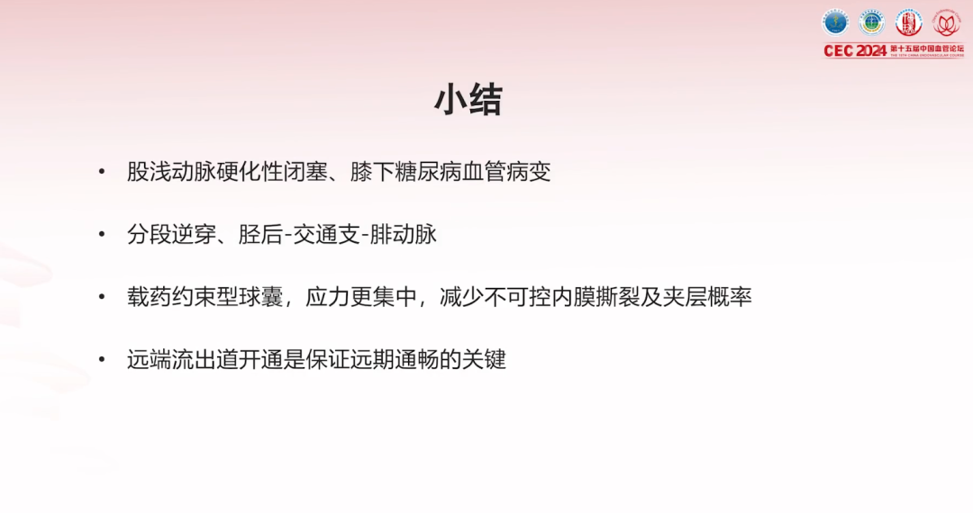
对于合并股浅动脉硬化性闭塞与膝下糖尿病血管闭塞的广泛病变,需优先开通膝下流出道。远端流出道的通畅性是保障主干病变治疗远期效果的关键,若流出道未有效开通,即使主干病变处理完善,仍可能导致术后症状复发及通畅率下降。
逆穿技术的临床价值
在顺行开通困难的复杂病变中,“股浅动脉远端逆穿”“胫后动脉-交通支逆穿”可作为有效补充手段,尤其适用于术前无明确完整流出道的病例,能够高效建立安全操作轨道,提升病变开通成功率
紫杉醇涂层约束型球囊的优势
该类型球囊在扩张过程中应力更集中,可有效减少操作相关的不可控内膜撕裂及广泛夹层发生风险,降低补救性支架植入率,在股浅动脉长段闭塞病变治疗中展现出良好的安全性与有效性。
本病例通过合理的手术策略制定、精准的器械选择及关键技术应用,成功实现左侧下肢动脉病变的有效开通,为同类复杂股浅动脉闭塞病变的临床治疗提供了实践参考。

专家介绍

熊江教授
解放军总医院第一医学
中心血管外科主任医师
教授、博士生导师
博士后合作导师
北京市科技新星,总后首届优秀青年人才扶持对象,首届“国之名医-优秀风范”,北京市重点实验室PI。主持军队重点课题2项,国家自然科学基金3项,科技部重点研发计划1项,中国博士后基金1项,北京市课题4项,广东省课题1项,发表SCI论文44篇,总影响因子156分(中科院JCR TOP期刊论著4篇),10分以上2篇。获国家科技进步一等奖、军事科学技术一等奖、北京市科技进步二等奖、军队医疗成果一等奖、军事科学技术二等奖、广东省科学技术一等奖、华夏医学科技一等奖、解放军总医院科技进步二等奖等。
任中国研究型医院学会血管医学专委会常委兼秘书长。

朱雅亭教授
解放军总医院第一医学中心血管外科
副主任医师、医学博士
博士后
中国老年保健协会静脉病专委会委员
亚太血管学术联盟血管病专家委员会委员