CEC2024 | 董智慧教授团队:脑保护伞下复杂颈动脉狭窄近闭塞支架成形术



2024年10月31日—11月3日,备受瞩目的第十五届中国血管论坛(CEC2024)于北京盛大召开,国内外专家齐聚一堂共襄盛会。本次大会设置知名专家面对面、中青年专家论坛、学术专题讲座,病例直(录)播、外周血管介入前沿与争锋辩论赛、疑难病例大查房、复杂血管疾病、血管外科危重症管理、血管疾病治疗并发症处理及预防、外周器械新技术新疗法、下肢动脉减容规范化应用最新证据深度解读、国际专场@CEC等热点板块,全面展现最新的血管疾病诊疗方法和技术,为广大血管外科医务工作者及同道提供了一场内容丰富、高质量、高水平的学术盛宴。
本次大会期间,复旦大学附属中山医院董智慧教授团队为各位专家同道介绍了《脑保护伞下复杂颈动脉狭窄近闭塞支架成形术》。欢迎阅读。
演讲题目:
《脑保护伞下复杂颈动脉狭窄近闭塞支架成形术》
演讲嘉宾:
董智慧教授
石赟医生
方刚医生
邹凌威医生
单位:
复旦大学附属中山医院
病例概况
患者男性,83岁,因体检发现颈动脉狭窄1月入院。曾行冠脉支架植入术;否认高血压、高脂血症、脑梗病史。

术前检查
体格检查:双侧桡动脉、股动脉、足背动脉搏动均正常(++)。
影像学检查:术前CT提示左侧颈内动脉闭塞,右侧颈内动脉重度狭窄;主动脉弓形态良好,钙化程度较轻。
其他检查:心肌标志物、肝肾功能、凝血功能、血脂均正常;心电图正常;X线示双肺少许慢性炎症;电子喉镜示双声带运动正常;心超示静息状态下无异常,左心室射血分数(LVEF)66%。


手术方案选择
结合患者病情(右侧颈内动脉重度狭窄、左侧闭塞,主动脉弓条件良好),团队决定采用颈动脉支架成形术(CAS),并选择以下器械保障手术安全:
脑保护装置:Spider远端栓塞保护器(6mm),用于预防术中栓塞风险;
球囊:LitePAC球囊(3×30mm、4×30mm、5×30mm),用于预扩和后扩;
支架:ProtegeRX支架(10-7-40mm),兼顾柔顺性与定向支撑力,适配病变长度

手术关键步骤
★ 术前准备与通路建立
穿刺右侧股动脉,置入6F90cm长鞘,全身肝素化抗凝;
主动脉弓造影确认分型为Ⅰ型弓,为后续操作提供解剖参考



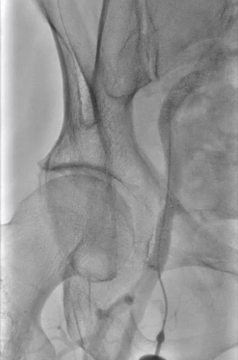
★ 病变评估
左侧颈总动脉造影:明确左侧颈内动脉闭塞,侧支循环通过颈外动脉部分供应颅内血流;


右侧颈总动脉造影(正位、汤氏位、侧位):明确右侧颈内动脉重度狭窄,病变远端直径5mm、近端直径8mm,长度约30mm,远端锚定区条件理想。




★ 脑保护装置置入
准备Spider保护伞:在肝素水中反复释放3次,充分润湿排气,确保无气泡;



导入保护伞:通过Command18导丝通过狭窄病变后,沿导丝送入保护伞输送系统,准确定位后释放;
优化操作:折断保护伞内置导丝的延长段,缩短工作距离,便于后续操作。


★ 病变预处理(预扩)
3×30mm球囊预扩:患者基础心率约100次/分,扩张时心率无明显波动;


4×30mm球囊预扩:心率降至80次/分,造影显示狭窄病变较前改善,形态满意。



★ 支架植入与后扩
植入Protege RX支架(10-7-40mm):路图引导下精准释放,完全覆盖病变段;
5×30mm球囊后扩:扩张后可见轻度回缩,但残余狭窄<30%,兼顾血流通畅与安全性,未追求过度影像完美。



★ 收尾与验证
回收保护伞:检查伞内无明显碎屑,排除栓塞风险;
最终造影:支架血流通畅,颅内血流较术前明显改善(侧位及汤氏位对比显著);


安全撤鞘:导丝保护下撤出长鞘,避免“甩鞭效应”导致栓塞;

穿刺点处理:采用Proglide血管封堵器缝合,手术结束。

术后情况
最终对比患者术后无神经系统并发症(如脑梗、脑出血),无其他不良事件;术后重点监测血压,避免低灌注风险;对比术前术后造影,右侧颈内动脉狭窄显著改善,颅内血供明显提升。


手术亮点总结
脑保护优先:全程使用Spider保护伞,严格排气操作,有效降低栓塞风险,尤其适合复杂近闭塞病变;
精细化操作:根据病变特点选择分步预扩(3mm→4mm),兼顾安全性与有效性;支架后扩适度,避免过度追求影像完美而增加并发症风险;
细节把控:优化导丝长度、控制操作时间、密切监测心率变化,体现团队对复杂病例的精准管理能力。
该病例展示了在脑保护下处理复杂颈动脉狭窄近闭塞病变的规范化流程与关键技巧,为临床实践提供了重要参考。
专家介绍

董智慧教授
复旦大学附属中山医院
医学博士,教授
主任医师,博导
复旦大学附属中山医院血管外科常务副主任
复旦大学血管外科研究所副所长
国家科技重大专项首席
上海市优秀学术带头人
上海市卫生计生系统优秀学科带头人
中日医学科技交流协会血管外科学分会副会长
国际血管联盟(IUA)中国分部副秘书长、胸主动脉学组副主委
上海市血管外科临床质量控制中心主任
上海市医学会血管外科专科分会副主委
上海市医师协会血管外科医师分会糖尿病足工作组组长