CEC2024 | 冉峰教授:颈动脉CEA_CAS围术期抗栓治疗的策略



2024年10月31日—11月3日,备受瞩目的第十五届中国血管论坛(CEC2024)于北京盛大召开,国内外专家齐聚一堂共襄盛会。本次大会设置知名专家面对面、中青年专家论坛、学术专题讲座,病例直(录)播、外周血管介入前沿与争锋辩论赛、疑难病例大查房、复杂血管疾病、血管外科危重症管理、血管疾病治疗并发症处理及预防、外周器械新技术新疗法、下肢动脉减容规范化应用最新证据深度解读、国际专场@CEC等热点板块,全面展现最新的血管疾病诊疗方法和技术,为广大血管外科医务工作者及同道提供了一场内容丰富、高质量、高水平的学术盛宴。
本次大会期间,江苏省中医院血管外科冉峰教授为各位专家同道介绍了《颈动脉CEA_CAS围术期抗栓治疗的策略》。冉峰教授介绍了颈动脉内膜切除术(CEA)和颈动脉支架成形术(CAS)围术期抗栓治疗的策略。基于案例结合欧洲血管外科学会(ESVS)2023年的临床实践指南,以及国内外相关文献,阐述了不同情况下的抗栓治疗方案。欢迎阅读。
演讲题目:
《颈动脉CEA_CAS围术期抗栓治疗的策略》
演讲嘉宾:
冉峰教授
单位:
江苏省中医院血管外科
患者基本信息

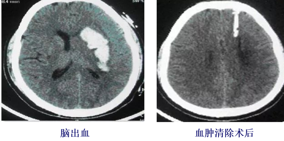
基本信息:男性,58岁。
手术时间:2023年12月9日,术后第五天准备拆线出院。
术后恢复:活动自如,但在如厕时突发头痛、呕吐,随后发生脑出血,进行了血肿清除术。

术后医嘱:
阿托伐他汀钙片:20mg QN
利伐沙班:10mg QD
拜阿司匹林:100mg QD
氯吡格雷:75mg QD
欧洲血管外科学会指南要点
分类依据:根据是否有短暂性脑缺血发作及缺血性脑卒中,分为有症状和无症状。
有症状颈动脉狭窄:增加对双联抗血小板治疗的指导。
无症状颈动脉狭窄:
狭窄程度>50%:考虑单抗低剂量阿司匹林(75-325 mg/d)。
对阿司匹林不耐受或过敏:考虑氯吡格雷75mg。
都不耐受:考虑双嘧达莫单药治疗(200mg bid,Ⅱa,C级证据)。
CEA围手术期抗栓治疗
无症状颈动脉狭窄患者:推荐低剂量单抗阿司匹林(每日75-325 mg)。
高剂量阿司匹林:不推荐(每日>325 mg,ⅠB级证据)。
CAS围手术期抗栓治疗
术后持续时间:阿司匹林和氯吡格雷应在支架植入后至少持续4周,然后长期抗血小板单药治疗(最好每天75毫克氯吡格雷)应无限期持续(ⅠB级证据)
联合使用:建议联合使用阿司匹林(75-325 mg/天)和氯吡格雷(75mg/天)。
氯吡格雷使用时机:应在支架植入前至少3天开始使用,或在紧急情况下单次给药300mg。
关于抗凝和双抗治疗
无症状性颈动脉狭窄患者:目前没有数据支持长期双联抗血小板治疗,除非有其他临床适应症。
利伐沙班:
高剂量:未减少颈动脉患者的主要血管事件,但增加了出血风险。
低剂量:证据不足,出血风险仍有增高。
指南推荐:目前没有指南推荐支架植入患者使用低剂量利伐沙班+阿司匹林。
症状性颈动脉狭窄
无需手术治疗患者的治疗
短暂性缺血发作或轻度缺血性卒中后:不考虑行颈动脉内膜切除术或支架置入术的症状性颈动脉狭窄患者,推荐短期阿司匹林加氯吡格雷21天,然后再用氯吡格雷单药治疗,或者长期阿司匹林加缓释双嘧达莫。
不耐受或过敏:建议使用双嘧达莫单药或替格瑞洛单药。
CEA围手术期及长期用药
术后单一抗血小板治疗:
如术后评估单一抗血小板治疗优于双联抗血小板治疗,则应考虑服用阿司匹林。 症状性颈动脉狭窄行CEA:应考虑术前联合抗血小板治疗,并应在影像学排除颅内出血后开始治疗。
术前抗血小板方案:如果术前选用阿司匹林+氯吡格雷联合,可在术后第一天停用阿司匹林,氯吡格雷75mg持续无限期使用,除非有禁忌症。
小结
CEA围手术期及术后:
术前单一抗血小板治疗:阿司匹林(100mg)或氯吡格雷(75mg),不推荐大剂量应用抗血小板药。
术后至少使用单一抗血小板药物:至少4周。
CAS围手术期及术后:
术前至少4-5天(2017指南)/ 术前5-7天(2021规范)/ 术前至少3天(2023规范)联合使用阿司匹林(100-300mg/d)加氯吡格雷75mg/d,或术前4-6h服用氯吡格雷300-600mg。
术后双联抗血小板至少4周,如合并冠心病和再狭窄危险因素建议延长至3个月。
建议长期服用低剂量阿司匹林(75-100mg/d),无论是CEA还是CAS都不建议长期使用双联抗血小板治疗,除非有心脏或其他血管疾病指证。
目前尚无足够证据支持低剂量利伐沙班+阿司匹林用于症状性颈动脉狭窄。
专家介绍

冉峰教授
江苏省中医院
血管外科主任
医学博士,主任医师
教授,博士生导师
江苏省医学会血管外科学分会委员
江苏省医学会血管外科分会内脏血管学组副组长
江苏省医师协会血管外科分会委员
江苏省医师协会血管外科分会颈动脉学组组长
江苏省中西医结合学会周围血管病学组副组长
中国医师协会血管外科专业委员会青年委员
中国医师协会硬化治疗推广委员会血管外科学组副组长
中国微循环学会周围血管疾病专业委员会颈动脉学组常务委员
中华医学会生物工程学分会干细胞专业委员
国际血管联盟中国分会血管外科学组青年委员
中国老年医学学会委员
曾赴德国纽伦堡医院、美国亚利桑那州血管病中心进行血管外科基础研究与临床研修。在血管疾病的医疗诊断与技术上具有丰富的理论知识和临床实践经验。