CEC2024 | 冯海教授:G-iliac重建髂内动脉--单中心随访结果与疗效评估



2024年10月31日—11月3日,备受瞩目的第十五届中国血管论坛(CEC2024)于北京盛大召开,国内外专家齐聚一堂共襄盛会。本次大会设置知名专家面对面、中青年专家论坛、学术专题讲座,病例直(录)播、外周血管介入前沿与争锋辩论赛、疑难病例大查房、复杂血管疾病、血管外科危重症管理、血管疾病治疗并发症处理及预防、外周器械新技术新疗法、下肢动脉减容规范化应用最新证据深度解读、国际专场@CEC等热点板块,全面展现最新的血管疾病诊疗方法和技术,为广大血管外科医务工作者及同道提供了一场内容丰富、高质量、高水平的学术盛宴。
本次大会期间,首都医科大学附属北京友谊医院冯海教授为各位专家同道介绍了《G-iliac重建髂内动脉--单中心随访结果与疗效评估》。欢迎阅读。
演讲题目:
《G-iliac重建髂内动脉--单中心随访结果与疗效评估》
演讲嘉宾:
冯海教授
单位:
首都医科大学附属北京友谊医院
背景
髂内动脉重建的临床挑战与技术革新:
髂内动脉负责盆腔脏器和臀部的血液供应,传统开放手术创伤大,而腔内治疗中如何精准重建髂内动脉分支、避免内漏和远期闭塞,是提升疗效的关键。
传统技术存在技术瓶颈,如喇叭口技术具有二次手术率高的技术难点;三明治技术操作复杂,内漏发生率高,远期通畅率低;CrossoverChimney技术更是操作复杂且存在内漏和远期闭塞风险。


G-iliac™支架单中心临床研究
髂分支支架技术(IBD)凭借符合人体解剖、操作安全、远期通畅率高等优势,成为理想解决方案。首都医科大学附属北京友谊医院冯海教授团队基于单中心临床数据,揭示了G-iliac™髂动脉分叉支架系统的真实世界疗效,为临床提供了重要参考。
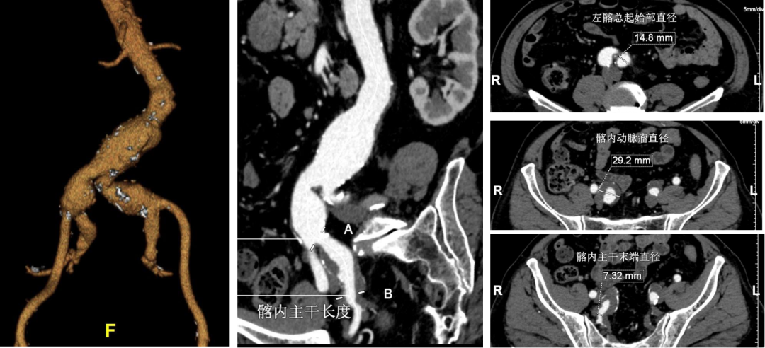
研究概况:基线数据与手术特征
时间范围:2021年6月—2024年8月,单中心回顾性研究。
病例纳入:29例男性患者,平均年龄73.6岁,主要病变为腹主动脉瘤合并髂总动脉瘤(75.9%),34.5%需同期重建髂内动脉瘤。
研究概况:基线数据与手术特征
重建策略:83.9%重建髂内动脉主干,12.9%为壁支,3.2%为脏支;93.1%为单侧重建,仅2例双侧重建;93.5%仅需1条分支支架。
入路选择:早期以左侧肱动脉为主(65.5%),后期股动脉入路占比提升至34.5%。
研究结果
短期疗效(术后1个月内)
技术成功率100%,平均手术时间87分钟。
安全性优异:无肠缺血、臀肌跛行等并发症;20例CTA显示髂内分支支架血流通畅,无内漏;23例患者瘤体内血栓形成良好,降低破裂风险
长期随访(术后12个月)
11例完成CTA随访,结果显示髂内分支支架100%通畅,无内漏、支架分离或感染;
最远锚定至髂内动脉壁支远端(平均锚定长度20.2mm),远期无狭窄。


典型病例一
复杂场景下的技术应用
在血管外科领域,髂内动脉重建的复杂性常考验着术者的技术与器械的适配性。首都医科大学附属北京友谊医院冯海教授团队通过G-iliac™髂动脉分叉支架系统,成功应对多种复杂病例。以下结合真实案例,解析该技术的临床价值。
病例1:支架闭塞再干预
病情:患者男,70岁,8年前因腹主动脉瘤+双侧髂动脉瘤行EVAR术,左侧髂内动脉栓塞,右侧髂内动脉早期IBD重建。
难点:术后8年复查发现右侧髂支哆开、右侧髂支覆膜支架闭塞,髂内动脉瘤样扩张。原支架遮挡髂内动脉开口,残余操作空间不足1cm,传统方法难以再通。

手术策略
近端锚定重建:右侧髂支内植入美敦力髂支支架,建立G-iliac™近端锚定段。
导丝技术:导丝经髂支外侧间隙进入右侧髂内动脉壁支远端,避开闭塞段。

精准栓塞与重建:栓塞髂内动脉脏支,避免侧支出血;植入SilverFlow™覆膜支架至壁支远端,平行于原闭塞支架完成重建。

术后随访
术后19个月CTA显示:右侧髂内动脉壁支支架通畅,无狭窄或闭塞,瘤腔血栓化良好。

病例2:破裂腹主动脉瘤(RAAA)介入治疗后髂内动脉瘤处理
病情:患者因RAAA紧急行EVAR(血管腔内修复术)及右髂内动脉栓塞,术前影像显示左侧髂内动脉存在动脉瘤,需干预以避免破裂风险。

