CEC2024 | 郭明金教授:重度钙化颈动脉狭窄能否CAS?



2024年10月31日—11月3日,备受瞩目的第十五届中国血管论坛(CEC2024)于北京盛大召开,国内外专家齐聚一堂共襄盛会。本次大会设置知名专家面对面、中青年专家论坛、学术专题讲座,病例直(录)播、外周血管介入前沿与争锋辩论赛、疑难病例大查房、复杂血管疾病、血管外科危重症管理、血管疾病治疗并发症处理及预防、外周器械新技术新疗法、下肢动脉减容规范化应用最新证据深度解读、国际专场@CEC等热点板块,全面展现最新的血管疾病诊疗方法和技术,为广大血管外科医务工作者及同道提供了一场内容丰富、高质量、高水平的学术盛宴。
本次大会期间,东南大学附属中大医院郭明金教授为各位专家同道介绍了《重度钙化颈动脉狭窄能否CAS?》。欢迎阅读。
演讲题目:
《重度钙化颈动脉狭窄能否CAS?》
演讲嘉宾:
郭明金教授
单位:
青岛大学附属医院血管外科
一例CAS再狭窄引发的思考

1
重度钙化颈动脉狭窄的挑战
问题:重度钙化是颈动脉支架置入术(CAS)术后再狭窄的重要原因,且环形钙化和凸向腔内的钙化病变会增加同侧脑梗和死亡的风险。

数据支持:一项纳入21860例CAS患者的回顾性分析显示,重度钙化病变显著增加再狭窄风险(OR 5.133, 95% CI 1.009-3.702)


★ 重度钙化性病变是CAS的阿喀琉斯之踵?

2
震波球囊(IVL)治疗
颈动脉钙化性病变的可行性
理论基础:IVL通过产生局部冲击波破碎钙化斑块,改善管腔获得,减少残余狭窄。
临床研究:
DISRUPT CAD III:在冠脉病变中,IVL显示出良好的即刻管腔获得和较低的残余狭窄。
DISRUPT PAD III:在周围动脉疾病(PAD)中,IVL同样表现出色,未见远端栓塞。
DISRUPT CAD II:在冠脉病变中,IVL未见慢血流及无复流现象。
3
IVL在颈动脉病变中的应用实践
★ 病例分析
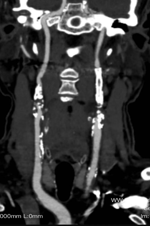
CASE 1:79岁男性,双侧颈动脉重度钙化狭窄,采用IVL预处理后置入支架,术后造影显示管腔通畅。

双侧颈动脉重度
钙化狭窄

IVL后管腔
获得良好

术后造影
显示管腔通畅
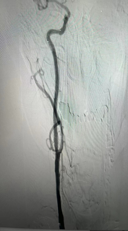
CASE 2:69岁男性,左侧颈动脉支架术后再狭窄,IVL治疗后管腔获得良好,支架置入后残余狭窄低。

左侧颈动脉支架
术后再狭窄

IVL后管腔
获得良好

支架后
残余狭窄低
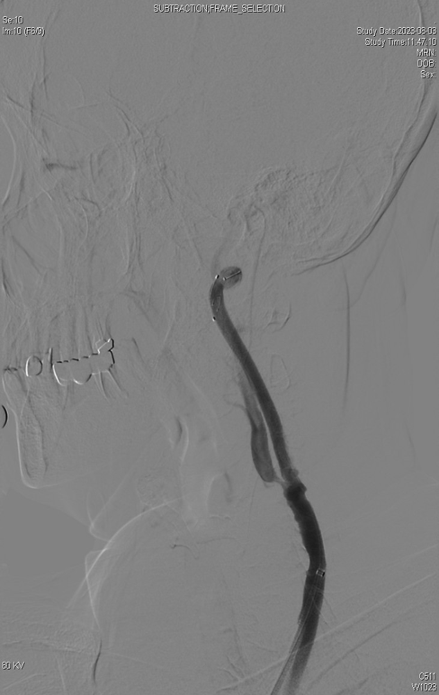
CASE 3:74岁女性,左侧颈动脉重度钙化狭窄,IVL治疗后管腔获得理想,支架置入后残余狭窄低。

左侧颈动脉
重度钙化狭窄

IVL后即刻管腔
获得理想

支架后
残余狭窄低
★ 技术要点
合适的IVL球囊尺寸(1:1)和充分的空气排空。
评估Willis环和代偿能力,尽量缩短冲击波应用时间。
4
问题和挑战
术中缺血耐受性:如何缩短IVL扩张时间以减少脑缺血风险。
微栓塞风险:支架植入后切割松散的钙化斑块是否会增加微栓塞比例。
小结
IVL作为一种新兴的治疗手段,在处理外科高危的重度钙化性颈动脉病变中显示出良好的应用前景。但目前多为短期随访的个案报道,证据等级较低,仍需更多高质量的研究和真实世界的大样本长期随访数据来验证其安全性和有效性。
专家介绍

郭明金教授
青岛大学附属医院
血管外科主任
主任医师,医学博士
博士研究生导师
现任中国微循环学会周围血管疾病专业委员会副秘书长
中国微循环周围血管疾病专业委员会中青年委员会第三届副主委
中国微循环学会周围血管疾病专业委员会常务委员
中国医师协会腔内血管学专业委员会静脉血栓栓塞症专家委员会委员
中国医师协会血管外科医师分会第二届委员会委员
中国医师协会介入医师分会超声介入专家工作组外周血管介入学组委员
国际血管联盟中国分会青年委员
中日医学科技交流协会血管外科学会分会委员
中国医疗保健国际交流促进会血管外科学分会第三届常委
山东省患者安全管理协会血管外科专业委员会第一届委员会副主任委员
山东省医师协会外周血管介入医师分会第三届委员会副主任委员
山东省医学会血管外科医师分会常务委员
山东省医学会血管外科分会副主任委员
山东中西医结合学会周围血管病专业委员会副主任委员
山东省转化医学学会大血管腔内治疗分会副主任委员
首届冠心病介入与管理专业委员会委员
中国医药教育协会血管外科专业委员会常务委员
中华医学会青岛市血管外科分会副主任委员
山东省医师协会外周血管介入医师分会副主任委员
半岛静脉血栓防治联盟委员
《血管与腔内血管外科杂志》编辑委员会委员
青岛健康科技协会外周血管分会第一届委员会主任委员
海发康养医疗集团医学专家委员会特聘专家
荣获中国医师协会首届“国之名医 青年新锐”称号,荣获2018年度“山东省优秀医师”,山东省教,系统优秀共产党员,十二五杰出青年医师,青岛大学十佳共产党员,青岛大学附属医院十大优秀青年、十佳优秀医师、十佳中青年医师等光荣称号,青岛市西海岸第四批拔尖人才荣誉称号,青岛大学附属医院集团帮扶工作先进个人等光荣称号。