CEC2024 | 司逸教授团队:减容联合补救性支架处理复杂ISR



2024年10月31日—11月3日,备受瞩目的第十五届中国血管论坛(CEC2024)于北京盛大召开,国内外专家齐聚一堂共襄盛会。本次大会设置知名专家面对面、中青年专家论坛、学术专题讲座,病例直(录)播、外周血管介入前沿与争锋辩论赛、疑难病例大查房、复杂血管疾病、血管外科危重症管理、血管疾病治疗并发症处理及预防、外周器械新技术新疗法、下肢动脉减容规范化应用最新证据深度解读、国际专场@CEC等热点板块,全面展现最新的血管疾病诊疗方法和技术,为广大血管外科医务工作者及同道提供了一场内容丰富、高质量、高水平的学术盛宴。
本次大会期间,复旦大学附属中山医院司逸教授团队为各位专家同道介绍了《减容联合补救性支架处理复杂ISR》。欢迎阅读。
演讲题目:
《减容联合补救性支架处理复杂ISR》
演讲嘉宾:
司逸教授
郭宝磊医生
丁勇医生
单位:
复旦大学附属中山医院
患者基本情况
患者男性,67岁,因“左下肢动脉支架术后5月,再发静息痛10天”就诊。患者在1年前因跌倒后出现左下肢疼痛伴皮肤发黑,当地医院诊断为"左下肢动脉硬化闭塞症",2023年7月行左下肢动脉溶栓术,症状暂缓解;2024年3月因症状复发,行左下肢动脉球囊扩张术,疼痛未改善;2024年4月于当地医院行左下肢动脉支架置入术,术后不适缓解,但近10天再发静息痛,伴间歇性跛行(步行距离约200米)。

术前评估
体格检查:左下肢稍肿胀,左足皮肤发紫发黑,肢端可见坏疽;左侧腘动脉、足背动脉、胫后动脉均未触及搏动。
辅助检查:
ABI(踝肱指数):左侧0.32(严重缺血),右侧1.04(基本正常);

术前CT(2024-09-05):左侧股动脉支架近闭塞,双下肢动脉硬化闭塞症,左下肢浅静脉曲张较明显。

手术预案与器械选择
结合患者病史及影像,考虑为支架内血栓形成合并复杂ISR,拟定手术方案:左侧下肢动脉吸栓+球囊扩张成形+补救性支架植入术。
主要器械:
Rotarex吸栓导管(用于支架内减容、吸除血栓);
Sterling球囊(普通球囊,用于初步扩张);
Iris药物涂层球囊、Ranger药物涂层球囊(抑制再狭窄);
Supera编织型支架(用于补救性植入,处理复杂病变)。

手术过程详解
01
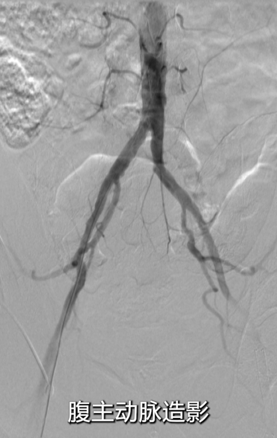
入路选择与造影确认
采用右侧股动脉入路,穿刺股总动脉后行基线造影;

腹主动脉及左侧股动脉造影显示:左侧股总动脉支架几乎完全闭塞,


支架长度较长(从股总动脉延伸至收肌管临近P1段),且部分遮挡股深动脉开口;膝下动脉显影稀疏,流出道条件差。


02
导丝通过闭塞段
采用单弯导管配合硬导丝及V18导丝,小心通过支架闭塞段,最终将V18导丝顺利送至膝下腓动脉段,未出现血管穿孔等并发症。



03
减容(吸栓)处理
根据导丝通过情况以及术前CT影像,选用Rotarex吸栓导管进行减容:通过病变段后回吸2次,避免血栓脱落至远端(本病例未使用保护伞,基于术者经验);
吸栓后即时手推造影:可见支架内形成基本流入道及流出道,血流初步恢复。


