科普 | 高血压幕后黑手--警惕“肾动脉狭窄”!


主 编 陈 忠
执行主编 杨耀国 陆清声
副 主 编 李 伟 王利新

✦+
+

vascular disease
•
✦
肾动脉狭窄
✦
•
肾脏的功能不仅有排尿,还有维持人体水电解质平衡
肾动脉与其他动脉一样会受到动脉硬化疾病的侵袭
肾动脉硬化性狭窄,其症状隐匿,易被忽视,但该病发展的后果十分严重,重症者可能需要通过肾透析维持生命
多种影像学检查可确诊肾动脉狭窄
目前在药物治疗的基础上,通过微创技术可以疏通肾动脉狭窄,以缓解症状,延缓肾功能下降
肾脏属于泌尿系统,就好比是人体的“污水处理厂”。人体内每天产生的代谢废物、多余的水分及电解质都要通过这个“污水处理厂”加工处理,回收利用;最终一部分回到体内,一部分被排出体外。肾动脉就像是运输污水的“水管”,将体内循环中的血液输送至肾脏。肾脏内部经过十分复杂的机制及多个环节,将加工后的“水”排入肾静脉,完成重吸收、再利用;之后剩余液体形成尿液排出体外。由于肾脏的“杰出工作”,体内的水、电解质可以维持精确的平衡,细胞可以正常地工作。甚至人体永恒的“发动机”——心脏都要依赖肾脏调节才能维持正常的血压与心律。

一、肾动脉堵塞了会怎么样
与其他动脉类似,肾动脉也会受到动脉硬化疾病的威胁,一旦发生了狭窄就会直接导致输入肾脏的血流量下降。但与冠状动脉、下肢动脉阻塞不同,肾脏血流量下降不会立即产生明显的症状,主要因肾脏具有强大的代偿储备功能,使其在供血量减少时会自行调节工作效率。有的患者会表现为血压升高,通过高灌注压,好似“过滤车间”加速血液流动提高效率,维持污水处理能力以保证机体需要。这类患者与其他的高血压病患者无明显不同,可以通过口服降压药控制血压。然而,这是一种最让人视而不见的血管病。流行病学资料显示中国的高血压病患者已经超过1亿(老年人更常见)。

肾血管性高血压的机制
很多患者认为肾动脉狭窄并不严重,不是大病;但是,这类症状不明显的疾病其结局是非常差的。首先,长期未获充足血供的肾脏会逐渐萎缩;其次,肾脏还会间接调控心脏,迫使心脏增加工作负荷,久而久之不仅肾脏功能受损,甚至可能影响患者的心脏功能;进而使肾功能逐渐衰竭,代谢废物在体内堆积,多余水分无法排出,心脏不堪重负。患者可以出现尿量减少、机体水肿、呼吸困难、心律失常。严重者只能依赖人工的肾脏替代治疗,也即透析来延续生命。

透析者的生活是比较痛苦的,是完全依赖医院生存的人群,一旦失去透析的支持生命就不能维持。目前,国内需透析者约数百万,对社会与家庭都是一个沉重的负担。据统计,目前肾衰竭透析的患者约有10%的患者是肾血管病造成的。因此,早发现、早治疗肾动脉疾病是有可能挽救肾脏,挽救生命及其家庭的。
二、怎样发现肾动脉堵塞
肾动脉狭窄最常见的表现就是高血压,那么高血压病患者中有多少是肾动脉狭窄呢?
科学研究统计表明,高血压病患者中有3%~5%是肾动脉狭窄继发的高血压,一位严重的药物不易控制的高血压病,合并了冠心病和/或糖尿病的高血压病患者,患有肾动脉狭窄的概率就可能超过20%。若患有下肢动脉疾病或腹主动脉瘤,那就有超过30%的可能患有肾动脉狭窄。由此,建议首次发现高血压者,必须遵医嘱做肾脏超声检查,同时检测肾功能,以除外肾脏疾病。对一位长期高血压病患者,出现了药量逐渐增加,血压难以控制的状况,也需要遵医嘱行肾脏检查。对于合并其他动脉疾病的高血压病患者,也应定期检查肾脏。
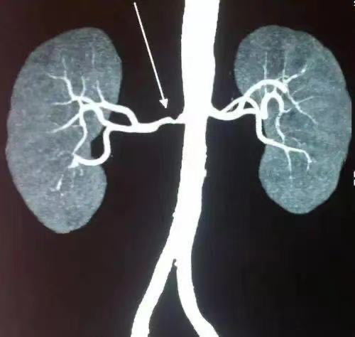
诊断肾动脉狭窄最简单、有效的方法就是经济且无创的肾动脉超声。在检查之前,尤其是肥胖患者,一定要空腹且应排尽粪便,并配合医生的呼吸指令。若超声检查仍难以辨清,则需遵医嘱做进一步检查(如CT或磁共振成像)以明确肾动脉的情况,虽然检查费用略高一些,但也一定要查。除了这些影像检查,还需进行血液生化检验及尿液检验以明确肾功能的状况。