手术过程
术中通过血管造影精准定位左侧髂内动脉动脉瘤位置,采用弹簧圈对左侧髂内动脉进行栓塞,同时释放支架于髂内动脉分支(IBO),以重建髂内动脉血运并隔绝动脉瘤。最终造影显示操作部位血流分布改善,动脉瘤区域血流阻断,支架位置合适。

术后随访
术后7天CTA显示支架位于髂内动脉分支内,血流通畅,无内漏等并发症迹象,周围组织未见异常。术后7月CTA检查,支架持续保持良好位置,髂内动脉分支血运稳定,动脉瘤无复发及增大,血管周围组织状态正常,表明手术远期效果良好。

病例3:复杂多血管病变
病情:患者男,72岁,腹主动脉瘤合并右侧髂总/髂内动脉瘤、左侧髂动脉闭塞,同时存在双肾动脉及左侧锁骨下动脉狭窄。多血管病变导致盆腔缺血风险高,需同期处理。

策略与操作
主髂动脉重建:腹主-右侧髂外动脉支架(AUI)+右侧髂内动脉IBD(脏支重建),保留肠道血供。
跨区域血运重建:右股-左股人工血管耻骨上转流,改善左侧下肢血供;同期植入肾动脉及锁骨下动脉支架,解除狭窄。

随访结果
术后6个月CTA显示:所有支架通畅,髂内动脉脏支血流正常,无内漏或支架分离。

典型病例二
病例1:复杂多血管病变
病情:患者男,71岁,双侧髂总动脉并左侧髂内动脉瘤,左侧髂总动脉起始部向右侧严重折曲,担心支架耐弯折性。

策略与操作:双侧差异化重建,右侧髂内动脉主干植入IBE支架;左侧髂内动脉壁支植入G-iliac™支架,通过右股入路配合可调弯导管超选至迂曲段。

右侧IBE,左侧IBD(经右股入路,可调弯导管与12F戈尔长鞘配合进入G-iliac及左侧髂内)
随访结果:术后2年CTA:左侧髂内动脉壁支支架通畅,折曲部位无狭窄或断裂,验证G-iliac™支架的柔顺性与耐久性。

病例2:腹主动脉瘤合并双侧髂总动脉瘤
病情:患者男,86岁,腹主动脉瘤合并双侧髂总动脉瘤伴有腹主末端狭窄。

策略与操作
预处理:用球囊扩张腹主末端狭窄段,创造G-iliac™支架锚定空间。
右侧髂内动脉重建:植入G-iliac™支架,分支锚定至壁支远端,覆盖动脉瘤段。
左侧髂内动脉处理:因腹主支架进入后不适合 IBD 近端锚定长度,采用栓塞主干预。

左侧髂总动脉内腹主支架进入后不适合IBD近端长度,只能栓塞
随访结果
术后6月支架持续通畅,动脉瘤体缩小20%,无盆腔缺血症状。

病例3:腹主动脉瘤合并双侧髂总动脉瘤
病情:患者男,60岁,双侧髂总动脉瘤,左侧髂总动脉瘤颈短,传统支架锚定困难。
策略与操作:双侧IBD重建:使用先健腹主带膜支架联合双侧G-iliac™支架,精准测量瘤颈长度后,将支架近端锚定于腹主末端,远端覆盖髂内动脉开口。
随访结果:术后9个月CTA:双侧髂内动脉支架通畅,无内漏,短瘤颈部位锚定稳定。

小结
冯海教授团队的单中心研究证实,G-iliac™髂动脉分叉支架系统联合SilverFlow™支架在髂内动脉重建中表现优异:
安全性高:围术期并发症率低,适合高龄、复杂病变患者;
远期效果可靠:12个月随访通畅率100%,瘤腔血栓化彻底;
操作灵活:可适配主干、壁支、脏支多部位重建,联合多耗材应对复杂解剖。
随着器械创新和术者经验积累,IBD技术有望成为髂内动脉病变的标准治疗方案。未来需开展多中心、长期随访研究,进一步验证其耐久性,为更多患者提供微创治疗选择。
髂内动脉重建的核心在于精准评估解剖结构与灵活选择耗材组合。G-iliac™系统通过模块化设计,实现了主干与分支的同步重建,尤其在复杂病例中展现出不可替代的优势。未来需进一步优化入路技术,推动该技术在更多中心的普及。

专家介绍

冯海教授
首都医科大学附属
北京友谊医院
血管外科副主任
医学博士、主任医师
北京医学会血管外科分会委员
北京中西医结合学会第八届周围血管专业委员会副主任委员
北京围手术期医学研究会血管外科专业委员会副主任委员
中国中西医结合学会第十一届周围血管专业委员会委员
中国医药教育协会血管外科专业委员会常务委员
Frontiers in Surgery编委,中华损伤与修复杂志(电子版)编委
擅长外周动脉及静脉疾病的外科及腔内治疗;胸腹主动脉疾病的外科及腔内治疗;专注于外周动脉及大动脉疾病的基础及临床研究;表学术论文30余篇,其中SCI论文10余篇;共同承担北京市科委揭榜挂帅项目1项,参与国家级课题1项,承担校局级课题2项,参与市局级课题3项。