杨耀国教授团队 | 始祖鸟”药物球囊联合震波球囊治疗股腘动脉狭窄合并重度钙化一例


病例介绍
患者:男,79 岁
主诉: 双下肢间歇性跛行5年余
现病史:患者双下肢间歇性跛行5年余,跛距300米。后跛行症状加重伴双足发凉发麻跛距缩短至50米,右侧重、无静息痛、溃疡。下肢CTA提示:双侧股浅动脉重度狭窄近闭塞、右侧腘动脉重度狭窄
既往史:高血压病3级(极高危), 2 型糖尿病,冠心病
查体:右下肢皮温较左侧低,右侧股动脉搏动(++),右侧腘动脉搏动(-)右侧足背动脉搏动(-),右胫后动脉搏动(-)。

辅助检查(超声提示):
右侧:股深动脉重度狭窄,远段闭塞可能;股浅动脉、腘动脉重度狭窄近闭塞;胫后动脉起始重度狭窄,余段闭塞;胫前动脉闭塞
左侧:股深、股浅动脉重度狭窄;腘动脉重度狭窄;胫后动脉闭塞;胫前动脉起始段及远段重度狭窄,余段闭塞可能


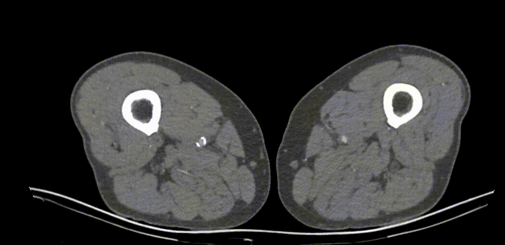
股浅动脉重度狭窄伴环周钙化
诊断:右侧股浅动脉闭塞、腘动脉狭窄(Rutherford 3级、 Fontaine IIb期 、WIFI 2期 、FP GLASS 3级)、高血压病2级 极高危、2型糖尿病、冠心病


病例特点
病程长,股浅动脉、腘动脉重度狭窄伴多发环周钙化;
合并糖尿病,膝下动脉多发钙化、闭塞,远端流出道差
手术预案
经皮右侧股浅动脉、腘动脉震波球囊联合药物球囊扩张成形术备股浅动脉支架植入术
手术过程
穿刺左股总动脉,置入6F股动脉鞘,双侧髂外、髂总动脉多发斑块,管腔轻度狭窄

以超滑导丝配合多用途导管、可调弯导管“翻山”至右侧股深动脉;交换Ampalz导丝,置入8F-45cm长鞘

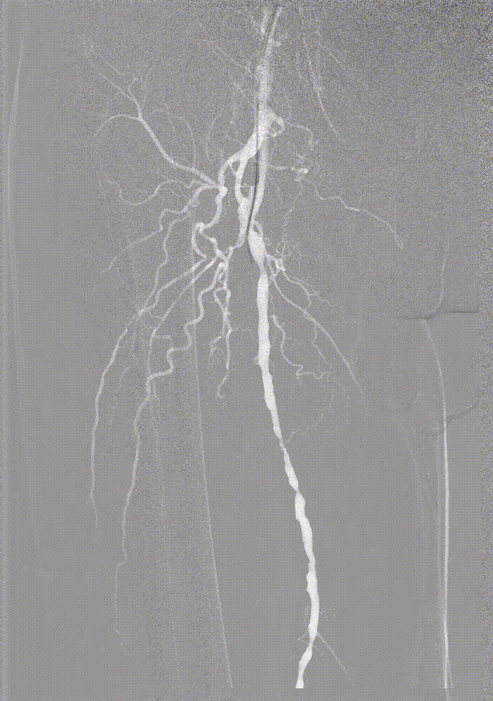
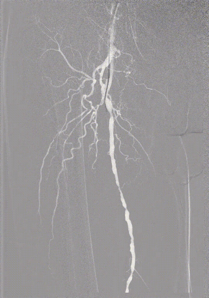
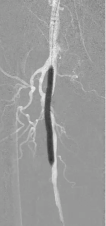
步进造影:股浅动脉起始重度狭窄、中段重度狭窄,腘动脉远端重度狭窄、胫前动脉、胫后动脉闭塞

