CEC2024 | 王盛教授团队:股浅动脉支架内再闭塞的腔内治疗



2024年10月31日—11月3日,备受瞩目的第十五届中国血管论坛(CEC2024)于北京盛大召开,国内外专家齐聚一堂共襄盛会。本次大会设置知名专家面对面、中青年专家论坛、学术专题讲座,病例直(录)播、外周血管介入前沿与争锋辩论赛、疑难病例大查房、复杂血管疾病、血管外科危重症管理、血管疾病治疗并发症处理及预防、外周器械新技术新疗法、下肢动脉减容规范化应用最新证据深度解读、国际专场@CEC等热点板块,全面展现最新的血管疾病诊疗方法和技术,为广大血管外科医务工作者及同道提供了一场内容丰富、高质量、高水平的学术盛宴。
本次大会期间,首都医科大学附属北京安贞医院王盛教授团队为各位专家同道介绍了《股浅动脉支架内再闭塞的腔内治疗》。欢迎阅读。
演讲题目:
《股浅动脉支架内再闭塞的腔内治疗》
演讲嘉宾:
王盛教授
杨燎医生
刘硕医生
单位:
首都医科大学附属北京安贞医院
病例简介
患者男,67岁,因 “8年前因左下肢间歇性跛行接受 “左股浅动脉药物涂层球囊扩张+支架置入术”,再发1年” 就诊。左下肢跛行距离缩短至 100m,伴小腿发凉,无静息痛。

术前影像学检查
外院 CTA 提示 “左股浅动脉闭塞(支架内闭塞)”;外周血管超声显示踝肱指数(ABI)左0.42、右0.49,提示左下肢血流灌注明显受损。

手术过程
1
穿刺与造影定位
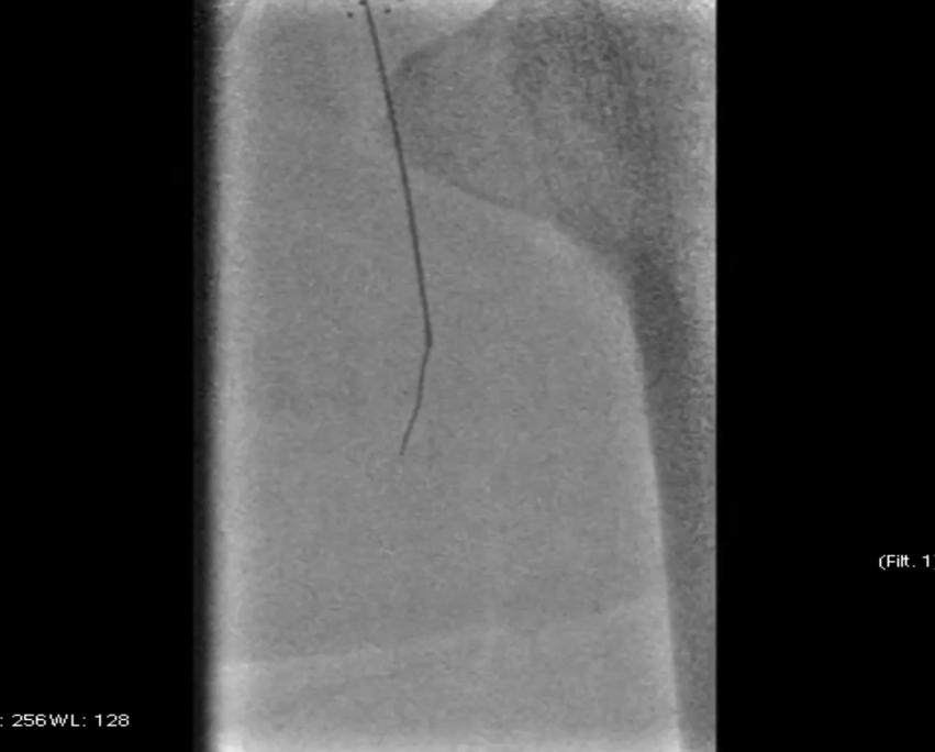
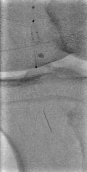
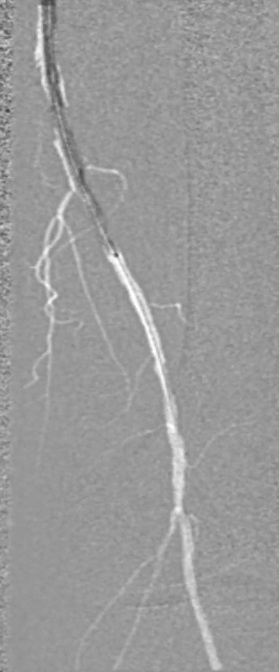
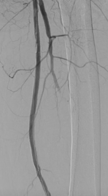
穿刺右侧股总动脉,置入8F翻山鞘,行左下肢动脉造影,可见左股浅动脉长段闭塞,远端流出道尚通畅。

