CEC2024 | 薛冠华教授:髂动脉分支支架在腹主动脉瘤/髂动脉瘤修复中重建髂内动脉的临床研究



2024年10月31日—11月3日,备受瞩目的第十五届中国血管论坛(CEC2024)于北京盛大召开,国内外专家齐聚一堂共襄盛会。本次大会设置知名专家面对面、中青年专家论坛、学术专题讲座,病例直(录)播、外周血管介入前沿与争锋辩论赛、疑难病例大查房、复杂血管疾病、血管外科危重症管理、血管疾病治疗并发症处理及预防、外周器械新技术新疗法、下肢动脉减容规范化应用最新证据深度解读、国际专场@CEC等热点板块,全面展现最新的血管疾病诊疗方法和技术,为广大血管外科医务工作者及同道提供了一场内容丰富、高质量、高水平的学术盛宴。
本次大会期间,上海交通大学医学院附属仁济医院薛冠华教授为各位专家同道介绍了《髂动脉分支支架在腹主动脉瘤/髂动脉瘤修复中重建髂内动脉的临床研究》。欢迎阅读。
演讲题目:
《髂动脉分支支架在腹主动脉瘤/髂动脉瘤修复中重建髂内动脉的临床研究》
演讲嘉宾:
薛冠华教授
单位:
上海交通大学医学院附属仁济医院
背景
髂内动脉重建的临床挑战
1
髂内动脉的解剖功能与缺血风险
髂内动脉(Internal Iliac Artery, IIA)是盆腔血液循环的核心通道,其分支广泛分布于盆腔脏器、臀部及外生殖器,主要包括:脏器分支、躯体分支以及其他分支如髂腰动脉、闭孔动脉,供应腰椎旁组织及大腿内收肌群。

2
腹主动脉-髂动脉瘤的流行病学与治疗挑战
腹主动脉瘤(AAA)合并髂动脉瘤是血管外科常见疾病,约15%-40% 的腹主动脉瘤患者累及髂动脉(尤其是髂总动脉)。当髂内动脉因动脉瘤、狭窄或手术栓塞导致闭塞时,可引发臀肌跛行(发生率27%-52%)、性功能障碍(男性10.2%)、肠道缺血等严重并发症。


3
重建髂内动脉的主要方式
喇叭口支架技术(Bell-bottom):依赖手工改装支架,远期内漏率高达10%-15%,动脉瘤破裂风险增加,二次介入率达20%-30%。
三明治技术(Sandwich)/ 潜望镜技术:需肱动脉或腋动脉入路,操作复杂,内漏率32.6%,且髂内动脉远期通畅率仅90.5%(180 天数据)。
开放手术重建:基于髂内动脉旁路的手术创伤大,仅适用于少数患者,术后恢复周期长
4
重建髂内动脉的主要方式
随着腔内器械的发展,髂内动脉重建技术从“手工改装时代”迈向“工业化精准时代”,如髂动脉分支支架(IBD技术)通过预制化分支支架系统,同步重建髂内动脉与髂外动脉,避免传统技术的手工误差。
IBD技术优势在于可以完全腔内操作,解剖适配性强,技术成功率高,1年通畅率高于其他腔内重建髂内动脉技术,并能显著降低因栓塞导致的缺血并发症,尤其适用于双侧髂动脉瘤、髂内动脉开口狭窄/扭曲等复杂病例。




仁济临床研究经验
40例临床研究揭示IBD技术核心优势
本研究通过开放性,单臂,前瞻性单中心观察性列队研究,评价髂分支支架在腹主动脉瘤/略动脉瘤重建髂内动脉治疗中的有效性和安全性。由于国内髂内动脉重建的真实世界数据有限,开展研究者发起的临床研究(IIT)至关重要,从研究方案的设计,学术内容审查(样本量计算、统计方法)、伦理审核(受试者权益保护),在国家医学研究登记系统及Clinical Trials.gov注册(如仁济医院研究获NCT06162273编号),确保研究透明性与可追溯性。每个环节都必不可少,内容需要多阶段严格审核。