三、肾动脉狭窄者被确诊后的配合
肾动脉狭窄治疗的疗效直接取决于发现的早晚。若患者在首诊时肾脏已经萎缩,即使疏通肾动脉,肾脏的功能也难以恢复。医生能做的只能是尽量维持现状,延缓肾脏功能的进一步下降。
早期的肾动脉轻度狭窄者,尚未影响到肾脏血流量,应严格控制动脉硬化的危险因素:控制血压、血脂、血糖,戒烟,定期到医院检查。目前肾动脉的血管再通治疗最有效、最常用的就是微创手术,无须全麻。手术时,医生通过穿刺在股动脉开一个2毫米的小孔,通过一组细小的导管将球囊与支架输送到病灶处进行扩张、植入一根在直径6~7毫米的金属支架就可有效解除狭窄,恢复血流,维持肾脏正常工作。

不少患者通过介入手术疏通狭窄的肾动脉,血压获得改善,同时减少了口服降压药物的用量,肾脏功能维持稳定。当然,介入手术也不是万能的,患者一定要遵医嘱用药以及对生活方式进行调整,按时复查,才能更好地维护肾脏的健康。
四、肾动脉狭窄的治疗方法
药物治疗
如果是轻度的肾动脉狭窄,只要通过药物进行治疗即可。比如遵医嘱使用盐酸乐卡地平片、苯磺酸氨氯地平片、盐酸尼卡地平片等降压药物进行治疗。或遵医嘱使用阿司匹林片、硫酸氢氯吡格雪片等药物进行治疗,可以起到抗血小板聚集的作用。
手术治疗
如果肾动脉狭窄症状比较重,特别是高血压难以控制,经医生诊断后需要手术治疗,一般可以通过微创手术,在狭窄部位放支架,从而达到治疗目的。


肾动脉狭窄球囊扩张支架植入术示意图
四、注意事项
饮食清淡
治疗期间要以清淡的饮食为主,不要吃过咸的食物,比如酱牛肉、咸菜等。
控制血压
平时要积极控制血压,尽量保持愉悦的心情,避免情绪过于激动。平时可以多深呼吸、散步,有助于放松身心。


文章来源:
《少生病的智慧 让血管健康起来》人民卫生出版社
本篇作者介绍

杨敏教授
北京大学第一医院
主任医师,副教授
硕士研究生导师
主持北京大学第一医院介入血管外科管理工作;中华医学会放射学分会第十五届委员会介入学组外周血管介入专业委员会副主任委员;国际血管联盟中国分会青年委员会副主任委员;中国分会下肢动脉专家委员会副主任委员;北京医师协会血管外科专科医师分会青年委员会副主任委员;北京医学会血管外科分会第四届委员会下肢动脉学组副组长;北京医学会介入医学分会第一届委员会外周血管介入学组副组长;中国人体健康科技促进会血管外科学专业委员会常务委员兼秘书长;中华医学会放射学分会介入放射学组委员;中国医师协会介入医师分会青年委员会委员;中国医师协会血管外科医师分会青年委员会委员;中国医师协会腔内血管学专业委员会青年委员;北京医学会血管外科分会委员;北京医师协会血管外科专科医师分会常务理事;国家卫生健康委能力建设和继续教育介入医学专家委员会委员;中国心胸血管麻醉学会血管分会常务委员;中国研究型医院学会血管医学专业委员会委员

鸣 谢 编 者

陈 忠
杨耀国
陆清声
李 伟
王利新
王国富
戚悠飞
谷 岩
潘仲杰
陆 炜
高 斌
亓 明
史伟浩
王 伟
王维慈
方 欣
蔡红波
胡志鹏
高 翔
王学虎
黎 明
苏少飞
陈 锋
孙占峰
翟 勇
王 平
李 坤
李艳奎
张立魁
杨 敏
王 冕
阿布都·克尤木
张 章
邹君杰
田 野
方征东
张 杰
张 弘
马 强
方青波
罗明尧
焦周阳
龚 光
首都医科大学附属北京安贞医院
首都医科大学附属北京安贞医院
中国人民解放军海军军医大学附属
长海医院
北京大学人民医院
复旦大学附属中山医院
绍兴市中心医院
海南省人民医院
天津市第一中心医院
天津市人民医院衢州市人民医院
复旦大学附属上海市第五人民院
大连医科大学附属第一医院
复旦大学附属华山医院
中南大学湘雅医院
华中科技大学同济医学院附属
协和医院浙江大学医学院附属
杭州市第一人民医院
昆明医科大学第一附属医院
宁夏医科大学附属心脑血管病医院
河北医科大学第二医院
重庆医科大学附属第一医院
中南大学湘雅二医院
宁夏医科大学第二附属医院
南昌大学第二附属医院
哈尔滨医科大学附属第二医院
吉林省敦化市医院
山西医科大学第二医院
河南省人民医院
天津医科大学第二医院
辽宁省人民医院
北京大学第一医院
中山大学附属第一医院
喀什地区第一人民医院
中国人民解放军空军军医大学
第二附属医院(唐都医院)
江苏省人民医院
新疆医科大学第一附属医院
中国科学技术大学附属第一医院
首都医科大学附属北京潞河医院
承德医学院附属医院
西安交通大学第一附属医院
新疆维吾尔自治区人民医院
中国医学科学院阜外医院
郑州大学第一附属医院
宜宾市第二人民医院
绘 画
翟梦瑶
北京和睦家医院