既往支架已遮盖股浅动脉起始段

2
病变开通
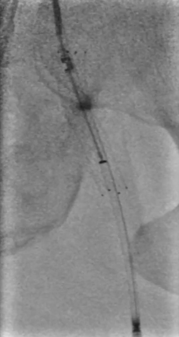
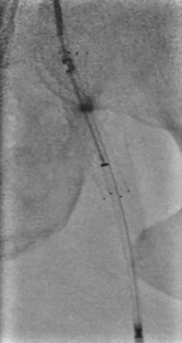
操作要点:在路径图引导下,使用超滑导丝配合6F导管选择进入支架近端(避免导丝从支架网眼穿出),随后采用新型超声开通导管尝试开通病变段。

器械优势:超声导管头端可发射超声波,能轻松通过坚硬闭塞部分;
注意事项:该导管硬度较大、方向选择性差,需配合V18导丝引导,推进时需缓慢操作并密切关注患者疼痛等不良反应。

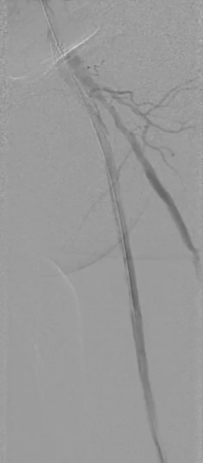
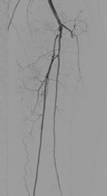
调整与确认:开通至股浅动脉中段后,发现导丝向另一个方向打弯,退回后重新选择路径,最终顺利送至股浅动脉远端真腔,造影证实开通成功。



3
减容处理:新一代定向斑块旋切系统应用
考虑到超声导管的使用以及导丝通过时顺滑度,认为病变大部分是真腔通过,因此考虑对股浅动脉减容处理。

预扩张:先用3mm球囊对病变段预扩张,便于后续器械导入。

保护伞置入:于腘动脉P2段水平放入6mm Spider 保护伞,预防栓塞。
定向旋切:采用新一代Hawk-Plus定向斑块旋切装置进行减容。对于支架内闭塞段,放大图像,确保刀头在可视范围内,反复旋切至接近支架边缘;


对于支架远端病变段,分别采用4个方向各旋切1次,完成初期减容。

器械优势:刀头弧度更大,与血管壁接触面积广,切除效率更高;


4
并发症处理与管腔优化
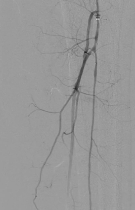
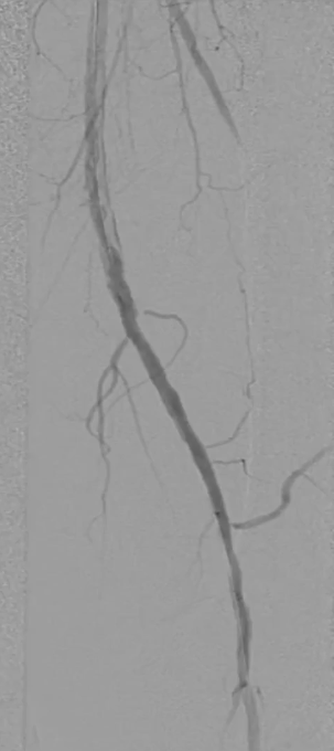
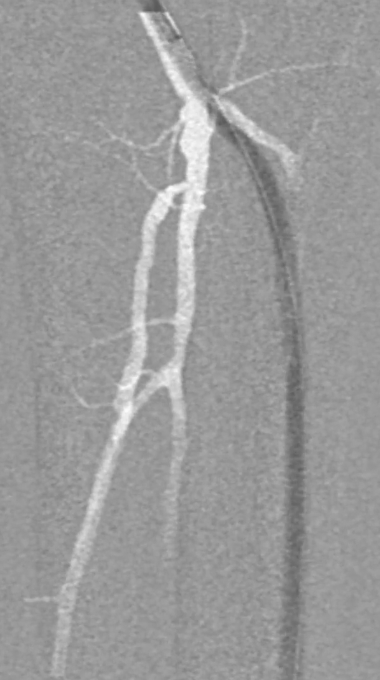
栓塞处理:造影发现管腔获得尚可,但是流速明显较慢,考虑保护伞上方管腔闭塞(考虑斑块/血栓脱落),用6F导管反复抽吸后收回保护伞。