典型病例与技术要点
典型病例



病例1:EVAR术后补救性重建
诊断:65岁男性,EVAR术后髂动脉瘤。
手术过程:采用肱动脉入路,将长主体连接近端腹主支架,髂内搭配VBX,备弹簧圈。




术后情况:术后25天随访,分支通畅,无内漏,手术效果良好。


病例2:巨大扭曲动脉瘤的复合治疗策略
诊断:72岁男性,EVAR术后髂动脉瘤伴髂内动脉瘤。
手术过程:肱动脉入路,连接长主体与近端腹主支架,髂内搭配VBX并备弹簧圈。术中遇到挑战,髂内动脉瘤大且扭曲,导致VBX输送困难,支架长度略短,术后造影出现内漏。通过股动脉入路,经支架远端-血管壁之间进入髂总,进行弹簧圈栓塞,促进血栓化。
术后情况:后续随访观察,术后效果良好,动脉瘤得到有效处理,髂内动脉血流通畅。








病例3:长段狭窄合并闭塞的极限挑战
术前情况:78岁男性,腹主动脉瘤和髂动脉瘤,同时右髂总动脉近端、远端严重狭窄且近端扭曲,左髂总动脉近端、远端狭窄,髂内开口狭窄。
手术过程:采用短主体翻山技术重建右侧,在输送主体前,针对髂动脉多处狭窄、扭曲的情况,使用球囊预扩。之后,在微导丝、微导管的配合下艰难超选髂内动脉,成功将支架置入。
术后情况:造影显示患者髂内动脉血流恢复正常,手术达到预期效果。








病例4:双侧髂内夹层的同期修复
术前情况:74岁男性,肾下腹主动脉瘤,瘤体最大直径66mm,累及双侧髂总,右侧髂内扩张伴开口狭窄,左侧髂内夹层。




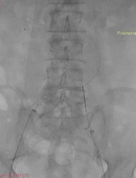
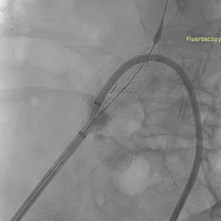
手术过程:根据患者及家属要求保双侧髂内,遂计划双侧髂内重建,右侧优先,左侧髂内情况尝试开通。手术中,先进行造影和翻山建立通路。


造影

翻山建立通路
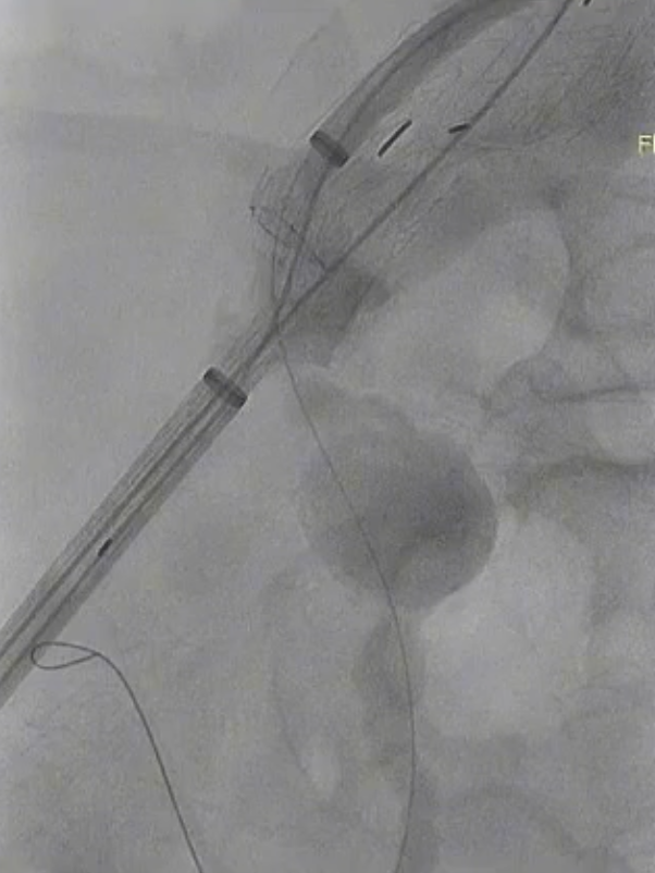
IBE主体就位与右侧髂内重建
随后IBE主体就位,释放主体并翻山DSF鞘至短腿确认髂内情况,确认髂内健康锚定区情况及长度测量,释放髂内分支。对髂内支架狭窄处扩张,输送和释放第二枚髂内分支并手推造影确认通畅,IBE主体及各连接处后扩。