04
球囊扩张成形
初步扩张:使用4×150mmSterling球囊,由近及远扩张整个支架段及远端病变(考虑合并P1段病理性改变);


在影像图下发现在在支架远端有一定的局部狭窄。

药物涂层球囊强化:
针对CT测量提示的股动脉远端及腘动脉段(直径约5mm),使用4×150mmRanger药物涂层球囊扩张;

近端支架内病变采用5×200mmRanger药物涂层球囊扩张,强化抗再狭窄效果。

05
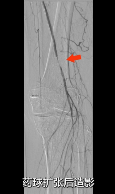
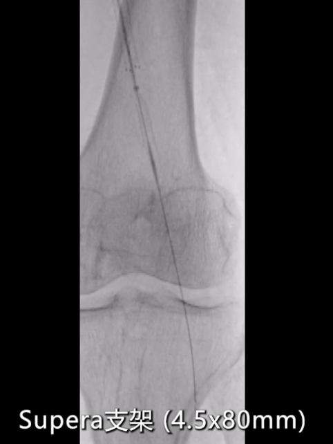
补救性支架植入
药物球囊扩张后造影显示:支架远端(临近P2段)存在局部狭窄,使用5×150mmIris球囊对病变段再次预扩;


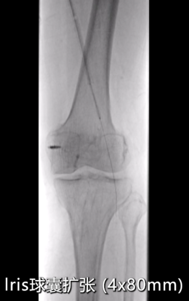
扩张后出现小夹层,血流速度仍较慢,采用4×80mmIris球囊对病变段再次预扩



支架植入:由于该病变部位已临近P2,选择4.5×80mm Supera编织型支架,定位于P1-P2段交界处,完全覆盖病变段。


术后效果
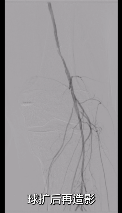
即时造影:支架贴壁良好,病变段完全覆盖,膝下腓动脉及胫后动脉显影明显改善,胫后动脉血流可至足趾;



术后ABI:左侧ABI从术前0.32升至0.67,右侧1.09;患者症状改善,左足皮肤发紫发黑明显缓解,静息痛消失。

术后1月复查CTA,血管通畅性良好。给予双通道抗凝+抗血小板治疗,预防血栓再形成。

小结
本病例针对复杂ISR(支架内闭塞合并血栓、流出道差),采用"减容(吸栓)+球囊扩张(含药物涂层球囊)+补救性支架"的阶梯式策略,实现了血流重建与症状缓解。关键经验在于减容优先清除血栓,为后续操作创造条件;药物涂层球囊与编织型支架协同,兼顾抗再狭窄与血管顺应性;个体化选择器械及操作(如未用保护伞),基于病变特点及术者经验。
专家介绍

司逸教授
复旦大学附属中山医院
血管外科主任医师
博士
中国研究型医院学会血管医学专业中青年委员会副主任委员
中国医师协会腔内血管学会主动脉夹层专家委员会委员
国际血管联盟青年委员会委员
中国微循环学会周围血管学会青年委员会委员
上海医学会血管外科分会青年委员会副主任委员等。
国内首位复旦大学-美国威斯康辛麦迪逊大学联合培养大血管主动脉外科临床型博士。赴美留学期间主持并参与研究腹主动脉瘤和动脉粥样硬化NIH R01 课题三项;回国后创新并开展多项大血管微创治疗的新技术。
参与研究主动脉夹层和主动脉瘤疾病的国家“十二五”科技支撑计划及国家“863”课题各一项,主持国家自然科学面上基金两项。
发表中英文 30 余篇,其中英文SCI 收录 22 篇。主编《心脏血管外科腔内治疗手册》,并获第 30 届华东地区出版社优秀图书二等奖。