CEC2024 | 杨耀国教授团队:无名动脉支架术后再狭窄腔内治疗



2024年10月31日—11月3日,备受瞩目的第十五届中国血管论坛(CEC2024)于北京盛大召开,国内外专家齐聚一堂共襄盛会。本次大会设置知名专家面对面、中青年专家论坛、学术专题讲座,病例直(录)播、外周血管介入前沿与争锋辩论赛、疑难病例大查房、复杂血管疾病、血管外科危重症管理、血管疾病治疗并发症处理及预防、外周器械新技术新疗法、下肢动脉减容规范化应用最新证据深度解读、国际专场@CEC等热点板块,全面展现最新的血管疾病诊疗方法和技术,为广大血管外科医务工作者及同道提供了一场内容丰富、高质量、高水平的学术盛宴。
本次大会期间,首都医科大学附属北京安贞医院血管外科中心杨耀国教授团队为各位专家同道介绍了《无名动脉支架术后再狭窄腔内治疗》。欢迎阅读。
演讲题目:
《无名动脉支架术后再狭窄腔内治疗》
演讲嘉宾:
杨耀国教授
王硕医生
荣智华医生
单位:
首都医科大学附属北京安贞医院
病例基本情况
患者信息:72岁男性,因“无名动脉支架术后3年,支架内再狭窄6月余”就诊。
现病史:3年前于安贞医院行右锁骨下动脉及无名动脉支架植入术;6月前复查彩超提示无名动脉支架内狭窄;3月前无明显诱因出现头晕伴下肢无力。
危险因素:合并高血压病2级(极高危)、2型糖尿病、高脂血症、冠心病、陈旧脑梗、房颤,有心脏起搏器植入史及吸烟史。
查体:右上肢收缩压较对侧低40mmHg;左侧肱动脉、桡动脉搏动强(+++),右侧搏动弱(+)。
诊断:无名动脉支架内再狭窄、高血压病2级(极高危)、2型糖尿病、高脂血症、冠心病、陈旧脑梗、房颤。

术前检查与病情分析
01
辅助检查结果
术前超声:右锁骨下动脉支架内血流通畅;无名动脉支架内狭窄,最窄内径0.18cm,流速达668cm/s,外径0.65cm,直径狭窄率70%-80%。
CTA:主动脉及头壁动脉多发斑块,无名动脉起始部支架内重度狭窄。


02
无名动脉支架再狭窄的原因
无名动脉支架术后再狭窄与其特殊的解剖结构及血流动力学特性密切相关:
血流动力学:作为主动脉弓上距离心脏最近的分支,无名动脉承受较大血流冲击力,加速支架内膜增生,增加再狭窄风险。
解剖结构:无名动脉长度短、管径大,支架难以完全贴合血管形态,易导致内膜增生。

治疗方案选择
★ 手术方式对比
无名动脉狭窄的治疗包括外科手术与腔内手术,具体差异如下:
手术方式 | 特点 | 适用场景 |
外科手术 (内膜切除术) | 颈部切口深难以探及,开胸手术风险高、并发症多 | 极少开展 |
外科手术 (转流术) | 创伤大,非解剖途径 | 多用于闭塞病变、无腔内治疗机会的患者 |
腔内手术 | 创伤小、恢复快、并发症率低(卒中发生率2%-11%) | 优先选择,需配合脑保护措施 |

★ 支架选择依据
文献研究显示(Ammi M等,2019)金属裸支架随访3年再狭窄率达46%;覆膜支架再狭窄率仅11%,其优势在于:①聚四氟乙烯(PTFE)层阻碍内膜增生,降低再狭窄率;②减少术中栓子脱落,降低远端栓塞风险。因此,条件允许时优先选择覆膜支架。