V-18导丝配合多功能导管通过股浅动脉、腘动狭窄闭塞段,交换0.14导丝远端置于腓动脉中段




经导丝送入IVUS导管,股浅动脉近段重度狭窄、钙化明显,狭窄率大于90%


股浅动脉中远段及腘动脉重度狭窄、环周钙化明显


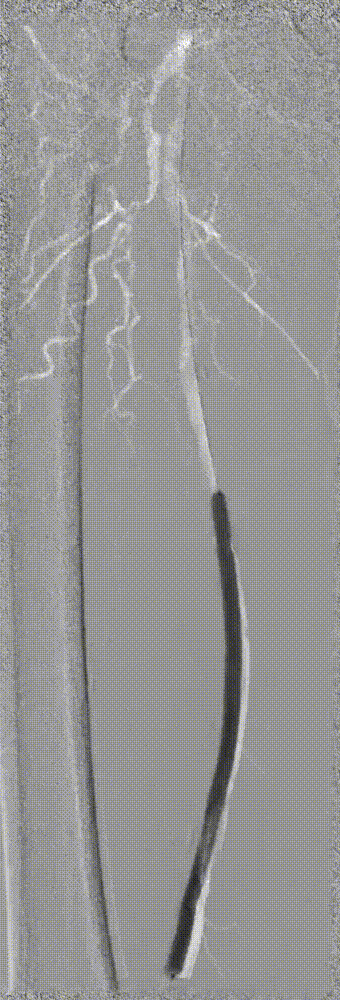
因患者股浅动脉及腘动脉狭窄闭塞段均严重钙化,选择使用振波球囊(6mm*80mm、5mm*80mm)
分别对股浅动脉、腘动脉狭窄闭塞段扩张(球囊至4atm,3级振波强度3个循环,5级振波强度3个循环);球囊切迹逐渐消失


IVUS提示病变段仍有局部重度狭窄,遂选择最新上市的”始祖鸟”紫杉醇药物涂层球囊(5*150mm、6*150mm )对残余狭窄进行扩张
IVUS提示病变段仍有局部重度狭窄,遂选择最新上市的”始祖鸟”紫杉醇药物涂层球囊(6*150mm、 5*150mm ) 分别对股浅动脉、腘动脉、胫腓干动脉逐段扩张,压力至工作压维持3分钟。



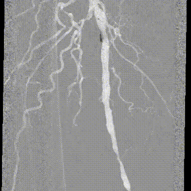
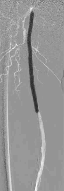
步进造影配合血管腔内超声诊断导管提示:股浅动脉全程、腘动脉、胫腓干动脉血流通畅,未见明显夹层、造影剂外溢,远端未见栓塞,膝下动脉如前。

★ 始祖鸟 Vasecure 三大挑战的理想解决方案
零掉粉:全球唯一输送全程保护套设计全程
保护套确保药物涂层完整有效减少远端栓塞及“无复流现象

高转载:独特 嵌入给药 模式
原创木糖醇赋形剂结合专利喷涂技术,转载效率显著提高

长留存:专利“微晶针”晶体
20μm针状晶体,在组织中长时间维持药物高浓度

撤出导丝、导管,交换7F股动脉鞘,采用MYNX CONTROL封堵止血器( 7F)封堵穿刺口穿刺点未见明显活动性渗血、封堵效果满意,术毕,患者无不适。


术后复查


腘动脉压力:90mmHg,比值0.73(原比值 0.54)
足背动脉压力85mmHg,比值0.69(原比值 0.45)
腘动脉压力:120mmHg,比值0.98 (原比值 0.65)
胫后动脉压力:118mmHg,比值0.96(原比值 0.54)
足背动脉压力:115mmHg,比值0.93(原比值 0.59)
小结
本病例通过“震波球囊碎斑”+“始祖鸟药物球囊防狭窄”+“新型封堵器促恢复”的联合治疗方案,充分发挥了不同器械的优势,针对性解决了下肢动脉钙化病变的处理。
始祖鸟药物球囊突破性的全程保护鞘设计,解决掉粉痛点的同时利用原创木糖醇赋形剂和微晶针形态的紫杉醇药物,实现了低量高效的治疗效果。该病例无需在血管内植入支架,保留血管原有解剖结构和后续治疗空间,同时长期通畅率显著优于普通球囊;
相较于传统手工压迫和缝合,封堵器的使用可快速闭合穿刺口,缩短止血时间,并且减少穿刺部位的并发症。MYNX CONTROL封堵止血器利用球囊定位,实现即刻止血,专利插塞PEG 材料止血效果更好,30 天完全水解吸收。帮助患者实现更快下床。
专家介绍

杨耀国教授
首都医科大学附属北京安贞医院血管外科中心
主任医师,教授
博士和博士后导师
中国医师协会血管外科医师分会颈动脉及弓上血管学组副组长;
北京医学会血管外科学分会委员;
北京医师协会血管外科分会常务理事;
中华血管外科培训中心专家委员会血管传统手术培训中心主任;
中国抗衰老促进会中老年病管理工作委员会血管外科主任委员;
国家卫生健康委员会疾病诊断分组血管外科委员会委员兼秘书;
中国医疗保健国际交流促进会血管外科学分会常委;
国际血管联盟中国分部青年委员会副主任委员;
国家自然科学基金评委;
中华血管外杂志编委;中国血管外科杂志(电子版) 编委;
中国普通外科杂志编委;
Annals of Vascular Surgery审稿专家。