CEC2024 | 覃忠教授:Buerger’s病腔内治疗的效果



2024年10月31日—11月3日,备受瞩目的第十五届中国血管论坛(CEC2024)于北京盛大召开,国内外专家齐聚一堂共襄盛会。本次大会设置知名专家面对面、中青年专家论坛、学术专题讲座,病例直(录)播、外周血管介入前沿与争锋辩论赛、疑难病例大查房、复杂血管疾病、血管外科危重症管理、血管疾病治疗并发症处理及预防、外周器械新技术新疗法、下肢动脉减容规范化应用最新证据深度解读、国际专场@CEC等热点板块,全面展现最新的血管疾病诊疗方法和技术,为广大血管外科医务工作者及同道提供了一场内容丰富、高质量、高水平的学术盛宴。
本次大会期间,广西医科大学第一附属医院血管外科覃忠教授为各位专家同道介绍了《Buerger’s病腔内治疗的效果》。欢迎阅读。
演讲题目:
《Buerger’s病腔内治疗的效果》
演讲嘉宾:
覃忠教授
单位:
广西医科大学第一附属医院血管外科
背景
1879年,奥地利外科医生Felix von Winiwarter首次描述了Thromboangiitis obliterans(TAO)。Buerger将该疾病命名为“血栓闭塞性脉管炎”,并提及与吸烟的关系,1924年其报告指出吸烟可能是诱发因素,TAO也被称为Buerger's disease。
流行病学
美国TAO的年发病率为12.6/10万,在中东和远东更为普遍。
最初认为TAO几乎只影响男性,女性患者占比不到1%,但近期研究中女性患者比例在11%至23%之间,这一增长可能与女性吸烟增加有关。
2006-2015年期间,PAD(外周动脉疾病)的入院人数远多于TAO,其中PAD入院人数为771,TAO为61。

2006-2015年PAD和Buerger病的入院情况
危险因素
病因尚不明确,TAO是一种非动脉粥样硬化性节段性炎症性疾病,常见于上下肢的中小动脉和静脉。
接触烟草是TAO发生、维持和进展的核心,吸烟是最常见危险因素,咀嚼烟草或吸食大麻也可能致病。
三分之二的TAO患者患有严重的牙周病,慢性厌氧性牙周感染可能是另一危险因素
诊断标准
Shionoya标准:50岁前发病、吸烟史、下肢动脉闭塞、上肢受累或游走性静脉炎、除吸烟外无其他动脉粥样硬化危险因素
Olin标准:45岁前发病、当前/近期烟草使用、远端肢体缺血、排除自身免疫/结缔组织病/糖尿病、排除近端栓塞源、血管造影表现一致

[44] S. Shionoya, “Diagnostic criteria of Buerger’s disease,” Interna-tional Journal of Cardiology, vol. 66, no. 1, pp. S243–S245, 1998.
[45] J. W. Olin, “Thromboangiitis obliterans (Buerger’s disease),” TheNew England Journal of Medicine, vol. 343, no. 12, pp. 864–869,2000
发病机制
牙周炎、吸烟(焦油、尼古丁、一氧化碳等)、不良的牙科护理等因素可能引发牙周菌血症。
血小板或单核细胞运输这些细菌,再加上遗传因素(如HLA、D-14、MyD88等),可能导致血小板团微栓塞、单核细胞黏附于管腔。
进而引发炎症和免疫反应、内毒素直接作用(内膜损伤)、免疫抑制等,以及痉挛、过敏等情况,最终导致动脉和静脉血栓,引发血栓闭塞性脉管炎。而高血压、糖尿病、高脂蛋白血症、老年等因素则可能导致动脉粥样硬化。

