CEC2024 | 马晓辉教授团队:BTK病变--铁支架



2024年10月31日—11月3日,备受瞩目的第十五届中国血管论坛(CEC2024)于北京盛大召开,国内外专家齐聚一堂共襄盛会。本次大会设置知名专家面对面、中青年专家论坛、学术专题讲座,病例直(录)播、外周血管介入前沿与争锋辩论赛、疑难病例大查房、复杂血管疾病、血管外科危重症管理、血管疾病治疗并发症处理及预防、外周器械新技术新疗法、下肢动脉减容规范化应用最新证据深度解读、国际专场@CEC等热点板块,全面展现最新的血管疾病诊疗方法和技术,为广大血管外科医务工作者及同道提供了一场内容丰富、高质量、高水平的学术盛宴。
本次大会期间,解放军总医院第一医学中心马晓辉教授团队为各位专家同道介绍了《BTK病变--铁支架》。欢迎阅读。
演讲题目:
《BTK病变--铁支架》
演讲嘉宾:
马晓辉教授
孙国义医生
单位:
解放军总医院第一医学中心血管外科
病例简介
基本信息:患者男,80岁,因”双下肢跛行2年,左侧为重,跛行距离缩短至20米”就诊。本次就诊双下肢间歇性跛行,左侧症状更明显,伴下肢血供不足表现;无静息痛,提示尚未进展至严重缺血阶段。2013年行腹主动脉瘤腔内修复术(EVAR),2018年行冠脉PCI术,2020年行肾动脉支架植入术,既往多部位血管干预史增加了本次治疗的复杂性。

术前评估:明确病变部位与程度
ABI检查(踝肱指数)提示左侧下肢动脉严重狭窄或闭塞。超声提示双侧股总动脉、股浅动脉等多部位动脉内中膜增厚,可见多发斑块;左侧胫腓干动脉、腓动脉及双侧胫前动脉管腔闭塞,左侧胫后动脉及双侧足背动脉依赖侧支血管代偿(流速异常)。
术前CTA进一步证实:左侧胫腓干动脉、腓动脉闭塞,双侧胫前动脉闭塞,病变范围广且涉及多支重要下肢动脉。

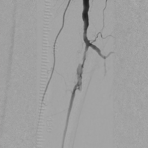
术前影像
手术策略
拟采用顺行穿刺入路,通过导丝开通闭塞病变后,以普通球囊预扩张,再植入球囊扩张式铁基可降解支架,最终通过腔内超声评估手术效果。

手术关键步骤
1
造影评估与通路建立
造影显示左侧胫腓干动脉闭塞,胫后动脉通过侧支循环显影,左侧腓动脉及胫前动脉全程闭塞。


先尝试顺行穿刺,导丝进入内膜下未能成功通过;改为逆行穿刺胫后动脉,导入V18导丝,采用Safari技术(逆行导丝通过闭塞段与近端导管对接)建立工作轨道。




2
球囊预扩张与病变处理
选用2×40mm普通球囊扩张闭塞病变,造影可见局部内膜撕裂严重,形成明显夹层(提示病变坚硬,需支架支撑)。


3
铁基可降解支架植入
按计划植入3×38mm载药铁基可降解支架,准确定位以完全覆盖病变;采用8 atm压力球囊扩张释放支架,确保支架充分张开。


4
术后评估
造影显示:胫腓干动脉血流恢复通畅,支架形态及位置理想,胫后动脉显影较术前明显改善;


腔内超声证实:铁支架完全张开、贴壁良好,无明显残余狭窄。


技术亮点:铁基可降解支架的创新优势
病例中使用的铁基可降解支架,经多年研发改进,在力学性能与降解特性上实现了突破:
优异的力学性能
通过“渗氮整体合金化”技术提升纯铁力学性能,支架丝厚度达到行业较薄水平,弹性模量、强度、韧性等指标对标主流永久支架(如CoCr合金支架),确保植入后能有效支撑血管腔。

可控的降解性能
这款支架降解性能有两个独特的优势。第一、支架添加聚乳酸成分,可在体内创造酸性微环境,加速铁的腐蚀降解;第二、表面特殊涂层设计,确保植入后前3个月支架不被腐蚀,为血管修复提供稳定支撑,随后逐步降解,避免永久支架长期留存导致的再狭窄风险。

循证医学支持
2020年完成首例临床应用,相关病例发表于《JACC》杂志;目前已开展全国多中心临床研究,入组近20例患者,初步显示出良好的安全性与有效性。

总结与启示
本例高龄患者合并多部位血管病史,下肢动脉闭塞病变复杂,通过“逆行开通+铁基可降解支架植入”的方案实现了血流通畅重建。铁基可降解支架在提供有效支撑的同时,可逐步降解并避免永久异物留存,为下肢动脉闭塞性疾病的治疗提供了新选择。
该病例也提示,对于复杂下肢动脉病变,结合精准的腔内操作技术与创新器械,可显著改善治疗效果,为临床实践提供重要参考。
专家介绍

马晓辉教授
解放军总医院第一医学中心血管外科
副主任医师,副教授
硕士研究生导师
北京医师协会血管外科分会常务委员
中国医师协会腔内血管学专业委员会委员等职
获得总后医疗成果一等奖2项,北京市科技进步二等奖1项,北京医学科技奖一等奖1项,总后医疗成果三等奖1项。副主编专著1部(腔内血管外科学),并参编参编血管外科专业专著5部,翻译本专业专著5部。