手术过程与关键技术
01
手术目标
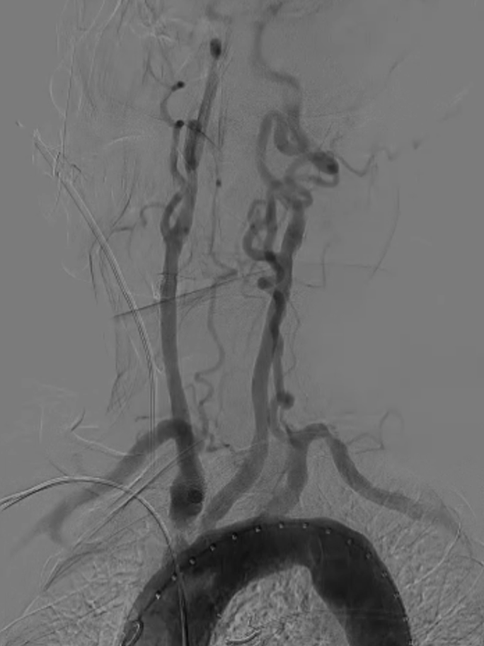
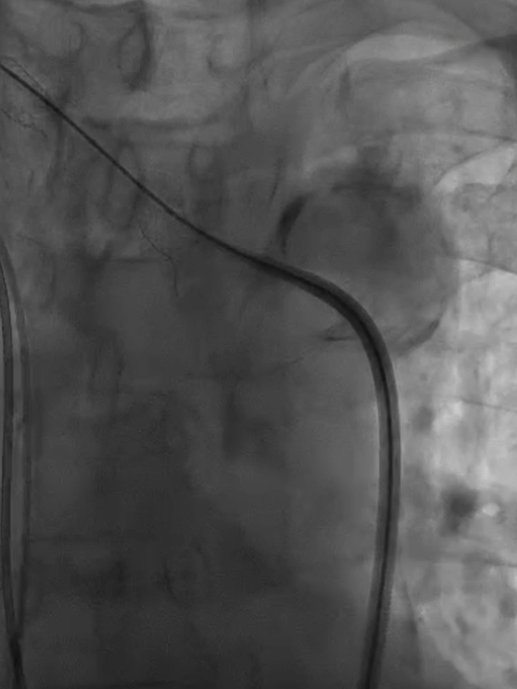
主动脉弓上造影显示无名动脉起始支架内重度狭窄,右椎动脉显影延迟,解除无名动脉支架内狭窄,恢复血流通畅,同时保障脑保护,降低并发症风险。

无名动脉起始支架内重度狭窄右椎动脉显影延迟
02
关键步骤与技术
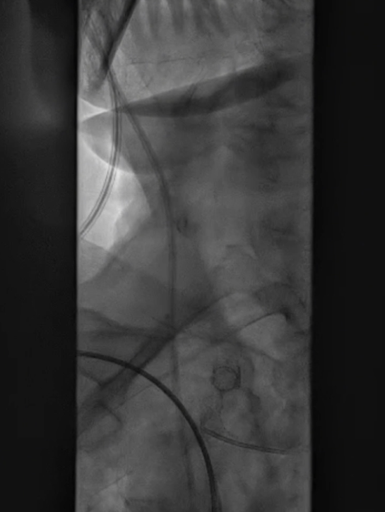
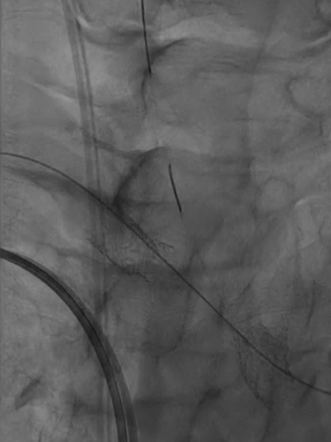
导丝与导管操作:超滑导丝配合多用途导管选入无名动脉,调整角度进入右锁骨下动脉;因主动脉弓扭曲严重,更换支撑导管通过病变段并造影证实