夹层发现及处理:
更换V18导丝后造影显示,胫后动脉血流通畅,胫前动脉疑似仍有小的血栓脱落,导致栓塞。


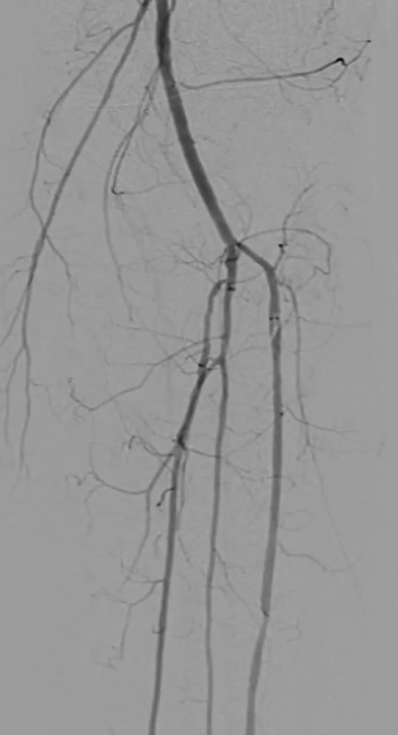
股浅动脉全程管腔获得尚可,但中段有明显的夹层形成,

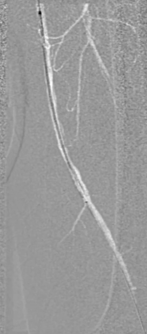
先用5mm长球囊充分预扩张;再次造影显示,股浅动脉近中段管腔获得良好,中远段仍有大量的夹层


采用药物涂层球囊(DCB)对股浅动脉病变段全程覆盖:近端用5-250新型药涂球囊,远端用5-150 impact 药涂球囊;



造影显示中段仍有局限性夹层,为保证远期通畅率,植入补救性支架并以5mm球囊后扩张


5
远端分支处理
造影发现颈前动脉疑似小血栓栓塞,尝试超选后用 3mm 普通球囊扩张,血流恢复(远端膝下三分之二流速尚可),因手术时间及患者配合度限制,未进一步处理。






术后处理
抗栓方案:阿司匹林+氯吡格雷+2.5mg利伐沙班 “加强版双通道抗栓”,以降低再闭塞风险。

病例亮点及总结
新型超声开通导管的应用:该器械目前处于临床阶段(未上市),对坚硬闭塞病变的开通效率显著,为复杂闭塞提供了新工具;
新一代Hawk-Plus旋切系统的优势:通过优化刀头设计,提升了斑块切除效率,尤其适用于支架内再闭塞的减容处理;
综合策略的应用:结合超声开通、定向旋切、DCB 及补救性支架,兼顾短期开通与长期通畅率。
该病例展示了复杂股浅动脉支架内再闭塞的腔内治疗思路,新技术的应用为临床难题提供了更多解决方案,值得进一步探索与推广。
专家介绍

王盛教授
首都医科大学附属北京安贞医院血管外科中心
副主任
医学博士、主任医师
硕士研究生导师
首都医科大学血管外科学系副主任
中国医师协会血管外科分会下肢动脉学组副组长
中国医师协会腔内血管学分委会下肢动脉疾病专家委员会副主任委员
国际静脉联盟中国静脉学会委员
中国医疗器械协会血管器械分会委员兼副秘书长
中国研究型医院学会血管医学专业委员会委员兼副秘书长
中国医疗保健国际交流促进会血管外科专业委员会常务委员
北京医师协会血管外科专科医师分会常务理事
Annals of Vascular Surgery - Brief Reports and Innovations杂志编委
中华血管外科杂志通讯编委
中华临床医师杂志《电子版》编委
中国血管外科杂志编委
主要从事血管外科临床和基础研究工作,2011年赴德国莱比锡心脏中心学习血管疾病的腔内治疗,多次到美国、英国、法国等各大血管中心访问交流。对血管外科各种常见及疑难重症疾病有较深入的研究,具有丰富的经验,擅长上述疾病的腔内治疗、外科手术治疗以及药物治疗。
2007年获北京市优秀人才基金资助,主持或参与国家自然科学基金、北京市自然科学基金等多项科研课题。

杨燎教授
首都医科大学附属北京
安贞医院血管外科中心
副主任医师
中国医师协会血管外科分会并发症委员会委员
中国医师协会介入分会青委
中国医师协会血管外科分会血管影像与人工智能委员会委员
国际血管联盟中国分部弓上病变委员会委员

刘硕医生
首都医科大学附属北京安贞医院血管外科中心
主治医师
血管外科硕士研究生
擅长诊治:下肢动脉硬化闭塞症、静脉曲张的微创治疗、主动脉疾病、头臂动脉疾病,参与《老年心血管疾病》著作编写,参与自媒体等医疗科普工作,任北京市朝阳区健康科普专家