Iwai T, Matsui Y, Homma K, et al.. Clin Exp Dent Res. 2021;7:637–646.
病理生理
血栓闭塞性脉管炎分为急性、亚急性和慢性三个阶段:
急性期:由闭塞性、高度细胞性、炎性血栓组成,多形核中性粒细胞、微泡和多核巨细胞经常出现。
亚急性阶段:血栓进行性机化。
慢性期:炎症消失,但机化的血栓和血管纤维化仍然存在,可能模仿动脉粥样硬化疾病。
任何阶段的血栓闭塞性脉管炎与动脉粥样硬化和其他血管炎的区别在于保留了内部弹性膜。
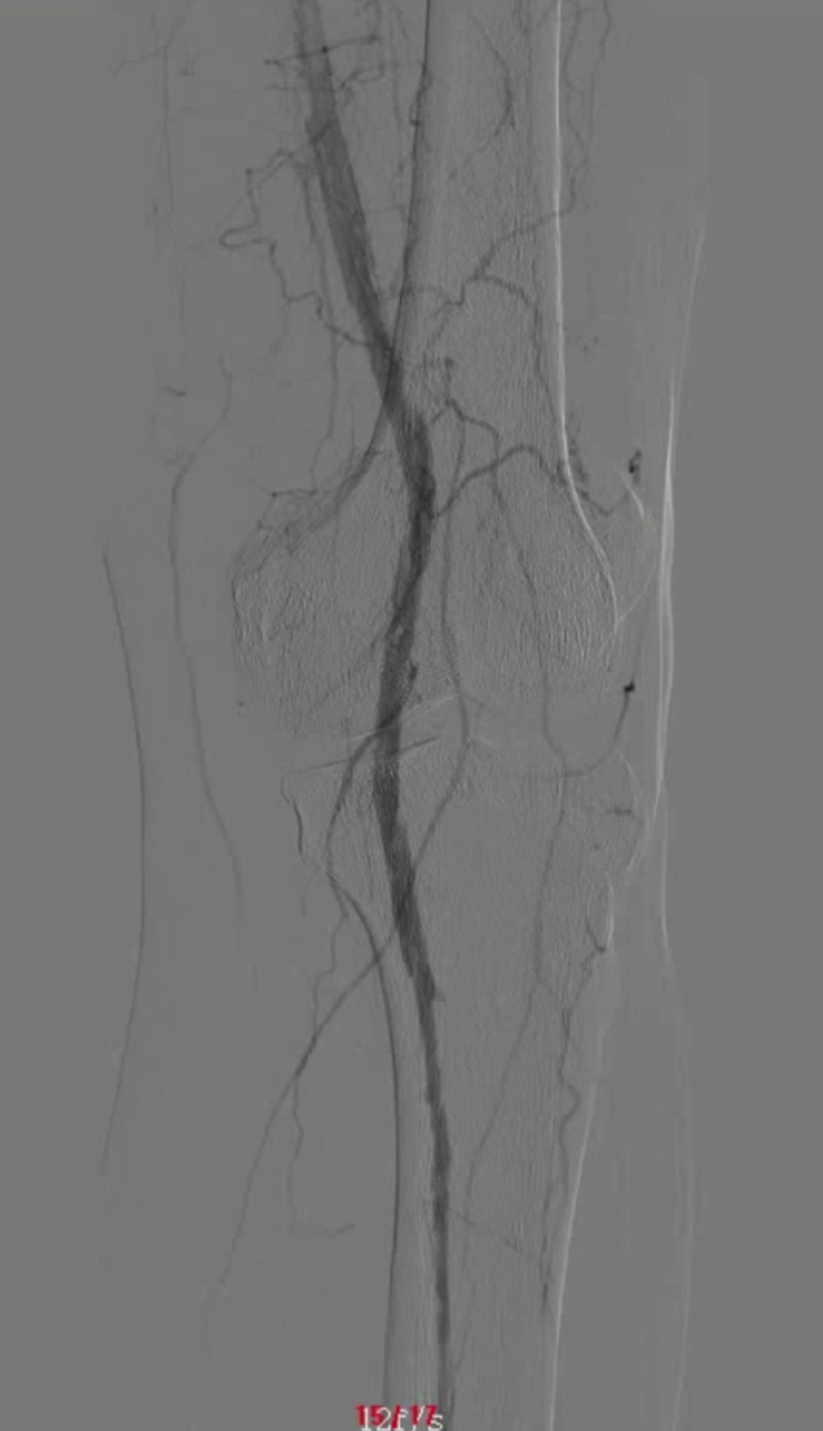
TAO动脉病变模式有 abrupt occlusion(突然闭塞)、Localized stenosis(局限性狭窄)、Moth-eaten stenosis(虫蚀样狭窄)等,还可能出现不规则侧支循环、侧支循环早期形成、树根样侧支、迂曲静脉等情况。


治疗
戒烟是唯一明确有效的预防进展方法
其他治疗包括抗血小板、扩血管、干细胞、高压氧、腰交感神经切除等
外科重建仅适用于10.2%患者,因远端弥漫性病变大多不可行
血管内治疗成为主要选择,尤其对于无远端旁路靶点患者
病例分析
★ 病例1
48岁男性,右足溃疡反复发作,多次PTA+DCB治疗


2023.3 右足部溃疡2个月,行PTA



2024.5,再发溃疡4个月,先后两次PTA


2024.9,溃疡未愈合,胫前动脉、胫后动脉PTA+DCB
★ 病例2
51岁男性,间歇性跛行反复发作,经历多次PTA、CDT、支架植入等复杂治疗


2019.07 间歇性跛行3个月,PTA+CDT(8天)


2022.05,足趾麻木,支架植入


2023.05,间歇性跛行3个月,PTA+支架植入
治疗心得:50岁以上患者诊断困难;病灶进展迅速,治疗间隔缩短,难度增加;完全戒烟至关重要,但临床依从性差
小结
Buerger病的治疗核心是严格戒烟,血管内干预为当前主要手段,但长期预后仍依赖患者依从性及早期干预。
专家介绍

覃忠教授
广西医科大学第一附属医院血管外科副主任
广西医师协会血管外科分会副主任委员
广西医师协会介入医师分会常务委员
广西医学会显微外科学分会常务委员
中国医疗保健国际交流促进会血管外科分会常务委员
广西医师协会外科医师分会委员
广西医学会普通外科学分会委员、血管外科学组委员兼秘书
中国医师协会血管外科医师分会血管创伤学组委员
中国医师协会腔内血管专业委员会血管炎性疾病专业委员会(学组)委员
中国医师协会骨科医师分会中国骨搬移糖尿病足学组委员