CEC2024 | 肖占祥教授:粥样硬化性主动脉穿透性溃疡:如何应对?



2024年10月31日—11月3日,备受瞩目的第十五届中国血管论坛(CEC2024)于北京盛大召开,国内外专家齐聚一堂共襄盛会。本次大会设置知名专家面对面、中青年专家论坛、学术专题讲座,病例直(录)播、外周血管介入前沿与争锋辩论赛、疑难病例大查房、复杂血管疾病、血管外科危重症管理、血管疾病治疗并发症处理及预防、外周器械新技术新疗法、下肢动脉减容规范化应用最新证据深度解读、国际专场@CEC等热点板块,全面展现最新的血管疾病诊疗方法和技术,为广大血管外科医务工作者及同道提供了一场内容丰富、高质量、高水平的学术盛宴。
本次大会期间,海南省人民医院肖占祥教授为各位专家同道介绍了《粥样硬化性主动脉穿透性溃疡:如何应对?》。欢迎阅读。
演讲题目:
《粥样硬化性主动脉穿透性溃疡:如何应对?》
演讲嘉宾:
肖占祥教授
单位:
上海交通大学医学院附属仁济医院

定义
欧洲心脏病学会2014年指南指出,PAU是动脉硬化斑块的溃疡穿透主动脉内弹力膜层进入中膜层,可伴有营养血管、神经纤维束等结构变化。


病理特征与好发部位
病理特征:PAU可发展成主动脉瘤、IMH及主动脉夹层,也可导致主动脉破裂、远段动脉栓塞,但缺乏详尽预后数据。
好发部位:主要累及主动脉弓部及胸降主动脉,腹主动脉、升主动脉均可受累。梅奥诊所报告显示多数PAU位于降主动脉,耶鲁纽黑文医院研究发现A型或B型主动脉夹层患者相比,穿透性溃疡患者年龄较大、主动脉直径较大、溃疡主要发生在降主动脉且更常见与先前诊断或治疗的AAA相关,发生主动脉破裂风险更高。


与急性主动脉综合征关系
急性主动脉综合征包括主动脉夹层 80%(血流通过主动脉内膜破口进入主动脉中膜假腔状态)、主动脉壁内血肿 15%(主动脉中膜内出血形成血肿,无破口与真腔沟通),PAU与急性主动脉综合征存在关联。


临床表现与诊断
临床表现
梅奥诊所报告无症状PAU高于有症状者,比例为3/4 : 1/4。主要症状为疼痛,部位不同,包括胸痛(胸背痛)、腰骶痛(腰腹痛),疼痛性质可为突发疼痛(数小时)或持续隐痛。
诊断
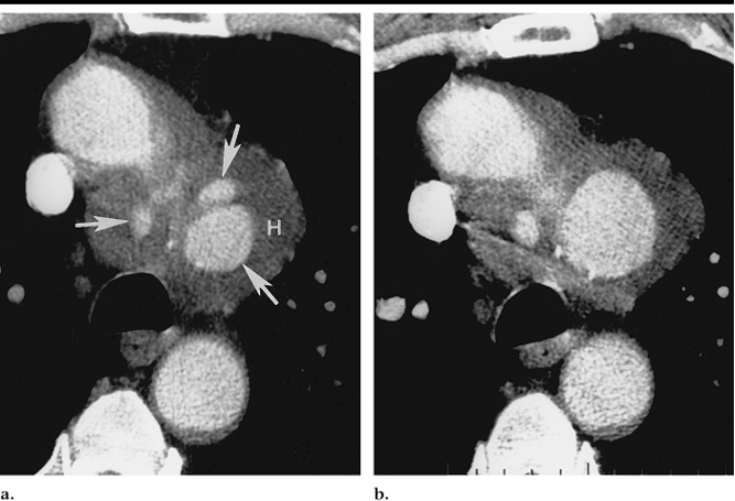
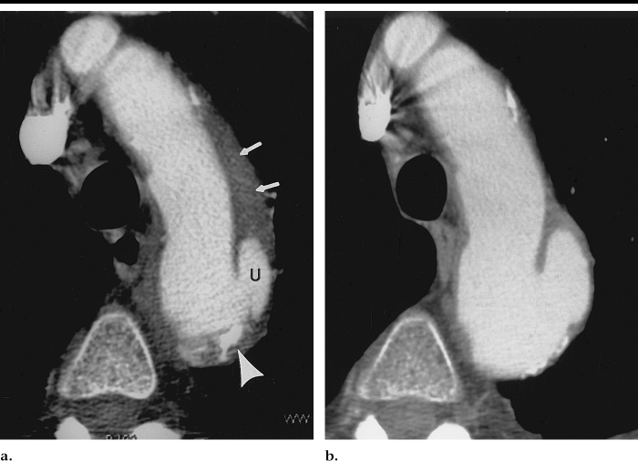
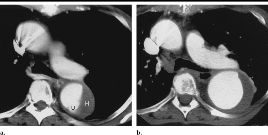
一线诊断手段:CT是PAU的一线诊断手段




随访
大部分溃疡样主动脉病变保持不变随着时间的推移并且不会引起症状。大约三分之一的病变进展,通常导致伴轻度主动脉扩张,有时可能进展为囊状动脉瘤伴有主动脉扩张。对无症状的主动脉溃疡应行CT成像随访。

PAU的处理方式
01
一般治疗
对于无症状的PAU,一般治疗包括监控血压、调脂、控制危险因素(戒烟、降糖、减重等)。
02
手术治疗
★ 手术指征
胸部主动脉PAU:有症状、或伴有壁间血肿等;无症状的PAU直径>2cm并且深度超过1cm。
腹主动脉PAU:伴血肿(假性动脉瘤)、栓塞症状、复发性疼痛为手术指征,非复杂型应考虑保守治疗。
弓部PAU:多数行开放手术,手术指征包括持续性或反复疼痛、破裂、生长迅速、主动脉周围血肿和胸腔积液等。
★ 手术方式
包括腔内治疗、开放手术。文中列举了多个通过腔内治疗(如预开豁口、原位开窗、一体式分支支架等)和开放手术治疗PAU的病例。
03
治疗趋势
PAU处理中腔内治疗是发展趋势。

小结
PAU是主动脉粥样硬化病变导致主动脉中内膜组织缺损,好发于主动脉弓部及胸降主动脉,可无明显症状但有多种潜在危害。
CT增强(CTA)是一线诊断手段。
胸部主动脉PAU手术指征为有症状或伴有壁间血肿等,无症状的PAU直径>2cm并且深度超过1cm;腹主动脉PAU手术指征为伴血肿等,非复杂型应保守治疗。
有手术指征者首选腔内治疗。
专家介绍

肖占祥教授
海南省人民医院
血管外科博士
主任医师
海南省人民医院血管外科技术首席
现任中华医学会外科分会血管外科学组委员
中国医师协会血管外科医师分会常委
中国医师协会腔内血管学专业委员会常委
海南医学会外科分会血管外科学组组长
海南省医师协会血管外科分会会长
《中华血管外科杂志》、《中国普通外科杂志》、《中国血管外科杂志》编委等职务。