超选入无名动脉


无名动脉起始支架内
重度狭窄

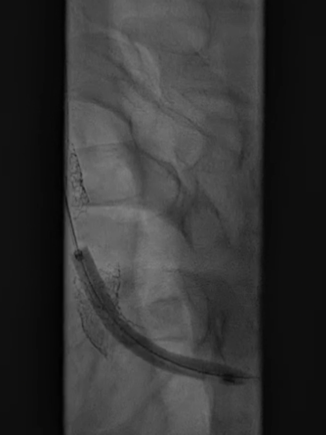
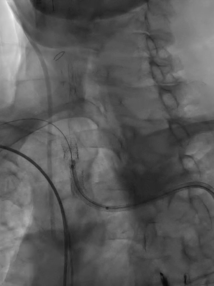
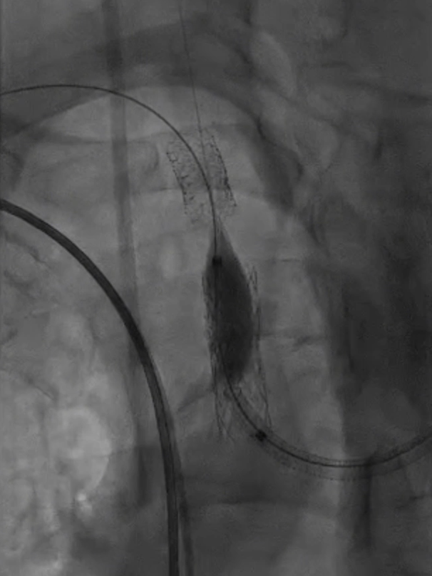
脑保护措施:更换加硬导丝后,采用Filterwire保护伞及0.018导丝选入右颈总动脉,进一步送入右颈内动脉释放保护伞。

跟进长鞘至无名动脉起始


Filterwire 3.5-5.5 保护伞
导丝选入右颈总动脉内

导丝选入右颈内动脉
放置保护伞
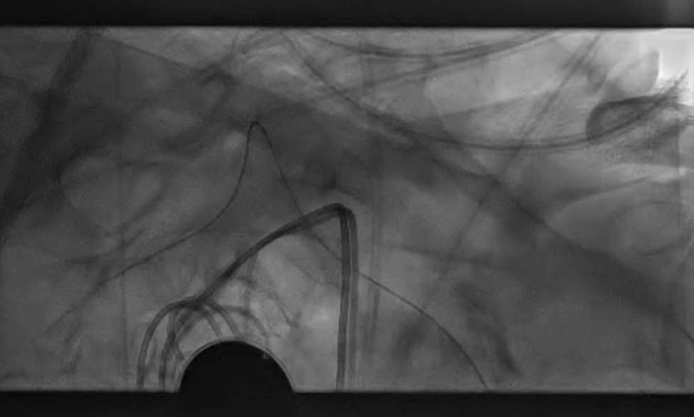
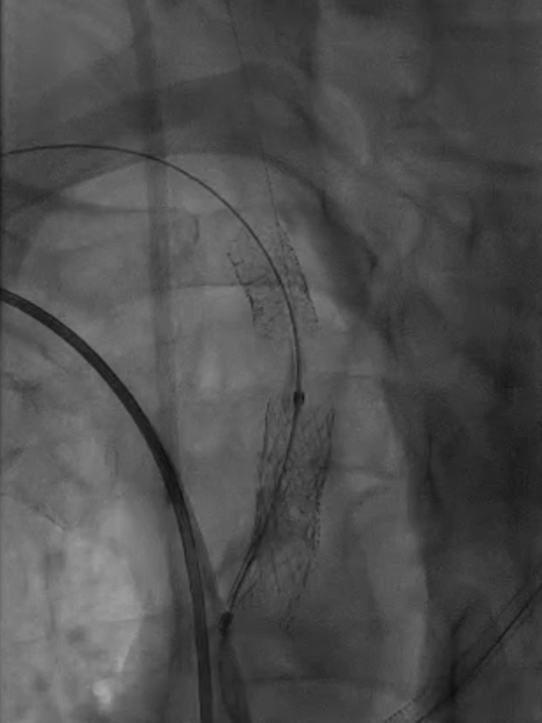
球囊扩张:采用同轴双导丝技术,以4×40mm、6×40mm球囊逐级扩张狭窄段;造影发现残存狭窄后,再次用6×40mm球囊扩张。