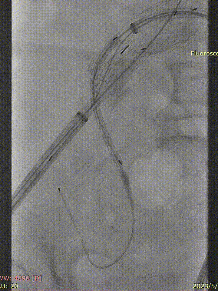
左侧髂内动脉超选与重建
右侧髂内动脉重建完成后,建立对侧翻山通路,再次确认主体位置及左侧髂内动脉情况。左侧髂内超选困难,经反复确认导丝配合导管超选真腔,手推造影确认髂内情况后释放远端VB,释放左侧髂内分支HGB并确认通畅情况。最后按常规EVAR置入腹主动脉支架主体,超选入主体短腿内对接IBE主体释放桥接喇叭腿。




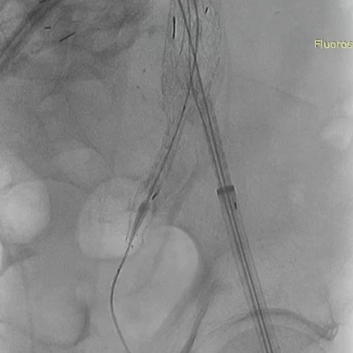
左侧髂内分支HGB释放

手推造影确认通畅情况
术后情况:造影提示动脉瘤完全隔绝,手术成功实现了保留双侧髂内动脉并隔绝动脉瘤的目标,患者病情得到有效控制。

术后造影
小结
髂内动脉重建是腹主动脉 - 髂动脉瘤治疗的核心难点,EVAR术中保留髂内动脉至关重要,能保尽保;传统技术的高并发症率与解剖适配性不足亟待解决。IBD/IBE 技术通过工业化设计实现精准重建,为保留髂内动脉功能提供了新方案。未来需通过规范化临床研究进一步验证其远期疗效,推动该技术在复杂解剖病例中的广泛应。
专家介绍

薛冠华教授
上海交通大学医学院附属仁济医院血管外科
外科博士,主任医师
博士生导师
中国微循环学会周围血管疾病专业委员会主髂动脉外科专家委员会主任委员
中国医疗保健国际交流促进会血管外科分会主髂动脉学组副组长
国际血管联盟(IUA)中国血管创伤专家委员会副主任委员
欧美同学会医师协会首届血管分会副主任委员
中国医疗器械行业协会血管器械分会副秘书长
上海市医学会血管外科专委会副主任委员
山西健康管理学会血管外科专业委员会名誉主任委员
国际血管外科协会(ISVS)会员
《中华血管外科杂志》编委,《中国血管外科杂志(电子版)》编委,《血管与腔内血管外科杂志》编委。
德国莱比锡大学心血管中心高级访问学者。发表国内外核心期刊论文70篇,SCI 23篇(IF=141.90),>10分的7篇。
主持国家自然科学基金面上项目2项,上海市科委项目(省部级)2项,上海市浦东新区科技发展基金“产学研”专项基金一项,上海医工交叉结合创新项目一项。
参编参译专著5部,主编1部 《主髂动脉外科疾病诊治进展》。参与完成3项全球多中心临床药物研究。发明(实用)专利15项。