4*40mm球囊扩张
无名动脉支架

多角度造影
仍有残存狭窄

6*40mm球囊扩张
无名动脉支架

再次6*40mm球囊扩张
无名动脉支架
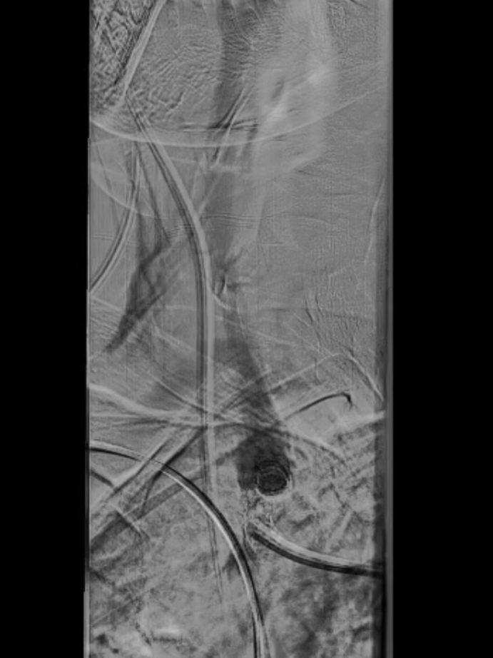
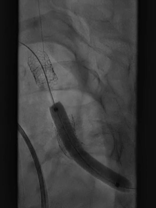
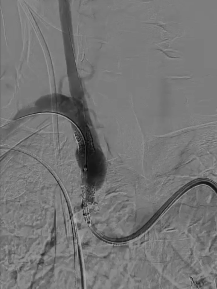
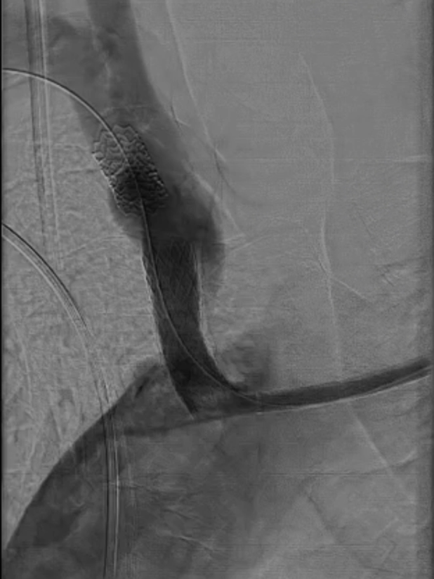
支架置入:通过“球囊带鞘”技术跟进长鞘至支架远端,采用同轴双导丝技术送入VBX8×29mm球扩覆膜支架,多角度造影定位后释放。

撤球囊时更进长鞘
至支架远端

同轴双导丝技术送入
VBX 8*29mm球扩覆膜
支架反复造影定位

释放支架
收尾操作:再次以球囊带鞘方式跟进长鞘至支架远端,回收保护伞;最终造影显示支架内血流通畅,右锁骨下动脉、右颈动脉、椎动脉显影良好,椎动脉血流速度较术前明显改善。

长鞘上行困难

回收保护伞

再次球囊带鞘
更进至支架远端

造影支架内通畅

右锁骨下动脉 右侧颈动脉
血流通畅椎动脉显影好
术后随访
术后3个月复查彩超:无名动脉支架内血流通畅,血流束宽约0.58cm,流速135cm/s,狭窄完全解除。

小结
本次病例展示了无名动脉支架术后再狭窄的腔内治疗技巧,为临床类似病例的处理提供了参考。
无名动脉由于其特殊的解剖特点及血流动力学特性,导致容易出现支架内再狭窄的情况。设计手术方案时,要重点考虑如何保证导丝的稳定性,支撑力以及保护伞如何释放与回收。支架选择条件允许的情况下,推荐首选覆膜支架,主动脉弓及无名动脉常有扭曲,术中可采用球囊带鞘的方式跟进长鞘。进支架时,将长鞘送过病变段。再将支架送到位,减少副损伤风险。

专家介绍

杨耀国教授
首都医科大学附属北京安贞医院血管外科中心
主任医师,教授
博士和博士后导师
中国医师协会血管外科医师分会颈动脉及弓上血管学组副组长;
北京医学会血管外科学分会委员;
北京医师协会血管外科分会常务理事;
中华血管外科培训中心专家委员会血管传统手术培训中心主任;
中国抗衰老促进会中老年病管理工作委员会血管外科主任委员;
国家卫生健康委员会疾病诊断分组血管外科委员会委员兼秘书;
中国医疗保健国际交流促进会血管外科学分会常委;
国际血管联盟中国分部青年委员会副主任委员;
国家自然科学基金评委;
中华血管外杂志编委;中国血管外科杂志(电子版) 编委;
中国普通外科杂志编委;
Annals of Vascular Surgery审稿专家。